아카이브 요약
이 페이지의 역할
재주좋은치과의원의 네이버 블로그 원문을 보존한 아카이브 페이지입니다. 앞니이야기 카테고리의 앞니 실금, 부모님 나이 든 치아 라미네이트 건강선물 글을 통해 병원의 한국어 정보 제공 방식과 진료 관련 안내 톤을 확인할 수 있습니다.
원문 검증
필요하면 원문 블로그와 병원 프로필로 바로 이동해 문맥을 다시 확인할 수 있습니다.
출처 아카이브 열기아카이브된 블로그 글
재주좋은치과의원 · Naver Blog
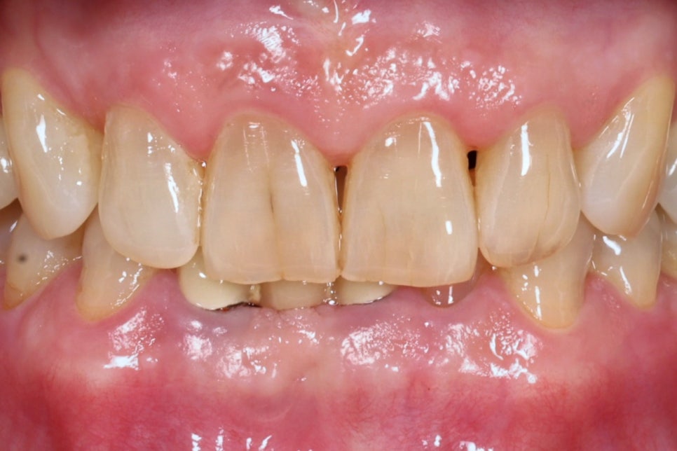
얼마전 따님이 어머님을 모시고 저희 치과에 방문해주셨는데요, 어머님 앞니가 까맣게 줄이 생겨서 보기 싫다고 오셨습니다. 어머니께서는 나는 그건 상관 없고 이가 시리고 그래서 왔다고 까만 줄 생긴 거는 상관 없다고 하셨고요. 그러면 사실 저는 그러시군요~ 하면서 다만 우리가 치료 방법을 잘 선택하면은 기왕 치료...
게시일
2024년 11월 5일
원문 기준으로 확인된 발행일입니다.
카테고리
앞니이야기
원문 블로그 카테고리를 정리해 함께 표시합니다.
이미지 수
5
현재 아카이브에 연결된 이미지 수입니다.
아카이브 요약
재주좋은치과의원의 네이버 블로그 원문을 보존한 아카이브 페이지입니다. 앞니이야기 카테고리의 앞니 실금, 부모님 나이 든 치아 라미네이트 건강선물 글을 통해 병원의 한국어 정보 제공 방식과 진료 관련 안내 톤을 확인할 수 있습니다.
원문 검증
필요하면 원문 블로그와 병원 프로필로 바로 이동해 문맥을 다시 확인할 수 있습니다.
출처 아카이브 열기얼마전 따님이 어머님을 모시고
저희 치과에 방문해주셨는데요,
어머님 앞니가 까맣게 줄이 생겨서
보기 싫다고 오셨습니다.
어머니께서는 나는 그건 상관 없고
이가 시리고 그래서 왔다고
까만 줄 생긴 거는 상관 없다고 하셨고요.
그러면 사실 저는 그러시군요~ 하면서
다만 우리가 치료 방법을 잘 선택하면은
기왕 치료 받으시는 것 더 예뻐지실 수 있다고
설명을 드립니다 ㅎㅎ

점차 나이가 들면서
치아 색상도 어둡고 탁해지고 진해지기도 하지만
치아에 생긴 실금 안쪽으로
착색 물질이 침착되면서
점점 이렇게 검은 줄이 생긴다거나,
씹는 면이 갈리고 마모되면서
불규칙하게 깨져나가게 돼요.
이런 치아를 보면 우리가 '나이가 들었다'고 하고,
법의학 분야에서 치아로 연령을 추정할 때도
이러한 특징을 활용해서 치령을 통해
나이를 추측하기도 합니다.

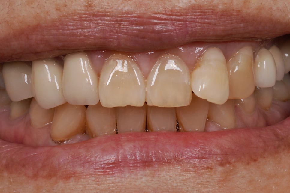
레진 비니어
레진 비니어를 통해서
치아 색상도 밝게 만들어 드리고,
원래 젊은 치아가 가지고 있는
색상 변화, 그라데이션을 재현하는 한편
실금 속으로 침투했던 색소도 가려서
훨씬 젊은 치아처럼 보이게 만들어 드렸어요.
치아 가장 바깥의 법랑질
에나멜층이 나이가 들면서 점점 마모되고
실금이 가면서 취약해지는데요
그 부분을 대체하고 보강해드림으로써
건강한 치아를 갖게 되신다고 생각하면 좋아요
치료가 끝나고
"훨씬 이뻐지셨어요 진짜" 하고 말씀드리니
멋쩍어하시면서
"왜 미용치료 하는지 알 것 같다"고
말씀해주셨습니다 ㅋㅋㅋ 정말 뿌듯했습니다

사실 저희 이모도 이렇게 치료를 해드린 적이 있는데

치과 치료를 많이 받아서
이미 진료받은 치아 색상하고
원래 치아 색상이 대비되면서
알록달록.. 뭔가 부자연 스럽죠.
특히 튀어나온 옆니는
잇몸이 많이 상해서 흔들리기까지 했어요.

앞니 라미네이트, 옆니 임플란트, 송곳니 크라운
예전에 한 치료라서
사진 화질이 요즘 같지는 않지만,
색상도 같아졌고
치아 모양도 넒은 치아 모양으로 만들어 드리고
치열도 가지런해져서
훨씬 예뻐지신 모습입니다.
라미네이트든, 레진비니어든
치료를 받으실 때는
잇몸 건강을 신경써야하는데요,
저희는 잇몸 건강을 계속 유지하실 수 있도록
라미네이트 치료 받으신 분들에게
에어플로우 파우더 스케일링 유지관리 치료를
할인된 가격으로 제공해드리고 있습니다.
앞니 미용 진료를 하면서
최대한 건강을 해치지 않아야 하는 건
당연한 고려사항이겠죠.
언제나 최선을 다하도록 노력하겠습니다.