아카이브 요약
이 페이지의 역할
재주좋은치과의원의 네이버 블로그 원문을 보존한 아카이브 페이지입니다. 앞니이야기 카테고리의 반포치과 70대 앞니 벌어짐 레진 당일 치료 케이스 글을 통해 병원의 한국어 정보 제공 방식과 진료 관련 안내 톤을 확인할 수 있습니다.
원문 검증
필요하면 원문 블로그와 병원 프로필로 바로 이동해 문맥을 다시 확인할 수 있습니다.
출처 아카이브 열기아카이브된 블로그 글
재주좋은치과의원 · Naver Blog
아랫니가 벌어졌길래 다니던 치과에 말씀드렸더니… 나이 들면 그럴 수 있다면서 그냥 쓰래요. 근데 저는 벌어진 앞니가 보기 싫더라고요. 나이가 들어도 예뻐 보이고 싶은 마음은 똑같네요~ 지난주, 이렇게 속상한 마음으로 저희 치과에 방문해 주신 70대 여성분이 계십니다. 저희 치과는 오피스...
게시일
2025년 7월 21일
원문 기준으로 확인된 발행일입니다.
카테고리
앞니이야기
원문 블로그 카테고리를 정리해 함께 표시합니다.
이미지 수
11
현재 아카이브에 연결된 이미지 수입니다.
아카이브 요약
재주좋은치과의원의 네이버 블로그 원문을 보존한 아카이브 페이지입니다. 앞니이야기 카테고리의 반포치과 70대 앞니 벌어짐 레진 당일 치료 케이스 글을 통해 병원의 한국어 정보 제공 방식과 진료 관련 안내 톤을 확인할 수 있습니다.
원문 검증
필요하면 원문 블로그와 병원 프로필로 바로 이동해 문맥을 다시 확인할 수 있습니다.
출처 아카이브 열기아랫니가 벌어졌길래 다니던
치과에 말씀드렸더니…
나이 들면 그럴 수 있다면서 그냥 쓰래요.
근데 저는 벌어진 앞니가 보기 싫더라고요.
나이가 들어도 예뻐 보이고 싶은 마음은
똑같네요~
지난주, 이렇게 속상한 마음으로
저희 치과에 방문해 주신 70대 여성분이 계십니다.
저희 치과는 오피스 상권에 위치해 있어
20-30대 분들이 많이 내원하시지만,
60대 이상의 고령 환자분들도
꾸준히 내원하시는 편인데요.

고령의 환자분들께서 내원하셨을 때
단순히 노화현상이라고 치부하기보다는
환자분의 입장에서 생각하고 해결책을
제시해 드리고 있습니다.
특히, 앞니는 치주염으로 인해 벌어지기도 하며,
아래 앞니가 앞쪽으로 쏠리면서
치아가 삐뚤어지기도 합니다.
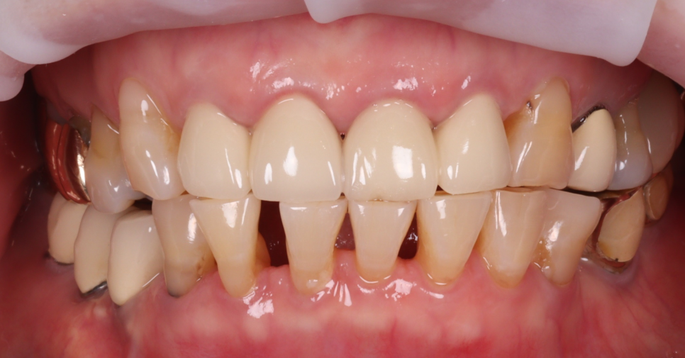
해당 환자분께서는 아래 앞니가
많이 벌어진 상황이었습니다.
'깎지 않고도' 해결할 수 있는 방법
반포치과
“저는 다른 건 몰라도 치아 깎는 건 정말 싫어요.”

촬영일 : 250710
진료실에 앉자마자 환자분이
단단한 어조로 말씀하셨어요.
사실 이 한 마디에 많은 것이 담겨 있습니다.
자연치아에 대한 아쉬움,
예전 치료 경험에서 생긴 불안감,
그리고 연령대에 따라 점점 줄어드는
선택지에 대한 고민까지요.
그래서 저는 바로 답을 드렸습니다.
치아를 깎지 않고도,
충분히 예쁘고 건강하게 만들 수 있어요.
저는 보존하는 것을
최우선으로 생각합니다.
반포치과
앞니 사이가 벌어졌다고 보철로 씌우는 것이
정답이 아닐 수 있습니다.
잇몸과 치아 뿌리 상태가 괜찮다면
가급적 자연치를 그대로 두고
‘보완’하는 쪽으로 접근하는 것이 더 현명합니다.
‘치아를 살리고, 자연스럽게 만들기’ 위한 설계
반포치과
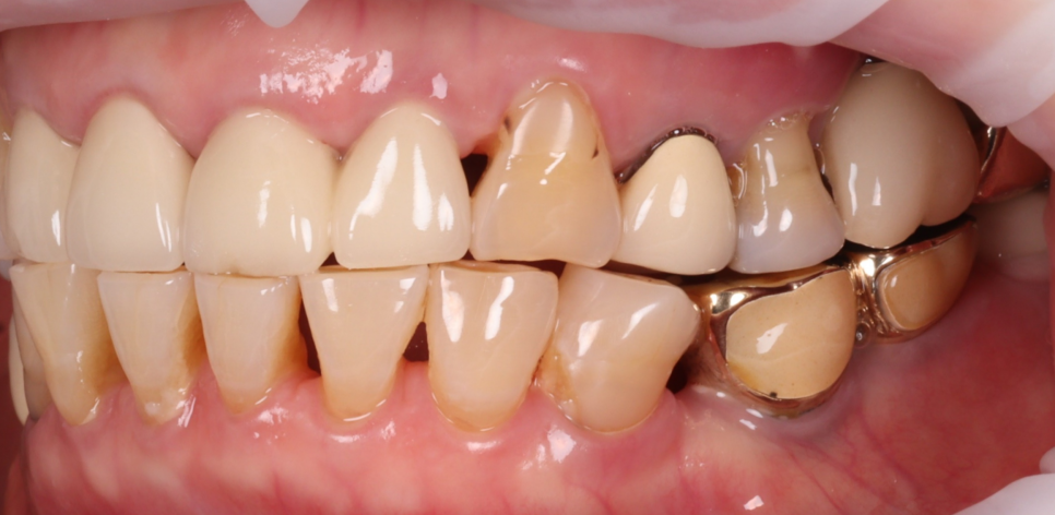
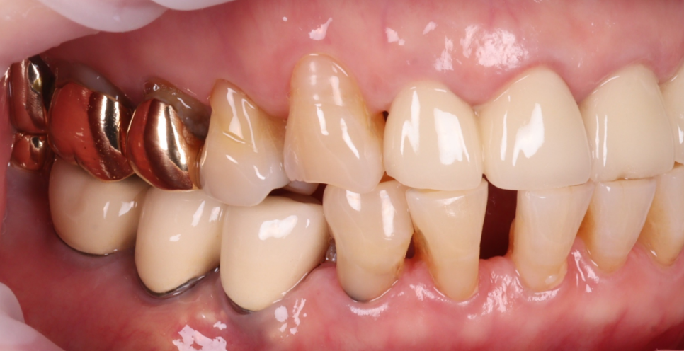
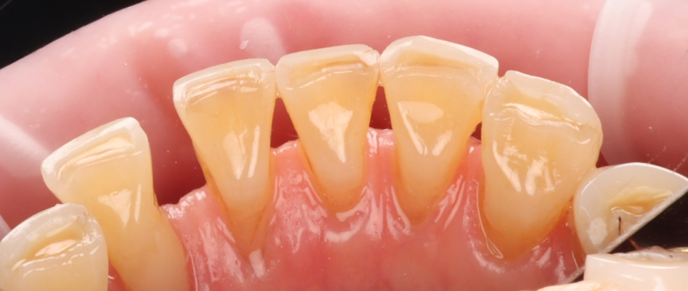
먼저 구강 내 사진과 치주 검사를 통해
상태를 확인했습니다.


촬영일 : 250710
다행히도 치아 자체도 연령대에 비해 튼튼했고
기존에 붙여둔 레진만
살짝 제거하면 되는 상태였습니다.
다만 앞니 사이의 공간이 꽤 넓었기 때문에
단순히 한 쪽만 메우거나, 공간만 막는 식으로는
자연스럽지 않게 보일 수 있었습니다.

촬영일 : 250710
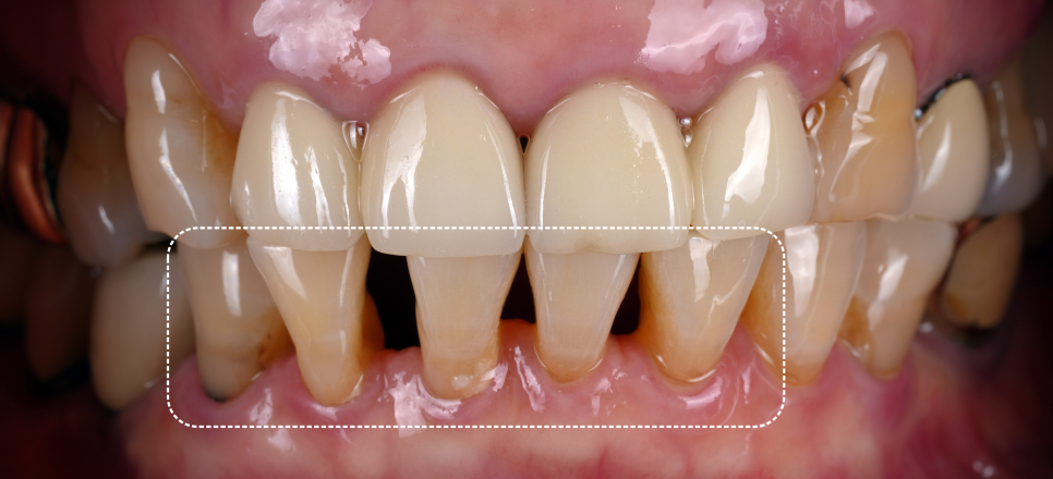
그래서 치료 계획의 핵심은
두 가지였습니다.
반포치과

촬영일 : 250710
① 정중선 조정
눈으로 보기엔 사소할 수 있어도,
중심선이 어긋나면 전체 인상이 어색해집니다.
자연스러운 인상을 위해서는
레진을 붙이는 위치와 두께, 각도를
모두 조정해야 하죠.
② 크기 착시 보정
벌어진 공간을 모두 채우면 치아가 뚱뚱해 보이거나
주변 치아와 동떨어져 보일 수 있습니다.
그래서 측면에서 보면 공간은 막혔지만,
정면에서는 기존 치아 크기처럼
보이게 설계했습니다.
이건 정말 ‘미세 조형’에 가깝습니다ㅎㅎ

환자분께도 이런 내용을 차근차근 설명드렸고
“선생님, 듣다 보니 이건 거의 미술이네요~”
하시며 웃으시더라고요.
(이쯤에서 저희가 신나기 시작합니다😄)
치아는 안 깎고, 레진으로 한 올 한 올
반포치과
치료는 러버댐을 씌운 뒤, 습기 하나 없이
완벽히 건조된 환경에서 시작했습니다.
레진은 민감한 재료라, 아주 작은 침이나
물기만 닿아도 접착력이 떨어지거든요.
우선 접착 전 처리를 하고
얇은 레진을 아주 정밀하게 올려갑니다.
한 번에 두껍게 바르지 않고
얇게 여러 겹 쌓아가며 빛으로 굳히고 다듬고…
거의 ‘치아 한 올 한 올’ 만드는 느낌이었습니다.

그 과정에서 중요한 건 ‘치아와 레진이
자연스럽게 이어져야 한다’는 점입니다.
반포치과
경계가 보이거나 만졌을 때 이질감이 있다면 실패죠.
그래서 광택과 질감까지 조정하면서
입안에서 전혀 티 나지 않도록 신경 씁니다.
그리고 이 모든 작업을 마친 후 모형처럼
닫힌 입이 아니라 웃고, 말하고, 숨 쉴 때도
편해야 하니까요. 교합도 하나하나 체크했습니다.
*레진 치료 처음부터 잘 받아야 되는 이유!
(필독입니다ㅎㅎ)
시니어의 미소에도 디자인이 필요합니다.
반포치과

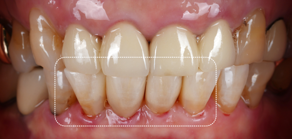
촬영일 : 250710
치료를 마치고 거울을 보여드렸더니
환자분이 놀란 표정을 지으시더라고요.
이게 내 치아인가요?
너무 자연스럽고 예뻐요.
진작에 올 걸 그랬어요.
반포치과
웃으시면서도 눈가가 살짝 촉촉해 보이셨는데요.
아마도 치아 때문이라기보다
자기 자신을 오랜만에 만족스럽게
바라보는 감정이셨을 겁니다.

촬영일 : 250710 / 250710
진료실 밖에서 기다리시던 부군께서도
잠시 보시더니 조용히 고개를 끄덕이셨고요.
사실 그 ‘끄덕’ 한 번이
모든 걸 말해주는 경우가 참 많습니다.
(저도 누군가의 남편인지라 잘 알죠ㅎㅎ)
이 나이면 그냥 쓰면 되지~
반포치과
물론 이 말이 맞을 수도 있습니다.
하지만 저는 이렇게 여쭤보고 싶습니다.
“정말 괜찮아서 그냥 쓰고 계신 건가요?
아니면, 달리 방법이 없다는 말에
마음을 접으신 건가요?”

이번 환자분처럼 치아 상태가 양호하고
잇몸 건강이 유지되고 있다면
충분히 깎지 않고도, 자연스럽고 건강하게
심미적인 개선이 가능합니다.
그 작은 벌어짐 하나를 매일 거울로 보고
신경 쓰면서 지내는 것보다 한 번 제대로 디자인해서
건강하게 오래 쓰는 게 훨씬 이롭습니다^^
앞으로도 저희는
✔ 치아를 덜 건드리고
✔ 오래 쓸 수 있게 만들고
✔ 거울 속 자신의 미소를 좋아할 수 있도록
진료하겠습니다.
나이 들었어도, 웃을 때 더 빛나는 미소.
저희가 도와드릴 수 있습니다.
소현수 원장이었습니다. 감사합니다.
증상이 일시적으로 나타날 수 있으며
드물게는 추가적인 치료가 필요할 수도 있습니다.
치료 기간 : 250710 - 250710