아카이브 요약
이 페이지의 역할
재주좋은치과의원의 네이버 블로그 원문을 보존한 아카이브 페이지입니다. 앞니이야기 카테고리의 앞니 갈색 반점, 무삭제로 얼룩 제거 시술 : 아이콘 침투 글을 통해 병원의 한국어 정보 제공 방식과 진료 관련 안내 톤을 확인할 수 있습니다.
원문 검증
필요하면 원문 블로그와 병원 프로필로 바로 이동해 문맥을 다시 확인할 수 있습니다.
출처 아카이브 열기아카이브된 블로그 글
재주좋은치과의원 · 앞니 레진 비니어 장인, 소현수 원장입니다.
자연 치아 보존을 첫번째 가치로 삼는 <재주좋은 치과의사> 저자 소현수 원장입니다. 재주좋은 치과의사 저자 소현수 출판 군자출판사 발매 2022.02.21. 아이콘을 이용한 반점치, 화이트스팟 제거 시술을 개원 후로 굉장히 많이 하고 있는데요, 재료의 특성을 이해하고 알맞게 잘 활용하는 게 중요하다고 생각합니다...
게시일
2025년 4월 25일
원문 기준으로 확인된 발행일입니다.
카테고리
앞니이야기
원문 블로그 카테고리를 정리해 함께 표시합니다.
이미지 수
6
현재 아카이브에 연결된 이미지 수입니다.
아카이브 요약
재주좋은치과의원의 네이버 블로그 원문을 보존한 아카이브 페이지입니다. 앞니이야기 카테고리의 앞니 갈색 반점, 무삭제로 얼룩 제거 시술 : 아이콘 침투 글을 통해 병원의 한국어 정보 제공 방식과 진료 관련 안내 톤을 확인할 수 있습니다.
원문 검증
필요하면 원문 블로그와 병원 프로필로 바로 이동해 문맥을 다시 확인할 수 있습니다.
출처 아카이브 열기자연 치아 보존을 첫번째 가치로 삼는
<재주좋은 치과의사> 저자
소현수 원장입니다.
재주좋은 치과의사
저자 소현수 출판 군자출판사 발매 2022.02.21.
아이콘을 이용한 반점치, 화이트스팟 제거 시술을
개원 후로 굉장히 많이 하고 있는데요,
재료의 특성을 이해하고 알맞게 잘 활용하는 게
중요하다고 생각합니다.
레진 침투요법은
치과용 드릴을 전혀 사용하지 않고
치아의 미세한 틈 사이로 레진을 침투시키는 치료인데
그만큼 시간도 걸리게 됩니다.
얼핏 간단하다고 생각하실 수 있지만,
아무래도 미세한 조작 차이만으로도
치료 결과에 영향을 미칠 수 있어서
숙련된 치과의사의 손길이 필요한 진료이기도 해요.

2025.04.24.
보통 레진 침투요법을 통한 치료로
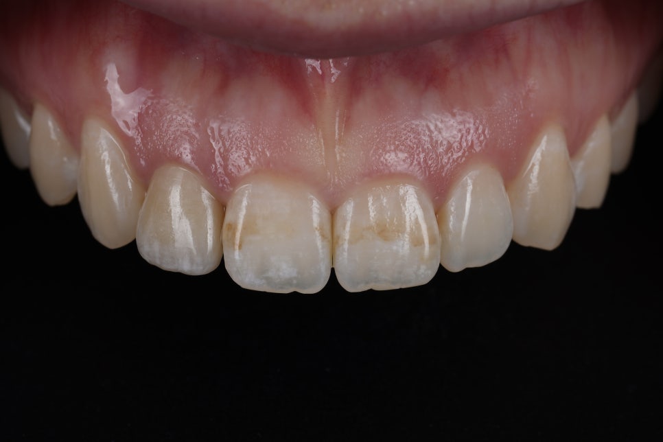
'화이트 스팟', 그러니까
치아의 하얀 반점을 치료하는건
치과의사 선생님들이 많이 들어보셨을텐데
이렇게 갈색 반점도 치료할 수 있는지는
모르셨을 겁니다.
충치가 아니라
선천적으로 생긴 갈색 반점인 경우에는
치아를 삭제하지 않고
아이콘 레진 침투로 해결해볼 수 있는데요

2025.04.24.
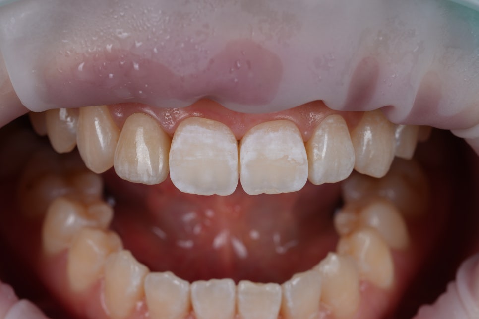
진짜 거짓말같지 않나요?
이렇게나 깨끗해질 수 있습니다.
치아 삭제 없이
최소침습치의학의 발전이죠

2025.04.24.
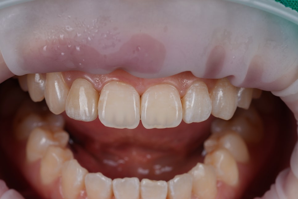
한눈에 보이도록 사진을 배열해보았는데요
이렇게 놀라운 결과를 물론
모든 사람들이 다 똑같이 얻을 수 있는 건 아닙니다.
치아의 상태는 사람마다 다 달라서
어느정도 반점이 남는 경우도 있고요
그런 경우에는 해당 부분만 미세하게 스크래치를 내서
색상이 똑같은 레진으로 감쪽같이 복원해드리는데
보통 조금 남아있어도
거울로 봤을 때는 티 안나고요,
제가 이렇게 초고화질 카메라로 찍어야만
눈에 보이는 정도 수준이라
대부분 만족하시고 집에 가시더라고요.

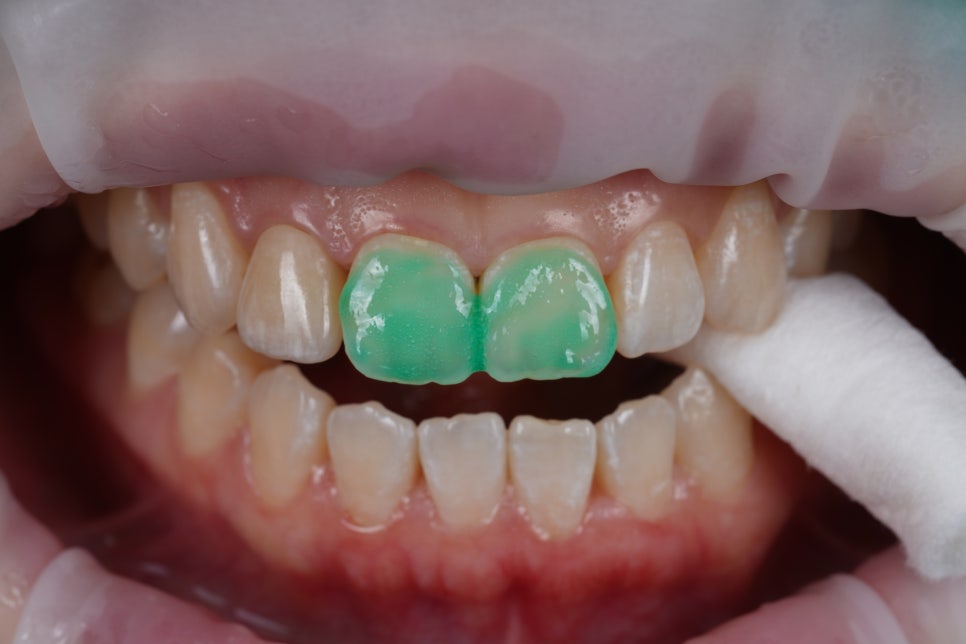
약물 도포

세척 후 건조, 탈수

레진 침투
저도 많이 하다보니까
노하우가 좀 쌓이는데
어떻게 사용해야겠다는 감이 오니까
오히려 시간이 좀 오래 걸리더군요 ㅎㅎ;;
대충 하지 못하고
꼼꼼히 하려다보니 그런 것 같습니다.
언제나 최선을 다하겠습니다.