아카이브 요약
이 페이지의 역할
재주좋은치과의원의 네이버 블로그 원문을 보존한 아카이브 페이지입니다. 앞니이야기 카테고리의 레진 변색 재치료, 다시 깨끗하게 만들어 볼까요? 글을 통해 병원의 한국어 정보 제공 방식과 진료 관련 안내 톤을 확인할 수 있습니다.
원문 검증
필요하면 원문 블로그와 병원 프로필로 바로 이동해 문맥을 다시 확인할 수 있습니다.
출처 아카이브 열기아카이브된 블로그 글
재주좋은치과의원 · 앞니 레진 비니어 장인, 소현수 원장입니다.
레진으로 치료하는 것은 치아를 가장 적게 손상시키는 방법이지만 재료를 다루는 치과의사의 섬세함에 따라 치료 결과와 유지력이 극명히 갈리곤 합니다 특히 앞니 부분에서 접착을 시작하기 전에 얼마나 치아 표면을 신경써서 깨끗하게 만들어놓았는지가 장기적인 결과를 좌우하기도 하는데요 치아에 붙어있는 치태나 여러 유기물을 제...
게시일
2025년 5월 5일
원문 기준으로 확인된 발행일입니다.
카테고리
앞니이야기
원문 블로그 카테고리를 정리해 함께 표시합니다.
이미지 수
3
현재 아카이브에 연결된 이미지 수입니다.
아카이브 요약
재주좋은치과의원의 네이버 블로그 원문을 보존한 아카이브 페이지입니다. 앞니이야기 카테고리의 레진 변색 재치료, 다시 깨끗하게 만들어 볼까요? 글을 통해 병원의 한국어 정보 제공 방식과 진료 관련 안내 톤을 확인할 수 있습니다.
원문 검증
필요하면 원문 블로그와 병원 프로필로 바로 이동해 문맥을 다시 확인할 수 있습니다.
출처 아카이브 열기레진으로 치료하는 것은
치아를 가장 적게 손상시키는 방법이지만
재료를 다루는 치과의사의 섬세함에 따라
치료 결과와 유지력이 극명히 갈리곤 합니다
특히 앞니 부분에서
접착을 시작하기 전에 얼마나 치아 표면을
신경써서 깨끗하게 만들어놓았는지가
장기적인 결과를 좌우하기도 하는데요
치아에 붙어있는 치태나 여러 유기물을
제거하지 않고 그 위에 레진 접착을 한다면
당연히 쉽게 변색이 되겠죠
또 어떤 접착제를 사용하는지도 중요한데
필러성분이 많이 함유되어있는
비싼 접착제를 쓰면 이렇게
접착제가 마모되어 빈 틈으로
이물질이 침투해 레진 밑으로 변색되는 일이
확연히 줄어들 수 있습니다.

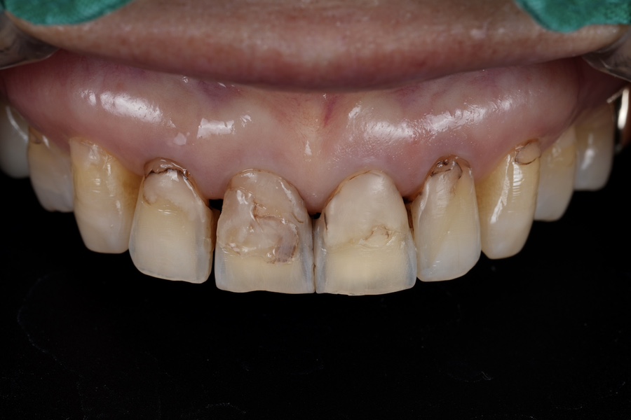
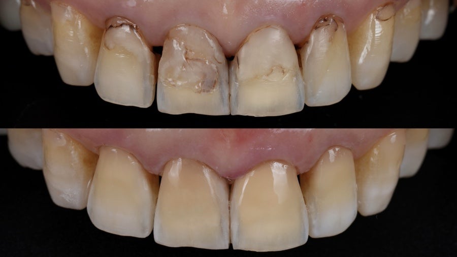
게다가 이 분은 기존에
레진을 덕지덕지 덧발라놓아서 더더욱
지저분하게 변색이 많이 온 상태인데요,
예전 레진에 새로운 레진을 접착할 때는
air polisher
에어플로우나 아쿠아케어같은
전문적인 장비로 표면을 클리닝해주어야
접착력을 증대시킬 수 있습니다.

이미 변색되고 오염된 기존 레진은
전부 철거를 한 뒤에
새로 치아 색상과 알맞은 색상의 레진으로
깔끔하게 재접착 치료를 한 사진인데요
어찌나 깨끗해졌는지..
이걸 이렇게 하루만에 간단하게 수정할 수 있다는
생각을 잘 못하시는 것 같아요
언제든지 오시면 깔끔하게 재치료해드리겠습니다.

언제나 최선을 다하도록 노력하겠습니다