오늘 소개해드릴 미백 사례자분은
아마 다른 치과에서 치료를 받으시던 중
화이트닝에 관심이 생기셔서 알아보다가
저희가 잘한다는 소문을 들으셨는지
이 진료만큼은 저희에게 받고 싶으시다고
찾아오셨어요.
저희는 개원 초부터
미백 효과가 좋기로 입소문이 났는데,
다른 원장님들도 저희가 어떻게 하고있는지
많이들 궁금해하실 정도였거든요.

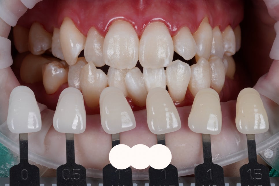
2024.11.12. 시술 전
치아가 누렇고
부분적으로 더 진한 색상인 곳도 있는데
반점치도 조그맣게 있으시네요.
저렇게 치아에 구조적 이상이 있으면
미백시 좀 더 눈에 띄게 그 부분만
더 밝아지는 경향이 있어서
미리 설명드리고 있습니다.
재좋치 원데이 화이트닝은
전체적인 치아 색상을
밝게 만들어주는 미용 시술입니다.
그래서 부가세가 별도로 발생하는데,
리뷰를 적어주시면 33에 진행하고 있어요.
그리고 만약 치아 하나만
병적으로 어두워진 경우에도
실활치 미백을 많이 해드리고 있습니다.

스위스 수입, 고가의 파우더 스케일링 장비
화이트닝 시행 전, 일단
치아를 덮고 있는 치아 때들을 벗겨내기 위해
파우더 스케일링을 실시합니다.
이 진료도 비급여로 가격이 꽤 나가는데,
미백 받으러 오신 분들이나
앞니 레진 치료를 받으러 오신 분들께는
최선의 치료 결과를 얻기 위해
별도 비용 없이 제공해드립니다.
해당 장비는 스위스 장인들이 개발한
EMS 에어플로우 GBT
파우더 스케일링 장비인데요,
대당 1500만원에 달할 정도로 고가입니다.
아무튼
치아가 어떻게 달라졌을까요?

2024.11.12. 시술 후 (1시간 30분 소요)
바로 다시 전 사진을 볼까요?

2024.11.12. 시술 전
치아 미백만으로도
인상이 굉장히 달라지기 때문에
라미네이트 고민하시기 전에
일단 미백을 먼저 받아보세요.
어차피 라미네이트 하러 가셔도
보통 미백은 하셔야합니다 ㅎㅎ
2회 +@ 원데이 전문가 미백술을
수험생 분들께는 특별가로 진행해드립니다.
전화, 톡톡 문의주시면
친절히 안내해드리겠습니다 :-)
언제나 최선을 다하도록 노력하겠습니다.
치아를 건강한 상태로 유지하는 것만큼
우리 인상을 좌우하는 치아를
미용적인 면도 신경쓰지 않을 수 없죠
꼼꼼히 알아보시고 신중이 선택하시기 바랍니다.
