아카이브 요약
이 페이지의 역할
재주좋은치과의원의 네이버 블로그 원문을 보존한 아카이브 페이지입니다. 앞니이야기 카테고리의 양재역치과 앞니 레진 받으러 수원에서 오신 이유(feat. 치과의사 소개) 글을 통해 병원의 한국어 정보 제공 방식과 진료 관련 안내 톤을 확인할 수 있습니다.
원문 검증
필요하면 원문 블로그와 병원 프로필로 바로 이동해 문맥을 다시 확인할 수 있습니다.
출처 아카이브 열기아카이브된 블로그 글
재주좋은치과의원 · 앞니 레진 비니어 장인, 소현수 원장입니다.
결혼을 앞두고 있는 예비신랑이었습니다. 곧 있을 웨딩촬영을 앞두고 치아 사이의 작은 틈이 자꾸만 마음에 걸린다며 저희 치과를 찾아주셨습니다. 더 놀라웠던 건, 환자분을 보내주신 분이 ‘치과의사’였다는 점입니다. 수원에서 개원하고 계신 그 친구분이 앞니 레진은...
게시일
2025년 7월 3일
원문 기준으로 확인된 발행일입니다.
카테고리
앞니이야기
원문 블로그 카테고리를 정리해 함께 표시합니다.
이미지 수
12
현재 아카이브에 연결된 이미지 수입니다.
아카이브 요약
재주좋은치과의원의 네이버 블로그 원문을 보존한 아카이브 페이지입니다. 앞니이야기 카테고리의 양재역치과 앞니 레진 받으러 수원에서 오신 이유(feat. 치과의사 소개) 글을 통해 병원의 한국어 정보 제공 방식과 진료 관련 안내 톤을 확인할 수 있습니다.
원문 검증
필요하면 원문 블로그와 병원 프로필로 바로 이동해 문맥을 다시 확인할 수 있습니다.
출처 아카이브 열기결혼을 앞두고 있는 예비신랑이었습니다.
곧 있을 웨딩촬영을 앞두고
치아 사이의 작은 틈이 자꾸만 마음에 걸린다며
저희 치과를 찾아주셨습니다.
더 놀라웠던 건, 환자분을 보내주신 분이
‘치과의사’였다는 점입니다.
수원에서 개원하고 계신 그 친구분이
앞니 레진은 ‘재주좋은치과’가 최고라며
추천해주셨다고요ㅎㅎ
그 말을 들었을 때 저도 조금은 긴장이 되었습니다.
동료 치과의사에게서 환자를 소개받는다는 건
단순한 믿음 이상이니까요^^

전문가로서 치료 결과를 일반인들에 비해
‘깐깐하게’ 그리고 '더 잘' 본다는 것도
잘 알고 있었고요.
그래서 조금은 긴장된 상태로
신중하게 진료를 시작했습니다ㅎㅎ
양재역치과

오늘도 열정 포토^^
저는 늘 사진에 진심입니다..
👇 사진에 진심인 이유
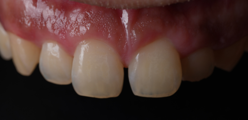
진료실에서 환자분의 앞니를 살펴보니
중절치(#11, #21) 사이에
1-2mm 남짓한 틈이 확인되었습니다.
육안으로 보기엔 작지만
정면에서 사진을 찍거나 가까이서 보면
제법 눈에 띄는 형태였고
비대칭의 여지가 있었습니다.
양재역치과

촬영일 : 250623
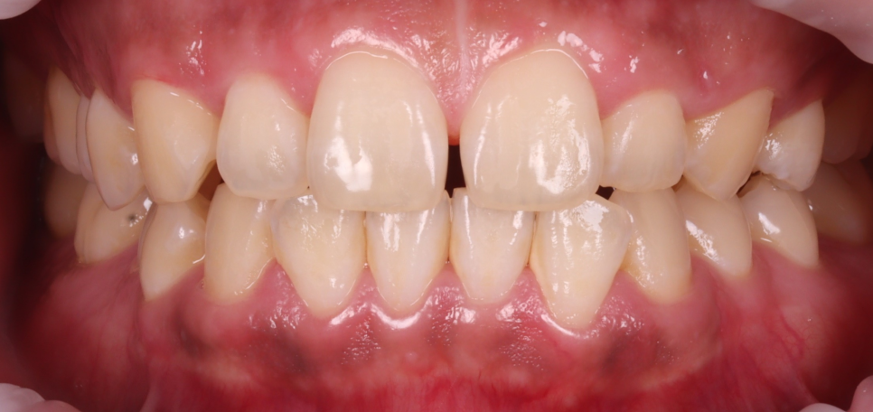
더불어, 치아의 전체 배열과 치아폭의 비율,
미소 시 노출되는 치은선,
입술 라인까지 함께 고려해가며
수복 범위를 정밀하게 판단했습니다.

촬영일 : 250623
다행히 치아 자체에는 충치나 균열은 없었고,
기존 치료 이력도 없는 건강한 상태였습니다.
그래서 환자분과 충분히 상의한 끝에
인접 치아 삭제 없이 레진으로만
수복하기로 결정했습니다.
양재역치과
저는 레진 치료를 좋아합니다.
정확히 말하자면, 치아를 보존하는 방식이 좋습니다.
앞니 사이의 벌어진 공간을 메우는 건
단순히 공간을 채우는 것이 아니라
‘형태, 색감, 투명도, 빛의 흐름’까지
복원해야 하는 작업입니다.

레진은 이런 작업에 아주 적합한 재료입니다.
양재역치과
단일 톤이 아닌 여러 색을
층층이 쌓아 조화시킬 수 있고 빛이 닿았을 때
반사되는 각도와 광택도 정교하게
조절할 수 있습니다.
물론 그만큼 시간이 오래 걸립니다.
형태를 하나하나 조율하면서
색상을 조심스럽게 올리고 양쪽 치아의 비율을
수치 단위로 맞춰나가는 과정이 필요합니다.
하지만 저는 그런 시간이 아깝다고 느끼지 않습니다.
그 작은 조율 하나하나가
결국 환자분의 사진 속 미소를 자연스럽게
만들어주고 웨딩 촬영 당일
“내 앞니 정말 예쁘다"라고
느낄 수 있게 해줄 테니까요^^


레진이 더 잘 붙을 수 있게 만드는 '산 처리' 과정입니다.

촬영일 : 250623
러버댐을 이용해 격리를 확실하게 한 뒤,
산 처리까지 진행했습니다.
저는 거의 모든 진료에 러버댐을 쓰고 있는데요.
러버댐을 사용했을 때와 사용하지 않았을 때의
치료 결과의 차이는 엄청나기 때문인데요.
아래 내용을 보시면 러버댐에 대한
더 구체적인 내용을 확인하실 수 있습니다.
👇 러버댐에 진심인 이유
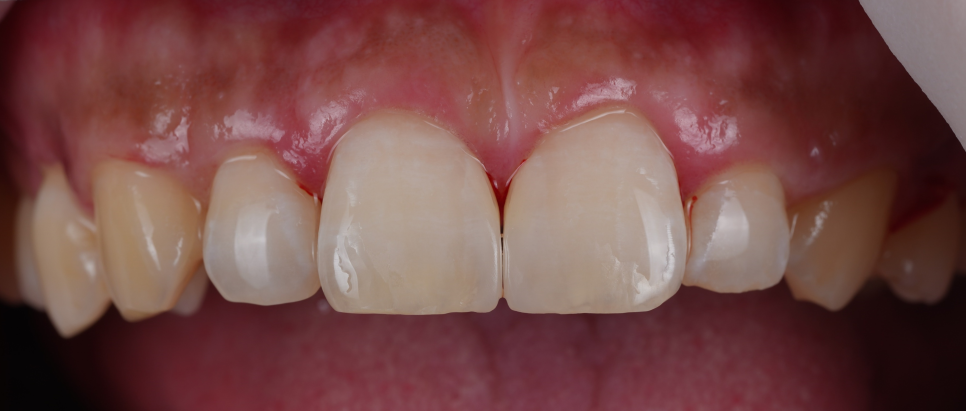
환자분 본래 치아 색조와 잘 어울리게끔
색조를 신중하게 체크해가며 한 땀 한 땀
정성스레 레진 수복 과정을 진행했습니다.

촬영일 : 250623
양재역치과
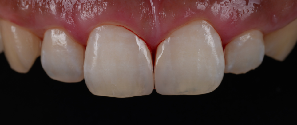
치료를 마친 후 거울을 바라보며
환자분이 웃으셨습니다.
“정말 자연스럽네요. 딱 원하던 느낌이에요.”
그 말을 듣는 순간, 저도 살짝 웃게 되었습니다.

촬영일 : 250623
누구보다 깐깐할 수 있는 치과의사 친구분이
저희를 추천해 주신 이유,
그 신뢰를 지킬 수 있었다는 안도감.
그리고 결혼을 앞둔 환자분이 멋진 웃음을
남길 수 있게 되었다는 뿌듯함이 함께였죠ㅎㅎ
앞니 레진은 보기에는 간단해 보여도
정말 많은 것을 고려해야 하는 예민한 치료입니다.
그럼에도 저희가 이 치료를 좋아하고
자주 하는 이유는 분명합니다.
시간이 오래 걸려도
그만한 가치가 있기 때문입니다.
양재역치과

촬영일 : 250623
앞으로도 저는 치아 본연의 아름다움과
기능을 함께 살리는 치료를 위해
하나하나 정성스럽게 진료하겠습니다^^

치아는 단지 기능만 하는 구조물이 아닙니다.
그 안에는 말투와 표정,
그리고 삶의 중요한 순간들이 담겨 있습니다.
특히 앞니처럼 ‘사람을 처음 마주하는 위치’에
있는 치아는 그 사람의 분위기와 인상을
좌우하기에 더 섬세하게 접근해야 합니다.
그래서 저는 언제나
‘보이지 않아야 할 치료’를 목표로 합니다.
양재역치과
눈에 띄지 않아야 성공인 치료,
자연치처럼 보이지만 결은 조금 더 부드럽고 단단한, 그런 결과를 만들기 위해
오늘도 정성을 다하고 있습니다.
긴 글 읽어주셔서 감사합니다.
*해당 진료는 탈락, 변색, 시림 등의
부작용이 생길 수도 있습니다.