아카이브 요약
이 페이지의 역할
재주좋은치과의원의 네이버 블로그 원문을 보존한 아카이브 페이지입니다. 앞니이야기 카테고리의 무삭제 라미네이트 잘하는 치과, 중요한 건 치아의 ‘분리감’ 글을 통해 병원의 한국어 정보 제공 방식과 진료 관련 안내 톤을 확인할 수 있습니다.
원문 검증
필요하면 원문 블로그와 병원 프로필로 바로 이동해 문맥을 다시 확인할 수 있습니다.
출처 아카이브 열기아카이브된 블로그 글
재주좋은치과의원 · 앞니 레진 비니어 장인, 소현수 원장입니다.
라미네이트 어디서 할지 고민 많이 되시죠? ◆ 너무 인위적인 치아형태 ◆ 답답한 느낌 ◆ 어색한 돌출감 ◆ 변기색 화이트 컬러 ◆ 돌이킬 수 없는 치아삭제 라미네이트 하고는 싶은데 마음에 걸리는 그 무언가 잘 알고 있습니다. 왜 그렇게밖에 안 만들어질까? 뭘 바꿔야하는지 고민하는 치과의사는 그렇게 많지 않죠...
게시일
2024년 8월 27일
원문 기준으로 확인된 발행일입니다.
카테고리
앞니이야기
원문 블로그 카테고리를 정리해 함께 표시합니다.
이미지 수
5
현재 아카이브에 연결된 이미지 수입니다.
아카이브 요약
재주좋은치과의원의 네이버 블로그 원문을 보존한 아카이브 페이지입니다. 앞니이야기 카테고리의 무삭제 라미네이트 잘하는 치과, 중요한 건 치아의 ‘분리감’ 글을 통해 병원의 한국어 정보 제공 방식과 진료 관련 안내 톤을 확인할 수 있습니다.
원문 검증
필요하면 원문 블로그와 병원 프로필로 바로 이동해 문맥을 다시 확인할 수 있습니다.
출처 아카이브 열기라미네이트
어디서 할지 고민 많이 되시죠?
◆ 너무 인위적인 치아형태
◆ 답답한 느낌
◆ 어색한 돌출감
◆ 변기색 화이트 컬러
◆ 돌이킬 수 없는 치아삭제
라미네이트 하고는 싶은데
마음에 걸리는 그 무언가
잘 알고 있습니다.
왜 그렇게밖에 안 만들어질까?
뭘 바꿔야하는지 고민하는 치과의사는
그렇게 많지 않죠.
앞니 치료는 어금니하고는 또 달라서
경험이 많은 원장이
기공소장님과 함께 원팀으로 고민하면서
적절한 치아형태를 미리 상의하고
원하는 방향으로 계속해서 나아가는 게
굉장히 중요합니다.
그 과정에 있어 치과의사인 원장이 직접
자연치아의 다양한 형태를 연구하고,
아름다운 형태의 공통점을 이해하고
개개인이 가진 골격적 한계 내에서
이상적인 치아를 구현해낼줄 아는 것
그런 경험이 굉장히 중요하겠죠.

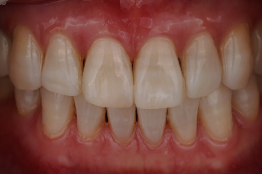
위 사례는
Direct Composite Veneer,
레진비니어로 제가 직접 만들어낸
왜소치 레진입니다.
단 하루, 1시간10분만에
치료가 완료된 사례인데요,
교정으로도 해결이 안된 왜소치를
이렇게 자연스러운 치아 형태와 색상으로
직접 구현할 수 있는 치과의사는 많지 않죠.
직접 만들 수 있으면
기공물 협업도 잘 하지 않겠어요?
저는 치과의사가 되고서 꾸준히
앞니치료를 공부하고, 연습해왔고
레진으로 직접 치아를 만들 줄도 알고 있으며
라미네이트 기공을 직접 경험해 보아서
라미 계획을 세울 때도
어떻게해야 아름다운 치아형태가 나올지
기공사 선생님이 어떤점을 잘 놓치고
오해가 생기는 부분은 어떤 것인지
보시다시피 아주 잘 알고 있습니다.
그리고 저처럼 계속해서 공부하는
국내외 원장님들과 지속적으로 교류하며
계속해서 최신 치의학을 공부하고 있고요,
어떻게 앞니를 아름답게 만들어야하는지
철학과 기술이 없는 치과의사가
무작정 기공소장님을 소위 ‘갈궈서’는
바람직한 원팀관계가 될 수 없다고 생각합니다.

자 이제 실제 환자분 이야기를 해볼까요?
라미네이트를 위해서 진단을 하기로 하고
일단 완전 무삭제로 스캔을 먼저 합니다.
그리고 기공소장님과
제가 환자분과 진단하며 나눈 이야기를 토대로
치료방향에 대해 의논을 해요.
완전 무삭제 vs 치아 정돈 vs 삭제
정돈한다면 어디를 얼마나 정돈할 예정인지,
혹은 삭제한다면 어디를 삭제하는지
(크거나 삐뚤어진 치아를 고치려면 삭제가 필요합니다)
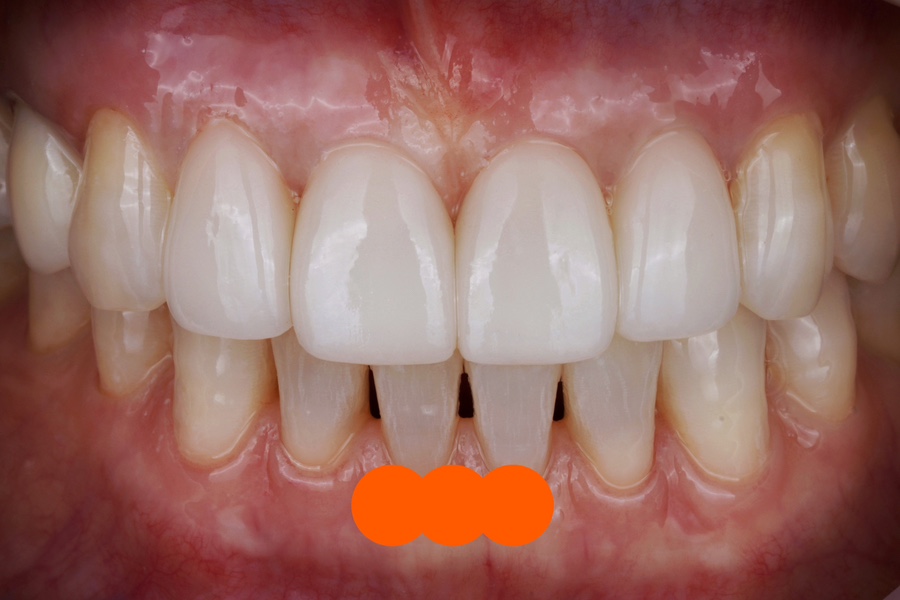
그 과정에서 치아 형태를 의논하고 만들어진
임시 치아 형태(목업)를
다음번에 환자분이 오시면 붙여봅니다.
이때 만든 임시치아는
완전무삭제이기때문에
동심원 효과로 인해서
치아 사이 깊이가 얕아지고
그렇게되면 앞니 6개가 한뭉텅이처럼 느껴지고
굉장히 답답해보이게 되는데요,
그걸 정확히 짚고 넘어가지 않으면
최종 라미네이트도 뭔가 답답하게 나오게됩니다.

그래서 저희는 이렇게
라미네이트에 각각 ‘분리감’을 주는 것을
굉장히 중요하게 생각합니다.
이러한 형태가 나오기까지
기공소장님과 여러 대화가 오고가야했어요.
제가 직접 기공소에 갈 수 없어서
기공물을 이리저리 확인시켜달라고
소장님께 부탁도 드리고요.
라미네이트는
치아 형태를 심미적으로 바꾸고
아름다운 미소 라인을 가꾸는 데에
아주 좋은 심미 수복 방법입니다.
그러나 치아를 충분히 삭제하고 씌우는
크라운이 아니기에
분명한 한계점도 있습니다.
그 한계점을 극복하는 여러가지 방안을
기공소장님과 함께 고민하고 이야기하면서
가장 최적의 결과물을 찾아가는 것
그것이 앞니치료의 묘미이고
치과의사의 의무라고도 생각합니다.

강남언니 어플 후기
그렇기때문에 저희는
여러분께 앞니 모양을 주고
이중에서 고르라는 식의 상담방식?
그렇게 진행하지 않습니다.
환자분이 가진 골격과 치열 안에서
환자분이 원하는 느낌을 최대한 반영하되
지금 유행하는 일률적인 스타일 대신
몇년이 지나도 촌스럽지 않을
가능한한 가장 아름답고
가장 자연스러운 형태를
오직 단 한분만을 위해 찾아냅니다.

앞니 치료에 대해서 공부할 때는
국내 라미네이트 케이스보다
해외의 사례들이 도움이 많이 됩니다.
해외 사례들을 보다보면
각 국가마다 특이한 유행이 있습니다.
예를 들면 아랍권 국가는
투명층을 '매우 강조해서' 만들어
마치 카페트 무늬처럼
굉장히 컬러풀하게 만들어내는
치료사례가 굉장히 많습니다.
우리나라의 라미네이트는
과연 어떨까요...?
아쉽게도 현재 우리나라는
투명감이 아예 없이 완전히 새하얗고
완전히 네모난...
굉장히 어색한 라미네이트가 유행입니다.
현재로서는 '미국',
미국미용치과학회 (AACD)에 올라오는
앞니치료 결과물들이
굉장히 자연스럽고 아름다운 편이에요.
그래서 저는 그런 결과물을 눈에 익히고
제 치료 결과도 그쪽에 맞추기 위해서
AACD에 가입해 계속해서
저널을 읽고, 대가들의 결과물을
눈에 익히고 있습니다.
앞니는 누가뭐래도
첫인상을 결정하는 굉장히 중요한
우리 몸의 장기 중 하나입니다.
저렴하게 치료받는 것도 중요하지만,
한 번 할 때 제대로 치료받는 것이
더 중요하다고 생각합니다.
모쪼록 고민이 되시겠지만,
더 많이 알아보시고
단순히 '좋아보이는 것'을 넘어서
진짜 내 몸을 위해주는 의료진을 만나
'치료'를 받으시기를 바랍니다.
읽어주셔서 감사합니다.
언제나 최선을 다하도록 노력하겠습니다.