아카이브 요약
이 페이지의 역할
재주좋은치과의원의 네이버 블로그 원문을 보존한 아카이브 페이지입니다. 앞니이야기 카테고리의 고속터미널역치과 레진치료 처음부터 잘 받아야 하는 이유 글을 통해 병원의 한국어 정보 제공 방식과 진료 관련 안내 톤을 확인할 수 있습니다.
원문 검증
필요하면 원문 블로그와 병원 프로필로 바로 이동해 문맥을 다시 확인할 수 있습니다.
출처 아카이브 열기아카이브된 블로그 글
재주좋은치과의원 · 앞니 레진 비니어 장인, 소현수 원장입니다.
최근에 앞니 사이를 치료했는데 뭔가 느낌이 이상해요. 재치료 한 것인데도 말이에요.... 고속터미널역치과 40대 초반의 여성분이셨는데요. 앞니 사이 충치를 다른 치과에서 치료한 뒤에도 이상하게 마음이 놓이지 않았다고 합니다. 우연히 교정 상담을 받으러 갔던 치과에서 “예전에 치료한...
게시일
2025년 7월 10일
원문 기준으로 확인된 발행일입니다.
카테고리
앞니이야기
원문 블로그 카테고리를 정리해 함께 표시합니다.
이미지 수
12
현재 아카이브에 연결된 이미지 수입니다.
아카이브 요약
재주좋은치과의원의 네이버 블로그 원문을 보존한 아카이브 페이지입니다. 앞니이야기 카테고리의 고속터미널역치과 레진치료 처음부터 잘 받아야 하는 이유 글을 통해 병원의 한국어 정보 제공 방식과 진료 관련 안내 톤을 확인할 수 있습니다.
원문 검증
필요하면 원문 블로그와 병원 프로필로 바로 이동해 문맥을 다시 확인할 수 있습니다.
출처 아카이브 열기최근에 앞니 사이를 치료했는데
뭔가 느낌이 이상해요.
재치료 한 것인데도 말이에요....
고속터미널역치과
40대 초반의 여성분이셨는데요.
앞니 사이 충치를 다른 치과에서 치료한 뒤에도
이상하게 마음이 놓이지 않았다고 합니다.
우연히 교정 상담을 받으러 갔던 치과에서
“예전에 치료한 자리가 좀 이상한 것 같다"라는
이야기를 듣고 다시 치료받으셨던 치과에 가셨고,
재치료까지 받았지만 여전히 느낌이 좋지 않아
결국 저희 치과를 찾아오셨어요.
소개해 주신 분은 다른 병원에 근무 중인
치과 위생사 선생님이셨습니다^^
(요즘 같은 직종에서 근무하고 계신 선생님들께서
소개를 많이 해주시는데 참 감사합니다!)
“이번엔 확실히 진단받고 싶어서 왔어요.”
그 말씀이 꽤 인상 깊었습니다.
단순히 다시 치료를 받는 것보다,
정확하게 내 치아 상태를 알고 싶은
마음이 더 크셨던 거죠.

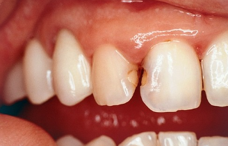
처음 마주한 치아의 상태는
고속터미널역치과
진료실에서 처음 마주한
앞니는 겉보기엔 그저 깔끔하게
충치 치료가 되어 있는 듯 보였습니다.
색상도 주변 치아와 크게 다르지 않았고
외형적으로는 눈에 띄는 이질감도 크지 않았죠.

하지만 저는 겉모습만으로 판단하지 않습니다.
진단용 확대경과 조명, DSLR을 통해
해당 부위를 들여다본 순간 레진 수복의 내부가
심상치 않다는 걸 확인할 수 있었습니다.

촬영일 : 250707
기존 레진과 치아 사이에
아주 얇은 틈이 남아 있었고 그 틈 주위로
치질이 파절된 양상이 뚜렷했습니다.
한마디로, 레진은 붙어 있었지만
‘완전히 밀착되진 않은 상태’였던 겁니다.
이렇게 밀착이 부족하면,
겉으로 멀쩡해 보여도 음식물이나
세균이 그 미세한 틈을 타고 천천히 스며들게 됩니다.
그 결과, 이미 치료된 부위 아래쪽에서부터
충치가 다시 시작되거나 치아 내부에서
탈회가 진행되며 구조적 약화가 발생하게 됩니다.

특히 앞니처럼 씹는 힘보다 심미성이 중요한 부위는
경계 부위가 약간만 불안정해도
치질에 미세한 균열이 생기기 쉽고,
그게 누적되면 결국 파절로까지 이어질 수 있습니다.
환자분의 경우도, 수복물은 있었지만
그 내부는 치아 본연의 건강을
유지하기 어려운 상태였고 그 불편함은 고스란히
환자 스스로가 느끼고 계셨던 것이죠.
그래서 단순한 보강이 아니라
문제가 되는 수복 전체를 정밀하게 제거하고,
다시 밀착력 있게 재수복하는 방향으로
계획을 세우게 되었습니다.
소원장이 좋아하는 레진 재수복
고속터미널역치과

우선 러버댐을 설치해 수분을 철저히 차단하고
치아 주변 환경을 정리한 다음,
남아 있는 레진과 약해진 조직들을
조심스럽게 제거했습니다.

촬영일 : 250707
이 과정에서 치료 부위 안쪽이 생각보다
깊이 비어 있었던 걸 확인할 수 있었고,
파절된 치질도 부드럽게 다듬어주었습니다.


촬영일 : 250707
그다음은 저의 전문 영역이자,
많은 시간을 쓰는 ‘접착’ 단계입니다.
고속터미널역치과
접착은 단순히 레진을 붙이는 게 아닙니다.
빛의 투과 방향, 주변 치아의 색조,
자연치아의 윤곽까지 고려해서
겹겹이 레이어링하고 섬세하게 다듬어야
“티가 안 나게” 마무리할 수 있습니다.

촬영일 : 250707
이번에도 투명한 모서리와
안쪽의 음영을 따로 잡고 각 층마다 레진을 나눠
조심스럽게 쌓아갔습니다.
거울로 봐도 어디를 치료했는지
모를 정도로 복원하는 게 목표였고
다행히 결과도 만족스러웠습니다^^
겉만 예쁜 게 아니라, 안까지 건강하게 이어지는 진료
고속터미널역치과
환자분께서 조용히 거울을 보시며 말씀하셨어요.
“이제야 마음이 편해지네요.”
그 말을 듣는 순간, 저도 안도의 숨을 내쉬었습니다.

촬영일 : 250707
저는 진료할 때 늘 이렇게 생각합니다.
치료는 단순히 ‘고치는 것’이 아니라
‘내가 이 치아를 믿고 쓸 수 있겠구나’ 싶은 마음을
들게 해드리는 거라고요.
앞니처럼 잘 보이는 자리는 더욱 그렇습니다.
조금만 색이 달라도, 경계가 어색해도 환자분은
‘마음이 불편해지는 것’에서
먼저 불신을 느끼게 됩니다.
그래서 저는 늘 정밀한 진단과
섬세한 복원을 우선합니다.
고속터미널역치과
겉만 예쁜 게 아니라,
안까지 건강하게 이어지는 진료.
그게 제가 오랜 시간 지켜온 철학입니다^^

촬영일 : 250707
오늘 소개해 드렸던 사례처럼
충치 치료를 한 번 했다고 끝이 아니고
그 과정이 얼마나 정확했는지,
얼마나 오래 유지될 수 있는지가 중요합니다.

저는 지금 당장 치료에만 집중하지 않고
10년 뒤에도 문제없이 사용할 수 있는,
안심하고 믿을 수 있는 치료를 해드리기 위해
늘 최선을 다할 것을 약속드립니다.
감사합니다.
증상이 일시적으로 나타날 수 있으며
드물게는 추가적인 치료가 필요할 수도 있습니다.
치료 기간 : 250707 - 250707