아카이브 요약
이 페이지의 역할
재주좋은치과의원의 네이버 블로그 원문을 보존한 아카이브 페이지입니다. 앞니이야기 카테고리의 교대역 재주좋은치과 앞니 레진 비용이 저렴하지 않은 이유 글을 통해 병원의 한국어 정보 제공 방식과 진료 관련 안내 톤을 확인할 수 있습니다.
원문 검증
필요하면 원문 블로그와 병원 프로필로 바로 이동해 문맥을 다시 확인할 수 있습니다.
출처 아카이브 열기아카이브된 블로그 글
재주좋은치과의원 · 앞니 레진 비니어 장인, 소현수 원장입니다.
ANANTI 오마쥬 『심미안(審美眼)』 이라는 단어를 들어보셨나요? 네이버 국어사전에서는 "아름다움을 살펴 찾는 안목"이라고 뜻풀이를 해주네요. 이 심미안이란 것은 아름다운 것과 그렇지 않은 것을 구분하는 기준, 그것을 갖춘 안목을 말하는 단어라고 생각합니다. 영어로는 Aesthetic sense 또는...
게시일
2025년 1월 4일
원문 기준으로 확인된 발행일입니다.
카테고리
앞니이야기
원문 블로그 카테고리를 정리해 함께 표시합니다.
이미지 수
7
현재 아카이브에 연결된 이미지 수입니다.
아카이브 요약
재주좋은치과의원의 네이버 블로그 원문을 보존한 아카이브 페이지입니다. 앞니이야기 카테고리의 교대역 재주좋은치과 앞니 레진 비용이 저렴하지 않은 이유 글을 통해 병원의 한국어 정보 제공 방식과 진료 관련 안내 톤을 확인할 수 있습니다.
원문 검증
필요하면 원문 블로그와 병원 프로필로 바로 이동해 문맥을 다시 확인할 수 있습니다.
출처 아카이브 열기
ANANTI 오마쥬
『심미안(審美眼)』 이라는 단어를 들어보셨나요?
네이버 국어사전에서는
"아름다움을 살펴 찾는 안목"이라고
뜻풀이를 해주네요.
이 심미안이란 것은
아름다운 것과 그렇지 않은 것을 구분하는 기준,
그것을 갖춘 안목을 말하는 단어라고 생각합니다.
영어로는 Aesthetic sense
또는 Sense of beauty라고도 한다네요.
아름다움에 대한 안목이라는 것은
스스로 자각하고 계시든지 아니든지,
'이게 뭔가 더 좋다, 뭔가 더 끌린다. 매력있다. 예쁘다.'
하는 느낌. 그런 느낌만으로도
우리의 일상을 더 풍요롭게 만듭니다.
악마는 디테일에 숨어있다고도 하는데,
그런 디테일을 발견하고
즐거웠던 기억이 있다면
누구나 그런 심미안을 가지고 있는 것이겠죠.
제가 페이닥터로 일했던 밀양보스톤치과 로비에는
최영욱 화가님의 「Karma」가
아주 큰 액자로 한쪽 벽면을 가득 채우고 있었습니다.
저는 수요일 야간진료를 마치고 시간이 비면
퇴근 전에 항상 그 앞에 서있곤 했었지요.
'달항아리'로 많이 알고 계시는 이 작품은
도자기의 균열선, '빙열(氷裂)'이라는
유명한 디테일이 숨어 있는데요,

Karma 일부
멀리서 보면 한폭의 산수화로,
가까이서 보면 무수한 갈림길과도 같은 빙열으로,
우리 각자가 다양한 즐거움을 느끼며
작품을 감상할 수 있습니다.
저는 감히 '예술'이라고 칭할 만한 작업에는
모두 이러한 디테일이 숨어있다고 생각합니다.
제가 앞니를 수복하는 방식 역시
최대한 자연의 아름다움을 모사하는
하나의 예술이라고 생각합니다.
그래서 그만한 디테일을 흉내내기 위해
고단한 시간을 보내고, 실력을 갈고 닦았습니다.
미국, 영국, 이탈리아 등 해외에서
Direct Composite Veneer라고 부르는 방법을
영국 킹스칼리지 런던에서부터 연구하고
수년간에 걸쳐 자랑할만한 실력을 갖췄습니다.

재주좋은치과 홈페이지 대문
"똑같은 레진인데" 왜 가격이 다르냐는 말은
그래서 서운하기도 합니다.
사람도 다 똑같은 재료로 만들어졌겠죠.
근데 저랑 차은우는 다르지 않습니까?
저는 레진으로 차은우를 만듭니다.
농담이고요, (차은우 진짜 존잘이더라고요)
그런 가격의 차이를 잘 느끼지 못하시겠다면
좀 더 디테일하게 알려드리지 못한
제 부족함 때문이라고 생각합니다.
치과에서 길다면 길고 짧다면 짧은 시간 동안
상담을 해드리면서
제가 가진 디테일의 차이와 전문성을
다 보여드리기에는
무리가 있는 것도 사실입니다.
그래서 결정하시기 전에 충분히 고민하시고
제가 올려놓은 다양한 칼럼도 읽어보시고,
가격도 비교해보시고,
곰곰히 고심한 끝에 저희를 찾아와주시는 분들께
항상 감사한 마음으로 성심성의껏
최선을 다해 치료하는 것으로 보답하려고 합니다.
지금까지 컴플레인이 아예 없는 이유겠죠

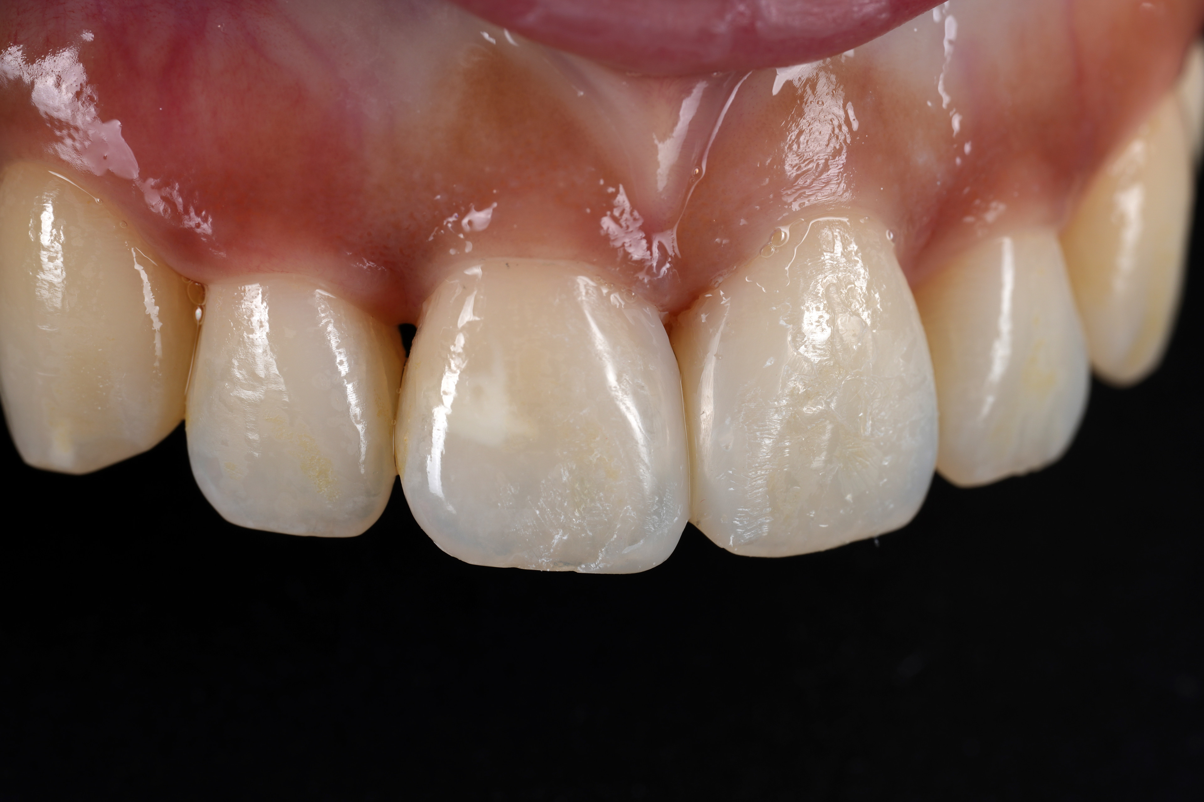
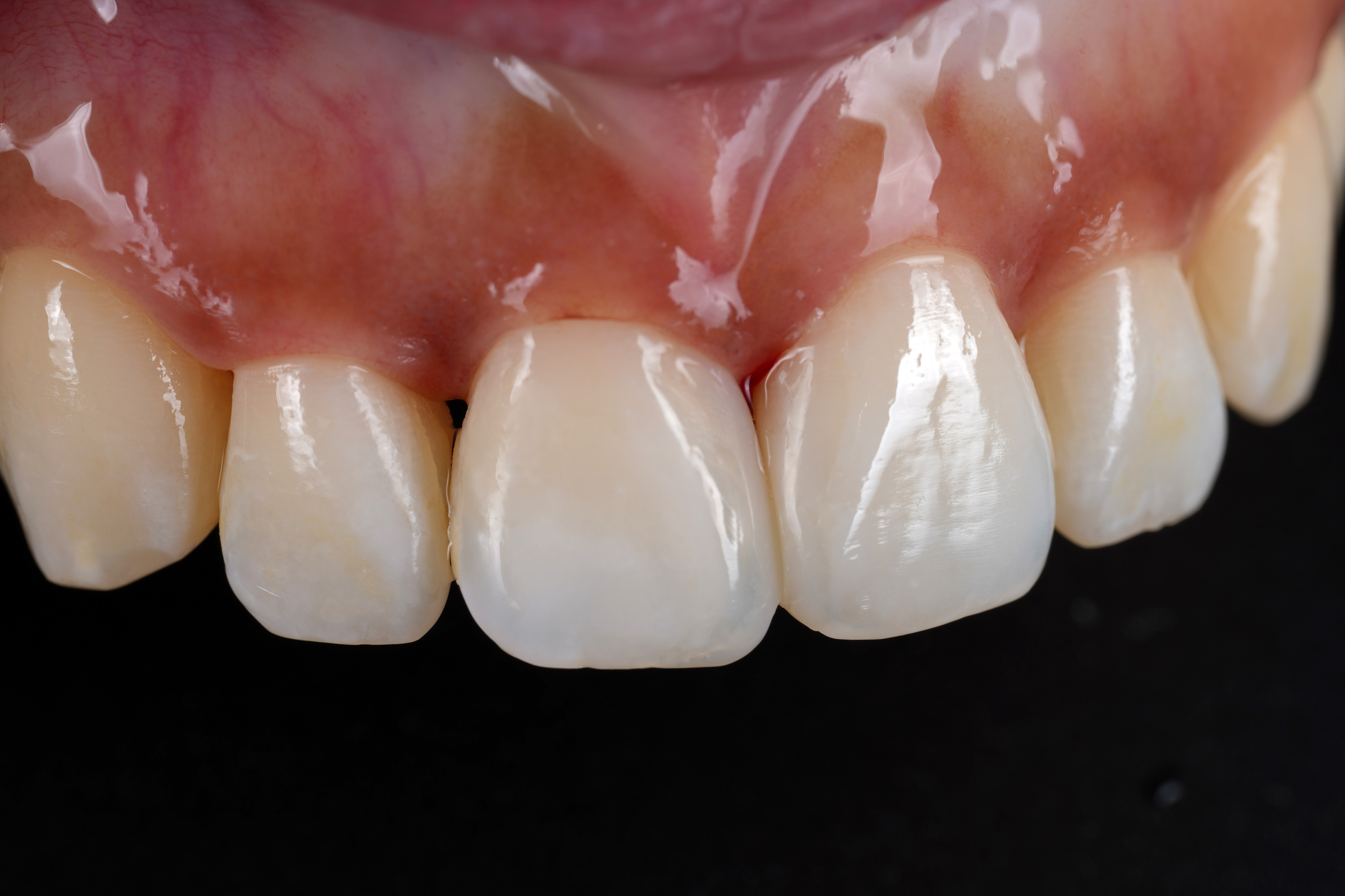
예전에 다른 치과에서 치료받은 앞니 상태

재주좋은치과에서 마무리한 뒤
그저께 쓴 글에 올린 사진인데-
이런 디테일의 차이라고 볼 수 있죠.
별 것 아니라고 생각하실 수도 있지만,
뭐랄까 그냥 ...
전문가로서의 태도라고 할까요?
어디까지를 치료의 마무리로 볼 것이냐,
얼마만큼의 퀄리티를 목표로 할 것이냐,
환자가 못알아보면 끝인가?
그런.. 마음가짐의 차이 혹은
처음에 이야기한 '심미안'의 차이에서
퀄리티의 차이가 나오는 거라고 생각합니다.
그런 차이를 그냥 퉁쳐서
'똑같은 레진'이라고 할 수 있나요?
쫌.. 긁히네요..
레진이 긁히네요... 틱틱...
저랑 차은우도 똑같다고 해주세요 그럼!
제 기준에 먼저 나온 사진 상태는
치료가 끝난 상태가 아닌 것이죠.
치과는 어차피 비쌉니다.
저는 조금 더 받고
'한번에 제대로' 해드리자는 주의입니다.
비단 우리 치과의 앞니 레진,
Direct Composite Veneer에만 국한된
이야기는 아닌 것이죠.
애티튜드라는 것이 그런 것 아니겠습니까?
그냥 삶 전체에서 드러나는 철학입니다.
무슨 일을 하든 머충머충 해치우는 것이 아니라
훌륭하게 마무리하고자 하는 그런.

저는 치료 퀄리티를 극한으로 끌어올리고
대신에 가격으로 여러분을 만족시키고 싶은 욕심을
조금 내려놓았습니다.
둘 다 할 수 있다면 너무나도 좋겠으나..
그거는 현실적으로 불가능합니다.
'좀 저렴하게 하면
더 많이 치료받으러 오지 않겠냐..' 하는
가족들의 노파심도 이해합니다.
그런데 그러자면 퀄리티를 내려놓아야 합니다.
접착 원칙을 포기해야 합니다.
디테일을 뭉개야 합니다.
제가 하는 레진 접착수복은
그냥 레진을 붙여 때우는 게 아니고
자연치아의 상아질, 법랑질,
그리고 투명층의 광학적인 특성을
'복원'시키는 거거든요.
싸고 좋은 것,
모두가 원하는 유니콘이지만
보통 좋으면 비쌉니다. 맞죠?
저는 돈을 좀 덜 벌더라도,
제 자신에게 부끄럽지 않아야 한다고 생각합니다.
저는 레진 결과물 하나 하나에
제 소울이 조금씩 담겨있다고 생각합니다.
의료인으로서의
'책임감'이라고 말할 수도,
예술가로서의
'장인정신'이라고 말할 수도 있겠지요.
치아 복원을 마치고나서 사진을 찍는 순간에
제가 얼마나 뿌듯하고 기쁜지
여러분은 절대 모를겁니다.
'아름다움'이라는 것은 주관적인 감정이지만
때로는 매우 객관적이기도 합니다.
아무리 하얗고 밝은 치아를 선호한다고한들
자연스러움이 결여된 인공물은
심미적으로 실패한 수복물이겠죠.
제가 항상 이야기하는
'Artistic' does not mean 'Artificial'이
바로 그런 뜻입니다.
단어에 Art가 들어있다고 다 Art는 아니거든요.
저는 제가 생각하는 '아름다운' 결과물을
그만한 가치를 알아봐주시는 분들께
최상의 퀄리티로 제공하기 위해서,
그리고 '자연'스러움을 추구하기 위해서,
또 '최소침습적'인 방식을 고수하기 위해서,
조금은 부담스러울 수도 있는 가격을
받을 수밖에 없다는 점을
이해해주셨으면 좋겠습니다.
저는 여러분이 먹고 이야기하고 웃는 데
불편함이 없도록 도와드리는 일에 있어
언제나 최선을 다하도록 노력하겠습니다.

ⓒ 재주좋은치과