아카이브 요약
이 페이지의 역할
재주좋은치과의원의 네이버 블로그 원문을 보존한 아카이브 페이지입니다. 앞니이야기 카테고리의 반점치 아이콘 레진, 삭제 없는 최소침습 레진 침투 수복법.review 글을 통해 병원의 한국어 정보 제공 방식과 진료 관련 안내 톤을 확인할 수 있습니다.
원문 검증
필요하면 원문 블로그와 병원 프로필로 바로 이동해 문맥을 다시 확인할 수 있습니다.
출처 아카이브 열기아카이브된 블로그 글
재주좋은치과의원 · 앞니 레진 비니어 장인, 소현수 원장입니다.
삭제 없이 반점치를 치료하는 방법으로 아이콘 레진에 대해 리뷰를 해보겠습니다. 원장님들께서 많이 보셨으면 좋겠습니다. . '최소침습' 치의학, 'Minimally Invasive' - Dentistry는 제가 좋아하는 치료입니다. 건강한 치아 부분은 최대한 보존하고 문제가 있는 부분만을 선택적으로 최소한으로만...
게시일
2025년 1월 2일
원문 기준으로 확인된 발행일입니다.
카테고리
앞니이야기
원문 블로그 카테고리를 정리해 함께 표시합니다.
이미지 수
4
현재 아카이브에 연결된 이미지 수입니다.
아카이브 요약
재주좋은치과의원의 네이버 블로그 원문을 보존한 아카이브 페이지입니다. 앞니이야기 카테고리의 반점치 아이콘 레진, 삭제 없는 최소침습 레진 침투 수복법.review 글을 통해 병원의 한국어 정보 제공 방식과 진료 관련 안내 톤을 확인할 수 있습니다.
원문 검증
필요하면 원문 블로그와 병원 프로필로 바로 이동해 문맥을 다시 확인할 수 있습니다.
출처 아카이브 열기삭제 없이 반점치를 치료하는 방법으로
아이콘 레진에 대해 리뷰를 해보겠습니다.
원장님들께서 많이 보셨으면 좋겠습니다.
.
'최소침습' 치의학,
'Minimally Invasive' - Dentistry는
제가 좋아하는 치료입니다.
건강한 치아 부분은 최대한 보존하고
문제가 있는 부분만을 선택적으로
최소한으로만 삭제한 후에 복원하는 것을
목표로 하는 한가지 방법인것
치과의사 선생님들은 다 알고 계시지요,
그런데 정말로 우리가
'최소침습'적으로 임상을 하고 있는지
한 번 생각해보셨나요?
만약 삭제 자체가 필요하지 않은 방법이 있다면
해당 방법을 시도해보는 것을
첫번째로 선택하는 것이 좋다고 생각합니다.
자연치아 보존을
정말로 최대 가치로 삼는다면 말이죠.

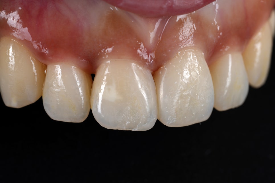
2024년 12월 31일 촬영
다른 치과에서 치아 사이를 레진으로 때우시고
반점치는 저희에게 받고싶으셔서
검색 후 찾아오신 분인데요,
앞니 중 한쪽에 하얀색 반점이 보이시죠?
네 그걸 삭제 없이 수복해보기로 했어요.
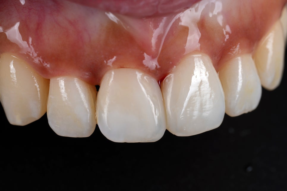
사실 저는 그것보다는
치아 사이에 레진이 오버행 되어있고(턱져있음)
치아 앞면에 레진이 좀 덕지덕지 붙어있는 게
마음이 그래서
"반점치 치료해드릴 건데.. 그 전에 제가 이것 좀 매끄럽게 해드려도 될까요 ㅠㅠ 너무 하고싶어요"
라고 환자분께 말씀 드리고
지저분한 부분을 정리하는 것을
허락 받았습니다.

2024년 12월 31일 촬영
환자분도 치아가 갑자기 매끈해졌다며
마음에 들어하셨고요,
반점치도 없어져서 신기해 하셨습니다.
저도 사진찍고나서 마음이 편안-해졌고요 ㅋㅋ
아무튼
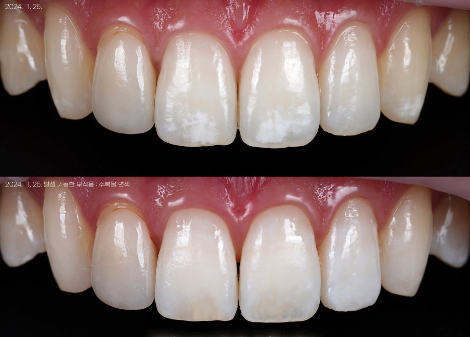
반점치는 이렇게 치아를 삭제하지 않고
"아이콘 레진"을 이용해서
해당 부위에 레진을 침투시켜 치료하는
"Resin-infiltration technique"으로
수복해볼 수 있습니다.

저는 이 재료를 좋아합니다.
그런데, 솔직히 말씀드리면
아이콘이 100% 효과가 있는 건 아닙니다.
그래서 상담시에 약간의 테크닉이 필요하지요.
이 글을 읽을 원장님들이
이 레진을 꼭 구비해 놓으셨으면 좋겠지만
해봤는데 안되면
금방 짜게 식어 안쓰게 되실까
걱정이 되기도 합니다...ㅠㅠ
어려운 케이스에서는
사용하는데에 약간의 러닝커브가 필요합니다.
포장을 뜯으면 친절히 사용법이 나와있는데
포함된 꼬다리를 에칭에 달고
나사를 돌려 약간 짠 다음
반점치 부위에 얹고
꼬다리로 조금씩 문질문질 해주면 좋습니다.
2제 리퀴드는 꼭 안쓰셔도 되는데,
아이콘으로 치료가 되는 경우
2제를 짜면 반점치 부분이 잠깐 사라집니다.
근데, 안사라진다고 치료가 안되는 게 아닙니다.
그게 참 애매하죠?
여기서 치료법을 다 설명해드리긴 힘든데..
따로 설명해드릴 기회가 있으면 좋겠습니다.

특히 여러개의 치아를 한 번에
아이콘 레진으로 수복할 수도 있는데
사실 아까처럼 치아 하나만 하는 것 보다는
이렇게 치아 여러개를 한번에 치료할 때
더더욱 진가를 발휘하는 재료입니다.
그래서 특히
"치아 교정 중에 생긴 브라켓 주변 초기우식"을
한번에 싹 하기에 굉장히 좋습니다.
그걸 그냥 두기도 뭐하고
그렇다고 삭제하자니
치료가 너무 aggressive해지고
그런 고민 한번쯤은 해보셨잖아요?
제조사인 DMG는 이 아이콘 레진에 대해서
"Whether early caries,
white spots or fluorosis -
infiltration with Icon is
painless,
drill-less
and only takes one visit."
이라고 광고하고 있는데,
ㄹㅇ 하나도 틀린 말이 없습니다.
통증 없고,
드릴 사용 안하고,
당일 치료가 완료된다.
추천드립니다.