아카이브 요약
이 페이지의 역할
재주좋은치과의원의 네이버 블로그 원문을 보존한 아카이브 페이지입니다. 앞니이야기 카테고리의 앞니 깨짐, 레진으로 1시간만에 감쪽같이 치료해드렸습니다. 글을 통해 병원의 한국어 정보 제공 방식과 진료 관련 안내 톤을 확인할 수 있습니다.
원문 검증
필요하면 원문 블로그와 병원 프로필로 바로 이동해 문맥을 다시 확인할 수 있습니다.
출처 아카이브 열기아카이브된 블로그 글
재주좋은치과의원 · 앞니 레진 비니어 장인, 소현수 원장입니다.
제 스마트폰에 갑자기 울린 알람. 리뷰가 달렸다는데 일요일인데..? 싶어서 확인해봤죠. 원래 있었던 앞니 처럼 해주셨습니다. 아트의 경지라고 생각했습니다. 6월 방문자 리뷰 내용 중 6월 방문자..? 진짜 이렇게 뒤늦게 리뷰 달아주실 줄은 꿈에도 모르고 있었는데 이게 바로 찐 리뷰 아닙니까 예를들면 1달 사용기...
게시일
2024년 8월 20일
원문 기준으로 확인된 발행일입니다.
카테고리
앞니이야기
원문 블로그 카테고리를 정리해 함께 표시합니다.
이미지 수
3
현재 아카이브에 연결된 이미지 수입니다.
아카이브 요약
재주좋은치과의원의 네이버 블로그 원문을 보존한 아카이브 페이지입니다. 앞니이야기 카테고리의 앞니 깨짐, 레진으로 1시간만에 감쪽같이 치료해드렸습니다. 글을 통해 병원의 한국어 정보 제공 방식과 진료 관련 안내 톤을 확인할 수 있습니다.
원문 검증
필요하면 원문 블로그와 병원 프로필로 바로 이동해 문맥을 다시 확인할 수 있습니다.
출처 아카이브 열기제 스마트폰에 갑자기 울린 알람.
리뷰가 달렸다는데
일요일인데..? 싶어서 확인해봤죠.
원래 있었던 앞니 처럼 해주셨습니다. 아트의 경지라고 생각했습니다.
6월 방문자 리뷰 내용 중
6월 방문자..?
진짜 이렇게 뒤늦게 리뷰 달아주실 줄은
꿈에도 모르고 있었는데
이게 바로 찐 리뷰 아닙니까
예를들면 1달 사용기 리뷰 뭐 이런...
6월 말에 치료를 받으셨는데
8월 중순이 지나서야
리뷰를 남긴다...?
지내다보면 그냥저냥 무뎌지기 마련인데
이렇게 짬을 내 리뷰를 남겨주실 정도라니
정말 감사한 마음이 많이 들었습니다.
기분도 정말 좋았고요.
어떤 케이스였길래 그럴까요?

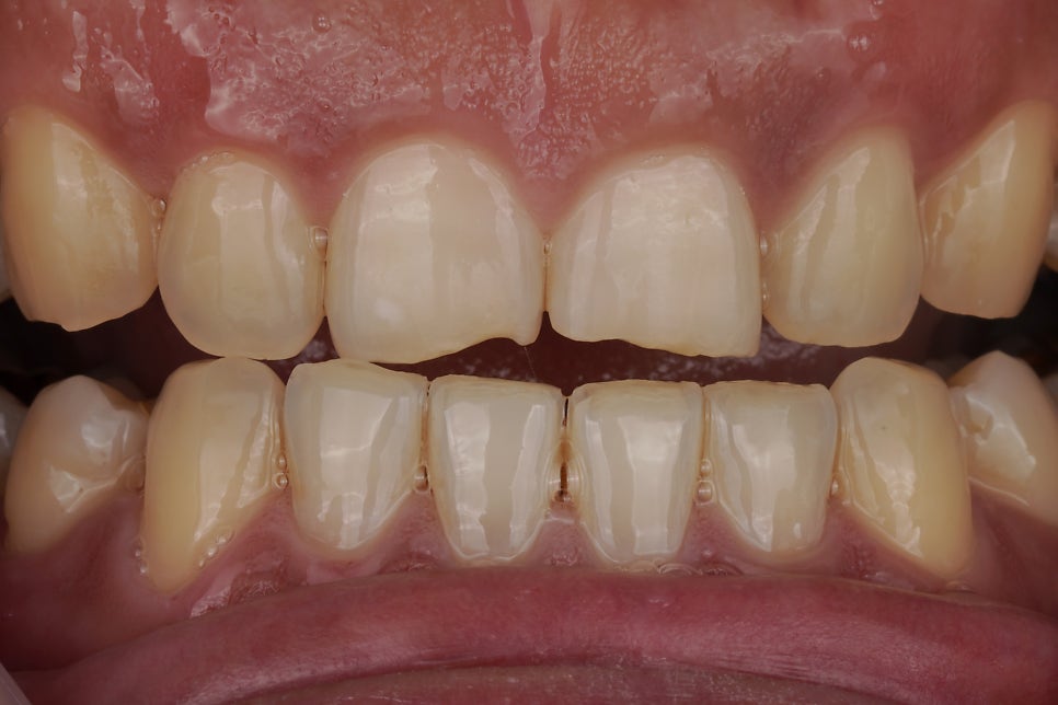
전 사진
이렇게 앞니가 깨져서 ㅅ자로 생겨있었는데
그냥 지내시다가
큰맘먹고 저희에게 오셨습니다.
사실 '치료 해야 한다'고 마음속에
그런 니즈가 있으셨던 거겠죠.
그러나 누구나 그렇듯이
치과 오기로 결심하는 건
<큰맘을 먹어야 하는> 일일겁니다.
저도 잘 알고 있습니다.
고민하고 또 고민하다가
결정하시겠죠.
여러 치과 홈페이지를 들락날락,
블로그에 적힌 글도 이곳 저곳
이 치과가 정말 잘하나,
알아보다가 또 한동안 잊고 계시다가
갑자기 또 한번씩 생각나고
저도 그 마음을 정말로 잘 알고 있습니다.
저 또한 앞니 치료가 필요한 환자였으니까요.
아무튼 이번에도 교합분석 먼저 하고,
환자분이 가진 고유의 턱 운동 방향에
레진 치료한 부위가 방해가 되지 않도록
모양을 자연스럽게 잘 잡아보았습니다.
레진으로 치료할 때는
레진으로 치료한 부위만 또 깨지거나
떨어진다고 생각하시는 분들이 많지만
처음부터 진단을 잘 해서 수복하면
그렇게 되지 않는것 같아요.
저희는 항상 치료 전에
턱의 운동방향을 유심히 관찰해서
어떻게 해야겠다, 하는 계획을 먼저 세웁니다.

그래서 한 번 이렇게 잘 받고 나면
'치료받길 정말 잘했다'
하는 생각이 드실 겁니다.
물론 저희가 저렴하게 해드리진 않지만
그만큼 결과에 자신도 있고요,
무엇보다 1시간만에.
단 1시간만에 이렇게 치아가 변화하고
웃는 인상이 바뀔 수 있다면
저는 솔직히
치료비 더 받아야한다고 생각하고
앞으로 계속해서 가격 상승이 이뤄질 예정입니다.

저희 치과 모든 앞니치료는
난이도에 따라 가격이 달라지고
저희가 정말 많이 하는 왜소치 레진은
60~80만원이 보통이고
더 높게 가기도 하지만, 많지는 않고요.
왜냐면 라미네이트 진짜 잘하는 곳 가서 하셔도
색상 안맞고, 접착도 어려운데
거의 200만원 돈 나오실거거든요,
공장형 치과는 저렴하기는 하지만
그런 라미네이트 하기 싫어서
이렇게 알아보시는 거라고 생각하고
게다가 3번정도 방문하시고
1달 정도 걸린다고 생각하시면
저희 재주좋은치과 레진비니어는
1회 방문, 1시간~2시간
완전 무삭제,
이렇게나 자연스러운 결과물?
솔직히 너무 혜자라고 생각합니다.
앞니 한두개 바뀌는 게
아주 작은 차이라고 생각할 수 있지만
마음속에 계속해서 께름칙하게 남아있던
그 무언가가 사라지는 기분은
직접 겪어본 사람이라면
뭔지 다 공감하실 것 같아요.
저는 언제나 이 자리에서
아트의 경지라는 말에 어울리도록
언제나 최선을 다하도록 노력하겠습니다.