아카이브 요약
이 페이지의 역할
재주좋은치과의원의 네이버 블로그 원문을 보존한 아카이브 페이지입니다. 어금니이야기 카테고리의 교대역 충치 치과, 신경치료 진단은 보수적으로 접근합니다. 글을 통해 병원의 한국어 정보 제공 방식과 진료 관련 안내 톤을 확인할 수 있습니다.
원문 검증
필요하면 원문 블로그와 병원 프로필로 바로 이동해 문맥을 다시 확인할 수 있습니다.
출처 아카이브 열기아카이브된 블로그 글
재주좋은치과의원 · 앞니 레진 비니어 장인, 소현수 원장입니다.
입안에 충치가 있을 때 우리가 가장 걱정하는 건 "신경치료해야 하나요?" 겠죠. 뽑아야하는 것 까진 아닌것 같고 '신경치료'라는 매우 길고 힘든 과정이 걱정이 되실 겁니다. 그럴 때 웬만하면 그렇게 하지 않고 치아를 살려가는 방향으로 가장 보수적인 진단을 하는 치과 그런 치과가 있다면 조금은 안심이 되지않을...
게시일
2024년 8월 25일
원문 기준으로 확인된 발행일입니다.
카테고리
어금니이야기
원문 블로그 카테고리를 정리해 함께 표시합니다.
이미지 수
19
현재 아카이브에 연결된 이미지 수입니다.
아카이브 요약
재주좋은치과의원의 네이버 블로그 원문을 보존한 아카이브 페이지입니다. 어금니이야기 카테고리의 교대역 충치 치과, 신경치료 진단은 보수적으로 접근합니다. 글을 통해 병원의 한국어 정보 제공 방식과 진료 관련 안내 톤을 확인할 수 있습니다.
원문 검증
필요하면 원문 블로그와 병원 프로필로 바로 이동해 문맥을 다시 확인할 수 있습니다.
출처 아카이브 열기입안에 충치가 있을 때
우리가 가장 걱정하는 건
"신경치료해야 하나요?"
겠죠.
뽑아야하는 것 까진 아닌것 같고
'신경치료'라는
매우 길고 힘든 과정이
걱정이 되실 겁니다.
그럴 때
웬만하면 그렇게 하지 않고
치아를 살려가는 방향으로
가장 보수적인 진단을 하는 치과
그런 치과가 있다면
조금은 안심이 되지않을까?
그런 생각이 들었어요.




웬만한 치과에서는
'신경치료' 진단을 내렸을 법한
다양한 케이스들도 사실은
(물론 100%는 아니지만)
접착 치의학에 기반한
최소침습 치의학,
<레진 빌드업>으로
당일에 끝낼 수도 있습니다.
그리고 이렇게 하기 위해서는
러버댐이라는 재료를 잘 써야 해요.
러버댐을 잘 쓰는 것이
가장 중요한 첫단계입니다.
러버댐이라는 재료는
그냥 썼다고해서 다 된 게 아니라
그 목적을 이루기 위해 필요한 여러 원칙들을
하나하나 지켜야만
원하는 결과를 얻을 수 있겠죠.








어금니, 앞니 가릴 것 없이
중요한 접착의 순간에
이렇게 러버댐을 사용하는 것,
그래서 구강 내에 있는
뺨과 혀,
피와 침과 습기로부터
치아를 완전히 격리하고 방습하는 것.
그것이 교과서에 적힌 원칙이고
결과를 High-end로 유지할 수 있는
비결입니다.
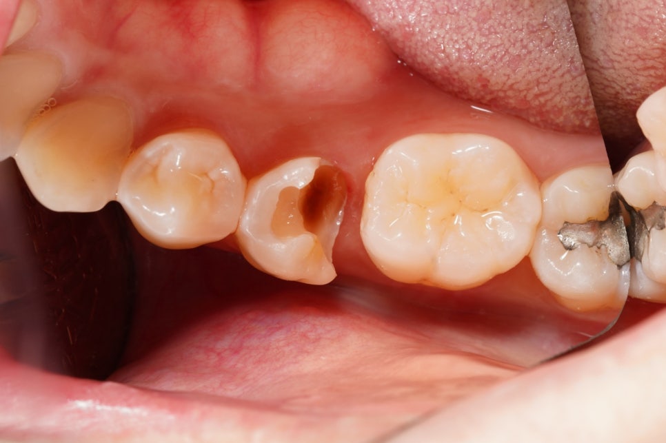
그러나 예전의 저도 그랬고,
이런 치아들을 러버댐 없이
일단 레진으로 수복하다보면
"치료한 데가 시려요"
"씹을 때 아파요"
하는 이야기를 계속 듣게 되고,
그러면 당연히 점점
레진으로 할법한 치아들도
신경치료를 권하게 되고,
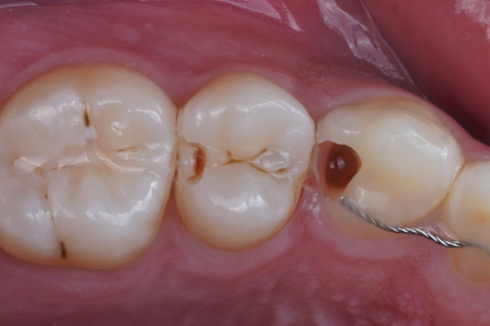
인레이 밑에 2차충치가 생기면
묻지도 따지지도 않고
신경치료를 권하게 되는
의사도 사람인 이상 그런 쪽으로
사고흐름이 생길 수 밖에 없더라고요.



아래 앞니 신경치료 및 크라운 케이스



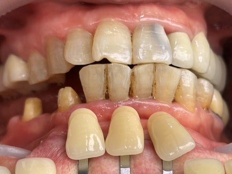
위 앞니 발치 즉시 임플란트, 크라운 케이스
물론!
분명히 신경치료가 필요한,
심지어는 발치가 필요한
충치 치아들이 있습니다.
그런 치아들까지
모두 레진으로 할 수 있는 것은
절대로 아니겠죠.
하지만 진단 단계에서 부터
미리 몇단계 앞서 나가는게
어느새 당연시되어진 이 분위기를
바꿀 필요가 있다고도 생각합니다.
치과 광고를 보면 너도나도
임플란트만 내세우는 상황..😢
치아에 남은 여명을 굳이 앞당겨
임플란트로 대체시키기보다는
그 수명을 최대한 오래 끌고가는
보존적인 치료법으로
선택권을 넓혀드리고 싶습니다.

치과 근처 빌딩숲
저희 치과가 위치한 서초동,
솔직히 이런 위치에 새로 들어와서
치과를 하기에,
보존적인 진단을 하는 것이
경영적으로 유리한 선택은 아닙니다.
월세, 인건비를 감당하는 게
결코 쉽지 않은 방법이니까요.
그렇기 때문에 한 분 한 분에게
저 대표원장 1인이 신경을 더 많이
쏟을 수밖에 없고,
그렇다보니
진료비가 저렴하지 못합니다.
그렇다고 비싸다는 것도 아닙니다.
적정한 정가체계를 고수할 수 밖에 없어요.
저는 다만 이 자리에서
10년이고 20년이고
힘이 닿는 데까지 언제나
교과서적이고, 보수적인 진단으로
지역 주민 여러분의 구강건강을
유지하고 향상시키는 데 기여하고 싶습니다.
개원에 앞서 고민하고 또 고민하며
다양한 치료 옵션을 준비했습니다.
언제나 최선을 다하도록 노력하겠습니다.
감사합니다.