아카이브 요약
이 페이지의 역할
재주좋은치과의원의 네이버 블로그 원문을 보존한 아카이브 페이지입니다. 앞니이야기 카테고리의 강남치과추천 앞니 하얀 반점 당일 심미 레진으로 해결 글을 통해 병원의 한국어 정보 제공 방식과 진료 관련 안내 톤을 확인할 수 있습니다.
원문 검증
필요하면 원문 블로그와 병원 프로필로 바로 이동해 문맥을 다시 확인할 수 있습니다.
출처 아카이브 열기아카이브된 블로그 글
재주좋은치과의원 · 앞니 레진 비니어 장인, 소현수 원장입니다.
“앞니에 하얀 얼룩 같은 게 있는데요. 사진 찍을 때도 자꾸 그 부분만 보이고 거울 볼 때마다 계속 마음에 걸려요." 강남치과추천 며칠 전, 20대 중반 여성분이 내원하셨습니다. 예약을 잡으실 때부터 “앞니 반점 때문에요..”라고 먼저 말씀하셨고 진료실 의자에 앉자마자 거울을 가리키며 조심스럽게 덧붙이셨...
게시일
2025년 6월 25일
원문 기준으로 확인된 발행일입니다.
카테고리
앞니이야기
원문 블로그 카테고리를 정리해 함께 표시합니다.
이미지 수
9
현재 아카이브에 연결된 이미지 수입니다.
아카이브 요약
재주좋은치과의원의 네이버 블로그 원문을 보존한 아카이브 페이지입니다. 앞니이야기 카테고리의 강남치과추천 앞니 하얀 반점 당일 심미 레진으로 해결 글을 통해 병원의 한국어 정보 제공 방식과 진료 관련 안내 톤을 확인할 수 있습니다.
원문 검증
필요하면 원문 블로그와 병원 프로필로 바로 이동해 문맥을 다시 확인할 수 있습니다.
출처 아카이브 열기“앞니에 하얀 얼룩 같은 게 있는데요.
사진 찍을 때도 자꾸 그 부분만 보이고
거울 볼 때마다 계속 마음에 걸려요."
강남치과추천
며칠 전, 20대 중반 여성분이 내원하셨습니다.
예약을 잡으실 때부터 “앞니 반점 때문에요..”라고
먼저 말씀하셨고 진료실 의자에 앉자마자
거울을 가리키며 조심스럽게 덧붙이셨습니다.

"일단은 한쪽만 먼저 해보고 싶어요.”
그 말투와 표정, 이야기 하나하나에
오랜 시간 혼자 마음속으로
고민해오셨다는 느낌이 묻어났습니다.

촬영일 : 250613
이런 경우
단순히 ‘앞니에 반점이 있다’는
문제로만 보기 어렵습니다.
강남치과추천
하얗게 떠 있는 그 얼룩은
다른 사람에겐 잘 안 보일 수 있어도
정작 본인은 하루에도 수차례 마주하게 되고
그때마다 작게나마 자신감에 영향을 주게 됩니다.
심미적인 불편을 넘어서,
일상 속에서의 시선, 말할 때의 표정,
웃음의 크기까지 달라질 수 있는 부분입니다.
그리고 “한쪽만 먼저 해보고 싶다"라는 말에는
혹시나 과잉 진료를 하지는 않을까
걱정하시던 마음이 느껴졌는데요.

환자분의 그 신중한 태도와 고민을
충분히 이해했기에 치료 역시 그 마음에 어울리는
방향으로 준비해 드리는 것이
제가 해야 할 일이라 생각했습니다.
진단과 설명, 그리고 환자의 의견을 존중하는 선택
강남치과추천
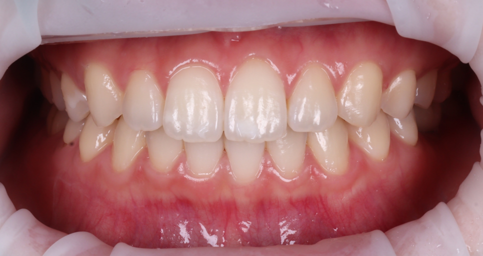
진료를 시작하며 치아 상태를 살펴보았습니다.
환자분이 말씀하신 것처럼
앞니에 비교적 선명한 반점이 관찰되었는데요.

촬영일 : 250613
이러한 ‘화이트 스팟(반점치)’는
치아 법랑질 형성 과정 중
미세한 무기질 손실이 생기며 발생합니다.
그 원인은 다양합니다.
✅어린 시절의 불소 과잉 노출
✅ 유치 시절 충격
✅ 교정 후 발생한 탈회성 병변
✅ 유전적인 에나멜 형성 이상 등
강남치과추천
겉보기에는 단순히 색만 다른 것처럼 보이지만,
내부 미세구조의 다공성과 투명도 차이로 인해
빛이 달리 반사되어 눈에 띄게 되는 것입니다.
특히 자연광이나 조명 아래에서는
더욱 두드러져 보이기 때문에 환자분처럼
유독 거슬린다고 느끼시는 경우가 많습니다.
환자분처럼 크고 진한 경우
치료 후에도 완전히 사라지지 않을 수 있다는 점을
미리 설명드리는 것이 필요합니다.
겉으로 보기에는 얕아 보여도
실제로는 법랑질 깊숙이 무기질 손실이
퍼져 있는 경우도 있기 때문입니다.

그래서 저는 치료 전, 솔직하게 말씀드렸습니다.
“한 번의 치료로 완전히 사라질지 아닐지는
직접 해봐야 알 수 있어요.
하지만 치아를 깎지 않고
지금보다 더 자연스럽게 만들 수 있는 방법으로
신중하게 접근해 보겠습니다.”
그런 설명에도 불구하고,
환자분은 조용히 웃으며 말씀하시더라고요.
“괜찮아요. 다 안 없어져도
지금보단 나을 것 같아서요.”
그 말씀이 오래 기억에 남았습니다.
기대한 만큼 실망하지 않게 해드리고 싶었고,
무엇보다 그동안 불편했던 시선을
조금이라도 가볍게 만들어드리고 싶었습니다.
치아는 그대로, 반점은 자연스럽게
강남치과추천
자연치와 유사한 색조와 투명도를 가진
레진으로 치료를 계획했습니다.
저는 이런 반점 레진 치료를 할 때
진료 시간이 꽤 오래 걸립니다.
시간을 많이 투자해서 불필요한 삭제를
줄이는 방향으로 접근하고 있거든요.
(그래서 종종 환자분들께서 여기는
레진 하나 때우는데 왜 이렇게 오래 걸리냐고
묻는 분들도 있습니다^^;;
그만큼 제 정성과 노력이 들어간다고
생각해 주시면 감사하겠습니다🙏🏻)
저희 재주좋은치과에선
환자 상태에 따라 ‘삭제 없는 레진 치료’,
*아이콘 레진(Icon Resin)을
선택하는 경우도 있는데요.
아이콘 레진은
치과용 드릴(핸드피스)을 사용하지 않아
치아를 전혀 삭제하지 않는 방식입니다.
특수 약제를 반점 부위에 도포해
자연스러운 색을 회복시키는데요.
제가 이전에도 몇 차례 소개해 드린 적 있습니다ㅎㅎ
통증 없이, 치아 손상 없이,
당일 한 번에 마무리할 수 있다는 점에서
많은 분들이 부담 없이 치료를 받아들이고 계시죠.

다만 단순히 약제를 바르는 것처럼 보이지만
그 과정 하나하나에 조밀한 조절이 필요합니다.
빛의 흐름, 습윤 상태, 약제의 반응 시간 등
치과의사의 디테일에 따라 결과는 천차만별입니다.
그래서 저 역시 이 아이콘 레진 치료를 할 땐
설명서에 적힌 대로만 하지 않습니다.
경험적으로 얻은 작은 노하우들을 살려
‘조금 더 자연스럽게’, ‘조금 더 티 안 나게’
치료를 완성해 드립니다.
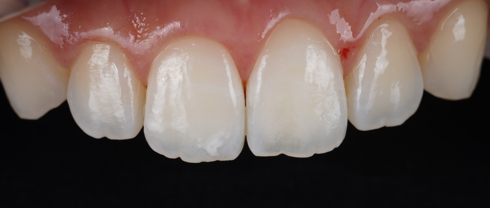
치료가 끝난 후 반점이 있던 자리를
바라보시던 환자분은 말없이 거울을 들고
한참을 보시다가 “진짜 하나도 안 보여요.”
하고 크게 웃으셨습니다.
사전에 설명드렸던 것처럼
완전히 없어지지 않을 수도 있겠다고 말씀드렸지만,

촬영일 : 250613
이번 경우엔 다행히도
눈에 띄던 반점이 말끔히 사라졌고
환자분께서도 결과에 매우 만족해 주셨습니다.
“다음에 다른 쪽도 꼭 해보고 싶어요.”
강남치과추천
라는 말과 함께, 조금은 더 가벼운 표정으로
진료실을 나서셨습니다.
마무리하며
강남치과추천
앞니에 생긴 반점은 작지만
그걸 알아차린 이후로는 사진을 찍거나,
대화를 하거나, 거울을 볼 때마다
자꾸 눈에 들어오는 부분이 되곤 합니다.

촬영일 : 250613
그래서 저희는 '눈에 보이는 걸 가리는 치료'보다는
치아 본연의 결을 살리면서도 자연스럽게
회복시키는 치료를 더 중요하게 생각합니다.

특히, 자연치에 가까운
느낌을 되살릴 수 있는 방법이라면
그 선택이 얼마나 조심스럽고 가치 있는지
잘 알고 있기에 더 섬세하게 접근하려고 합니다.
이번 환자분처럼
“한쪽만 먼저 해보고 싶다"라는 말씀도
충분히 이해할 수 있습니다.
강남치과추천
그 마음을 존중하고, 부담 없이 치료를
받아보실 수 있도록 정직하게 안내드리겠습니다.
재주좋은치과에서 만들어드린 이 작은 변화가
앞으로도 많은 분들의 하루를 조금 더 편안하게
만들어드릴 수 있었으면 좋겠습니다 :)
감사합니다.
*치아 관리는 단순히 치료로 끝나는 것이 아니라
기능 이상 여부를 확인하고 음식 섭취나
발음에 불편이 없는지 점검하며 치료 후 유지가
잘 되도록 정기적인 상담과 시기 점검을 통해
꾸준히 진행해나가는 과정입니다.