아카이브 요약
이 페이지의 역할
재주좋은치과의원의 네이버 블로그 원문을 보존한 아카이브 페이지입니다. 어금니이야기 카테고리의 서초동치과 치아 삭제 원하지 않는다면 오버레이 하세요 글을 통해 병원의 한국어 정보 제공 방식과 진료 관련 안내 톤을 확인할 수 있습니다.
원문 검증
필요하면 원문 블로그와 병원 프로필로 바로 이동해 문맥을 다시 확인할 수 있습니다.
출처 아카이브 열기아카이브된 블로그 글
재주좋은치과의원 · 앞니 레진 비니어 장인, 소현수 원장입니다.
“오른쪽 아래 어금니가 시려요. 딱딱한 거 씹으면 욱신거려요.” 몇 달 전, 30대 중반의 남성 환자분이 저희 치과를 찾으셨습니다. 사실 이 환자분은 그보다 약 4개월 전, 같은 치아의 문제로 제가 레진 빌드업 치료를 해드렸던 이력이 있습니다. 촬영일 : 250220 ...
게시일
2025년 7월 8일
원문 기준으로 확인된 발행일입니다.
카테고리
어금니이야기
원문 블로그 카테고리를 정리해 함께 표시합니다.
이미지 수
12
현재 아카이브에 연결된 이미지 수입니다.
아카이브 요약
재주좋은치과의원의 네이버 블로그 원문을 보존한 아카이브 페이지입니다. 어금니이야기 카테고리의 서초동치과 치아 삭제 원하지 않는다면 오버레이 하세요 글을 통해 병원의 한국어 정보 제공 방식과 진료 관련 안내 톤을 확인할 수 있습니다.
원문 검증
필요하면 원문 블로그와 병원 프로필로 바로 이동해 문맥을 다시 확인할 수 있습니다.
출처 아카이브 열기“오른쪽 아래 어금니가 시려요.
딱딱한 거 씹으면 욱신거려요.”
몇 달 전, 30대 중반의 남성 환자분이
저희 치과를 찾으셨습니다.

사실 이 환자분은 그보다 약 4개월 전,
같은 치아의 문제로 제가
레진 빌드업 치료를 해드렸던 이력이 있습니다.


촬영일 : 250220
그 당시엔 치아를 보존하는 쪽으로
치료를 선택했지만 시간이 지나도
계속되는 불편감은 결국 다시 내원하시게 만들었죠.
이번엔 더 깊은 진단과 함께,
정말 필요한 치료가 무엇인지
천천히 짚어보기로 했습니다.
서초동치과
처음 내원하셨을 때 겉보기엔 레진 치료 후
살짝 불편한 정도로 보였습니다.
하지만 정밀한 진단을 위해 방사선 촬영과
근관 검사를 진행해 보니 문제는
그리 단순하지 않았습니다.


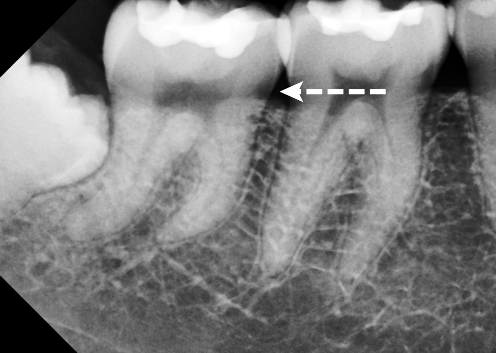
촬영일 : 250310
레진에 미세한 크랙이 생겨 있었는데요.
평소 이를 악무는 습관과
이갈이를 갖고 계셨던 분이라 그런지
레진 파절로 이어져 있었죠..

촬영일 : 250310
또한 뿌리가 강하게 휘어진 ‘만곡치’였고,
내부 신경 조직에 이미 염증 소견이 확인되었습니다.
이는 단순한 시림 증상이 아니라
이미 신경까지 손상이 진행된
‘비가역적 치수염’으로 판단할 수 있는
상황이었죠.
이 경우 일반적인 직선 신경관과는 달라
치료 난이도가 꽤 높은 편이었습니다.
서초동치과
안쪽이 많이 휘어있기 때문에 기구가 진입하기
어렵고 감염 조직을 남김없이 제거하기 위해선
의료진의 기술과 집중력이
매우 많이 필요한 구조였습니다.
서초동치과
해당 환자분의 어금니는 단순한
충치 치료로 끝날 수 있는 구조가 아니었습니다.
정확히 말하자면, 이 치아는
심하게 만곡된 신경관(curved canal) 을
가지고 있었습니다.
뿌리 모양이 구부러져 있거나(만곡),
신경관이 좁거나(협소),
심지어 여러 갈래로 나뉘어 있다면
기구가 제대로 삽입되지 않거나 중간에 끊어지고
완전히 세척하지 못해 염증이
재발하는 일이 생길 수 있습니다.
그래서 이런 치아를 치료할 때는
다음과 같은 접근이 필요합니다👇
✅ 고배율 확대경,
루페를 통한 시야 확보
✅ 프리 커브(pre-curved) 된 기구 사용
: 휘어진 경로를 따라 정교하게 삽입
✅ 초음파 기구 시스템으로 섬세하게
감염 부위 제거
✅ 근관 충전 시 압력 분산을
고려한 충전 방식
서초동치과
이러한 작업은 결코 단순하지 않습니다.
많은 시간이 필요하고, 무엇보다
경험과 손기술이 요구되는 치료입니다.

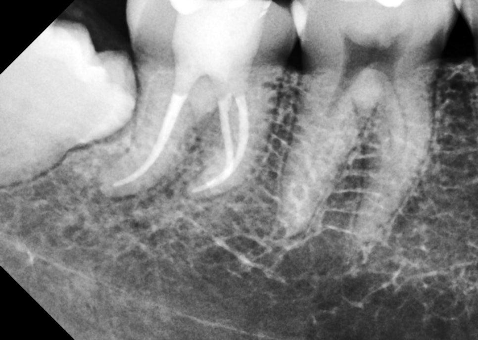
촬영일 : 250617
그렇기에 단순한 “신경치료”라는
한 단어로는 설명할 수 없는,
매우 고난도의 진료 과정이라 할 수 있습니다.

이처럼 까다로운 구조였음에도
서초동치과에서는 반복적으로
CT와 방사선 진단을 통해
근관의 해부학적 구조를 정밀하게 파악하고
전 과정에서 철저한 감염관리와
방습 상태를 유지한 채
신경치료를 성공적으로 마무리할 수 있었습니다.
.
서초동치과
신경치료가 끝난 후 남은 고민은
보철 방식이었습니다.
이런 경우 대부분은 치아 전체를 삭제해서
크라운을 씌우는 치료를 많이 선택하시는데요.
저는 다르게 생각합니다.
해당 치아는 아직 건강한 치질이
충분히 남아 있었고 전체 삭제가
불필요한 상황이었습니다.

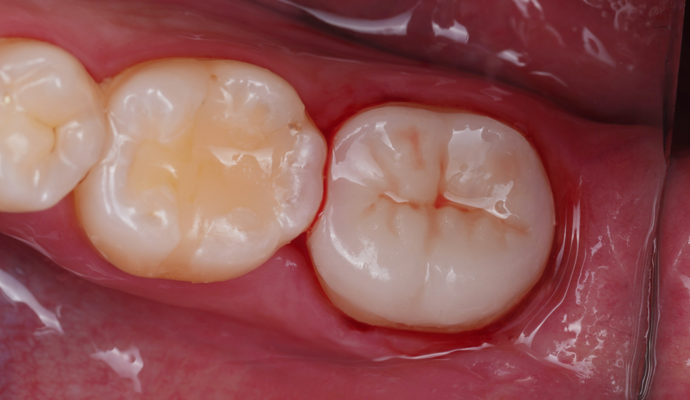
촬영일 : 250624
그래서 저는 오버레이 크라운을 선택했습니다.
오버레이는 치아 전체를 덮지 않고
기능적으로 약해진 부위만
정밀하게 수복하는 방식입니다.

촬영일 : 250624
삭제량을 줄이면서도 필요한 기능은
충분히 보완할 수 있는 방식이죠.
이 역시 러버댐을 설치한 상태에서
완전한 방습 하에 정밀 접착을 진행했습니다.
접착은 보철물 수명의 핵심이기 때문에
단순히 덮는 게 아니라 치아와 보철이
‘한 몸’이 되도록 세심하게 공들입니다.
서초동치과
서초동치과
치료를 마친 후, 환자분께서는 거울을 들고
조심스럽게 확인하시더니 이렇게 말씀하셨습니다.
“처음엔 그냥 시린 줄만 알았는데,
이렇게 세심하게 다 봐주셔서 안심이 돼요.”

촬영일 : 250624
해당 치아는 기존 레진 치료 후에도
불편감이 지속되던 상황이었고
실제로는 내부에 만곡된 신경관과 감염된
치수 조직이 숨어 있던 까다로운 케이스였습니다.
신경치료는 어렵고 복잡했지만 마무리까지
충실히 진행했고 이후 오버레이 크라운을 통해
치아 삭제를 줄이며 기능과 심미를
모두 회복해 드릴 수 있었습니다.
무엇보다도 자연치의 건강한 부분은
그대로 보존하고 필요한 부위만 정밀하게
수복한 방식이었기에 치료 후에도
편안하게 사용하실 수 있을 것입니다^^
치아 치료는 단순히 ‘아픈 걸 고친다’는
차원을 넘어서야 한다고 생각합니다.
서초동치과

촬영일 : 250220 / 250624
특히 어금니처럼 한 번 손상이 시작되면
기능과 구조를 동시에 잃기 쉬운 부위일수록
무엇을 살리고 어떻게 복원할지를
더 신중하게 고민해야 합니다.
서초동치과에서는 단순히 씌우는 크라운보다
자연치를 보존할 수 있는 오버레이 크라운처럼
정밀하고 덜 침습적인 방법을
우선으로 제안 드립니다.
오늘의 사례처럼 작은 증상에서 출발했지만
깊이 있는 진단과 정직한 치료로
환자분의 치아를 더 오래,
더 건강하게 쓸 수 있게 만들어드리는 것.
그게 저희가 추구하는 진료의 방향입니다.
정확한 진단, 적은 양의 삭제, 오래가는 결과.
앞으로도 서초동치과는
그 세 가지를 중요하게 여기며 지켜가겠습니다.
감사합니다.
증상이 일시적으로 나타날 수 있으며
드물게는 추가적인 치료가 필요할 수도 있습니다.
치료기간 : 250220 - 250624