아카이브 요약
이 페이지의 역할
재주좋은치과의원의 네이버 블로그 원문을 보존한 아카이브 페이지입니다. 앞니이야기 카테고리의 서초구치과 레진 탈락 재치료 2가지가 성공 핵심입니다 글을 통해 병원의 한국어 정보 제공 방식과 진료 관련 안내 톤을 확인할 수 있습니다.
원문 검증
필요하면 원문 블로그와 병원 프로필로 바로 이동해 문맥을 다시 확인할 수 있습니다.
출처 아카이브 열기아카이브된 블로그 글
재주좋은치과의원 · 앞니 레진 비니어 장인, 소현수 원장입니다.
며칠 전, 30대 남성분이 내원하셨어요. 앞니 치실 하다가 이가 깨졌어요.. 서초구치과 하시면서 어색하게 웃으시는데, 말은 편하게 하셔도 속으론 꽤 신경 쓰이셨던 것 같더라고요. 앞니는 거울 볼 때마다, 말하거나 웃을 때마다 자꾸 신경이 쓰일 수밖에 없는 자리니까요. 특히 남자분들은 "자연...
게시일
2025년 6월 14일
원문 기준으로 확인된 발행일입니다.
카테고리
앞니이야기
원문 블로그 카테고리를 정리해 함께 표시합니다.
이미지 수
11
현재 아카이브에 연결된 이미지 수입니다.
아카이브 요약
재주좋은치과의원의 네이버 블로그 원문을 보존한 아카이브 페이지입니다. 앞니이야기 카테고리의 서초구치과 레진 탈락 재치료 2가지가 성공 핵심입니다 글을 통해 병원의 한국어 정보 제공 방식과 진료 관련 안내 톤을 확인할 수 있습니다.
원문 검증
필요하면 원문 블로그와 병원 프로필로 바로 이동해 문맥을 다시 확인할 수 있습니다.
출처 아카이브 열기며칠 전, 30대 남성분이 내원하셨어요.
앞니 치실 하다가
이가 깨졌어요..
서초구치과
하시면서 어색하게 웃으시는데,
말은 편하게 하셔도 속으론
꽤 신경 쓰이셨던 것 같더라고요.
앞니는 거울 볼 때마다, 말하거나 웃을 때마다
자꾸 신경이 쓰일 수밖에 없는 자리니까요.
특히 남자분들은 "자연스럽게", "티 안 나게"
그 한마디가 전부인 경우도 많습니다.
(저도 그렇거든요ㅎㅎ)

촬영일 : 250609
말은 편하게 하셨지만
앞니에 생긴 작은 빈틈 하나가
그날 하루 종일 마음을 불편하게
만들었을 거라는 걸 저는 잘 알고 있습니다.

그래서 오늘은
그 앞니 하나를 다시 복원할 때
제가 어떤 마음으로 치료에 들어가는지
얘기를 나눠보려 합니다.
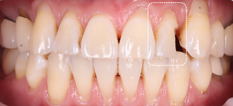
서초구치과
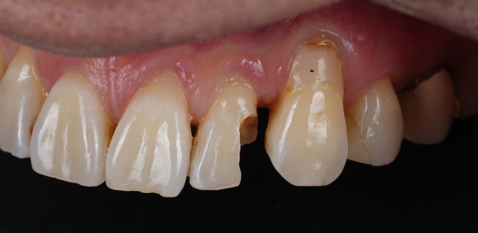
치아를 살펴보니
신경은 다행히 무사했습니다.
이미 레진으로 때워두셨던 분들의 경우,
재료가 떨어지면
이번엔 신경치료를 해야겠죠?
라며 걱정을 많이 하시거든요.

촬영일 : 250609
다행히 신경치료없이
다시 레진으로 충전이 가능한 상황이었습니다.
떨어진 건 예전에 충치 치료로
메워두었던 레진만 떨어졌더라고요.
시간이 지나면서 경계가 조금 약해졌던 모양입니다.
치실을 쓰는 과정에서
툭 하고 빠져버린 것 같다고 하시더라고요.
이런 경우 겉보기엔 단순한 레진 재치료처럼
보일 수도 있지만 앞니는 조금 다릅니다.
어떻게 다시 메우느냐보다
‘어떻게 자연스럽게 복원하느냐’가
훨씬 더 중요하죠.
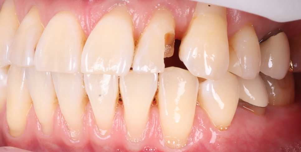
서초구치과
빛이 스칠 때 비쳐 보이는 느낌,
웃을 때 드러나는 인상까지
치아 하나가 전체 얼굴에 주는 영향이 꽤 크거든요.

촬영일 : 250609
그래서 저는 앞니 레진을 할 때면
늘 한 번쯤 더 손을 멈추게 됩니다.
정말 이게 환자분 입장에서
아무렇지 않을 만큼 자연스러울까,
거울을 보며 '어디였지?' 하게 만들 수 있을까,
그 질문을 스스로 확인한 후에야
비로소 작업에 들어갑니다.

촬영일 : 250609
이날도 환자분은
“다시 하면 좀 많이 티 나겠죠…?” 하며 웃으셨지만,
그 안에 담긴 걱정은 진료실 공기에서도 느껴졌어요.
그래서 저는 오히려 더 천천히,
러버댐과 코드를 사용해 방습과 시야를
안정적으로 확보한 후 디자인 작업을 하듯
정성껏 준비해 들어갔습니다.
작은 앞니 하나지만,
그걸 바라보는 마음이 편안해지는 게
결국엔 제 진료가 가진 의미라고 생각합니다.
서초구치과
앞니는 우리가 하루에도 몇 번씩
거울을 보며 확인하게 되는 부위고
누군가와 마주 앉아 이야기할 때
먼저 보이게 되는 자리입니다.
그래서 치료에 들어갈 때마다
항상 한 번 더 손을 멈추고 생각합니다.

촬영일 : 250609
‘이걸 정말 아무 일 없었던 것처럼 되돌릴 수 있을까?’
그 물음에 스스로 답이 나올 때
비로소 작업을 시작합니다.
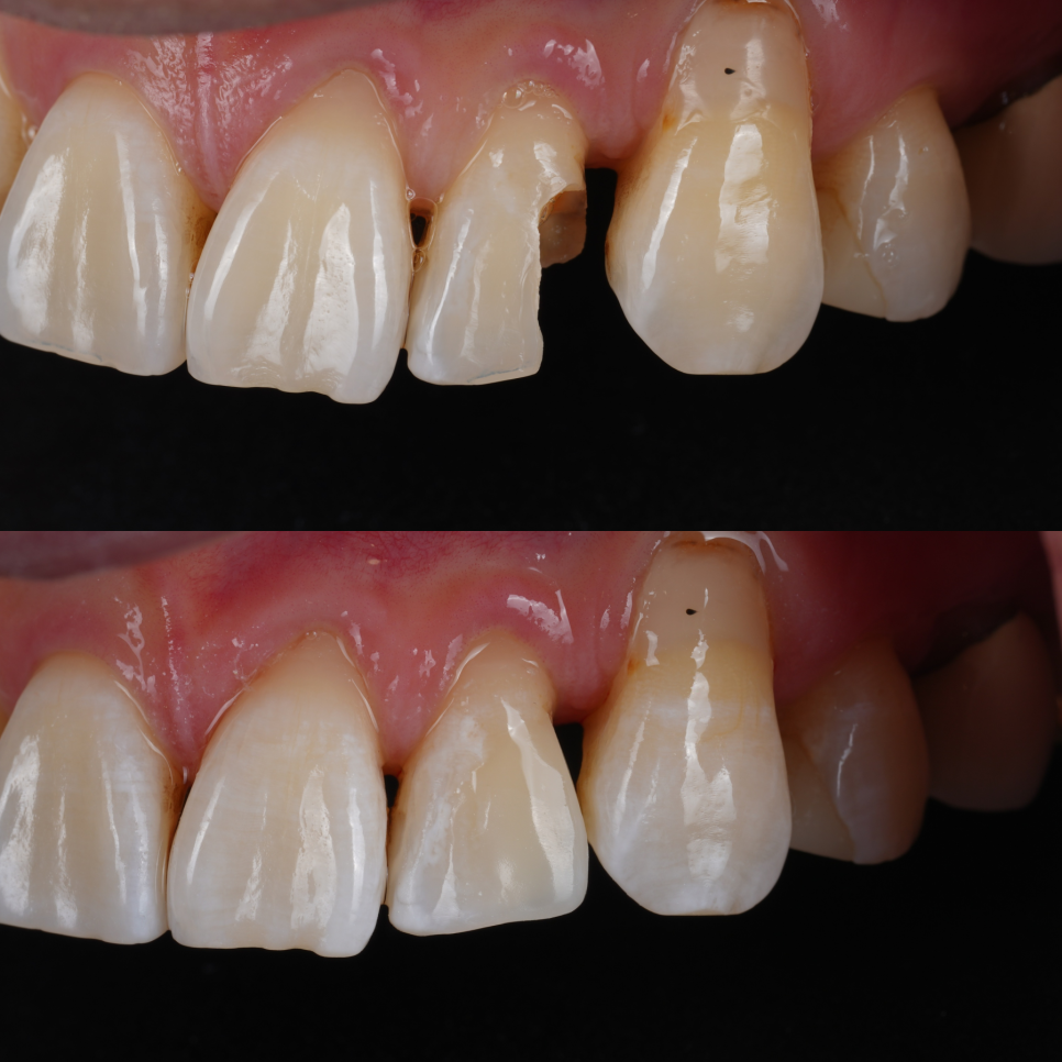
이번 치료도 마찬가지였습니다.
떨어진 부위를 단순히 메우는 것이 아니라,
치아 본래의 구조와 색을
그대로 복원한다는 마음으로 접근했습니다.

촬영일 : 250609
먼저, 러버댐을 적용했습니다.
수분이 닿는 순간 접착력이 떨어질 수 있기 때문에
작은 앞니 하나를 수복할 때도
완벽한 방습 환경을 만들어주는 것이 우선입니다.
환자분 입장에서는 조금 불편하실 수 있지만
이 과정을 통해 레진의 접착력과
수명이 훨씬 안정적으로 유지됩니다.
<러버댐에 대한 자세한 설명>
그리고 그다음엔 코드(cord)를 이용했습니다.
잇몸 경계 가까이에 위치한 충전 부위였기 때문에
조직 내 수분이 접착을 방해할 수 있는데요.
코드를 이용해 잇몸을 살짝
벌려주는 작업을 먼저 했습니다.
이렇게 해야 레진 경계가 매끄럽게 이어지고
치료 부위가 눈에 띄지 않게 마무리할 수 있습니다.

촬영일 : 250609
그다음은 색과 투명도를 맞추는 작업이었습니다.
자연치처럼 보이기 위해
단일 색으로 한 번에 메우는 방식은 사용하지 않고,
얇은 층을 여러 겹 쌓아 올리는
레이어링 방식을 적용했습니다.
치아 안쪽은 조금 더 따뜻한 톤으로
바깥쪽 밝고 투명한 재질로 조절해서
진짜 치아처럼 빛을 머금도록 만들었고요.
마무리 단계에서는 표면에 보이는 미세한 주름과
광택까지 복원해 빛이 닿았을 때 자연스럽게
반사되도록 연마했습니다.

촬영일 : 250609
그 반짝임이 과하지 않도록
하지만 너무 무디지도 않게
조절하는 것도 중요하거든요.
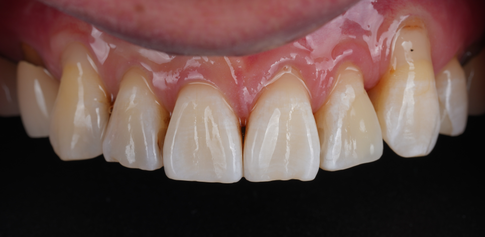
결국 이 모든 과정은 “치료한 줄도 모르게”
만들어드리기 위한 시간이었습니다.
아무도 눈치채지 못하고 본인조차도 거울을 보며
‘어디였지?’ 하게 되는 그 정도의 자연스러움.
제가 늘 목표로 삼는 결과입니다.

촬영일 : 250609
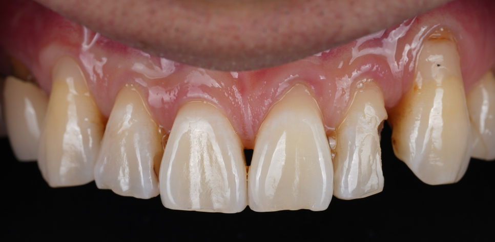
서초구치과 치료를 마치고 거울을 보시던 환자분이
“와… 진짜 티 하나도 안 나네요.”
서초구치과
하고 웃으셨을 때
저도 마음이 놓였습니다.
앞니 하나를 고친다는 건 단순히 기능을
회복하는 일이 아니라 그 사람의 하루를,
그리고 거울을 마주하는 시선을 조금 더
편안하게 만들어드리는 일이라고 생각합니다.
작은 치아라도, 섬세하게.
오늘도 그런 마음으로 진료하고 있습니다.

촬영일 : 250609
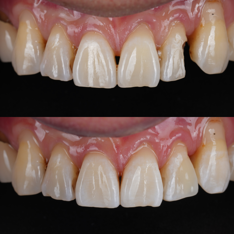
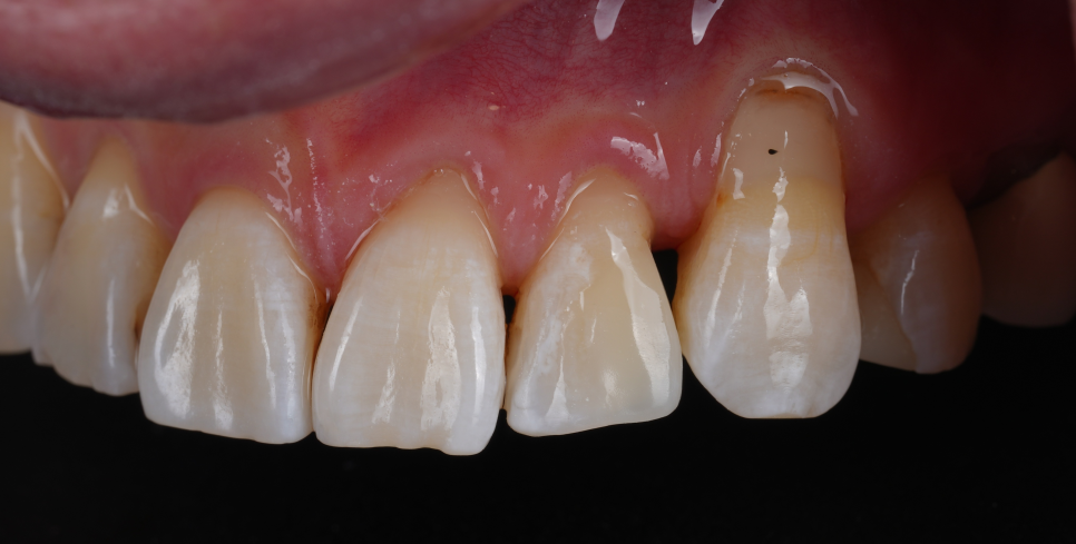
앞니 하나가 떨어졌다는 건,
생각보다 많은 걸 불편하게 만듭니다.
거울을 볼 때마다 시선이 먼저 가고,
말을 할 때도 괜히 입술로 가리게 되고요.
그래서 저는 그 자리를 단순히 메우지 않습니다.
아무도 눈치채지 못하게,
처음부터 그랬던 것처럼,
그분이 아무 생각 없이 다시 웃을 수 있도록
하나하나 정성 들여 복원합니다.
치아 하나를 다시 만드는 일이
그 사람의 표정까지 되돌릴 수 있다는 걸
저는 매번 진료를 통해 배웁니다.
그래서 오늘도, 저는 치아만 보지 않습니다.
그 치아를 가지고 있는
사람의 하루를 함께 보며 진료합니다.
서초구치과
앞으로 진심을 다해 진료하겠습니다.
감사합니다.
*환자분의 상태에 따라 시술이 가능한지
손상은 어느 정도인지 먼저 정확한 상담을 통해 파악한 뒤
필요한 치료를 안전하게 진행하는 것이
좋은 경험으로 이어질 수 있습니다.