아카이브 요약
이 페이지의 역할
재주좋은치과의원의 네이버 블로그 원문을 보존한 아카이브 페이지입니다. 앞니이야기 카테고리의 왜소치 레진 비니어, 교정 마무리 할 때 오시면 참 좋습니다. 글을 통해 병원의 한국어 정보 제공 방식과 진료 관련 안내 톤을 확인할 수 있습니다.
원문 검증
필요하면 원문 블로그와 병원 프로필로 바로 이동해 문맥을 다시 확인할 수 있습니다.
출처 아카이브 열기아카이브된 블로그 글
재주좋은치과의원 · 앞니 레진 비니어 장인, 소현수 원장입니다.
한달 전, 교정기를 낀 분이 찾아오셨습니다. 가지런해진 치아에 어울리지 않는 왜소치가 양쪽에 있었는데, 그런 경우 교정 마무리 할 때 라미네이트나 크라운 치료를 보통 추천받게 되죠. 처음 오셨을 때 사진 그런데 이 분은 제 블로그에서 삭제 없이 레진으로 할 수 있다는 글을 보고 찾아오셨다고. 진짜 무삭제가 맞는...
게시일
2024년 8월 30일
원문 기준으로 확인된 발행일입니다.
카테고리
앞니이야기
원문 블로그 카테고리를 정리해 함께 표시합니다.
이미지 수
6
현재 아카이브에 연결된 이미지 수입니다.
아카이브 요약
재주좋은치과의원의 네이버 블로그 원문을 보존한 아카이브 페이지입니다. 앞니이야기 카테고리의 왜소치 레진 비니어, 교정 마무리 할 때 오시면 참 좋습니다. 글을 통해 병원의 한국어 정보 제공 방식과 진료 관련 안내 톤을 확인할 수 있습니다.
원문 검증
필요하면 원문 블로그와 병원 프로필로 바로 이동해 문맥을 다시 확인할 수 있습니다.
출처 아카이브 열기한달 전, 교정기를 낀 분이 찾아오셨습니다.
가지런해진 치아에 어울리지 않는
왜소치가 양쪽에 있었는데,
그런 경우
교정 마무리 할 때 라미네이트나
크라운 치료를 보통 추천받게 되죠.

처음 오셨을 때 사진
그런데 이 분은 제 블로그에서
삭제 없이 레진으로 할 수 있다는 글을 보고
찾아오셨다고.
진짜 무삭제가 맞는지 재차 확인하시더라고요.
네, 완전 무삭제 맞습니다.
보통 치료 시작할 때 제가
치아를 갈아내는
치과용 드릴 기구에 손도 대지 않아요.
(모든사람이 다 그런 건 아니고,
진단이 필요합니다만
대부분은 완전 무삭제로 가능합니다.)
위에 올려둔 사진은
한달 전 사진입니다.
교정 마무리 중에 오셔서
진단을 먼저 받고 가셨어요.
그리고 이번에 오셔서
레진비니어로 진행하기로 했는데요,

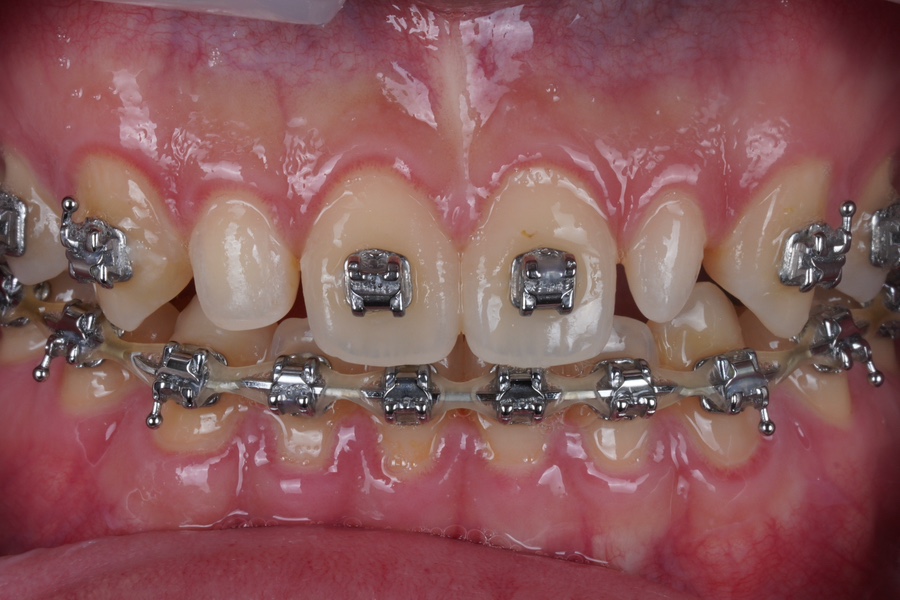
왜소치만 교정기 뗀 사진
교정기를 왜소치 부분만 떼고
철사를 뺀 상태에서 오셨습니다.
이렇게 와주시면 참 좋아요.
아니면 교정기 다 떼고
유지장치 부착 전에 오시는 게 BEST입니다.
교정기를 떼니까 왜소치가 눈에 띄죠?
왜소치는 아무래도
교정만으로는 치료가 어렵기때문에
아까 말씀드린
라미네이트나 크라운 치료를 보통 권하는데
우리 재주좋은치과에서는
완.전. 무삭제
레진비니어로도 치료가 가능합니다.
환자분께서는 정확히
Direct Composite Veneer를 원하신다고
잘 부탁드린다고 말씀하시기에
그래서 제가 또 잘 해드렸죠

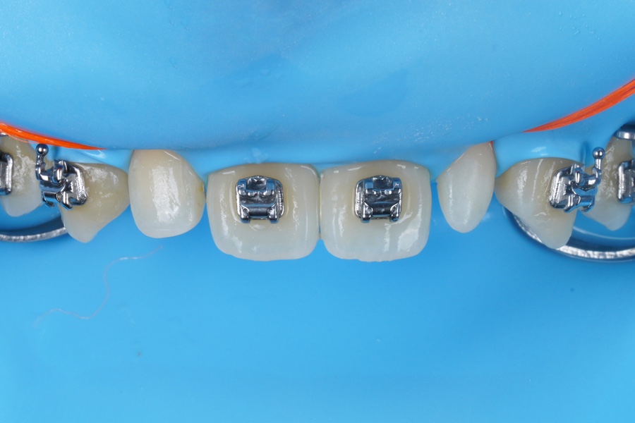
레진 비니어 완료
Direct Composite Veneer
완료 사진입니다.
순수 시술 시간은 1시간 10분!
저희 치과 왜소치 레진 비니어 접착 후
바로 교정치과에 가서
나머지 교정기도 다 떼셨어요.
교정치과에서도
자연스럽게 잘 됐다고
이야기 들으셨다고 하네요 ㅎㅎ
사실 교정이 잘 돼서
형태가 예쁘게 나올 수 있었습니다.
교정이 안된 상태로
왜소치가 너무 뒤로 가있거나
한쪽으로 치우쳐있으면
치료에 어느정도 한계가 있거든요.
아무튼 만족하셨다고 전화오셔서
리뷰 꼭 쓰겠다고 해주셔서
너무 감사했습니다.

치료는 언제나처럼
러버댐을 거는 것부터 시작합니다.
레진비니어도 레진 접착이고
제가 치아 색상을 맞춰
심미수복용 레진을 한겹 한겹 쌓아올리는
Layering Technique을 써야하니
방습이 중요합니다.

이렇게 대강 형태를 잡아뒀는데요
제가 늘 말씀드리고 강조하는
자연치아가 가진 광학적 특성!
{투명층}
그 투명층의 재현이 잘 되었죠!?
레진으로 투명층을 제가 직접 구현하는 건
상당한 집중력을 발휘해야하는
굉장히 고된 작업입니다..
투명층을 왜 굳이 만들어 줘야할까요?!
잇몸에서부터 씹는면까지
자연치아가 가지는 고유의 그라데이션
그 색상변화가
치아를 자연스러워 보이게 하고
살아있게 만드는 거라고 생각해요.

러버댐을 벗기고
환자분 얼굴에 덮어놨던 초록색 포를 걷어
얼굴을 보면서
치아의 축이 잘 맞는지
길이는 잘 맞는지
대칭이 잘 맞았는지
여러가지를 확인해가며 모양을 다듬습니다.
얼굴을 보지 않고
치아만 보면서 다듬다보면
얼굴과의 조화가 안맞는 경우가 많거든요.
치료가 잘 되어서
저도 참 뿌듯하고
환자분이 엄청 좋아하시면서
“와.. 경이롭다”
고 해주셔서 기분이 참 좋았습니다.
언제나 최선을 다하도록 노력하겠습니다.