아카이브 요약
이 페이지의 역할
재주좋은치과의원의 네이버 블로그 원문을 보존한 아카이브 페이지입니다. 치과치료이야기 카테고리의 50~60대 잇몸 염증 치료는 주기적인 스케일링부터 시작입니다. 글을 통해 병원의 한국어 정보 제공 방식과 진료 관련 안내 톤을 확인할 수 있습니다.
원문 검증
필요하면 원문 블로그와 병원 프로필로 바로 이동해 문맥을 다시 확인할 수 있습니다.
출처 아카이브 열기아카이브된 블로그 글
재주좋은치과의원 · 앞니 레진 비니어 장인, 소현수 원장입니다.
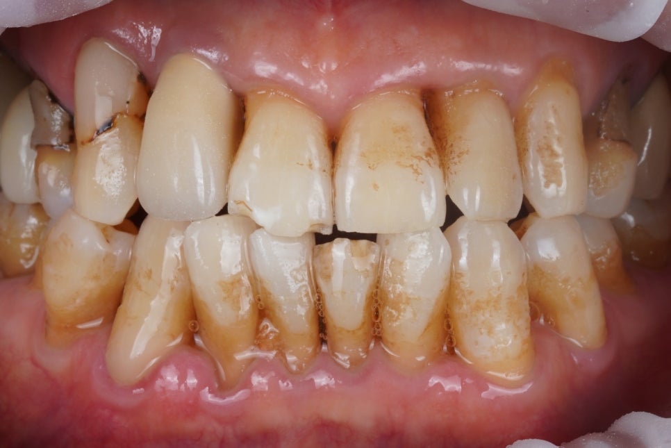
다소 불편할 수 있는 사진을 한 장 보여드리겠습니다. 오늘은 좀 보기 거북할 수 있는 사진이 몇 장 올라갈 예정입니다. 그러나 전후 차이는 확실한만큼 심호흡 한 번 하시고 시작해보겠습니다. 이분은 치아가 닳고 깨진 것도 문제이지만 그것보다는 뿌리가 드러난 치아들, '잇몸 내려앉음'이라고 표현할 수 있는 치주...
게시일
2024년 10월 25일
원문 기준으로 확인된 발행일입니다.
카테고리
치과치료이야기
원문 블로그 카테고리를 정리해 함께 표시합니다.
이미지 수
2
현재 아카이브에 연결된 이미지 수입니다.
아카이브 요약
재주좋은치과의원의 네이버 블로그 원문을 보존한 아카이브 페이지입니다. 치과치료이야기 카테고리의 50~60대 잇몸 염증 치료는 주기적인 스케일링부터 시작입니다. 글을 통해 병원의 한국어 정보 제공 방식과 진료 관련 안내 톤을 확인할 수 있습니다.
원문 검증
필요하면 원문 블로그와 병원 프로필로 바로 이동해 문맥을 다시 확인할 수 있습니다.
출처 아카이브 열기다소 불편할 수 있는 사진을 한 장
보여드리겠습니다.
오늘은 좀 보기 거북할 수 있는 사진이
몇 장 올라갈 예정입니다.
그러나 전후 차이는 확실한만큼
심호흡 한 번 하시고 시작해보겠습니다.

이분은 치아가 닳고 깨진 것도 문제이지만
그것보다는
뿌리가 드러난 치아들,
'잇몸 내려앉음'이라고 표현할 수 있는
치주질환이 더욱 문제인 경우였습니다.
그런데 환자분께서는 당장
입을 벌릴때나 웃을 때
예전에 해놓은 치경부레진 변색이나
치아에 낀 착색물질(치아 때)이
거슬려서 저희 치과를 방문해주셨는데요,
저희가 이렇게
앞니 미용치료를 잘하기는 하지만
'치과'는 아무래도 구강건강을 개선시키고
유지하는 본래의 목적을 잃어서도 안된다고
분명 그렇게 생각합니다.

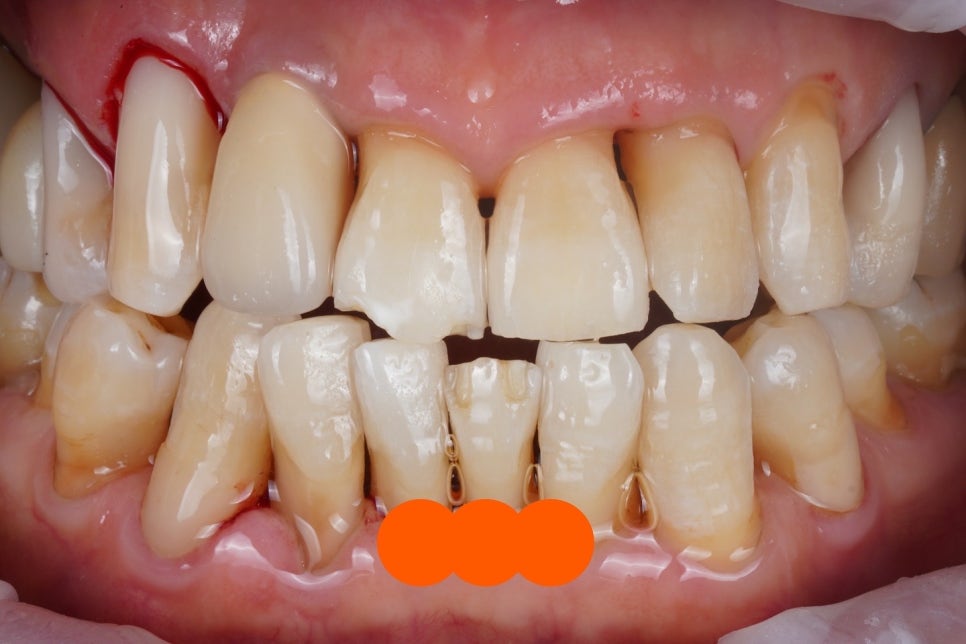
착색물질을 스위스 에어플로우 GBT
'파우더 스케일링'을 통해
깨끗하게 지워드렸고,
변색되고 떨어진 치경부 레진도
모두 교체해드렸습니다.
그냥 봐도 전후 차이가 굉장하죠?
파우더 스케일링을 하면 이렇게
치아 색이 한톤 밝아지는 효과도 있더라고요
특히 뿌리가 드러난 경우에는 몇단계 이상
밝아지는 것 같습니다.
그래서 미백 전에 비용 추가 없이 해드리고 있어요! :-)
보통 잘못 생각하고 있는 것이
치석치약으로 닦으면 치석이 없어지지 않을까?
하는 점인데요,
치석은 양치질로는 절대 없어지지 않아요.
반드시 치과에 오셔서
구강위생 전문가인
치과의사, 또는 치과위생사에게 직접
스케일링을 받으셔야 합니다.
대부분의 치주질환은 결국
양치질이 잘 안되고,
치석이 쌓이기 때문에 일어납니다.
치과에 다녀간 잠시간
양치질도 꼼꼼히 하시고, 치실도 써보시고
열심히 건강관리 해야겠다 다짐해보지만
시간이 지나면서 점점 귀찮아지고
치실도, 워터픽도 구석에 처박혀서
어디다 뒀는지도 잊게되곤 하죠?
저도 잘 압니다. 그래서 저희가 귀찮게
자꾸 3개월마다, 6개월마다
연락드리고 오셔서 검진도 받으시고
스케일링도 하시라고 자꾸 권하게 되는 것 같아요.
저희가 그냥 돈 벌려고 하는 게 아니라,
저희가 애써서 치료해드렸는데
방치해서 계속 안좋아지면...
저도 마음이 안좋거든요. 그래서 계속
치료한 데는 괜찮나,
다른데도 어디 더 망가지지는 않았나
궁금해서 부르게 되는 것 같습니다.
병원에서 오는 연락이 달갑지 않으시더라도
한번씩 찾아와주셔서 정말 감사합니다.
언제나 최선을 다하도록 노력하겠습니다.