아카이브 요약
이 페이지의 역할
재주좋은치과의원의 네이버 블로그 원문을 보존한 아카이브 페이지입니다. 앞니이야기 카테고리의 신논현치과 치아미백 누구나 예쁘게 하얗게 되는 건 아니다? 글을 통해 병원의 한국어 정보 제공 방식과 진료 관련 안내 톤을 확인할 수 있습니다.
원문 검증
필요하면 원문 블로그와 병원 프로필로 바로 이동해 문맥을 다시 확인할 수 있습니다.
출처 아카이브 열기아카이브된 블로그 글
재주좋은치과의원 · 앞니 레진 비니어 장인, 소현수 원장입니다.
하얀 치아를 갖고 싶은 마음, 누구나 한 번쯤은 품어보셨을 겁니다. 그래서 치아 미백을 해야겠다고 결심하실 텐데요. 미백을 한다고 해서 누구나 예쁘게 하얗게 되는 건 아니란 사실, 알고 계시나요? 반점치가 있을 때는 치아미백 후 해당 치아도 함께 밝아지기...
게시일
2025년 6월 28일
원문 기준으로 확인된 발행일입니다.
카테고리
앞니이야기
원문 블로그 카테고리를 정리해 함께 표시합니다.
이미지 수
9
현재 아카이브에 연결된 이미지 수입니다.
아카이브 요약
재주좋은치과의원의 네이버 블로그 원문을 보존한 아카이브 페이지입니다. 앞니이야기 카테고리의 신논현치과 치아미백 누구나 예쁘게 하얗게 되는 건 아니다? 글을 통해 병원의 한국어 정보 제공 방식과 진료 관련 안내 톤을 확인할 수 있습니다.
원문 검증
필요하면 원문 블로그와 병원 프로필로 바로 이동해 문맥을 다시 확인할 수 있습니다.
출처 아카이브 열기하얀 치아를 갖고 싶은 마음,
누구나 한 번쯤은 품어보셨을 겁니다.
그래서 치아 미백을 해야겠다고 결심하실 텐데요.
미백을 한다고 해서 누구나 예쁘게
하얗게 되는 건 아니란 사실,
알고 계시나요?

반점치가 있을 때는 치아미백 후
해당 치아도 함께 밝아지기에
오히려 반점치가 더 밝아져서
눈에 도드라져 보입니다.
최근 20대 여성분께서
“치아를 좀 더 환하게 만들고 싶다"라는
기대감을 안고 저희를 찾아주셨는데요.
단순히 미백만 원하는데
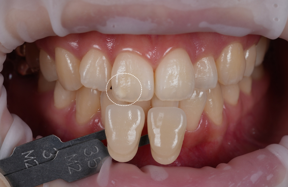
자세히 살펴보니 오른쪽 앞니에
밝게 위치한 하얀 점이 눈에 띄었습니다.
그것은 화이트 스팟
즉, 반점치였습니다.
신논현치과
👇 반점치 케이스
미백 전, 꼭 확인해야 할 것
신논현치과
먼저 여쭤봤습니다.
“혹시 이 부분, 예전부터
조금 신경 쓰이셨던 건 아니었나요?”
환자분은 조심스레 고개를 끄덕이셨고,
그때부터 대화는 한층 더 깊어졌습니다.
치아미백은 전체적인 치아 색조를
밝히는 데 효과적인 치료입니다.
하지만 이미 밝게 떠 있는 반점이 있는 경우
치아 전체가 밝아지면서 오히려
그 국소 부위가 더 눈에 띄게 부각됩니다.
그래서 미백 전, 꼭 확인해야 할 건
반점치의 유무입니다.

촬영일 : 250613
이번 환자분처럼 반점이 있는 경우
미백 치료 후 레진 치료까지 병행해야 하는데요.
하지만 미백과 레진을 한 번에 진행할 수는 없습니다.
먼저 치아를 밝히고 그 밝아진 톤에 맞춰
반점 부위를 수복하는 순서가
더 자연스럽고 안정적인 결과를 만들기 때문입니다.

그래서 우선 미백만 진행하기로 했고
반점 부위는 미백이 끝난 후에
레진으로 정밀하게 복원해 드릴 계획입니다.
여기서 잠깐,
반점치는 왜 생길까요?
신논현치과

화이트 스팟, 즉 반점치는 치아가 만들어질 때
법랑질 내 무기질이 충분히 채워지지 않거나
교정기 제거 후 세균 막이
남았던 자리에 생기기도 합니다.
불소를 너무 과하게 사용했을 때나
충치 초기에도 이와 유사한
백색 병소가 생길 수 있죠.
겉보기에는 작고 얕아 보일 수 있지만
빛을 받으면 유독 도드라지는
‘광학적 차이’ 때문에
많은 분들이 더 눈에 띈다고 느끼게 됩니다.
신논현치과
무엇보다 중요한 건
미백만으로는 없애기 어렵다는 점입니다.
오히려 밝아진 배경 위에서
더 선명해질 수 있으므로 반드시 확인하고
치료 순서를 계획해야 합니다.
조급함보다는 정밀함이 먼저
신논현치과
신논현치과에서는 어떤 치료든
시작 전에 반드시 충분한 대화를 나눕니다.

“이 치료를 통해 바라는 게 무엇인가요?”
“지금 제일 신경 쓰이는 부분은 어디인가요?”
그리고 이런 질문은 단지 시술 방향을
정하기 위해서가 아닙니다.
환자분의 기대와 현실 사이의 간극을 좁히고
무엇보다 ‘나에게 꼭 필요한 치료’인지
함께 고민하기 위함이죠ㅎㅎ

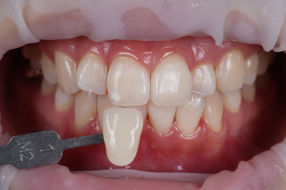
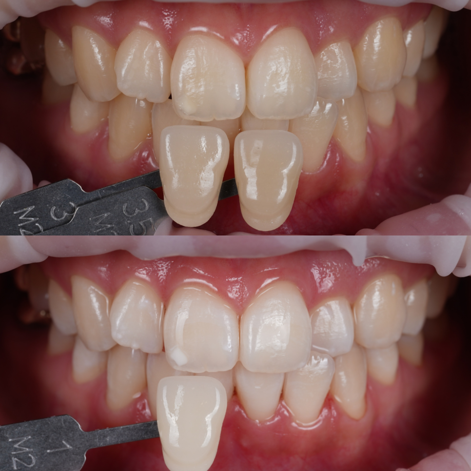
촬영일 : 250613
미백을 진행하고 향후 반점 레진을
정교하게 맞춰가는 계획으로
1차 치료를 마무리했습니다.

이 시림 문제가 생기지 않도록
보호제를 충분히 도포한 뒤 진행했으며
전, 후 색조를 측정해 보니 2단계 이상
밝아진 것을 확인할 수 있었죠.
저는 치아의 색을 단지 하얗게 만드는 것이
좋은 치료라고 생각하지 않습니다.
신논현치과
밝기뿐 아니라, 광택과 투명도,
주변 치아와 어울리는 조화까지
한 번에 완성되긴 어렵습니다.
하지만 한 단계씩 정밀하게 접근하면
시간이 지나도 더 자연스럽고 오래갈 수 있죠^^
이번 케이스처럼 치아 미백을 먼저 진행하고,
미백 효과가 안정된 후에
반점치 레진 치료를 계획하는 방식은
조급한 변화보다 더 정밀한 회복을 지향하는
저희 진료 철학의 일환입니다

촬영일 : 250613
하얀 치아는 하루 만에 만들 수 있을지도 모릅니다.
하지만 ‘자연스럽고 조화로운 미소’는
그만큼의 이해와 정성이 쌓여야만
가능하다고 생각합니다.
그래서 저는 늘 섬세하게
진료하기 위해 최선을 다하고 있습니다.
환자분의 치아를 더 밝게, 더 자연스럽게 만드는 일.
그건 단순히 색을 바꾸는 작업이 아니라
그분이 거울을 볼 때 느끼는 마음까지
함께 회복해 드리는 일이라고 생각합니다.

치료는 무조건 빠르게 끝나는 것이
중요하지 않습니다.
신논현치과
오히려 충분히 이해하고 한 단계씩 정리해가며
내 치아에 잘 맞는 방식을 선택하는 것이
더 오래, 더 건강하게 그 결과를
누릴 수 있는 길이니까요.
단순한 변화가 아니라 진짜 환자분께
도움이 되는 치료를 드릴 수 있도록
앞으로도 최선을 다하겠습니다ㅎㅎ
감사합니다.
부작용이 생길 수 있습니다.