아카이브 요약
이 페이지의 역할
재주좋은치과의원의 네이버 블로그 원문을 보존한 아카이브 페이지입니다. 임플란트이야기 카테고리의 임플란트 구멍, 레진 빌드업으로 메우기 글을 통해 병원의 한국어 정보 제공 방식과 진료 관련 안내 톤을 확인할 수 있습니다.
원문 검증
필요하면 원문 블로그와 병원 프로필로 바로 이동해 문맥을 다시 확인할 수 있습니다.
출처 아카이브 열기아카이브된 블로그 글
재주좋은치과의원 · 앞니 레진 비니어 장인, 소현수 원장입니다.
레진으로 치아 복원하는 걸 좋아하는 재주좋은치과의사 소현수 원장입니다. 심미수복학을 공부하기 시작하고 레진 빌드업에 몰두해 지낸지도 오랜 시간이 흘렀네요. 오늘은 임플란트 식립 후 보철이 올라간 분의 임플란트 나사 구멍을 레진 빌드업으로 메워보았는데요 재주좋은치과의사 임플란트 구멍 레진빌드업 잘 보면 구멍이...
게시일
2025년 1월 15일
원문 기준으로 확인된 발행일입니다.
카테고리
임플란트이야기
원문 블로그 카테고리를 정리해 함께 표시합니다.
이미지 수
4
현재 아카이브에 연결된 이미지 수입니다.
아카이브 요약
재주좋은치과의원의 네이버 블로그 원문을 보존한 아카이브 페이지입니다. 임플란트이야기 카테고리의 임플란트 구멍, 레진 빌드업으로 메우기 글을 통해 병원의 한국어 정보 제공 방식과 진료 관련 안내 톤을 확인할 수 있습니다.
원문 검증
필요하면 원문 블로그와 병원 프로필로 바로 이동해 문맥을 다시 확인할 수 있습니다.
출처 아카이브 열기레진으로 치아 복원하는 걸 좋아하는
재주좋은치과의사 소현수 원장입니다.
심미수복학을 공부하기 시작하고
레진 빌드업에 몰두해 지낸지도
오랜 시간이 흘렀네요.
오늘은 임플란트 식립 후 보철이 올라간 분의
임플란트 나사 구멍을
레진 빌드업으로 메워보았는데요

재주좋은치과의사 임플란트 구멍 레진빌드업
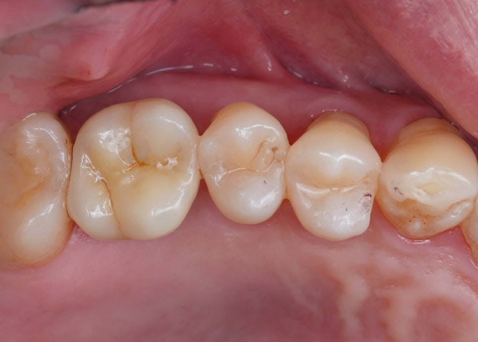
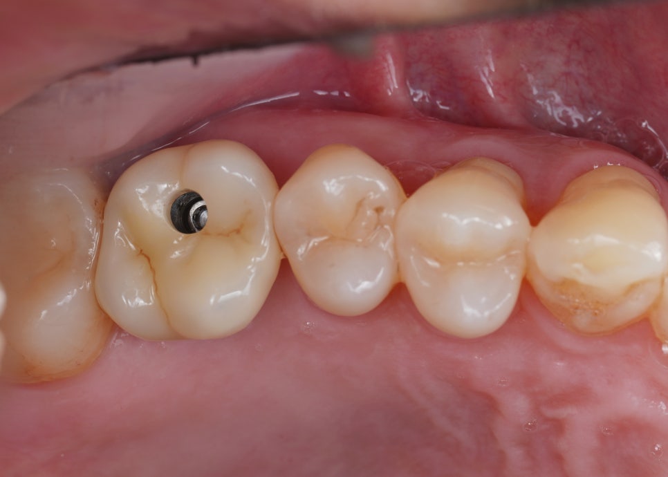
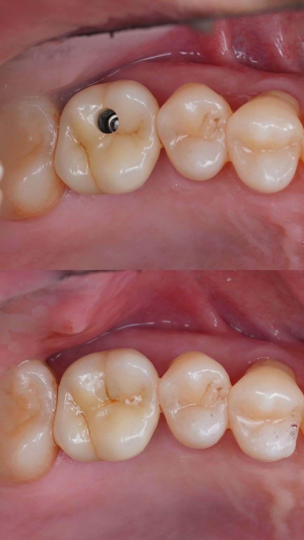
잘 보면 구멍이 보이지만
언뜻봐서는 잘 모르겠죠,
사진상 왼쪽에서 두번째 치아가
임플란트에 올라간 보철물인데요,
잘 보시면 동그렇게
뭔가 경계가 보이시죠?

원래 이렇게 임플란트 수리를 위한
나사 구멍이 있는 자리인데요,
기공소장님께서 지르코니아 크라운을
진짜 자연치아 처럼 잘 만들어주셨는데...
저기다가 그냥 간단하게 대충 레진으로 막아버리자니
기공물 퀄리티가 떨어져 보일 것 같아
저도 한 번 거들어 보았습니다.

2025.01.15.
색소는 보철물이 더 자연치아처럼 보이도록
도와주는 역할을 합니다.
저는 Optiglaze라는 제품을 사용했는데요,
다행히 잘 된 것 같네요 ㅎㅎ
사실 풀프레임 미러리스 카메라로
밝은 조명에 찍으니 좀 티가 나는 거지
입안에서 보면 전혀 티 안나요(진짜)
보철물 만들어주신
기공사 선생님께 사진 보내드렸더니
처음부터 구멍 없이 만들어드리는
Cement 타입 보철물 같다고
좋아해주시더라고요 ㅎㅎ

임플란트 구멍 메우는 걸
레진 빌드업으로 굳이 할 필요는 사실 없죠
임플란트 생존이나, 유지관리 측면에서
레진 빌드업으로 한다고 해서 어떤
다른 이득이 있는 것은 아닙니다.
그러나 보철물의 '심미성'도 분명히
치료 퀄리티의 한가지 판단 기준이 될 수 있는 만큼
자연스러운 결과를 위해서
제가 한 번 레진빌드업으로
구멍을 막아 보았는데요..
저도 매번 이렇게 할 필요는 없다고 생각하고
보철물을 봤을 때,
제가 직접 레진 빌드업 하는 게 좋겠다고 생각하면
(저렇게 색소 침착이 필요한 경우에 특히)
제가 해드리려고 해요.
언제나 최선을 다하도록 노력하겠습니다.