간혹 앞니를 가리며 내원하는 환자분들께서
조심스럽게 물어보시는 질문이 있습니다.
“앞니가 조금 깨졌는데요..
그냥 살짝 때우면 되지 않을까 싶어서
검색해서 왔어요.."
강남역치과
치아 삭제는 누구나 피하고 싶어하시지요.
그래서 크라운보다는 치아 보존에 유리한
레진으로 치료해줄 곳을 찾으시다가
저희 치과로 오시는 경우도 꽤 많은데요.

얼마 전 내원하신 30대 환자분 역시
파절되었지만 크라운이 아닌
레진 수복으로 치아를 보존해드렸습니다.
물론 치아 파절이 되었다고해서
무조건 다 레진으로 가능한건 아닌데요.
다행히 환자분의 경우,
레진으로 가능했습니다.
하지만, 그 과정이 매우 복잡했는데요.
오래된 수복물과 함께 진행된 2차 충치,
그리고 경계 처치의 어려움 등이 있었죠^^;
저는 언제나 진단부터 수복까지
'단순한 복원'이 아닌 '정밀한 복원'을
목표로 하고 있는데요.
이번 케이스는 그런 저의 치료 철학이
고스란히 반영된 보존적이면서도
심미적인 레진 수복의 좋은 예라고 생각하니
끝까지 읽어보세요^^

| 재주좋은치과 원장 소현수 |
|---|
| 통합치의학 전문의 |
| 영국 King's College Lodon 심미수복학 수료 |
| 치과개원 자입점 집필 |
| 무엇이든 물어보세요 치과진료 집필 |
| 재주좋은치과의사 집필 |
| 치과의사 대상 강의 수회 진행 |
| 현재까지 앞니 케이스 669회 진행 |
깊이 있는 진단이 중요한 이유
강남역치과
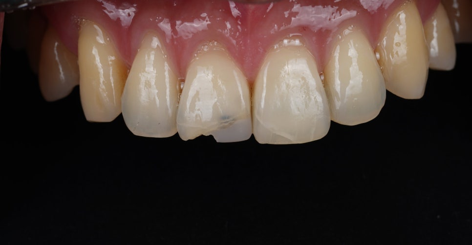
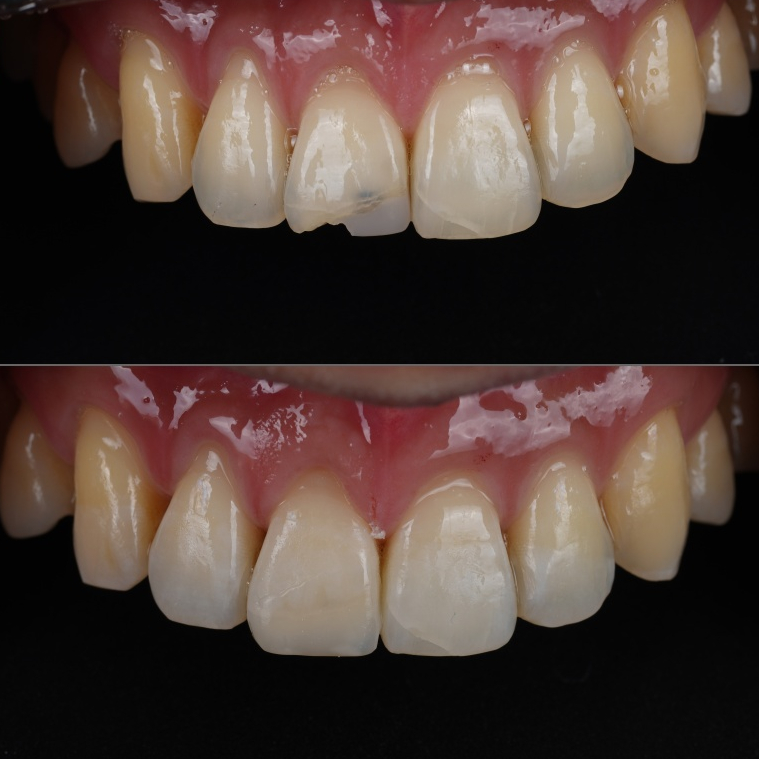
처음 봤을 땐 비교적 단순한 파절처럼 보였습니다.
앞니 끝이 살짝 깨진 정도였고
이전에 레진으로 수복된 흔적도 보였죠.

촬영일 : 250611
하지만 늘 그렇듯 치아를 조금 더 들여다보면
단순히 '깨졌다'는 말로는 설명이
되지 않는 경우가 많습니다.
이번 케이스도 그랬습니다.
예전 레진 치료가 오래된 상태에서
접착력이 떨어져 있었고 그 틈 사이로
세균이 오랫동안 조금씩 침투해 들어가 있었어요.
결과적으로는 레진 아래쪽으로
2차 충치가 진행된 상황이었습니다.
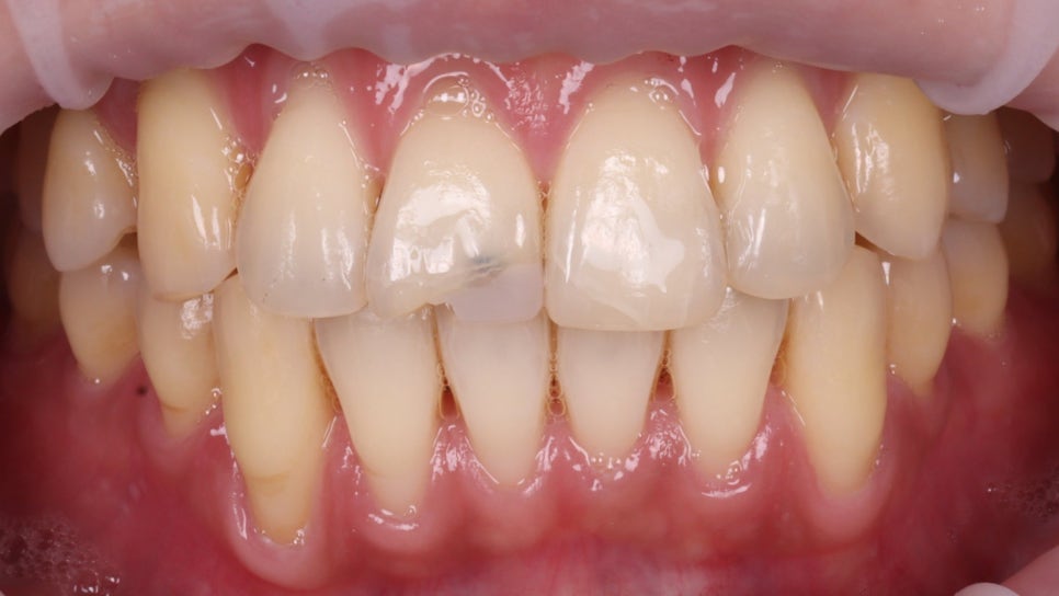
강남역치과
겉으로 보기엔 멀쩡해 보여도
내부에선 이미 치질이 손상되고 있었던 거죠.

촬영일 : 250611
이럴 땐 단순히 레진을 걷어내고
덧대는 치료로는 부족합니다.
기존 충치를 완전히 제거하고
그 위에 다시 '티 나지 않게' 복원해 줘야 합니다.
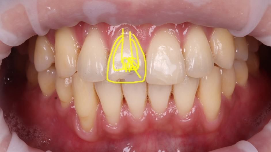
또 하나 유심히 본 건
파절된 위치가 기존 수복 부위와
정확히 겹쳐 있었다는 점이었습니다.
기존 경계와 새로 생긴 손상부가 맞물려 있는 경우
수복의 경계를 어떻게 설계하느냐에 따라
결과가 달라지게 됩니다.
앞니는 단 한 톤의 색감 차이만 있어도
눈에 띄는 부위입니다.
그래서 진단부터 수복 계획까지
훨씬 더 섬세하게 접근할 수밖에 없습니다.
이번 경우처럼 단순한 파절로 보이는 상황에서도
실제로는 깊이 있는 진단과 판단이
꼭 필요한 이유입니다.
단순한 수복이 아닌, 정밀한 복원
강남역치과
진단 이후 치료 계획을 세우며
먼저 고민한 것은 바로 ‘보존’과
‘재현’의 균형이었습니다.

촬영일 : 250611
환자분의 경우 레진이 떨어져 나간 부위
아래로 충치가 진행된 상태였습니다.
충치를 남김없이 제거하는 것은 기본이고
더 중요한 건 치아 삭제를 줄이면서도
경계가 티 나지 않도록 복원하는 것입니다.
일반적으로는 심한 충치나 깨짐이 있는 경우
크라운 치료를 권유하는 병원이 많지만
조금 힘들고 시간이 더 걸리더라도
치아를 아끼면서 자연치아의 결을
살리는 방법이 있다면 그걸 먼저
고려해야 한다고 생각합니다.

촬영일 : 250611
그래서 저는 이번에도 크라운이 아닌
정밀한 레진 수복을 선택했습니다.
강남역치과

충치 제거 후 깨진 경계는 레이어링 기법으로
자연스럽게 이어졌습니다.

치아의 색조는 단일색이 아닌,
안쪽의 심도 있는 컬러와 외곽의 밝은 투명층으로
이루어져 있기에 이를 따라 색상을
여러 겹 쌓아가며 조율하는 작업이 필요했습니다.
또한 빛이 통과하는 방향과 치아 표면의
미세한 패턴까지 세심하게 재현하여
“어디를 치료한 건지 모르겠다"라는 결과를
목표로 치료를 마무리했습니다.
치아를 위한 적은 삭제량과 자연스러운 심미
강남역치과
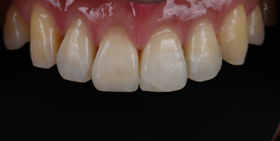
치료가 끝난 뒤 환자분은 거울을 들고
한참을 바라보다가 말없이 웃으셨습니다.
“진짜 어디가 깨졌었는지 모르겠네요.”
그 말 한마디에, 그날의 모든 진료 시간이
보상받는 기분이 들었습니다.

촬영일 : 250611
앞니는 단순히 기능만 회복하는 부위가 아닙니다.
표정과 인상, 말할 때의 자신감에까지
영향을 주는 아주 중요한 위치입니다.
그렇기에 강남역치과에서는 이런 앞니 레진 치료를
단순히 ‘때우는’ 수준으로 여기지 않습니다.

촬영일 : 250611
한 톤의 색, 한 줄기의 광택까지도
치밀하게 고민하며 치아 본연의 아름다움과
기능을 모두 복원해 드리는 것을
목표로 하고 있습니다.
앞니가 깨졌을 때,
혹은 예전에 했던 레진 치료가 떨어졌을 때,
많은 병원에서는 ‘크라운’을 이야기합니다.
하지만 저는 그렇게 생각하지 않습니다.
강남역치과
크라운보다 먼저 고민해야 할 건
이 치아를 얼마나 아낄 수 있을까
그리고 얼마나 자연스럽게
회복시킬 수 있을까 하는 점입니다.
레진 치료는 분명 어렵고
시간이 오래 걸리는 진료입니다.
하지만 그만큼 치아를 덜 깎고
더 지켜줄 수 있습니다.
저는 그게 치과의사로서 환자에게 해드릴 수 있는
정직한 선택 중 하나라고 믿고 있습니다.
앞으로도 치아를 덜 건드리고
더 자연스럽게 회복시킬 수 있는
‘보존적인 진료’, 그리고 ‘섬세한 복원’이라는
원칙을 지켜가겠습니다.

오늘 소개해 드린 앞니 재치료 케이스가
치료 방법을 고민 중이신 분들께
하나의 기준이 되길 바랍니다.
긴 글 읽어주셔서 감사합니다.
- 해당 진료는 탈락, 변색, 시림 등의
부작용이 있을 수 있으니
해당 주치의와 상의하시길 바랍니다.