아카이브 요약
이 페이지의 역할
재주좋은치과의원의 네이버 블로그 원문을 보존한 아카이브 페이지입니다. 앞니이야기 카테고리의 역삼역치과 벌어진 앞니 레진 이렇게 해야 진짜 티 안나요 글을 통해 병원의 한국어 정보 제공 방식과 진료 관련 안내 톤을 확인할 수 있습니다.
원문 검증
필요하면 원문 블로그와 병원 프로필로 바로 이동해 문맥을 다시 확인할 수 있습니다.
출처 아카이브 열기아카이브된 블로그 글
재주좋은치과의원 · 앞니 레진 비니어 장인, 소현수 원장입니다.
앞니 사이가 벌어져서 사진 찍을 때마다 신경 쓰여요... 역삼역치과 환자분은 여대생이었습니다. 친구들과 사진 찍을 일이 많은데 치아 때문에 활짝 웃지 못한다며 스트레스를 많이 받으신다고 하셨어요. 저 역시도 대학생 때는 친구들끼리 사진을 참 많이 찍었던 것 같습니다....
게시일
2025년 7월 16일
원문 기준으로 확인된 발행일입니다.
카테고리
앞니이야기
원문 블로그 카테고리를 정리해 함께 표시합니다.
이미지 수
20
현재 아카이브에 연결된 이미지 수입니다.
아카이브 요약
재주좋은치과의원의 네이버 블로그 원문을 보존한 아카이브 페이지입니다. 앞니이야기 카테고리의 역삼역치과 벌어진 앞니 레진 이렇게 해야 진짜 티 안나요 글을 통해 병원의 한국어 정보 제공 방식과 진료 관련 안내 톤을 확인할 수 있습니다.
원문 검증
필요하면 원문 블로그와 병원 프로필로 바로 이동해 문맥을 다시 확인할 수 있습니다.
출처 아카이브 열기앞니 사이가 벌어져서
사진 찍을 때마다 신경 쓰여요...
역삼역치과
환자분은 여대생이었습니다.
친구들과 사진 찍을 일이 많은데
치아 때문에 활짝 웃지 못한다며
스트레스를 많이 받으신다고 하셨어요.
저 역시도 대학생 때는 친구들끼리
사진을 참 많이 찍었던 것 같습니다.
하지만 저 역시 삐뚤었던 치아 때문에
콤플렉스가 있어 친구들과 사진 찍을 때마다
입을 꾹 다물고 찍거나 치아를 가리기 위해
웃음기 없이 무표정하게 찍곤 했죠.


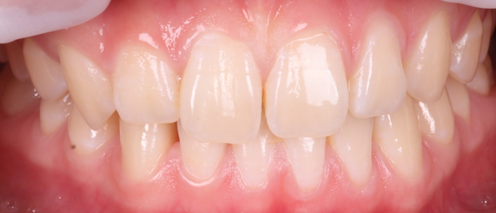
앞니 치료 전
그래서 "너도 좀 활짝 웃어봐~"
라는 친구들의 볼멘소리를 듣기도 했죠^^;
저도 활짝 웃고 싶어서 앞니를 치료받았고,
그렇게 앞니 치료를 더욱 열심히 공부하게 된
계기가 되었죠ㅎㅎㅎ


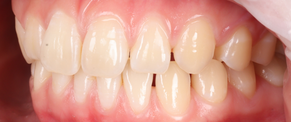
앞니 치료 후
👇🏻 앞니 치료에 집중하게 된 이유 👇🏻
본론으로 다시 돌아가서
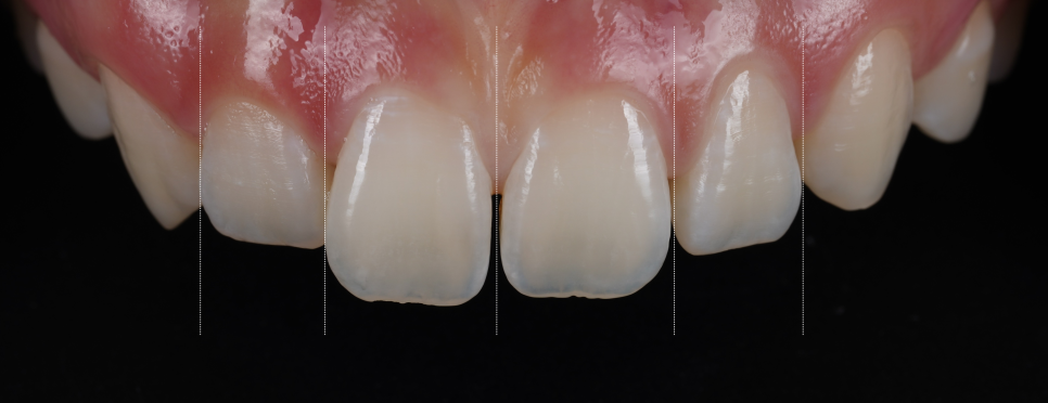
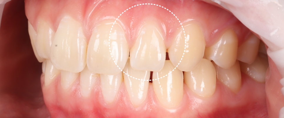
환자분의 치아를 자세히 살펴보니
단순히 앞니 사이에
틈이 있는 것만이 아니었습니다.



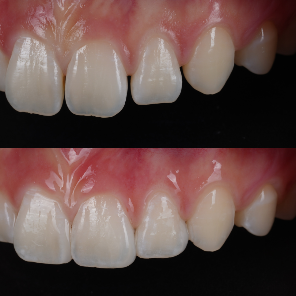
촬영일 : 250619
공간의 분포가 일정하지 않았고
치아 하나하나의 크기 비율도 제각각이었습니다.
게다가 중심선(정중선)도 살짝 어긋나 있었고요.
하지만 제가 늘 말씀드리듯,
‘공간을 막는다’는 건
단순히 ‘다 메운다’는 뜻이 아닙니다.
중요한 건 어디를 어떻게 메우느냐,
그리고 얼마만큼의 여백을 남기느냐입니다.

비워야 보이는 것들이 있습니다.
역삼역치과
진료실에서 먼저 했던 건
앞니를 하나하나 분리해서 바라보는 일이었습니다.

촬영일 : 250619
마치 디자인 작업을 하듯 말이죠.
공간은 꽤 있었지만 빈 공간 양옆에
레진을 모두 붙일 필요는 없었습니다.
오히려 잘못 건드리면 치아가 불균형해지고
전체 비율이 어색해질 수 있었죠.
이번 케이스에서는
“좌우 밸런스와 정중선”이 핵심이었습니다.
역삼역치과
그래서 ‘절반의 여백’만을 활용하기로 계획했습니다.


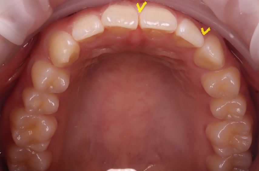
특히 왼쪽 측절치(22번)의 경우, 겉에서 보기엔
살짝 벌어져 있는 것처럼 보여도 막상 그 공간을
레진으로 채우면 치아 크기가
부자연스럽게 커 보일 수 있었습니다.
그래서 착시를 이용했습니다.
정면에서 보면 딱 자연스럽고
옆에서 보면 공간은 다 막혀있는 아주 교묘한 설계.

이게 바로 ‘보이는 대로 메우지 않는’
레진 디자인의 진수죠.
밀리미터 단위로 웃음까지 설계하는 시간
역삼역치과
치아미백 관련 글 참고하세요 :)
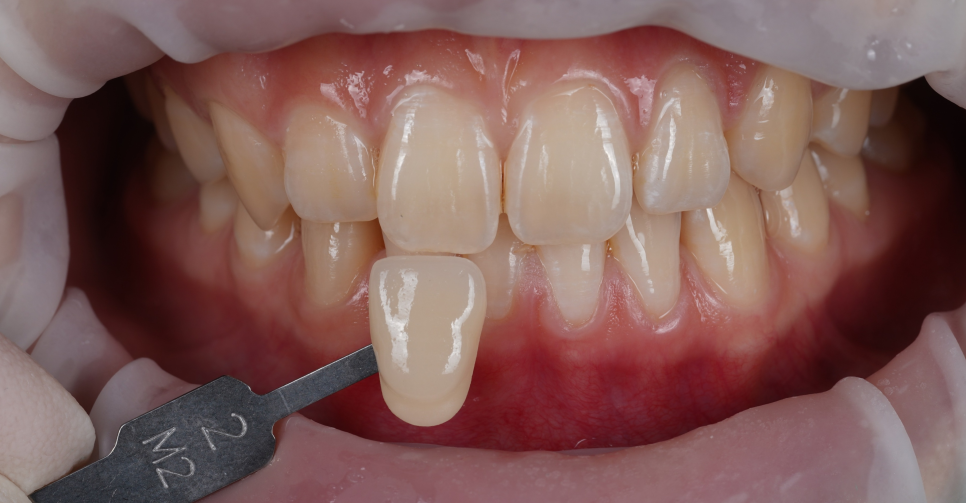
미백까지 원하셨기 때문에
우선 미백을 먼저 진행한 뒤
레진 수복을 진행하기로 했습니다.

촬영일 : 250619
레진을 먼저 하게 되면 미백 후 레진의 색이
누렇게 보일 수 있답니다ㅠㅠ
두 가지 치료를 고민하고 계시다면
미리 상의 후에 치료 순서를 정하는 게 좋죠.

촬영일 : 250619
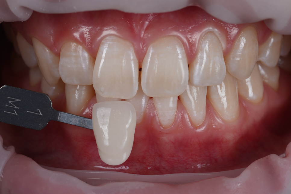
2주 정도 텀을 가진 후
본격적인 앞니 치료를 시작했습니다.
본격적인 치료가 시작되면
저는 집중 모드에 들어갑니다.

치아는 피부처럼 매끈하지 않고,
밝은 빛과 어두운 그림자, 그 사이의 투명한 층까지
아주 섬세한 구조로 되어 있기 때문이죠.
먼저 공간을 정교하게 다듬고
그 위에 미세하게 레진을 쌓아갑니다.

촬영일 : 250619
중심선을 자연스럽게 맞추기 위해선
단순히 공간만 닫아선 안 됩니다.
좌우의 치아가 '같아 보이게' 만들어야 하고
웃을 때 보이는 면적도 고려해야 하죠.
특히 왼쪽 옆 앞니는 레진을 조금만 더 붙이면
전체 비율이 금세 어색해지기 때문에
“앞에서 보면 슬림하게, 옆에서 보면 꽉 채운”
구조로 설계했습니다.
이건 거의 착시의 예술입니다....
역삼역치과
중간중간 환자분께 확인해 드리며,
"이제 웃을 때 이 사이로 빛이
들어올 일은 없을 거예요~"라고
농담도 살짝 얹어드렸죠😄

촬영일 : 250619
아래 치아들도 마찬가지로
송곳니의 크기를 키워서 공간을 막는 것이
훨씬 유리한 경우가 더 많답니다^^
누구도 눈치 못 채는, 티 안 나는 레진의 힘
역삼역치과
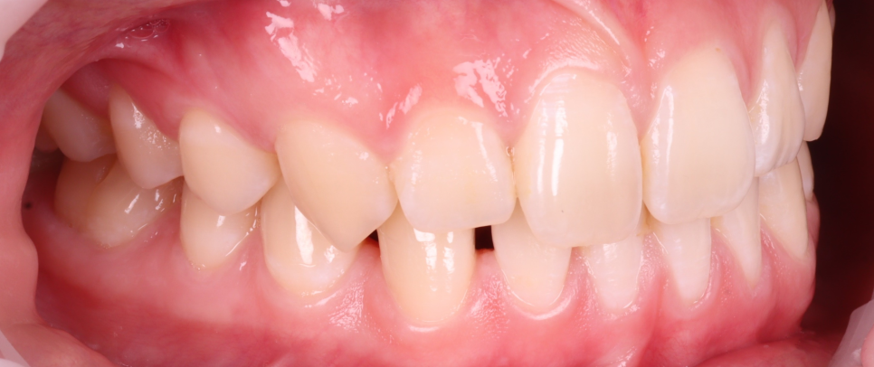
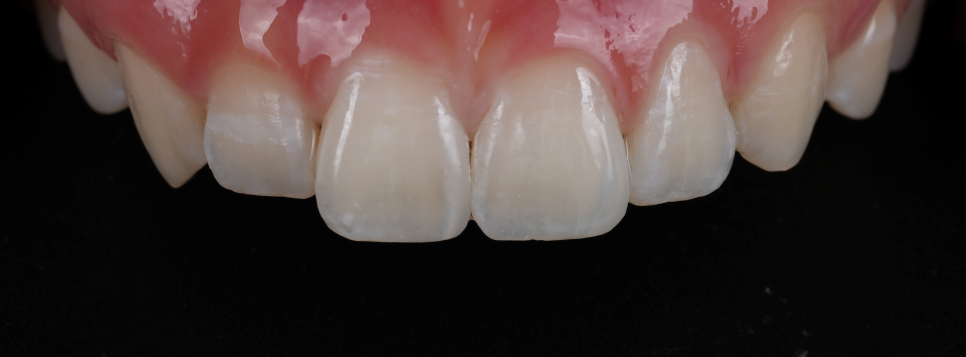
치료를 마치고 나서
거울을 들여다본 환자분은 한참 말이 없었습니다.

촬영일 : 250704
그러더니 이내 웃으시며,
“진짜 원래 이랬던 것 같아요. 어디 붙이셨어요?”
이런 반응, 제일 듣기 좋은 말입니다ㅎㅎ
치료한 티가 안 나는 치료.
원래 내 치아 같다는 느낌.
그게 저희가 늘 지향하는 결과입니다.

촬영일 : 250619 / 250704
이번 케이스의 핵심은,
필요한 만큼만 건드리고, 필요한 곳에만
섬세하게 복원한 것입니다.
역삼역치과
앞니를 몽땅 덮거나, 억지로 메워서
크기를 비대칭으로 만드는 것이 아니라
심미와 균형을 동시에 잡은 치료였죠.
앞니 사이 공간이 고민이라고 해서
무조건 다 채우는 건
좋은 해답이 아닙니다.
역삼역치과
저는 항상 “얼마나 덜 건드릴 수 있느냐”를
먼저 생각합니다.
자연치의 구조를 살리고,
웃을 때 자연스러운 라인을 만드는 것이
레진 치료의 진짜 목적이거든요^^

촬영일 : 250619 / 250704
한쪽 치아만 건드려도 정중선이 바뀔 수 있고,
과도하게 수복하면 오히려 어색해질 수 있습니다.
그래서 이 모든 걸 미리 계산해서
디자인하는 것이 치과의사의 역할입니다.
치과의사들도 ‘눈에 잘 안 띄게 치료하는 레진’을
어려운 치료 중 하나로 생각합니다.
하지만 그만큼 보람 있는 진료이기도 하죠.
앞니 사이 공간이 걱정되신다면
자연스러움과 균형을 함께 잡을 수 있는 방법
저희가 함께 고민해 드리겠습니다.
치과의사 소현수였습니다. 감사합니다 :)
증상이 일시적으로 나타날 수 있으며
드물게는 추가적인 치료가 필요할 수도 있습니다.
치료 기간 : 250619 - 250704