아카이브 요약
이 페이지의 역할
재주좋은치과의원의 네이버 블로그 원문을 보존한 아카이브 페이지입니다. 치과치료이야기 카테고리의 서초동치과 착색 고민되면 에어플로우 하세요 글을 통해 병원의 한국어 정보 제공 방식과 진료 관련 안내 톤을 확인할 수 있습니다.
원문 검증
필요하면 원문 블로그와 병원 프로필로 바로 이동해 문맥을 다시 확인할 수 있습니다.
출처 아카이브 열기아카이브된 블로그 글
재주좋은치과의원 · 앞니 레진 비니어 장인, 소현수 원장입니다.
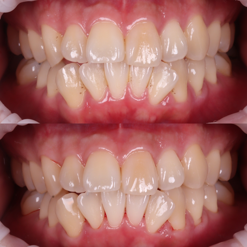
까맣게 착색된 것 때문에 고민이셨던 환자분이 계셨습니다. 스케일링도 주기적으로 받고 계셨고, 양치 습관도 나쁘지 않았지만 늘 앞니와 어금니에 짙은 착색이 남아 있었다고 하셨어요. 제가 착색이 잘 되는 스타일인가 봐요. 서초동치과 이렇게 말씀하셨지만, 저는 그 말이 참 아쉽게 느껴졌습니다...
게시일
2025년 6월 15일
원문 기준으로 확인된 발행일입니다.
카테고리
치과치료이야기
원문 블로그 카테고리를 정리해 함께 표시합니다.
이미지 수
11
현재 아카이브에 연결된 이미지 수입니다.
아카이브 요약
재주좋은치과의원의 네이버 블로그 원문을 보존한 아카이브 페이지입니다. 치과치료이야기 카테고리의 서초동치과 착색 고민되면 에어플로우 하세요 글을 통해 병원의 한국어 정보 제공 방식과 진료 관련 안내 톤을 확인할 수 있습니다.
원문 검증
필요하면 원문 블로그와 병원 프로필로 바로 이동해 문맥을 다시 확인할 수 있습니다.
출처 아카이브 열기까맣게 착색된 것 때문에
고민이셨던 환자분이 계셨습니다.
스케일링도 주기적으로 받고 계셨고,
양치 습관도 나쁘지 않았지만 늘 앞니와
어금니에 짙은 착색이 남아 있었다고 하셨어요.
제가 착색이 잘 되는 스타일인가 봐요.
서초동치과
이렇게 말씀하셨지만,
저는 그 말이 참 아쉽게 느껴졌습니다.
물론 타고난 요인이 어느 정도 작용하긴 합니다.

하지만 저는 늘 이렇게 여쭙습니다.
“언제부터요?” “무엇을 자주 드시나요?”
“칫솔질 외에 따로 하시는 구강 관리가 있으신가요?”
이 질문들에 답하다 보면 그분의 생활 속에서,
착색이 생겨난 경로를 자연스럽게
알 수 있기 때문입니다.
환자분의 생활 습관부터 파악합니다.
서초동치과

촬영일 : 250607
이번 환자분도 그랬습니다.
커피를 하루 두세 잔 드시고,
흡연은 하지 않으시지만 치실이나 치간칫솔은
따로 사용하지 않으신다고 하셨어요.
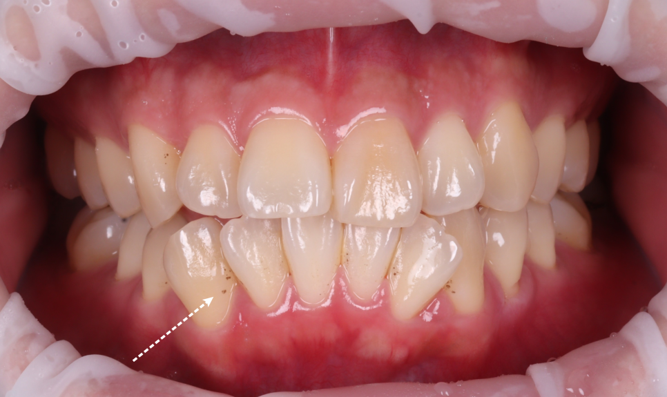
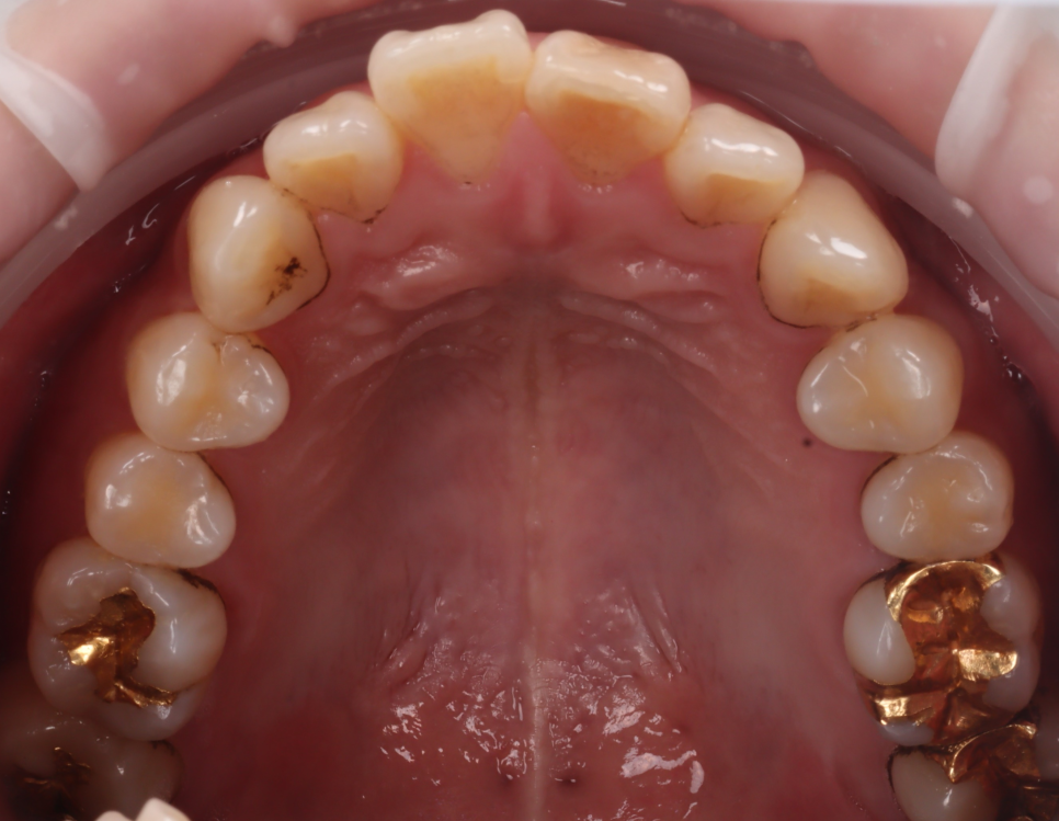
겉으로 보이는 표면에
착색이 도드라진 상태였고,
치아의 안쪽 면, 씹는 면 부근에
브라운 계열의 색소가 고착되어 있었습니다.


촬영일 : 250607

촬영일 : 250607
이럴 땐 단순히 ‘치석을 제거하는’
스케일링만으로는 부족합니다.
그래서 비급여 스케일링과
에어플로우를 함께 진행하기로 했습니다.
치석이 침착된 부위는 정밀하게 제거하고
착색 부위는 에어플로우를 통해
자극 없이 부드럽게 정리해 드리는 방식이죠.
두 가지를 병행해야만,
치아의 표면은 손상 없이 보호하고
색소와 세균 막까지 완전히 제거하는
결과를 기대할 수 있습니다.
에어플로우란?
서초동치과
에어플로우는 공기와 물, 그리고 고운 파우더를
치아 표면에 부드럽게 분사해서
착색과 세균막을 한 번에 제거하는 장비입니다.

마찰이 거의 없기 때문에 자극도 적고
작은 틈새나 잇몸 라인 사이사이까지
세밀하게 접근할 수 있어 치아를 긁지 않고도
결과를 만들 수 있는 도구죠.
사실 스케일링을 하는 기계로
착색을 제거하는 것은
완벽하게 되지 않을뿐더러,
치아에 더 많은 자극을 주기에
조금 위험할 수 있습니다.
이 장비는 착색뿐만 아니라
앞니 레진 치료 전, 앞니 크라운 전,
임플란트 수술 전에도 시행하여
시술 전 눈에 보이지 않는 세균들을
깨끗하게 제거하여 더욱 훌륭한 치료 결과를
기대할 수 있습니다.
저는 현재 100일도 안 된 아기를 키우면서
'육아는 장비 빨이다.'라는 말에
아주 공감하고 있는데요ㅎㅎㅎ
요즘 치과 장비들도 무척 좋은 장비들이 많아서
'치과 진료 또한 장비 빨'이라는 생각이 듭니다.
앞으로도 더 완성도 높은 진료를 위해
장비 구매는 서슴지 않고 할 계획입니다^^
오래 지속될 수 있도록 치료 후까지 관리합니다.
서초동치과
서초동치과 환자분은 치료 전 거울을 보며
“이게 닦이는 건가요?” 하고
조심스럽게 물으셨습니다.
오랜 시간 동안 남아 있었던 착색이라,
본인도 이미 익숙해져 계셨던 거죠.
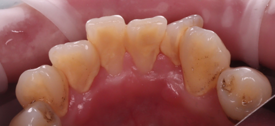
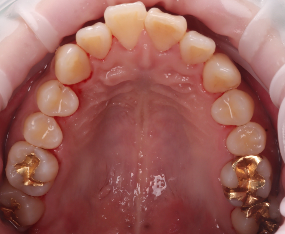
하지만 에어플로우로 착색을 제거하고 나니
치아 본연의 색이 드러났고
전체적으로 아주 깔끔해졌습니다.

촬영일 : 250607
거울을 보시며 한참을 웃으시던
모습이 기억에 남습니다.
치아가 하얘져서 좋은 것도 있는데,
입안이 뽀득뽀득해서
개운한 게 너무 좋아요.
서초동치과
이런 말씀을 해주셨는데요.
치료하는 입장에서도 뿌듯한 순간이었습니다.


촬영일 : 250607
결국 환자분이 느끼시는 건
눈에 보이는 색깔의 변화 못지않게,
입안의 감각 변화입니다.
표면이 매끄러워지고,
혀에 느껴지는 느낌이 달라지면
자연스럽게 말할 때의 발음, 표정, 자신감까지도
조금씩 달라지게 됩니다.
치료를 마치고 돌아가시는 길에
환자분께 이런 말씀을 드렸습니다.
“오늘 깨끗하게 정리한 만큼,
앞으로는 이 느낌을 오래 유지하실 수 있게끔
조금만 더 신경 써보세요.”

촬영일 : 250607
그 말씀에 환자분은 조용히
고개를 끄덕이며 웃으시더라고요ㅎㅎ
“이렇게 시원할 줄 알았으면 진작 올 걸 그랬네요.”
치아를 깨끗하게 하는 일은
단순히 미용적인 목적만은 아닙니다.
입안이 개운하고, 말할 때 자신감이 생기고,
무엇보다 나를 더 잘 돌보고 있다는
작은 성취감이 쌓여갑니다.
치과는 아플 때만 가는 곳이 아니라,
‘잘 관리된 나’를 확인하러 오는 곳이어도 좋습니다.
그런 경험을 드릴 수 있었던 하루였기에,
저에게도 참 기분 좋은 진료였습니다^^
눈에 띄는 착색은 단순히 보기 좋지 않은
문제로만 그치지 않습니다.
시간이 지나면 세균이 머물기 쉬운 환경이 되고
결국은 잇몸 질환이나 충치로
이어질 수 있기 때문입니다.
그래서 착색이 반복된다면
표면만 닦아내는 게 아니라 그 원인까지
들여다보는 진료가 중요합니다.

이번 케이스처럼 스케일링과 에어플로우를
함께 진행하는 것도 ‘치아를 위한 맞춤형 관리’의
한 방법일 수 있습니다.
저는 이런 작은 고민들도
가볍게 넘기지 않고 함께 살펴보고,
환자분께 꼭 맞는 방법을 함께 찾아드립니다.
언제나 섬세한 진료를 약속드리겠습니다.
감사합니다.