아카이브 요약
이 페이지의 역할
재주좋은치과의원의 네이버 블로그 원문을 보존한 아카이브 페이지입니다. 앞니이야기 카테고리의 실활치 미백 과정, 크라운 없이 레진으로 마무리 해요 글을 통해 병원의 한국어 정보 제공 방식과 진료 관련 안내 톤을 확인할 수 있습니다.
원문 검증
필요하면 원문 블로그와 병원 프로필로 바로 이동해 문맥을 다시 확인할 수 있습니다.
출처 아카이브 열기아카이브된 블로그 글
재주좋은치과의원 · Naver Blog
앞니 하나만 변색되어 실활치 미백을 고민하고 계시다면 라미네이트, 또는 크라운 치료 대신 치아를 최소한으로만 삭제하는 실활치 미백 + 레진 코어 마무리 방법을 먼저 생각해보셨으면 좋겠습니다. 말씀드린대로 저희 치과는 언제나 가장 보존적인 진단과 치료계획을 위해 노력하고 있습니다. 그와 같은 맥락에서, 색상만 문제인...
게시일
2024년 10월 29일
원문 기준으로 확인된 발행일입니다.
카테고리
앞니이야기
원문 블로그 카테고리를 정리해 함께 표시합니다.
이미지 수
5
현재 아카이브에 연결된 이미지 수입니다.
아카이브 요약
재주좋은치과의원의 네이버 블로그 원문을 보존한 아카이브 페이지입니다. 앞니이야기 카테고리의 실활치 미백 과정, 크라운 없이 레진으로 마무리 해요 글을 통해 병원의 한국어 정보 제공 방식과 진료 관련 안내 톤을 확인할 수 있습니다.
원문 검증
필요하면 원문 블로그와 병원 프로필로 바로 이동해 문맥을 다시 확인할 수 있습니다.
출처 아카이브 열기앞니 하나만 변색되어
실활치 미백을 고민하고 계시다면
라미네이트, 또는 크라운 치료 대신
치아를 최소한으로만 삭제하는
실활치 미백 + 레진 코어 마무리 방법을
먼저 생각해보셨으면 좋겠습니다.
말씀드린대로 저희 치과는
언제나 가장 보존적인 진단과 치료계획을 위해
노력하고 있습니다.
그와 같은 맥락에서,
색상만 문제인 경우 굳이 크라운이나
라미네이트 치료를 받지 않고
신경치료에 필요한 부분만
치아를 삭제한 후에
레진으로 마무리하면
굉장히 자연스러운 결과를 얻을 수 있습니다.

2024.10.12.
해외에서 넘어지셔서 다치셨는데
귀국 후 바로 저희 치과를 찾아주셨습니다.
아무래도 레진으로 치료해 주는 곳이
많지는 않죠.
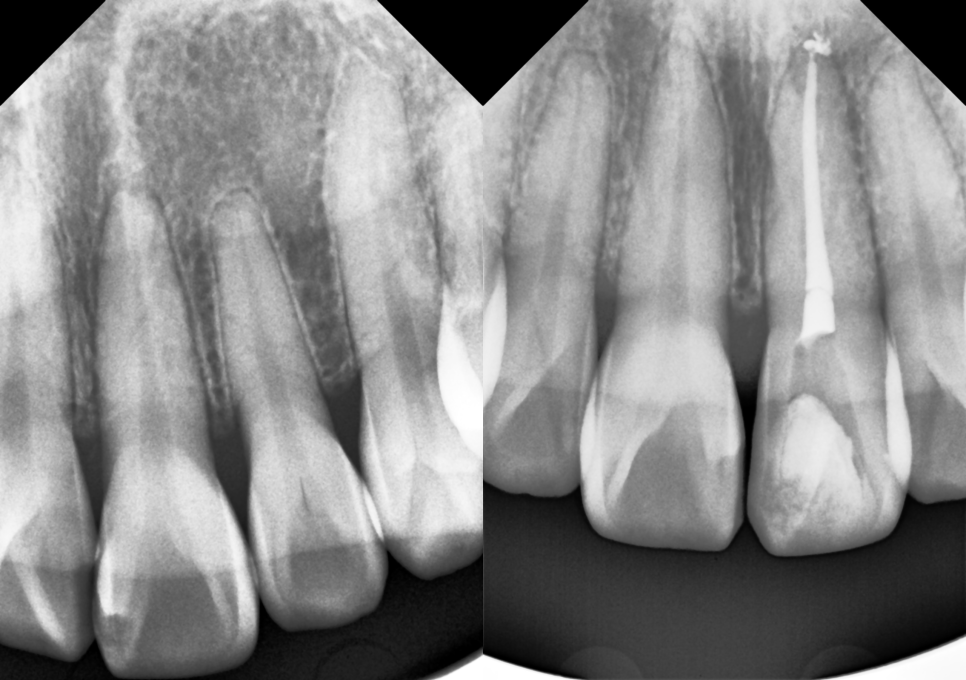
이전에 치료를 받은 적이 없는 생니이기 때문에
일단 신경치료를 진행해야 합니다.

2024.10.12.
실활치는 한자 그대로
실활치(失活齒)
활력(活)을 잃은(失) 치아(齒)입니다.
즉, '죽은 치아'라는 것이죠.
그래서 치아에 구멍을 뚫어도 피 한방울 나지 않아요.

2024.10.12.
염증이 없는 경우 신경치료는 당일 마무리 합니다.
바로 미백제를 넣기 위해서.
신경치료는 보통 여러번 오는 게 정석이지만,
그건 충치나 크랙으로 신경관이 오염된 경우고요
감염의 징후가 없는 경우
굳이 여러번 치과에 방문할 필요가 없다고 생각합니다.
single-visit RCT(root canal treatment)라고
부르는 '당일 신경치료 완료' 방법은
실활치 미백에서 굉장히 도움이 됩니다.

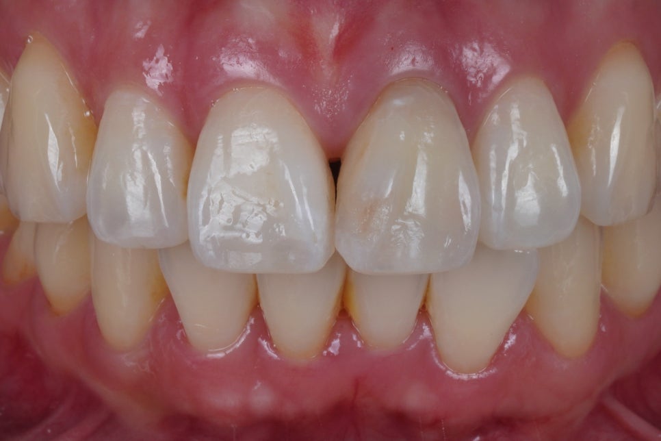
2024.10.21.
구멍 안에 미백제를 채워놓고
일단 댁에 돌아가신 뒤에
1~2주동안 이렇게 서서히 치아가 밝아집니다.
이정도만 돼도 환자분들은
적어도 보라색은 아니니까,
사회생활에도 큰 문제는 없지만
실활치 미백의 목표는 이정도가 아니죠
물론 아무리 시간을 오래 가져가도
색상이 다 안돌아오는 경우도 있지만요.
이분은 그렇지는 않을 거라고
예상이 되었죠 ㅎㅎ

2024.10.28.
완전히 색상이 다 돌아왔다고 판단이 되면
뚫어놓은 구멍을 단단하면서도
치아와 접착이 잘 되는
레진으로 메꾸게 됩니다.
저는 이 상태에서
굳이 크라운을 할 필요가 없다고 생각해요.
특히 젊은 분들인 경우에요.
크라운을 함으로 인해서
잃게되는 치아 부피가
너무나도 크다고 생각하기 때문입니다.
앞서 말씀드렸듯이,
저희는 보존적인 치료를 주로 하는 곳이니까요.