아카이브 요약
이 페이지의 역할
재주좋은치과의원의 네이버 블로그 원문을 보존한 아카이브 페이지입니다. 앞니이야기 카테고리의 서울 앞니 레진으로 40분 안에 자연스럽게 복원한 케이스 글을 통해 병원의 한국어 정보 제공 방식과 진료 관련 안내 톤을 확인할 수 있습니다.
원문 검증
필요하면 원문 블로그와 병원 프로필로 바로 이동해 문맥을 다시 확인할 수 있습니다.
출처 아카이브 열기아카이브된 블로그 글
재주좋은치과의원 · 앞니 레진 비니어 장인, 소현수 원장입니다.
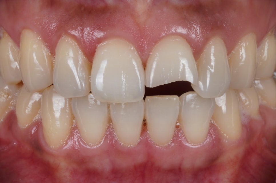
중년의 초고년차 치과위생사 선생님께서 수영장에서 앞니를 다치셔서 많은 걱정이 담긴 표정으로 저희 치과를 찾아주셨습니다. 내원 당시 모습 넘어지셔서 얼마나 놀라셨을지 ㅠㅠ 처음엔 앞니가 부러진 줄도 모르셨다가 나중에 보니 앞니가 휑 해서 정말 깜짝 놀라셨다고 해요. 부러진 파편을 찾다가 밤이라 결국 못 찾으시고...
게시일
2024년 9월 20일
원문 기준으로 확인된 발행일입니다.
카테고리
앞니이야기
원문 블로그 카테고리를 정리해 함께 표시합니다.
이미지 수
8
현재 아카이브에 연결된 이미지 수입니다.
아카이브 요약
재주좋은치과의원의 네이버 블로그 원문을 보존한 아카이브 페이지입니다. 앞니이야기 카테고리의 서울 앞니 레진으로 40분 안에 자연스럽게 복원한 케이스 글을 통해 병원의 한국어 정보 제공 방식과 진료 관련 안내 톤을 확인할 수 있습니다.
원문 검증
필요하면 원문 블로그와 병원 프로필로 바로 이동해 문맥을 다시 확인할 수 있습니다.
출처 아카이브 열기중년의 초고년차 치과위생사 선생님께서
수영장에서 앞니를 다치셔서
많은 걱정이 담긴 표정으로
저희 치과를 찾아주셨습니다.

내원 당시 모습
넘어지셔서 얼마나 놀라셨을지 ㅠㅠ
처음엔 앞니가 부러진 줄도 모르셨다가
나중에 보니 앞니가 휑 해서
정말 깜짝 놀라셨다고 해요.
부러진 파편을 찾다가
밤이라 결국 못 찾으시고
치료방법을 하루동안 꼬박 검색해보시다
치아 삭제 없이 레진으로도 가능할까싶어
저희 치과를 찾아주셨다고 합니다.
궁금한 점도 많으셨고
걱정도 많으셨지만
바로 진료받고싶어하셔서
당일날 완전 복구해드렸어요.

치료 완료
완료된 당일 모습인데요,
순수 작업 시간은 40분이 조금 안되게 걸린
38분 정도 소요되었습니다.
선생님께서 앞니를 보시고는
"와! 원장님!!"하고 놀라시는 그 모습이
제게 참 보람이 되었어요 ㅎㅎ
사진을 보시면
40분동안 입을 벌리고 계셔야해서
옆 치아의 수분이 마르면서
투명층이 사라지고 밝아졌는데,
다시 일상생활하시면서
치아에 물이 스며들면
제가 복구해드린 치아 색상과
원래 치아 색상이 완벽하게 맞아 떨어집니다.
그걸 예상 하고 시작해야 한다는 거죠.
그것은 처음 오셨을 때 부러진 치아 사진을 보시면
옆 치아 색상이 완료사진보다 어두운 걸
확인하실 수 있죠
이렇게 치료 도중에 치아 색상이 변하기때문에
재료의 색상은 반드시 작업을 시작하기 전에!
시작하는 단계에서 미리 골라놔야합니다.

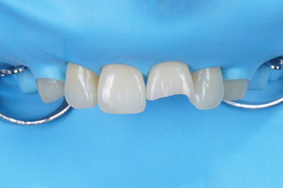
치료는 이렇게 합니다.
역시 이번에도 러버댐을 걸어요.
이렇게 부러진 경우에는
러버댐이 꼭 필요하지 않은 경우도 있지만
걸 수 있다면 거는 것이 좋습니다.
저희는 레진을 치아와 접착하기 전에
치아에 묻어있는 세균막과
단백질 피막까지 모두 제거하는
에어플로우 파우더 스케일링을 먼저 하는데
그러고 나서 혹시나 입술을 다무셔서
침이 다시 묻지 않도록
이렇게 격리하는 것이 좋습니다.

부러진 경계선을 약간 다듬은 후에
레진 접착을 위한 전처리를 합니다.
옆 치아들이 영향을 받지 않게끔
모두 격리시킵니다.
경계선을 얼마나 다듬냐 하면은

여기서 보시다시피
거의 티나지 않는 정도로
파절 선이 나중에 보이지 않게끔만
마치 서해안 백사장처럼
스무스하게 치료하는 재료와 이어지도록
처리하는 정도입니다.
미리 말씀을 드리고 치료합니다.

확대해서 보면, 화살표가 가리키는 만큼
약간 모양이 바뀌어 있는 걸 확인할 수 있죠?
저렇게 깨진 부분을 다듬는 것을
bevel (베벨)을 준다고 합니다.
경사면을 만들어 주는건데요,
삭제량은 굉장히 미미합니다.
레진 수복에 필요한 삭제량은
언제나 라미네이트보다 적다고 할 수 있습니다.
왜?
라미네이트도 레진으로 붙이거든요..
아무튼 그리고 나서 저 부분에

이렇게 치아 색과 동일한 레진을 덮어주면
윗부분이 부러진 선이
다 끝난 뒤에도 티나지 않고
레진으로 가려져서
자연스럽게 보이게 됩니다.

어떤가요?
깨진 부위와 레진 치료한 부위 경계가
전혀 티나지 않고
자연스럽게 그라데이션을 보이죠?
보시다시피 투명층도
잘 재현이 되었습니다.
투명층을 재현하는 것이
레진으로 수복하는 데 있어서
굉장히 중요한 작업이라고 생각합니다.
치아에다 뭘 한지 아무도 모르도록
자연스럽게 보이게 하는 데에
자연치가 가지는 색상 변화
그라데이션을 잘 만들어 내는 게
정말 중요하거든요.
자연스럽게 잘 복구되어서 다행입니다.
언제나 최선을 다하도록 노력하겠습니다.