아카이브 요약
이 페이지의 역할
재주좋은치과의원의 네이버 블로그 원문을 보존한 아카이브 페이지입니다. 앞니이야기 카테고리의 앞니 부러짐 레진, 크리스마스 이브날 앞니 복원 글을 통해 병원의 한국어 정보 제공 방식과 진료 관련 안내 톤을 확인할 수 있습니다.
원문 검증
필요하면 원문 블로그와 병원 프로필로 바로 이동해 문맥을 다시 확인할 수 있습니다.
출처 아카이브 열기아카이브된 블로그 글
재주좋은치과의원 · 앞니 레진 비니어 장인, 소현수 원장입니다.
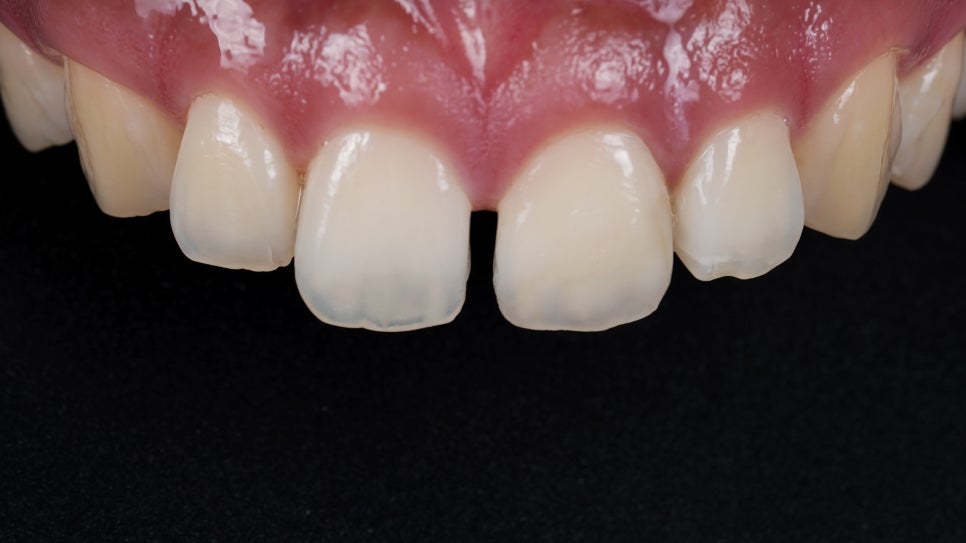
크리스마스 이브날 기존에 붙여놨던 레진이 깨졌다며 앞니가 부러진 채로 오신 분이 계셨습니다. 감쪽같이 레진으로 복원해드렸었는데 어느새 4주가 지나 치료한 부위 체크를 받으러 오셨어요. 근데 정말로 티가 안나게 잘돼서 사진을 찍어보았습니다. 2025.01.20. 어디를 했다는 건지.. 쉽게 찾을 수 없으실 거...
게시일
2025년 1월 20일
원문 기준으로 확인된 발행일입니다.
카테고리
앞니이야기
원문 블로그 카테고리를 정리해 함께 표시합니다.
이미지 수
4
현재 아카이브에 연결된 이미지 수입니다.
아카이브 요약
재주좋은치과의원의 네이버 블로그 원문을 보존한 아카이브 페이지입니다. 앞니이야기 카테고리의 앞니 부러짐 레진, 크리스마스 이브날 앞니 복원 글을 통해 병원의 한국어 정보 제공 방식과 진료 관련 안내 톤을 확인할 수 있습니다.
원문 검증
필요하면 원문 블로그와 병원 프로필로 바로 이동해 문맥을 다시 확인할 수 있습니다.
출처 아카이브 열기크리스마스 이브날
기존에 붙여놨던 레진이 깨졌다며
앞니가 부러진 채로 오신 분이 계셨습니다.
감쪽같이 레진으로 복원해드렸었는데
어느새 4주가 지나
치료한 부위 체크를 받으러 오셨어요.
근데 정말로 티가 안나게 잘돼서
사진을 찍어보았습니다.

2025.01.20.
어디를 했다는 건지..
쉽게 찾을 수 없으실 거예요.
이 치아인가?
이부분인가?
잘 살펴보셨나요?

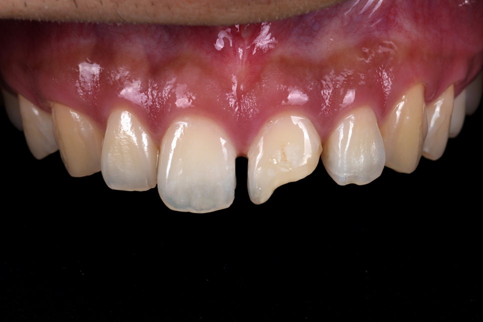
2025.12.24.
당사자분께서는
깜짝 놀라버리셨어요
환자분께서 오늘 오셔서
"아주 만족해요"
라고 하셨을 정도 ㅎㅎ
저도 만족해요...환자분....
이제 꾸준히 관리해드릴 일이 남았네요.

2024.12.24.
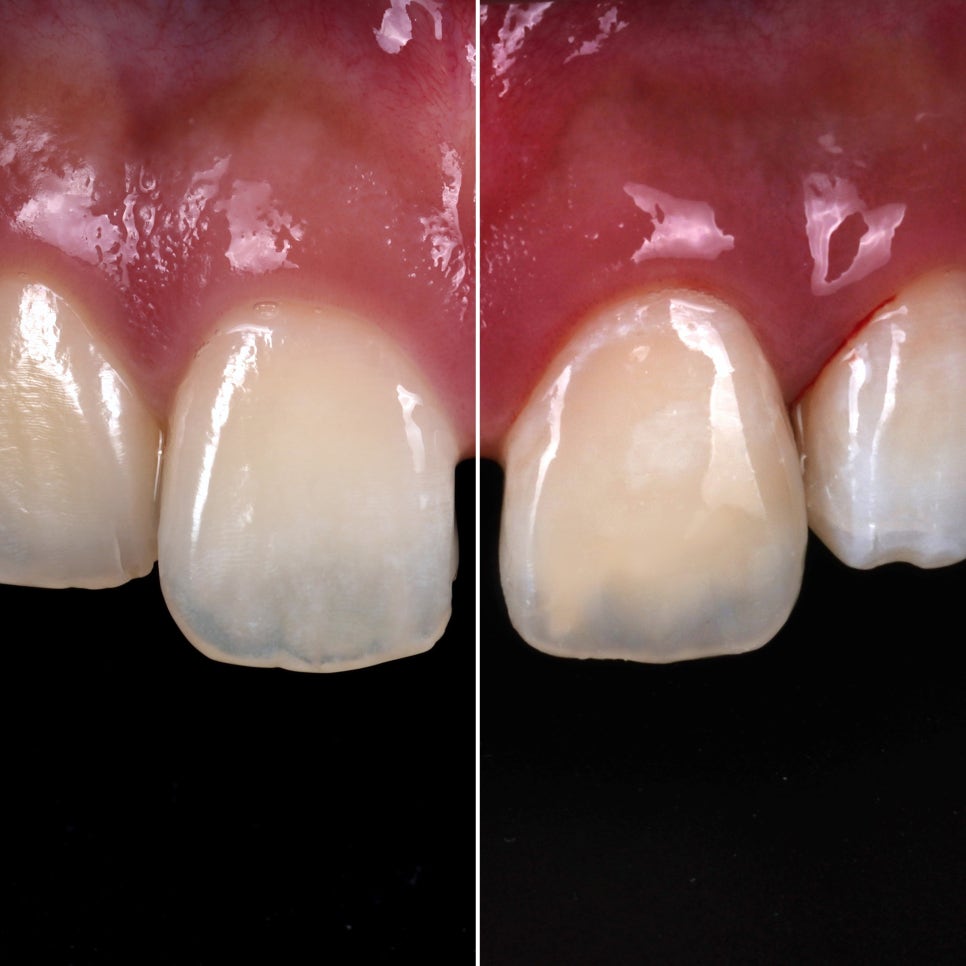
아무것도 하지 않은 치아와 치료 직후의 치아입니다.
일부러 재현해드린 투명층이
치로 직후에는 좀 과한가 싶을 수 있지만
시간이 지나면서 자연스럽게
색상이 맞춰지곤 합니다.
평소 생활하시는 데 전혀 불편함이 없도록
도와드리는 일을 잘 하는 재좋치..
그것이 재주좋은치과의사...

이건 제가 치과용 레진을 이용해서
가짜로 치아를 만들어본 건데요,
나이든 치아의 특징을 살려서
어르신들의 치아처럼 만들어보았습니다.
자연치아는 다양한 색상 변화와
개개인마다 다 다른 특성을 갖고있어요.
그래서
진짜 자연스러운 치료를 하려면
시간이 오래 걸릴 수밖에 없습니다.
그저 단일 색상으로
획일화된 모양으로 라미네이트를 붙여버리는
그런 작업은
쉽게 할 수 있고 저렴한 치료인 반면에
말만 개인 맞춤형이네 어쩌네 하는 치료가 아니라
진짜 '자연스러움'을 모방하는 치료로
언제나 최선을 다하도록 노력하겠습니다.
감사합니다.