아카이브 요약
이 페이지의 역할
재주좋은치과의원의 네이버 블로그 원문을 보존한 아카이브 페이지입니다. 어금니이야기 카테고리의 부모님(아버지) 어금니 재신경치료 해드린 썰 푼다.txt 글을 통해 병원의 한국어 정보 제공 방식과 진료 관련 안내 톤을 확인할 수 있습니다.
원문 검증
필요하면 원문 블로그와 병원 프로필로 바로 이동해 문맥을 다시 확인할 수 있습니다.
출처 아카이브 열기아카이브된 블로그 글
재주좋은치과의원 · Naver Blog
아부지가 이가 아파서 자다 일어나 몰래 진통제 찾다가 어무니한테 걸렸다고 한다. 남자들은 왜 아픈 걸 숨기는 지 모르겠다. 사실 나도 어디가 아프면 그냥 이러다 말겠지 ㅋㅋ 싶긴 한데 치통은 그러기 쉽지 않은데... 아 아무리 아들이 치과의사라도 치과 가는 건 다 똑같이 무섭나보다. 근데 이번엔 진짜 안되겠는지...
게시일
2024년 10월 25일
원문 기준으로 확인된 발행일입니다.
카테고리
어금니이야기
원문 블로그 카테고리를 정리해 함께 표시합니다.
이미지 수
5
현재 아카이브에 연결된 이미지 수입니다.
아카이브 요약
재주좋은치과의원의 네이버 블로그 원문을 보존한 아카이브 페이지입니다. 어금니이야기 카테고리의 부모님(아버지) 어금니 재신경치료 해드린 썰 푼다.txt 글을 통해 병원의 한국어 정보 제공 방식과 진료 관련 안내 톤을 확인할 수 있습니다.
원문 검증
필요하면 원문 블로그와 병원 프로필로 바로 이동해 문맥을 다시 확인할 수 있습니다.
출처 아카이브 열기아부지가 이가 아파서
자다 일어나 몰래 진통제 찾다가
어무니한테 걸렸다고 한다.
남자들은 왜 아픈 걸 숨기는 지 모르겠다.
사실 나도 어디가 아프면
그냥 이러다 말겠지 ㅋㅋ 싶긴 한데
치통은 그러기 쉽지 않은데...
아 아무리 아들이 치과의사라도
치과 가는 건 다 똑같이 무섭나보다.
근데 이번엔 진짜 안되겠는지
아부지가 결국 치과에 오셨다.

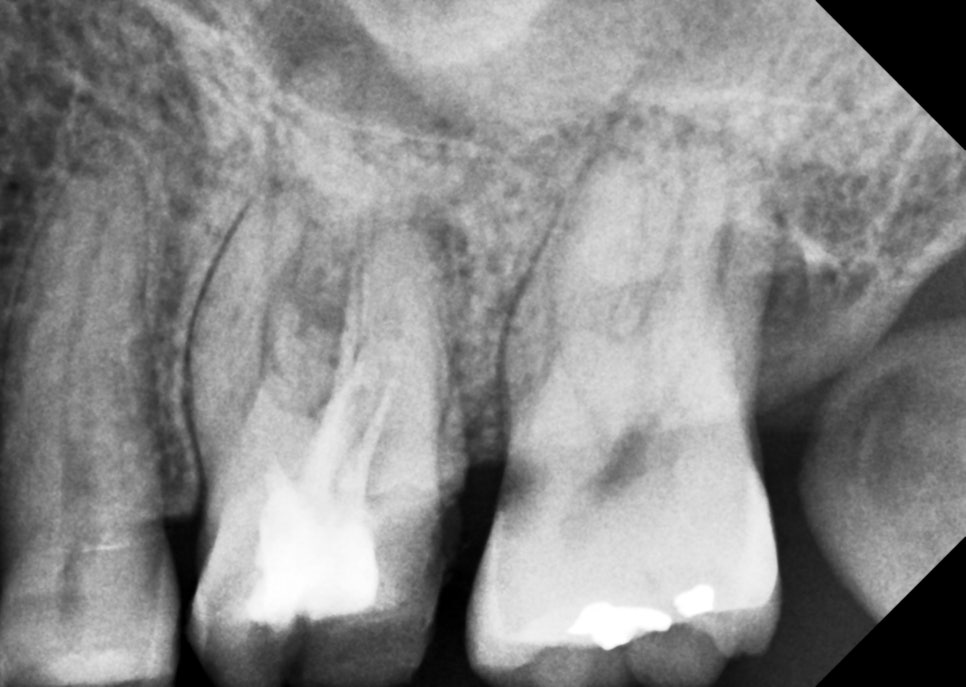
엑스레이 사진을 찍어보니,
옛날에 신경치료 받으시고
금니까지 씌워놓은 치아인데..
참 마음이 그랬다.
내가 공부를 더 잘해서
고등학교 졸업하자마자 치대 가고
5년 더 빨리 치과의사가 됐으면
이래 되지 않지 않았을까~

크라운을 뜯고 엑스레이를 찍는데
뿌리 끝에 염증이 가득하다.
무슨 사정이 있었겠지...
싼 치과 가셨다고 하는데...
아부지 왜 그랬냐고도 못했다.
내가 했으면 지금보단 나았겠지만,
그렇다고 아예 탈이 안날 수가 있느냐 하면은
그거는 솔직히 누가 해도 모르는 일이다.
신경치료는 참 어렵다.
그래도 이제 아들이 치과치료 잘 하니까
다시 한 번 해봅시다

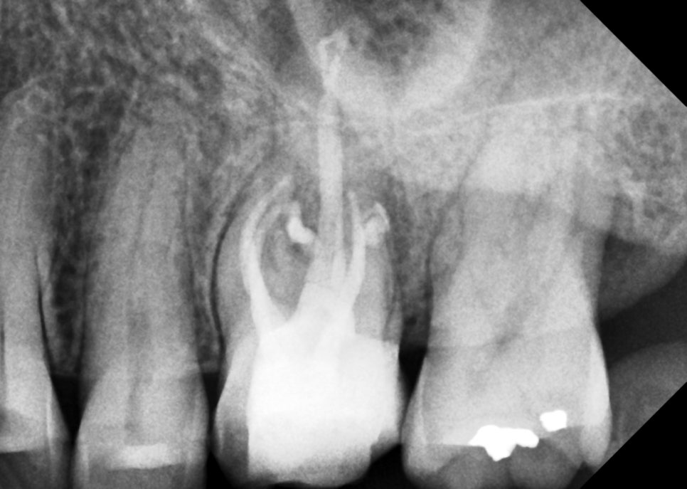
MB2 발견
그 전에 진료하신 원장님이 못 찾은
숨겨진 근관도 하나 더 찾았다.
치아 하나에 신경관이 참 많다.
이게 진짜 어려운 일이지만
아빠라서 특별히 해준 것은 아니다.
웬만하면 다 찾는다.
직원들 보기에 부끄럽지 않은 원장이 되고싶다
그러니
아빠라고 특별이 뭘 더 해주거나 그러는 게 아니라
다른 분들하고 똑같이
언제나 할 수 있는 한 최선을 다할 뿐이다.

재신경치료 완료
동료들이 이거 보면 다들 고생했다고 할 것같다.
재신경치료라는 건 참 어렵다.
신경관 긁어내는 바늘이 부러지기도 쉽고
기존에 어설픈 시도로 인해서
시간이 지나며 신경관이 꽉 막혀버리기도 한다.
2차우식으로 인해서
남아나는 치아가 없어지기도 하고
염증을 일으키는 세균의 종류도
훨씬 강력한 놈이라
여러모로 어려운 치료이지만
그래도 할 수 있는 한 열심히 해봤다
안아프다니 다행인데
크라운 깎을 때 물 나오는 게 힘든 거는
진짜 아부지라고 뭐 더 신경써줄 수가 없다
나이가 들면 더더욱
구인두 근육이 약해지니까
코로 숨 쉬라고 해도
바람이 목으로 새는 건 어쩔 수가 없고...

그래도 잘 깎았다.