아카이브 요약
이 페이지의 역할
재주좋은치과의원의 네이버 블로그 원문을 보존한 아카이브 페이지입니다. 어금니이야기 카테고리의 어금니 신경치료 안하고 레진빌드업, 교대역 치과 재주좋은치과 글을 통해 병원의 한국어 정보 제공 방식과 진료 관련 안내 톤을 확인할 수 있습니다.
원문 검증
필요하면 원문 블로그와 병원 프로필로 바로 이동해 문맥을 다시 확인할 수 있습니다.
출처 아카이브 열기아카이브된 블로그 글
재주좋은치과의원 · 앞니 레진 비니어 장인, 소현수 원장입니다.
딱 봐도 충치가 굉장히 깊죠? 이렇게 충치가 깊은 경우 대부분 '신경치료'를 권유 받습니다. 근데 왜? 예전엔 당연히 신경치료 해야된다고 저조차도 그렇게 생각했었는데요, 근데 '왜?'죠? 명확한 증상이나 징후가 없는데.. 그냥 깊이 썩었으니 예방적으로 해야하나? 물론 그럴 수도 있겠지만 그렇다기보다는...
게시일
2024년 8월 21일
원문 기준으로 확인된 발행일입니다.
카테고리
어금니이야기
원문 블로그 카테고리를 정리해 함께 표시합니다.
이미지 수
4
현재 아카이브에 연결된 이미지 수입니다.
아카이브 요약
재주좋은치과의원의 네이버 블로그 원문을 보존한 아카이브 페이지입니다. 어금니이야기 카테고리의 어금니 신경치료 안하고 레진빌드업, 교대역 치과 재주좋은치과 글을 통해 병원의 한국어 정보 제공 방식과 진료 관련 안내 톤을 확인할 수 있습니다.
원문 검증
필요하면 원문 블로그와 병원 프로필로 바로 이동해 문맥을 다시 확인할 수 있습니다.
출처 아카이브 열기
딱 봐도 충치가 굉장히 깊죠?
이렇게 충치가 깊은 경우
대부분 '신경치료'를 권유 받습니다.
근데 왜?
예전엔 당연히 신경치료 해야된다고
저조차도 그렇게 생각했었는데요,
근데 '왜?'죠?
명확한 증상이나 징후가 없는데..
그냥 깊이 썩었으니
예방적으로 해야하나?
물론 그럴 수도 있겠지만
그렇다기보다는, 경험적으로
이렇게 된 충치를 레진으로 하고 나서
환자분께서 나중에
'가만히 있어도 아프다'
'씹을 때 시리다'
통증을 호소하는 경우가 있었기 때문이겠죠.
저 또한 예전에는 그랬습니다.
그런데 공부를 하면 할 수록
이정도 충치에서 그렇게 하는게 맞나
하는 의구심이 들었고,
실제로 레진으로 치아를 보존하면서
최소침습적으로 진료하고 계신 분들은
뭐가 다르길래 그렇게 되는걸까?
배우러 다니고, 저도 적용해보면서
이제 확신을 갖게 되었습니다.
"이정도면 신경치료 안해도 된다"

충치를 다 제거한 뒤에
<러버댐>을 끼워놓은 사진입니다.
바로 이렇게 러버댐만 ‘잘’ 써도
레진으로 치료가 가능해지는 것이었어요.
치아 삭제도 정확히 충치가 있는 부분만
타겟해서 진행했죠.
인레이는 이렇게 하지 못하고
레진으로 했다면 필요하지 않은 부분까지
광범위하게 삭제해야합니다.
그리고 보시다시피 고급 러버댐인
파란 ISO-DAM(이소댐)을 사용했는데요,
일반 러버댐과 소재 자체가 다릅니다.
내구성이 좋아 사용감이 좋고,
알러지반응도 없고
무엇보다 원칙적인 방습이 잘됩니다.
이번에도 교정 유지장치가 있어
어려울 뻔 했는데
좋은 클램프의 도움을 받았네요.
아무튼 레진 좀 한다는 치과의사들은
이렇게 '방습'이 잘 되었는지를
유심히 보고는 합니다.
레진의 퀄리티는 대개 이 때 좌우거든요.
치료할 부위를 정확히
잇몸과 피, 침, 습기로부터
완전히 '격리'시켰는가가
굉장히 중요한 치료 성공의 열쇠이기 때문입니다.
이렇게 레진으로 치료가 가능하면
진단 자체를 굉장히 보수적으로 할 수 있습니다.
신경치료할 것도 레진으로 가능한 경우가 생기고
인레이는 말해 뭐합니까 레진으로 최소침습.
굉장한 장점이 되고 무기가 됩니다.

접착 술식 도중에는
이렇게 다양한 도구의 도움을 받아서
진료를 하게 됩니다.
충치 파내고 그냥 때우는 게 아니라,
적절한 재료를 사용해서
방습을 철저히 하고,
치아와 레진 사이에 턱이 지거나
빈공간이 생기지 않게끔
섬세한 작업이 필요합니다.
그래서 치료비도 일반적인 레진 비용과는 다르게
몇배, 많게는 10배 이상 차이나는 것이죠.
그래서 그냥 레진이 아니라
레진 빌드업 입니다.

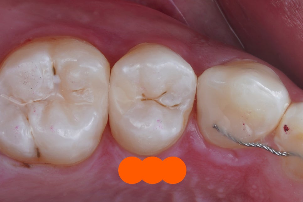
어디를 때운건지 알 수 없을정도로
잘 되었네요.
알아봐주시고 찾아와주셔서
정말 감사합니다!
언제나 최선을 다하도록 노력하겠습니다.