아카이브 요약
이 페이지의 역할
재주좋은치과의원의 네이버 블로그 원문을 보존한 아카이브 페이지입니다. 앞니이야기 카테고리의 교대역 치과 소현수 원장의 강의 at 앞니치료연구회 글을 통해 병원의 한국어 정보 제공 방식과 진료 관련 안내 톤을 확인할 수 있습니다.
원문 검증
필요하면 원문 블로그와 병원 프로필로 바로 이동해 문맥을 다시 확인할 수 있습니다.
출처 아카이브 열기아카이브된 블로그 글
재주좋은치과의원 · 앞니 레진 비니어 장인, 소현수 원장입니다.
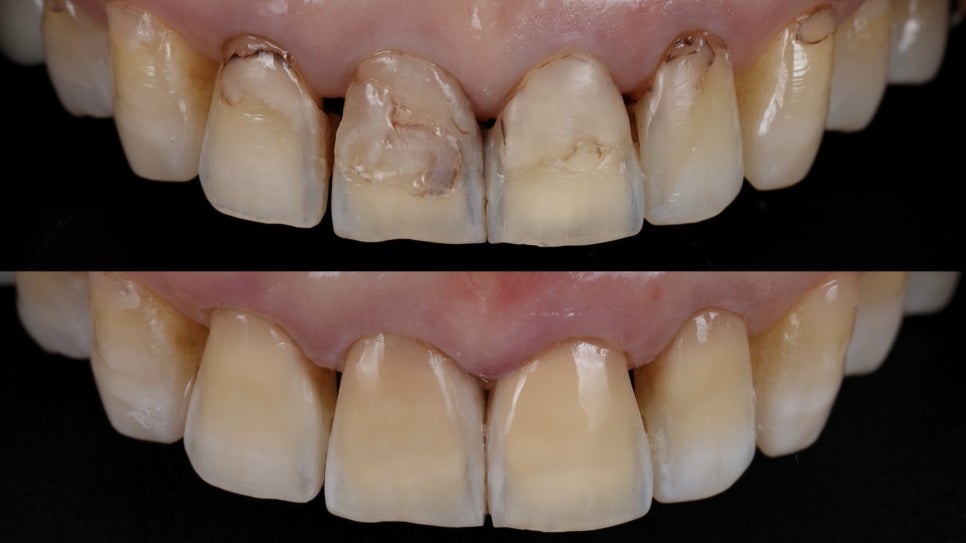
내로라하는 앞니 치료 전문가들이 모여 매달 함께 교류하고 있는 앞니치료연구회에서 앞니 레진 임상 술기를 강의했습니다. 세계적으로 유명한 앞니 레진 전문가 Dr. Ana 선생님과 함께 강의를 구성했는데요 아무래도 외국에서 사용하는 재료들이 국내에 들어오지 않는 경우가 많기에 저는 한국에서 구할 수 있는 재료들...
게시일
2025년 6월 3일
원문 기준으로 확인된 발행일입니다.
카테고리
앞니이야기
원문 블로그 카테고리를 정리해 함께 표시합니다.
이미지 수
6
현재 아카이브에 연결된 이미지 수입니다.
아카이브 요약
재주좋은치과의원의 네이버 블로그 원문을 보존한 아카이브 페이지입니다. 앞니이야기 카테고리의 교대역 치과 소현수 원장의 강의 at 앞니치료연구회 글을 통해 병원의 한국어 정보 제공 방식과 진료 관련 안내 톤을 확인할 수 있습니다.
원문 검증
필요하면 원문 블로그와 병원 프로필로 바로 이동해 문맥을 다시 확인할 수 있습니다.
출처 아카이브 열기
내로라하는 앞니 치료 전문가들이 모여
매달 함께 교류하고 있는 앞니치료연구회에서
앞니 레진 임상 술기를 강의했습니다.

세계적으로 유명한 앞니 레진 전문가
Dr. Ana 선생님과 함께 강의를 구성했는데요
아무래도 외국에서 사용하는 재료들이
국내에 들어오지 않는 경우가 많기에
저는 한국에서 구할 수 있는 재료들과
국내 현실에 맞는 실전 테크닉들을
여러 원장님들께 소개해드리고 알려드리는
내용으로 알차게 구성을 해보았습니다.
밤 늦게까지 강의가 이어졌는데
끝까지 집중해서 들어주셔서 감사했습니다.

강의실이 가득차서 부담도 되었지만
그만큼 또 즐거운 시간이었습니다.
제가 외국(KCL)에서 처음 접하고
전공 원서를 직구해서 읽고, 논문을 보면서
스스로 공부하고 익혀서 국내에서 적용해온
Direct Composite Veneer라는 술식을
서초동에서 여러 환자분들께
자연치아를 최대 보존 하면서도
아름다운 모양으로 앞니를 치료해드린지가
벌써 1년이 넘었습니다.
덕분에
이 주제로만 한시간 이상
혼자 떠들 수 있을 정도로
노하우도 많이 쌓이게 되었고요.

학회에서 이렇게 제 치료 결과는 물론
치료 과정을 치과의사 원장님들 앞에서
낱낱이 공개하는 일은
참 어려운 일입니다.
그만큼 치료 과정에 떳떳해야하고
전문성이 있어야 하는 일이니까요.
그래서 만나는 모든 환자분마다
'학회 발표 자료를 만든다'는 생각으로
온 정성을 다해 치료하고 있습니다.

제가 외국에서 들여온 이 치료법을 받으러
이제는 외국에서 한국으로
환자분들이 찾아오기도 합니다.
캐나다,
미국,
중국,
러시아,
우크라이나
다양한 외국인들을 만나면서
언어 '장벽'이라는 게 무엇인지
정말 뼈저리게 느끼는데요;;ㅠㅠ
그래서 영어공부를 시작했어요..

6월 말에는 개원 세미나가 있습니다.
책 <치과개원 자입점>을 출간하고
첫번째 스핀오프 강의인데요,
어떤 내용으로 이야기를 해야할까 고민을 많이 하고 있어요
저희 치과가 그래도 많은 원장님들께서
좀 특이하고, 특별하다고 생각해주시는데
우리 치과의 경영상 장/단점과
점빵 치과가 특별한 콘셉트를 잡아가는
구체적인 방법론에 대해서 이야기해볼까 합니다.
강남에서 맨 땅에 신규개원 해가지고
1년간 고군분투하며 살아남은 이야기를 바탕으로
신규 개원 준비하시는 분들에게
와닿는 내용으로 준비해보겠습니다.
앞으로도 계속해서
임상적으로나, 경영적으로나
발전하는 재주좋은치과가 되겠습니다.
감사합니다.