아카이브 요약
이 페이지의 역할
재주좋은치과의원의 네이버 블로그 원문을 보존한 아카이브 페이지입니다. 앞니이야기 카테고리의 블랙 트라이앵글 (블트) 레진으로 건강하게 치료하는 방법 글을 통해 병원의 한국어 정보 제공 방식과 진료 관련 안내 톤을 확인할 수 있습니다.
원문 검증
필요하면 원문 블로그와 병원 프로필로 바로 이동해 문맥을 다시 확인할 수 있습니다.
출처 아카이브 열기아카이브된 블로그 글
재주좋은치과의원 · Naver Blog
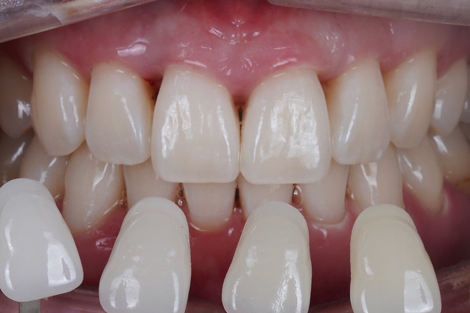
기존에 교정치료를 받으셨는데 블랙트라이앵글이 심해서 너무 신경쓰여 치료를 받으러 오셨어요. 잇몸뼈가 안좋으셔서 치아를 잡아주고 있는 잇몸이 내려가서 생긴 문제였습니다. 그래서 일단 블트 치료 전에 치아 뿌리 부분에 붙어 있는 잇몸 아래 치석을 깨끗이 제거하는 잇몸치료가 선행되어야 했어요. 파노라마 엑스레이에...
게시일
2024년 11월 1일
원문 기준으로 확인된 발행일입니다.
카테고리
앞니이야기
원문 블로그 카테고리를 정리해 함께 표시합니다.
이미지 수
6
현재 아카이브에 연결된 이미지 수입니다.
아카이브 요약
재주좋은치과의원의 네이버 블로그 원문을 보존한 아카이브 페이지입니다. 앞니이야기 카테고리의 블랙 트라이앵글 (블트) 레진으로 건강하게 치료하는 방법 글을 통해 병원의 한국어 정보 제공 방식과 진료 관련 안내 톤을 확인할 수 있습니다.
원문 검증
필요하면 원문 블로그와 병원 프로필로 바로 이동해 문맥을 다시 확인할 수 있습니다.
출처 아카이브 열기기존에 교정치료를 받으셨는데
블랙트라이앵글이 심해서
너무 신경쓰여 치료를 받으러 오셨어요.

잇몸뼈가 안좋으셔서
치아를 잡아주고 있는 잇몸이
내려가서 생긴 문제였습니다.
그래서 일단 블트 치료 전에
치아 뿌리 부분에 붙어 있는
잇몸 아래 치석을 깨끗이 제거하는
잇몸치료가 선행되어야 했어요.

파노라마 엑스레이에서 보이는 치석(울퉁불퉁)
엑스레이 사진에서 이렇게 울퉁불퉁 보일정도면
상당히 치석이 많이 붙었다고 볼 수 있습니다.
그걸 마취 하고나서 깨끗이 긁어내요

치석 제거 완.
그러면 이렇게 매~끈한 뿌리를 가질 수 있습니다.
만약 치석을 제거하지 않고
레진을 떼운다면 어떻게 됐을까요?
치석이 더 잘 쌓이게 되는 건 물론이고
치석 위에 레진을 쳐발쳐발하게 되면
당연히 레진과 치아 사이 접착이 실패하고
잇몸은 계속해서 안좋아지겠죠...
이렇게 예상되는 문제를
미리 제거하고 레진을 해야합니다.

러버댐, 고급 재료인 ISO-DAM을 활용해
구강내 습한 환경과 치아를 격리시켜 줍니다.
이러한 방습/격리 테크닉은
레진 치료에 있어 굉장히 중요합니다.
스카치테이프를 물 묻은 손으로 만지면
손에 붙지 않게 쭈우욱 미끄러지거든요?
그만큼 '접착'에 있어 '수분'은 쥐약입니다.
당연히 아까 치석 얘기 했듯이,
치아 표면에 묻은 단백질 코팅 피막같은 것도
접착에 방해가 되겠죠.
그래서 저희는 에어플로우 GBT 파우더스케일링
장비를 이용해서
치아를 깨끗하게 만든 뒤 레진을 접착하고 있습니다.

환자분께서도
"치료 후에도 관리 잘 되게 해주세요"
"치아 사이가 막히지 않게 해주세요"
"잇몸 더 나빠지지 않게 해주세요"
걱정이 되셨는지
한번씩 이렇게 표현을 해주시더라고요.
저도 치료 경험이 많고
어떻게 치료해야하는지 계획이 다 서있기 때문에
알아서 잘 해드리겠지만,
걱정되는 여러분의 마음도 정말로 이해합니다.
색상이나 모양을 맞추는 것 뿐만 아니라
장기적으로 얼마나 유지관리가 잘 되도록
치료하는지가
미용 치료에 있어 굉장히 중요한 부분입니다.

사례자분께서는 굉장히 만족하셨고요,
"너무 신기해요"
라고 3번이나 말씀해주셨어요.
전혀 티 나지 않게 잘 되었습니다.
언제나 최선을 다하도록 노력하겠습니다.
읽어주셔서 감사합니다.