아카이브 요약
이 페이지의 역할
재주좋은치과의원의 네이버 블로그 원문을 보존한 아카이브 페이지입니다. 앞니이야기 카테고리의 앞니 깨짐 레진 어디서할지 고민될 때 꼭 보세요 글을 통해 병원의 한국어 정보 제공 방식과 진료 관련 안내 톤을 확인할 수 있습니다.
원문 검증
필요하면 원문 블로그와 병원 프로필로 바로 이동해 문맥을 다시 확인할 수 있습니다.
출처 아카이브 열기아카이브된 블로그 글
재주좋은치과의원 · 앞니 레진 비니어 장인, 소현수 원장입니다.
앞니 이야기 하기 전에 뜬금 없이 그림 이야길 좀 해볼게요. 빈 캔버스에 "'하늘'을 그려주세요"라고 했을 때, 무턱대고 푸른 물감만 챙겨 온다면 '하늘의 색깔'에 대해 깊게 고민해 본 적이 없는 그냥 평범한 사람일 가능성이 높겠죠? 여러명의 화가에게 같은 과제를 준다면 무채색 계열 물감만 사용하는 화가도 있을 것...
게시일
2025년 1월 10일
원문 기준으로 확인된 발행일입니다.
카테고리
앞니이야기
원문 블로그 카테고리를 정리해 함께 표시합니다.
이미지 수
11
현재 아카이브에 연결된 이미지 수입니다.
아카이브 요약
재주좋은치과의원의 네이버 블로그 원문을 보존한 아카이브 페이지입니다. 앞니이야기 카테고리의 앞니 깨짐 레진 어디서할지 고민될 때 꼭 보세요 글을 통해 병원의 한국어 정보 제공 방식과 진료 관련 안내 톤을 확인할 수 있습니다.
원문 검증
필요하면 원문 블로그와 병원 프로필로 바로 이동해 문맥을 다시 확인할 수 있습니다.
출처 아카이브 열기앞니 이야기 하기 전에
뜬금 없이 그림 이야길 좀 해볼게요.
빈 캔버스에 "'하늘'을 그려주세요"라고 했을 때,
무턱대고 푸른 물감만 챙겨 온다면
'하늘의 색깔'에 대해 깊게 고민해 본 적이 없는
그냥 평범한 사람일 가능성이 높겠죠?
여러명의 화가에게 같은 과제를 준다면
무채색 계열 물감만 사용하는 화가도 있을 것이고,
어떤 화가는
자신이 가진 모든 색상을 다 활용하기도 할겁니다.

클로드 모네의 <인상, 해돋이> 1872
'치아의 색상'에 대해서도
마찬가지라고 생각해요.
치과의사들 중에서도
복원할 치아의 색상을
한가지 단일 색상으로 인식하고,
치료하는 경우를 볼 수 있습니다.
그런데 그렇지 않죠,
단 한개의 앞니를 복원해 만들어 낼 때에도
생각보다 다양한 색상,
그리고 다양한 명도와 채도, shade를 활용해야
'자연스러운', 그러니까 말 그대로
'자연'에 가까운 특성을
모방해 낼 수 있다고 생각해요.


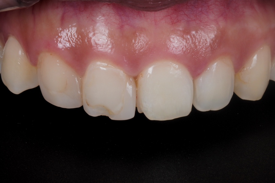
소현수 원장이 레진으로 복원한 인공 치아
왼쪽은 나이가 많이 든 치아를,
오른쪽은 젊고 어린 치아를
치과용 레진으로 제가 직접 만들어보았습니다.
이렇게 나이를 먹으면서도,
그리고 평소 어떤 음식을 자주 먹고
이갈이를 하거나,
또는 선천적으로 갖고 태어나는
광학적 특성이 사람마다 모두 다릅니다.
그래서 일률적으로 '공식'을 가지고
모든 사람을 동일하게 치료할 수 없지요.
사람들의 치아는 다 다르고
그에 알맞게 각자가 가진 치아의 모양과 색을
'인식'할 줄 아는 데에서 시작해
실제로 해당 색을
'자연스럽게' 복원할 줄 아는 것이
제가 생각하는 앞니치료의 전문성입니다.

재주좋은치과의사 블로그 모바일 대문
보시다시피
자연치아는 단일 색상이 아니거든요.
저는 영국 킹스칼리지 런던에서
심미 수복 마스터클래스를 수료하고
지금까지 6년 넘게
앞니 레진 치료를 연구해왔는데요
resin으로 앞니를 복원할 때는

자연치가 가지는 특징을 살려서
티나지 않게 복원하는 능력
그런 능력을 중요하다고 보고 있습니다.
halo effect
투명층
색상의 그라데이션,
그리고 깨진 부위가 티나지 않는 복원력.
물론 그것뿐만이 아니라
‘접착’에 대한 콘셉트가 확실하고
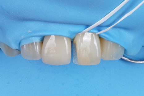
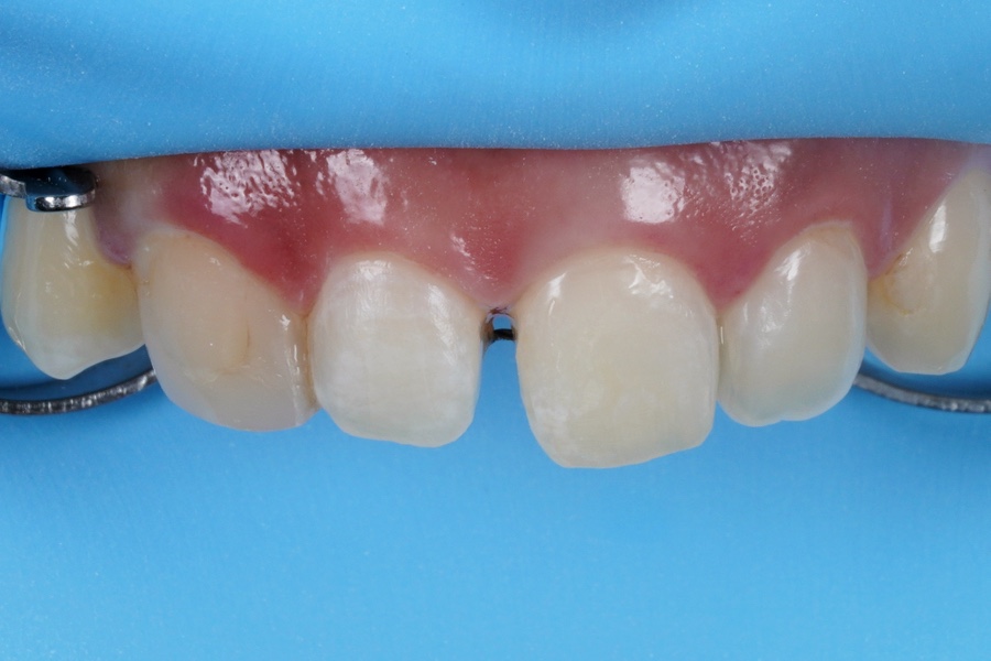
원칙을 지키는 러버댐 방습!
그것이 핵심이기도 합니다.


재주좋은치과의사 러버댐 방습
티나지 않고
예쁘게 치료하는 것 못지않게
접착 퀄리티를 최상으로 유지하기 위한
러버댐 방습과
좋은 접착 재료를 사용하는 것이
중요하겠죠
저는 앞니치료에
Optibond FL 접착제를 사용하고있습니다.
굉장히 비싼 재료일 뿐만 아니라
접착의 gold standard이기도 하고
접착강도가 매우 강력한 것으로
논문상 데이터로 입증된 재료이기도 해요.
특히 이러한 접착력을 최대한으로 활용하기 위해서
접착 술식을 진행하기 전에는
앞니 표면을 깨끗하게 정리하는데
그때 사용되는 기구가 바로
스위스에서 수입한 고가의 air polisher
EMS AirFlow prophylaxis master입니다.

Sodium bicarbonate 베이스의 파우더로
치아의 표면를 때려서
치아 구조는 손상시키지 않으면서
때, 세균, 음식물 찌꺼기, 단백질 코팅막 등을
전부 제거하는 장비입니다.
순수한 표면를 드러내놓고
레진 접착을 하는 것이죠.
그래야 레진이 치아와 온전히 접착되어서
변색에 강해질 뿐만 아니라
접착력 자체도 강해지니까요.
이 과정만 따로 ‘파우더 클리닝’ 혹은
‘파우더 스케일링’이라는 술식으로
따로 20~30만원에 제공해드리는 치료이지만
레진 치료를 받는 분들께는
당연히 필요한 진료이기 때문에
추가 비용 없이 진행하고 있습니다.
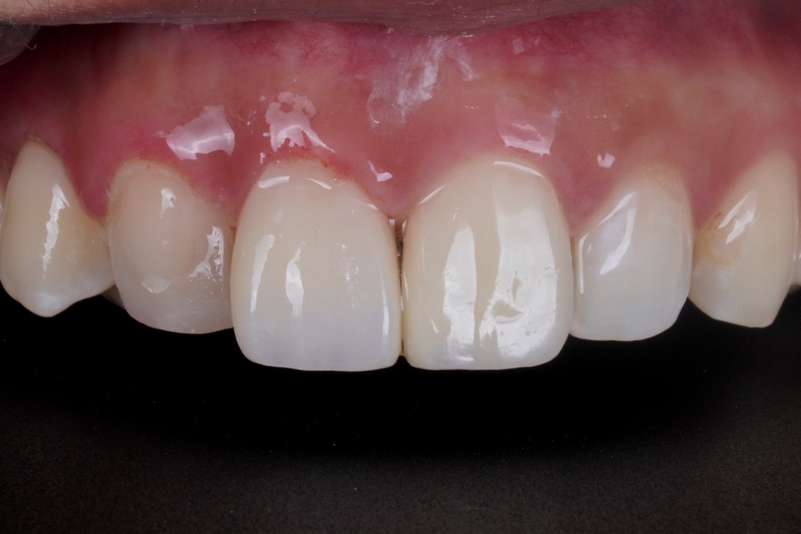
깨끗한 상태를 만들고나서



2024.10.26.
최대한 자연스러운 모양과 색상으로
주변과 어울리는 밸런스를 잡아
치과의사가 직접 디자인해
레진으로 빌드업하여 복원합니다.
원칙을 지킨다는 것은
굉장히 성가신 일이지만
수준 높은 치료를 하기 위해선
반드시 따라야하는 일이기도 하지요
티나지 않고 예쁘게
완성도 높은 결과로
디테일한 마무리.
어떤 치과를 선택해야할지
고민이 해결되셨으면 좋겠습니다.
언제나 최선을 다하도록 노력하겠습니다.