아카이브 요약
이 페이지의 역할
재주좋은치과의원의 네이버 블로그 원문을 보존한 아카이브 페이지입니다. 앞니이야기 카테고리의 앞니 깨짐, 레진으로 감쪽같이 복원하는 방법 글을 통해 병원의 한국어 정보 제공 방식과 진료 관련 안내 톤을 확인할 수 있습니다.
원문 검증
필요하면 원문 블로그와 병원 프로필로 바로 이동해 문맥을 다시 확인할 수 있습니다.
출처 아카이브 열기아카이브된 블로그 글
재주좋은치과의원 · 앞니 레진 비니어 장인, 소현수 원장입니다.
다쳐서 치아가 깨져나갔거나 점점 마모되거나 다양한 이유로 치아가 마모되고, 살짝씩 깨지는 일이 있을 수 있어요 어떻게 치료해야하나 고민되는 분들이 많이 계실 것으로 생각하는데요, 가뜩이나 손상된 치아를 더 많이 삭제하지 않고 레진으로 해당 부위를 감쪽깥이 복원할 수 있어서 해당 방법에 대해서 소개를 해드릴까 합니다...
게시일
2025년 3월 19일
원문 기준으로 확인된 발행일입니다.
카테고리
앞니이야기
원문 블로그 카테고리를 정리해 함께 표시합니다.
이미지 수
4
현재 아카이브에 연결된 이미지 수입니다.
아카이브 요약
재주좋은치과의원의 네이버 블로그 원문을 보존한 아카이브 페이지입니다. 앞니이야기 카테고리의 앞니 깨짐, 레진으로 감쪽같이 복원하는 방법 글을 통해 병원의 한국어 정보 제공 방식과 진료 관련 안내 톤을 확인할 수 있습니다.
원문 검증
필요하면 원문 블로그와 병원 프로필로 바로 이동해 문맥을 다시 확인할 수 있습니다.
출처 아카이브 열기다쳐서 치아가 깨져나갔거나
점점 마모되거나 다양한 이유로
치아가 마모되고, 살짝씩 깨지는 일이 있을 수 있어요
어떻게 치료해야하나 고민되는 분들이
많이 계실 것으로 생각하는데요,
가뜩이나 손상된 치아를 더 많이 삭제하지 않고
레진으로 해당 부위를 감쪽깥이 복원할 수 있어서
해당 방법에 대해서 소개를 해드릴까 합니다.

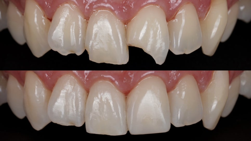
씹는 부분이 살짝 떨어져나간 분이신데요,
크라운이나 라미네이트로 치료할수도 있겠지만
치아를 전혀 삭제하지 않고
다듬지도 않고
그 상태 그대로에서 치료할 수 있는 방법
레진 빌드업을 설명드릴게요.
사진을 보시면 자연치아의 비율을 잘 회복해서
아름다운 모습으로 되돌아간 걸 확인할 수 있는데요
처음 진단과정에서 치아를 디자인할 때
얼만큼 치료할지를 경험있는 치과의사가
계획을 잘 세우는 것이 참 중요한 것 같습니다.
특히 다양한 색상의 레진을 활용해서
진짜 자연치아가 가진 색상의 변화
광학적인 빛 투과/반사 효과,
투명층, 그라데이션 등을 표현해주면
말그대로 마치 시간을 되돌린 것처럼
온전했던 치아로 되돌아간듯한 착각이 일죠.

이 경우도 깨진 치아를 레진으로 복원했는데
아주 조금 치아를 부드럽게 다듬은 후에
다양한 색상의 레진을 접착해서
전혀 치료하지 않은 것처럼 치료가 되었습니다.
이 경우에는 원래 깨진 앞니가
똑바로 나지 않고 비틀어져 있었는데,
치료하면서 경사를 수정해서
마치 똑바로 난 것 처럼 보이도록 착시를 주었죠
치료 계획을 어떻게 세우는지가
정말 중요한 이유이기도 합니다.
단순히 깨진 부분만 때우는 게 아니라
밸런스가 좋아 아름다운,
치료결과가 가장 좋은 방향을 고민하고
환자분께 추천을 해주어야 하는 것이죠.

이렇게 '살짝 깨짐' 부위도
감쪽같이 레진으로 당일 치료할 수 있습니다.

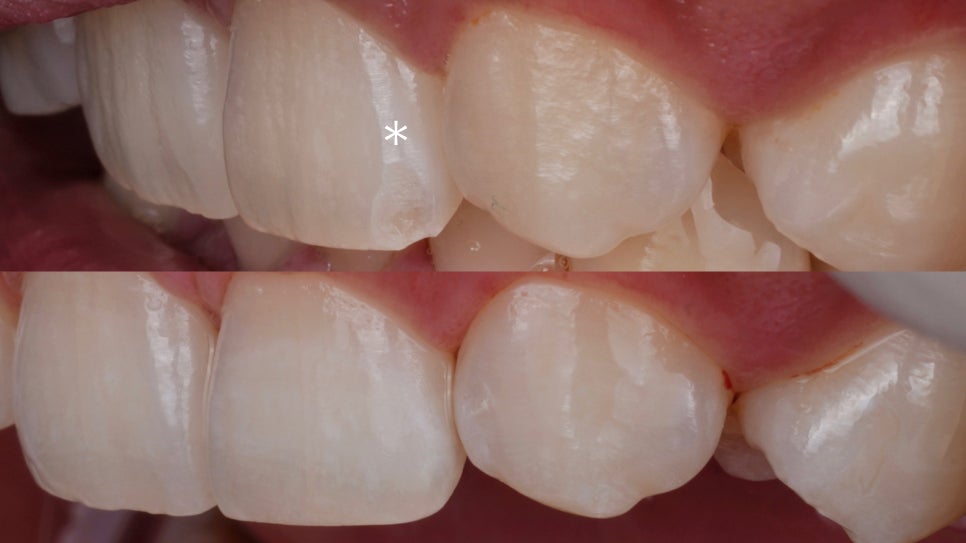
이 케이스는 요전번에도 올려드렸는데,
정말 치료가 잘 되었죠
자연치아의 색상 변화와 투명층,
그라데이션,
끄트머리로 가서는 다시 밝아지는
halo효과까지 잘 재현이 되었네요.
치아 모양도 잘 맞고, 색상도 맞고
아주 뿌듯했던 기억이 납니다.
언제나 최선을 다하도록 노력하겠습니다.
첨부파일
자연스러움이 최고의 아름다움 재좋치 앞니 레진 PDF.pdf
파일 다운로드