아카이브 요약
이 페이지의 역할
재주좋은치과의원의 네이버 블로그 원문을 보존한 아카이브 페이지입니다. 앞니이야기 카테고리의 앞니 레진이 깨졌을 때, 재치료 잘하는 서초 치과 글을 통해 병원의 한국어 정보 제공 방식과 진료 관련 안내 톤을 확인할 수 있습니다.
원문 검증
필요하면 원문 블로그와 병원 프로필로 바로 이동해 문맥을 다시 확인할 수 있습니다.
출처 아카이브 열기아카이브된 블로그 글
재주좋은치과의원 · 앞니 레진 비니어 장인, 소현수 원장입니다.
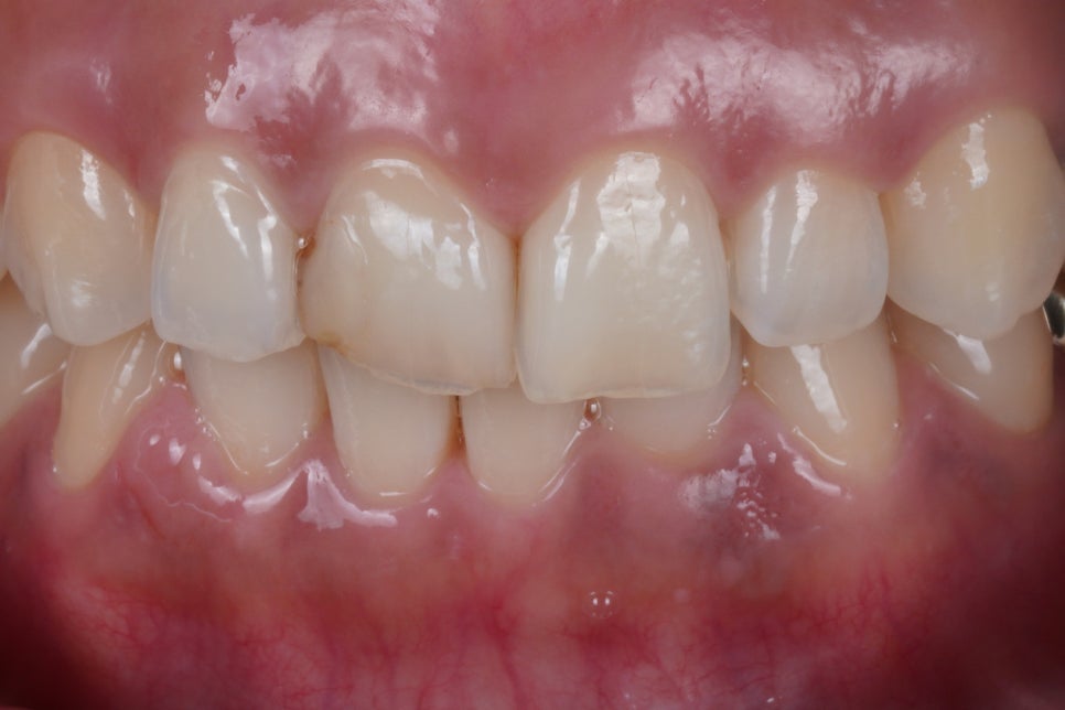
예전에 앞니 레진 받은 부위가 깨져나가서 다시 해야겠다고 고민하시던 차에 여러모로 검색해보시고, 고민해보시다 저희를 찾아주셨다고 합니다. 기존에 해놨던 부분은 특히 옆니와 앞니 사이 레진이 서로 붙어있어 치실질이 되지 않았고, 때문에 옆니에도 충치가 생겨있었는데요. 그점도 이미 알고계셔서 함께 수복하기로 했습니...
게시일
2024년 9월 24일
원문 기준으로 확인된 발행일입니다.
카테고리
앞니이야기
원문 블로그 카테고리를 정리해 함께 표시합니다.
이미지 수
5
현재 아카이브에 연결된 이미지 수입니다.
아카이브 요약
재주좋은치과의원의 네이버 블로그 원문을 보존한 아카이브 페이지입니다. 앞니이야기 카테고리의 앞니 레진이 깨졌을 때, 재치료 잘하는 서초 치과 글을 통해 병원의 한국어 정보 제공 방식과 진료 관련 안내 톤을 확인할 수 있습니다.
원문 검증
필요하면 원문 블로그와 병원 프로필로 바로 이동해 문맥을 다시 확인할 수 있습니다.
출처 아카이브 열기예전에 앞니 레진 받은 부위가 깨져나가서
다시 해야겠다고 고민하시던 차에
여러모로 검색해보시고, 고민해보시다
저희를 찾아주셨다고 합니다.

기존에 해놨던 부분은 특히
옆니와 앞니 사이 레진이 서로 붙어있어
치실질이 되지 않았고,
때문에 옆니에도 충치가 생겨있었는데요.
그점도 이미 알고계셔서
함께 수복하기로 했습니다.

그 결과, 이렇게 자연스럽게 되었어요.
앞니는 제가 유명해진 이유이자 잘하는 진료인
Direct Composite Veneer 입니다.
역시나 자연치아가 가진
고유의 그라데이션
<투명층>도 재현해드렸습니다.
치아 사이즈도 잘 맞춰 드렸고요.

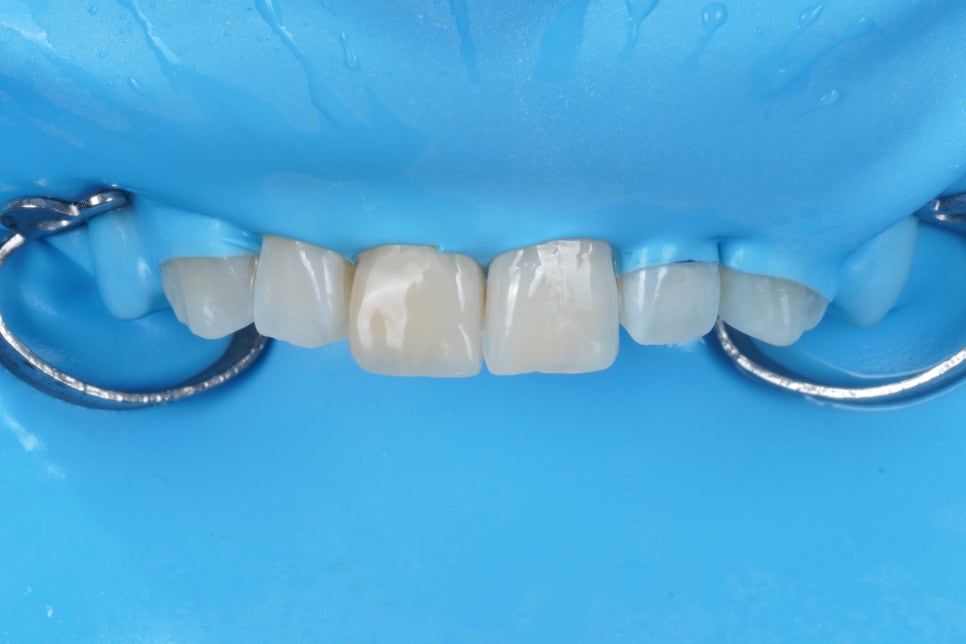
기존 레진은 이미 오염되어서
못쓰는 상태에 이르렀습니다.
이렇게
<러버댐>이라는 재료를 이용해서
때울 부위를 구강내와 격리하는
사전작업이 필요한 이유입니다.
침과 피, 구강내 습기로부터
격리되지 않은 부위는
언제든 이렇게 오염될 수 있습니다.

레진(Composite)은 세라믹에 비하면
변색에 취약한 재료인만큼
치료과정에서
방습과 격리를 잘 해야 합니다.
방습과 격리가 잘 된 레진은
세라믹과 그 수명이 크게 다르지 않습니다.
세라믹도 결국에는
레진으로 치아에 부착하기 때문에
세라믹과 치아 사이에
샌드위치처럼 끼워진 Resin이
결국 변색되기 때문입니다.
대부분 방습이 안된 상태에서
세라믹 라미네이트를 Resin으로 접착하기때문에
어떤면에서는 러버댐 방습하에서
Resin 단일 재료로 복원하는 것이
더 우수한 장기 안정성을 가져오기도 합니다.
세라믹이냐, 레진이냐
어떤 재료로 치료하실지는
여러 전문가의 의견을 종합해서
여러분들께서 직접 결정하셔야 합니다.
사실 치료 방법에 정답은 없을 수 있습니다.
그러나 원칙은 있습니다.
원칙을 지키는 방습으로
재료가 가진 고유의 수명을 최대화하기 위해 노력하고
무엇보다 자연치와 유사한 색상과
형태를 부여할 줄 아는
경험 많은 치과의사에게
상담 받으시는 것이 좋겠습니다.
읽어주셔서 감사합니다.
앞니 레진 비니어 65만원
옆니 사이 충치 40만원
24.09.24. 치료비용 (치료 난이도별 별도 가격이 책정되며 치아 하나당 최대 100만원까지 치료비가 발생될 수 있습니다)

교대역 사거리(법원검찰청교차로) 실제 전광판