아카이브 요약
이 페이지의 역할
재주좋은치과의원의 네이버 블로그 원문을 보존한 아카이브 페이지입니다. 어금니이야기 카테고리의 신경치료 후 크라운 씌운 치아 통증, 재신경치료 및 지르코니아 크라운 재치료 글을 통해 병원의 한국어 정보 제공 방식과 진료 관련 안내 톤을 확인할 수 있습니다.
원문 검증
필요하면 원문 블로그와 병원 프로필로 바로 이동해 문맥을 다시 확인할 수 있습니다.
출처 아카이브 열기아카이브된 블로그 글
재주좋은치과의원 · 앞니 레진 비니어 장인, 소현수 원장입니다.
예전에 크라운 씌운 치아가 살짝 건들기만해도 너무 아파서 저희 치과를 찾아주신 분의 이야기입니다. 이미 한 번 신경치료 받았던 게 또 아프면 이제는 뽑아야하나 걱정이 되시죠, 물론 그런 경우도 있겠지만 이번에는 재신경치료를 통해 염증과 통증을 잡고 다시 크라운을 씌워 치아를 살려보기로 했습니다. 엑스레이를 찍어...
게시일
2024년 10월 1일
원문 기준으로 확인된 발행일입니다.
카테고리
어금니이야기
원문 블로그 카테고리를 정리해 함께 표시합니다.
이미지 수
7
현재 아카이브에 연결된 이미지 수입니다.
아카이브 요약
재주좋은치과의원의 네이버 블로그 원문을 보존한 아카이브 페이지입니다. 어금니이야기 카테고리의 신경치료 후 크라운 씌운 치아 통증, 재신경치료 및 지르코니아 크라운 재치료 글을 통해 병원의 한국어 정보 제공 방식과 진료 관련 안내 톤을 확인할 수 있습니다.
원문 검증
필요하면 원문 블로그와 병원 프로필로 바로 이동해 문맥을 다시 확인할 수 있습니다.
출처 아카이브 열기예전에 크라운 씌운 치아가
살짝 건들기만해도 너무 아파서
저희 치과를 찾아주신 분의 이야기입니다.
이미 한 번 신경치료 받았던 게 또 아프면
이제는 뽑아야하나 걱정이 되시죠,
물론 그런 경우도 있겠지만
이번에는 재신경치료를 통해
염증과 통증을 잡고
다시 크라운을 씌워 치아를 살려보기로 했습니다.
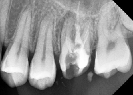
엑스레이를 찍어보니
뿌리에 염증이 잡혀있었어요.

크라운을 벗겨내고
치아 내부를 관찰해봅니다.
굉장히 지저분하죠
크라운 내부, 치아의 외면은 물론
신경치료했던 치아 내부 역시
많이 오염되어있었습니다.
치과적인 통증은
외상을 제외하면 대부분
세균과의 싸움입니다.
infection control, 감염조절이
신경치료 성공의 핵심인데요,


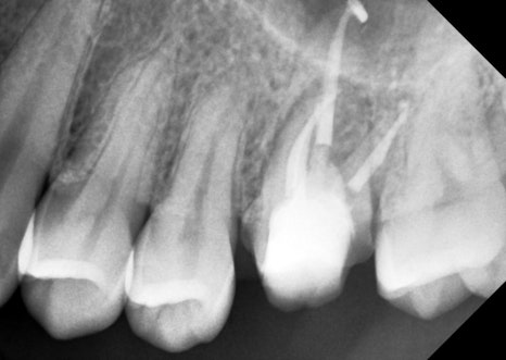
재신경치료 전/후 비교
엑스레이를 볼 줄 모르더라도
왼쪽은 지저분하고
오른쪽은 깔끔해보이시죠?
맞습니다. 깔끔하게 잘 됐습니다.
하얗게 문어다리처럼 뻗어있는 것들이
신경관에 채운 약재인데요
깨끗하게 잘 들어가서
재신경치료가 잘 마무리 됐습니다.
이전 원장님께서 못찾으셨던 신경관도 찾아서
잘 마무리했어요.
이전에 진료한 퀄리티가
나빠보이면 재신경치료를 권해드립니다만
괜찮아보인다면 사실
발치를 먼저 생각하게 되는 게 사실이죠..

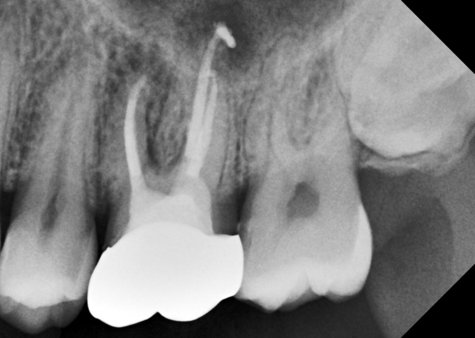
크라운 시적 엑스레이
통증도 완전히 사라지셨고
염증도 서서히 잡혀가고 있어서
만들어온 크라운을 시적해보고
엑스레이를 다시 찍었습니다.
치아 뿌리와 크라운 경계가
턱이 지지 않고
스무스하게 잘 연결됐는지
평가하는 거예요.
턱지지 않고 잘 만들어져서
바로 붙여드렸습니다.

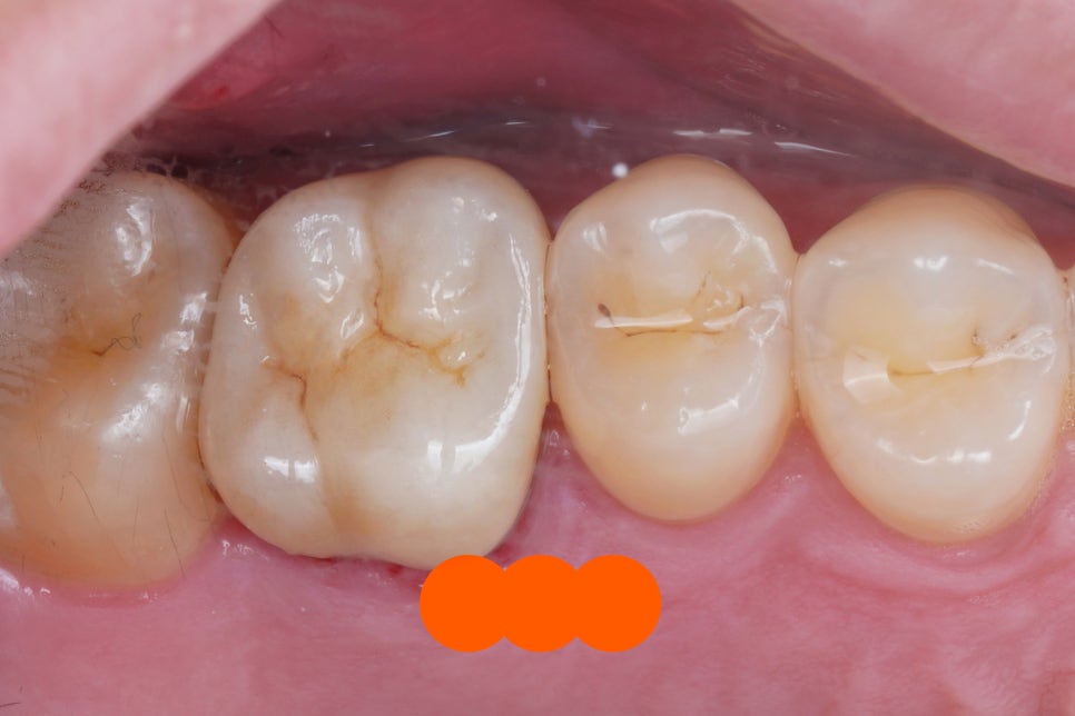
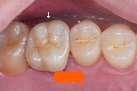
지르코니아 크라운 (큰어금니)
처음 사진과 비교하면 어떤가요
너무나도 자연치아와 비슷하게
잘 마무리 된 것 같습니다.
다시한 번 비교해볼까요?


전 후
저희가 믿고 협업하고 있는
치과 기공소 소장님께서
실력이 워낙 좋으시니까
제가 뭐 따로 조정할 것도 없었어요
원칙대로
너무 빡빡하거나 헐겁게 끼워지지 않는지,
형태적으로 이상이 없는지,
치아와 크라운의 경계가 턱지지 않았는지,
씹을 때 교합은 어떤지,
그리고 색상까지 제가 체크했는데
다 알맞게 잘 해주셨습니다. 역시!
만약 다른 치과 선생님께서 보신다면
엑스레이 찍어보지 않는 한
크라운 치료를 했는지도 헷갈리실 거예요
저도 기록을 보지 않으면 헷갈릴걸요?
오늘은 신경치료 사례를 이야기해봤습니다
이미 치료받은 게 다시 엄청 아프셔서
뽑아야하나 걱정을 하셨을텐데
다시 진료받으시고 괜찮아지셔서 다행입니다.
언제나 최선을 다하도록 노력하겠습니다.