아카이브 요약
이 페이지의 역할
재주좋은치과의원의 네이버 블로그 원문을 보존한 아카이브 페이지입니다. 앞니이야기 카테고리의 왜소치 라미네이트 대신 완전 무삭제로 1시간만에 치료 하세요 글을 통해 병원의 한국어 정보 제공 방식과 진료 관련 안내 톤을 확인할 수 있습니다.
원문 검증
필요하면 원문 블로그와 병원 프로필로 바로 이동해 문맥을 다시 확인할 수 있습니다.
출처 아카이브 열기아카이브된 블로그 글
재주좋은치과의원 · 앞니 레진 비니어 장인, 소현수 원장입니다.
왜소치가 있으면 그냥 치아 모양 자체도 보기 안좋지만 아랫니와 맞물리지 않기 때문에 까만 입안이 드러나 보여서 그것때문에 스트레스를 받는 경우가 많습니다. 저희 치과에서는 그런 경우 앞니 6개를 한번에 예쁘게 만드는 무삭제/최소삭제 라미네이트도 권해드리기는 하지만, 치아 삭제를 <전혀> 하지 않고 싶으신 분...
게시일
2024년 8월 22일
원문 기준으로 확인된 발행일입니다.
카테고리
앞니이야기
원문 블로그 카테고리를 정리해 함께 표시합니다.
이미지 수
3
현재 아카이브에 연결된 이미지 수입니다.
아카이브 요약
재주좋은치과의원의 네이버 블로그 원문을 보존한 아카이브 페이지입니다. 앞니이야기 카테고리의 왜소치 라미네이트 대신 완전 무삭제로 1시간만에 치료 하세요 글을 통해 병원의 한국어 정보 제공 방식과 진료 관련 안내 톤을 확인할 수 있습니다.
원문 검증
필요하면 원문 블로그와 병원 프로필로 바로 이동해 문맥을 다시 확인할 수 있습니다.
출처 아카이브 열기왜소치가 있으면
그냥 치아 모양 자체도 보기 안좋지만
아랫니와 맞물리지 않기 때문에
까만 입안이 드러나 보여서
그것때문에 스트레스를 받는 경우가
많습니다.
저희 치과에서는 그런 경우
앞니 6개를 한번에 예쁘게 만드는
무삭제/최소삭제 라미네이트도
권해드리기는 하지만,
치아 삭제를 <전혀> 하지 않고 싶으신 분들
'자연스럽게', '티나지 않게'
웃는 모습을 개선하고 싶으신 분들은
완전 무삭제로 진행 가능한
<레진 비니어>를 권해드립니다.
아무리 무삭제라고 광고하는 라미네이트도
'치아 정돈 작업'이라고 하면서
치아 표면, 치아 사이에
치과용 드릴을 대고 치아를 삭제해야하는데요
저희 치과에서 왜소치 치료할 때
많이 사용하는 방법인
Direct Composite Veneer 수복법은
실제로 치아 삭제를 단 0.01mm도 하지 않는
경우가 훨씬 많습니다.
레진 모양을 예쁘게 다듬기 전까지는
아예 치과 드릴을 손에 들지조차 않거든요.

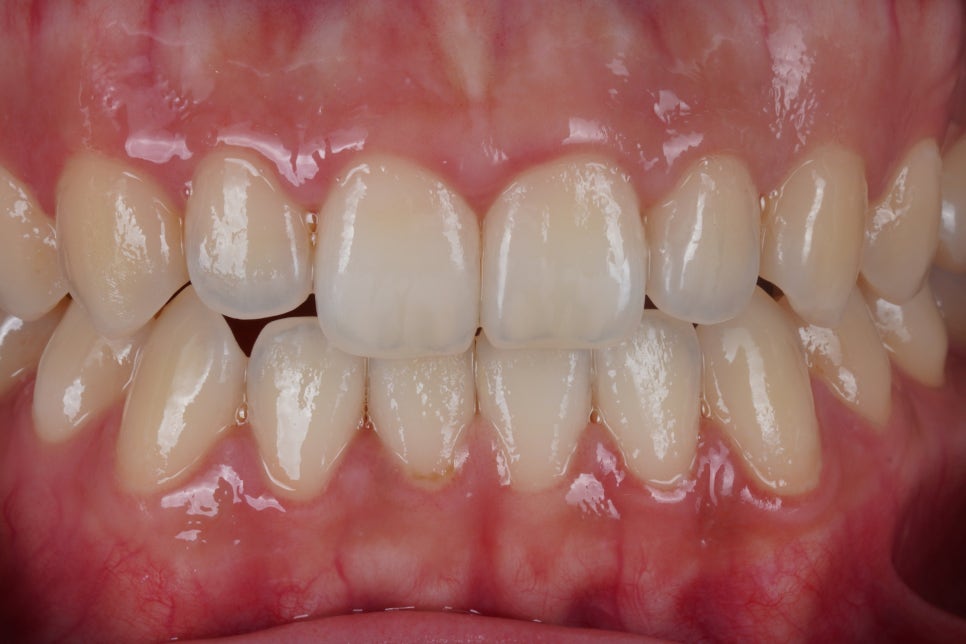
치료 전 사진
이번에 왜소치 치료를 위해
저희 치과를 찾아주신 분의 경우,
옆니 모양이나 크기가 이정도면
사실 왜소치로 분류하기는 좀 크고
치아 위치가 너무 윗쪽에 있어서
심미적인 부분에서 아쉬움이 있는
그런 케이스였습니다.
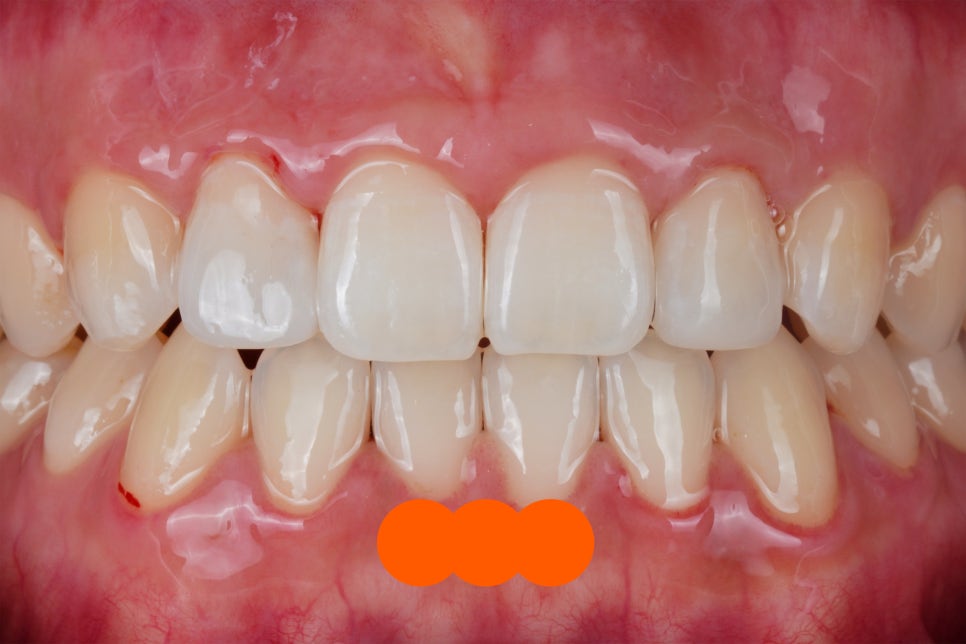
어떻게 되었는지 먼저 볼까요?

순수 치료시간은 1시간 10분,
치과에 방문하시고 치료 종료까지는
대략 1시간 50분 정도 걸린 케이스입니다.
레진비니어 하기 전과 비교하면
치아가 훨씬 가지런해졌고,
입안 사진 뿐만 아니라
저랑 환자분이 마주보고 웃었을 때
훨씬 예뻐지셔서
환자분도 만족하시는 표정이
저도 정말 기분이 좋아지더라고요.

레진을 접착할 때는 이렇게
러버댐,
그 중에서도 고급인 ISO-DAM을
활용하여 치료하고 있습니다.
치아를 이렇게 격리한 뒤에
1200만원짜리 파우더 스케일링 장비로
치아 표면의 치면세균막은 물론
침에 의해 형성되는 단백질 피막까지
깨끗하게 확실히 정리한 후에
레진 접착을 하고 있습니다.
저희는 이러한 왜소치 수복방법을
Galaxy.nate
Resin Veneer
(갤럭시네이트 ㅣ 레진비니어)
라는 이름으로 부르고 있으며
영국, 미국, 이탈리아 등 해외에서는
흔하게 찾아볼 수 있는
Direct Composite Veneer라는 술식인데,
국내에서는 찾기 힘든 편입니다.
치과의사의 손기술에 영향을 많이 받고
무엇보다 '효율' 을 추구해야하는
한국 치과의 현실과 맞지 않는 면이
있기 때문입니다.
저희는 환자분들의 선택의 폭을 넓히고
획일화된 치과 시장에서 브랜드를 차별화하기 위해
Direct Composite Veneer라는
굉장히 보존적이며 즉각적이고
심미적인 결과를 낼 수 있는 치료법을
장인정신으로 진행하고 있습니다.
따라서 치료비가 저렴하지는 않습니다.
위 환자분은 130만원 +@가 나왔어요.
그러나 라미네이트 잘 한다는
여타 치과들 가격과 비교하면
그렇게 비싸지도 않습니다 사실.
한달이 아니라 하루,
몇 시간이 아니라 1시간,
완전 무삭제
아름다운 결과물
제거와 재치료의 용이성까지.
완전 무삭제 레진비니어 하세요.