아카이브 요약
이 페이지의 역할
재주좋은치과의원의 네이버 블로그 원문을 보존한 아카이브 페이지입니다. 어금니이야기 카테고리의 신경치료 할법한 어금니를 레진 빌드업으로 살려가는 이유 글을 통해 병원의 한국어 정보 제공 방식과 진료 관련 안내 톤을 확인할 수 있습니다.
원문 검증
필요하면 원문 블로그와 병원 프로필로 바로 이동해 문맥을 다시 확인할 수 있습니다.
출처 아카이브 열기아카이브된 블로그 글
재주좋은치과의원 · 앞니 레진 비니어 장인, 소현수 원장입니다.
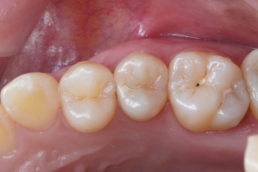
서로 다른 3명의 작은 어금니 너무 깊게 썩었지만 신경치료 대신 레진 빌드업으로 치아를 살린 사례를 공유해드립니다. 성인이되고나면 씹는면에는 충치가 잘 안생기는 대신 보통 이렇게 치아 사이에 충치가 먹게 되고 치아 사이 충치는 치과에 오지 않으면 일상생활 중에 발견하기는 절대 쉽지 않아서 매우 깊게 썩는 경우가 많...
게시일
2024년 9월 3일
원문 기준으로 확인된 발행일입니다.
카테고리
어금니이야기
원문 블로그 카테고리를 정리해 함께 표시합니다.
이미지 수
12
현재 아카이브에 연결된 이미지 수입니다.
아카이브 요약
재주좋은치과의원의 네이버 블로그 원문을 보존한 아카이브 페이지입니다. 어금니이야기 카테고리의 신경치료 할법한 어금니를 레진 빌드업으로 살려가는 이유 글을 통해 병원의 한국어 정보 제공 방식과 진료 관련 안내 톤을 확인할 수 있습니다.
원문 검증
필요하면 원문 블로그와 병원 프로필로 바로 이동해 문맥을 다시 확인할 수 있습니다.
출처 아카이브 열기서로 다른 3명의 작은 어금니
너무 깊게 썩었지만
신경치료 대신
레진 빌드업으로 치아를 살린 사례를
공유해드립니다.



성인이되고나면
씹는면에는 충치가 잘 안생기는 대신
보통 이렇게 치아 사이에 충치가 먹게 되고
치아 사이 충치는
치과에 오지 않으면
일상생활 중에 발견하기는 절대 쉽지 않아서
매우 깊게 썩는 경우가 많이 있습니다.
특히 오늘 말씀드릴 작은 어금니,
소구치는 치아 사이즈가 작아서
금새 신경까지 충치가 퍼지곤 하는데요

작은 어금니 사이가 썩어있는데
유심히 보지 않으면
어디가 썩었다는 건지
구분하기가 쉽지 않으실 겁니다.

러버댐을 걸고
조개껍데기 처럼 얇게 남은 치아를 부수니
바로 안쪽에 까맣게 썩은 치아가 드러났죠?
치아 사이가 썩은 경우에는 이렇게
겉보기와는 다르게
속이 썩어문드러져있는 경우가 많아요.
그래서 치과에 가시면 대부분
<신경치료>를 권유받게 됩니다.
그러나 제가 저번에 말씀드렸듯이
저희 치과에서는 웬만하면
신경치료 하지 않고 레진 빌드업으로
생체모방치의학에 입각한
최소침습 레진 접착 진료를 시행하고있는데요,
특히 이런 작은 어금니는
신경치료 하고
크라운을 씌우기 위해 치아를 깎아내면
남는 치아가 정말 많이 부족해져서
재치료의 가능성이 상실되고
결국 치아의 수명이 크게 단축된다는 점에서
치아의 썩은 부분만 선택적으로
최소한으로만 삭제하는
이러한 레진빌드업 콘셉트의 이점이
대단히 크다고 생각합니다.
그게 저희 치과에서
작은 어금니에 레진 빌드업을 많이 하는 이유이고요.

실제로 이렇게나 깊은 충치
대부분 신경치료 해야한다고
알고계시겠지만
레진빌드업을 잘 한다면

이렇게 거의
<원상복구>수준으로 가능하죠.
이분은 제주도에서 오신 분인데
다른 치아들도 썩은게 정말 많아서
치료할게 많았지만
다 제주도에서 진행하시라고 제가
진단만 내드렸는데,
딱 하나 작은어금니 저것만
왠지 제주도 가시면 신경치료하시고
치아 깎아서 크라운 하고 오실 것 같아
“이 치아 하나는 저희가 꼭 해드리고 싶네요”
라고 말씀드리고 레진 빌드업 해드렸어요.
다른 분도 볼까요?

이 분은 사촌누나분이 치과의사신데
제가 쓴 책을 읽어보시고
저희 치과를 추천해주셔서 방문하셨대요.

역시 멋지게
자연치아처럼 복구해드렸습니다.
이게 레진 빌드업의 장점이자 힘이죠
신경치료대신
레진으로 당일 완료,
치아 구조의 보존까지.

이렇게 눈에 띄게 썩은 경우는
안에가 더 많이 썩은 경우가 많은데

러버댐으로 치아를 격리하고
충치를 깨끗이 제거했을 때
신경이 노출될락말락
아슬아슬한 정도까지 충치를 먹었더군요.
이러면 보통 신경치료하겠지만
저희는 애써 이렇게 좋은 러버댐
ISO-DAM으로 철저하게 격리, 방습까지 했는데
왜 굳이 신경치료로 넘어갑니까
이날 바로 레진 빌드업으로 마무리해버립니다.

레진 빌드업 한 건지 안 한건지
헷갈릴 정도로.
(물론 제가 레진 빌드업으로 복원한 겁니다)
제가 하는 말들이 정말
그냥 허투루 하는 말이 아닙니다.
진단은 가장 보수적으로,
진료는 최선을 다하는 노력으로.
남들이 다 신경치료 하자고 하는 치아를
신경치료 없이 살려 가려면
그만큼 무언가 치과의사의 전문지식과
추가적인 노력이 들어가야 한다는 뜻이겠죠.
그래서 아무나 할 수 없지만
반대로 또 누구나 알고 있는 교과서적인 ‘원칙’을
지키기만 했을 뿐입니다.
언제나 최선을 다하도록 노력하겠습니다.