아카이브 요약
이 페이지의 역할
재주좋은치과의원의 네이버 블로그 원문을 보존한 아카이브 페이지입니다. 앞니이야기 카테고리의 선릉역치과 타원 앞니 임플란트 빼고 재수술 해드린 이유 글을 통해 병원의 한국어 정보 제공 방식과 진료 관련 안내 톤을 확인할 수 있습니다.
원문 검증
필요하면 원문 블로그와 병원 프로필로 바로 이동해 문맥을 다시 확인할 수 있습니다.
출처 아카이브 열기아카이브된 블로그 글
재주좋은치과의원 · Naver Blog
선생님, 앞니 임플란트 머리가 또 빠졌어요. 왜 자꾸 빠질까요? 선릉역치과 작년 가을이었던 것 같습니다. 70세 남성 환자분께서 내원하셔서 저에게 털어놓은 고민이었는데요. 이전 치과에서 심은 임플란트 보철이 몇 번이고 빠지고 흔들리길 반복했다고 합니다. 붙였다가...
게시일
2025년 7월 24일
원문 기준으로 확인된 발행일입니다.
카테고리
앞니이야기
원문 블로그 카테고리를 정리해 함께 표시합니다.
이미지 수
13
현재 아카이브에 연결된 이미지 수입니다.
아카이브 요약
재주좋은치과의원의 네이버 블로그 원문을 보존한 아카이브 페이지입니다. 앞니이야기 카테고리의 선릉역치과 타원 앞니 임플란트 빼고 재수술 해드린 이유 글을 통해 병원의 한국어 정보 제공 방식과 진료 관련 안내 톤을 확인할 수 있습니다.
원문 검증
필요하면 원문 블로그와 병원 프로필로 바로 이동해 문맥을 다시 확인할 수 있습니다.
출처 아카이브 열기선생님, 앞니 임플란트 머리가 또 빠졌어요.
왜 자꾸 빠질까요?
선릉역치과
작년 가을이었던 것 같습니다.
70세 남성 환자분께서 내원하셔서
저에게 털어놓은 고민이었는데요.

이전 치과에서 심은 임플란트 보철이
몇 번이고 빠지고 흔들리길 반복했다고 합니다.
붙였다가 또 빠지고, 새로 해도 오래 못 가고..
반복적으로 탈락되는 보철은 접착제 문제라기보다,
그 아래 있는 ‘기초 설계’가
잘못되었을 가능성이 크거든요.
(제가 맨날 레진만 하는 것 같지만..
임플란트나 다른 보철에도 진심이랍니다...^^.)

무더운 날씨임에도 불구하고
저희 치과를 찾아주시는 모든 분들께
감사의 인사를 전합니다🙏🏻
원인부터 정확하게 파악해야 합니다.
선릉역치과

촬영일 : 241029
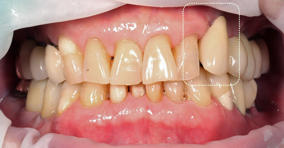
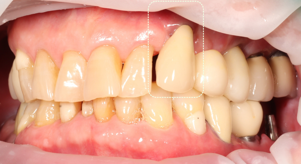
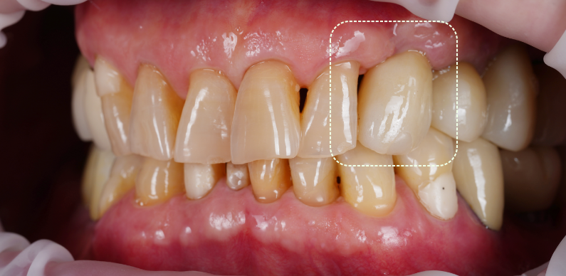
구내를 확인해 보니 임플란트가
너무 바깥(Bucaal) 쪽으로 치우쳐져 있었으며,
전체적인 잇몸 라인과 어울리지 않고
해당 치아만 솟아 보였습니다.

촬영일 : 241029
옆에서 보면 돌출감이 두드러지게 느껴졌습니다.
이럴 땐 새로운 보철을
제작한다고 해결되지 않습니다.
선릉역치과
땅을 다시 다지고, 잇몸을 살리는 것부터
시작해야 합니다.
보철물은 결국, '뼈'라는 토대 위에
올라가는 구조물이기 때문이지요.
보이지 않는 문제부터 해결해야 합니다.
선릉역치과
환자분과 오랜 상담 끝에 제가 세운
치료 계획은 다음과 같았습니다.

| ✅ 기존 23번(송곳니) 임플란트 제거임플란트 : 23번 송곳니 + 첫 번째 작은 어금니 = 총 2곳 크라운 : 두 번째 작은 어금니 = 1곳 |
|---|
| ✅ 골이식(뼈이식)으로 폭이 좁아진 뼈를 보강 |
| ✅ 콜라겐 그래프트를 활용한 잇몸이식으로 무너진 잇몸 형태와 두께를 재건 |
| ✅ 이후 안정화된 조직 위에 보철 수복 |
이건 단순한 임플란트 ‘재수술’이 아니었습니다.
인테리어로 비유하자면
단순한 내부 인테리어가 아닌,
기존 건물을 허물고 지반부터
새로 공사하는 격이었습니다ㅎㅎ
수술 중, 보이지 않는 노력들이 쌓입니다.
선릉역치과
기존 임플란트를 안전하게 제거하면서
뼈 손상을 줄이는 게 첫 번째 과제였습니다.

촬영일 : 241029
그 뒤엔, 무너진 치조골 부위에
골이식재를 조심스럽게 채워 넣고
잇몸은 콜라겐을 이용한 잇몸이식으로
두께를 늘렸습니다.
콜라겐 그래프트란?
선릉역치과
기존의 잇몸이식은 대부분 입천장에서
잇몸을 떼어내는 방식이었습니다.
물론 좋은 결과를 기대할 수 있지만
회복이 오래 걸리고 통증이나
출혈 부담도 만만치 않죠ㅠㅠ

콜라겐 그래프트는 이와 달리
인체친화적인 콜라겐 조직을 활용하여
자연스러운 잇몸 재생을 유도하는 방식입니다^^
쉽게 말하면 잇몸이 스스로 다시 자라날 수 있도록
‘받침대’ 역할을 해주는 지지 구조라고
생각하시면 됩니다.
✅ 잇몸의 두께와 볼륨을 확보
✅ 부담이 적고 통증도 줄어듦
✅ 결과가 안정적 장기적인 유지력
✅ 심미성이 중요한 앞니 사용에 좋음
콜라겐 그래프트를 사용해 이식을 마친 후
잇몸선이 자연스럽게 흐르도록 디자인했는데요.

잇몸이식은 난이도가
상당히 높은 수술입니다.
선릉역치과
이식한 잇몸이 제대로 생착되지 않아 탈락하거나,
부자연스러운 모양으로 자리 잡는 경우가
있을 수 있습니다.
이식량이 너무 적어 수술 전과 큰 차이를
느끼지 못하거나,
반대로 과도하게 이식되어 해당 부위만
두껍고 이질적으로 보이는 등
다양한 부작용이 발생할 수 있습니다.
그래서 환자분의 잇몸 라인과
이식양을 꼼꼼하게 확인 후 수술했습니다.
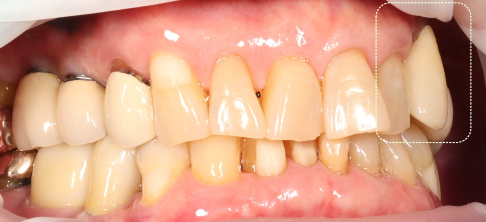
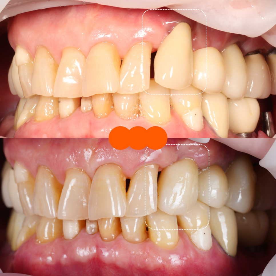
이제야 비로소, 보철이 제 자리를 찾았습니다.
선릉역치과
시간을 두고 경과를 지켜봤습니다.
골이식 부위는 안정적으로 회복되었고
잇몸도 도톰하고 자연스럽게 자리를 잡았습니다.


촬영일 : 250621
그 위에 새롭게 제작한 보철물을 올리자
전체적인 인상이 눈에 띄게 달라졌습니다.
✔️ 치아가 튀어나와 보이지 않고
✔️ 잇몸선이 부드럽게 흐르며
✔️ 단단하고 안정감 있게 고정되었습니다
환자분도 치료 전후 사진을 비교해 보시곤
“선생님, 다른 사람 같은데요? 너무 예쁘네요.”
라고 말씀하시며 웃으셨습니다^^

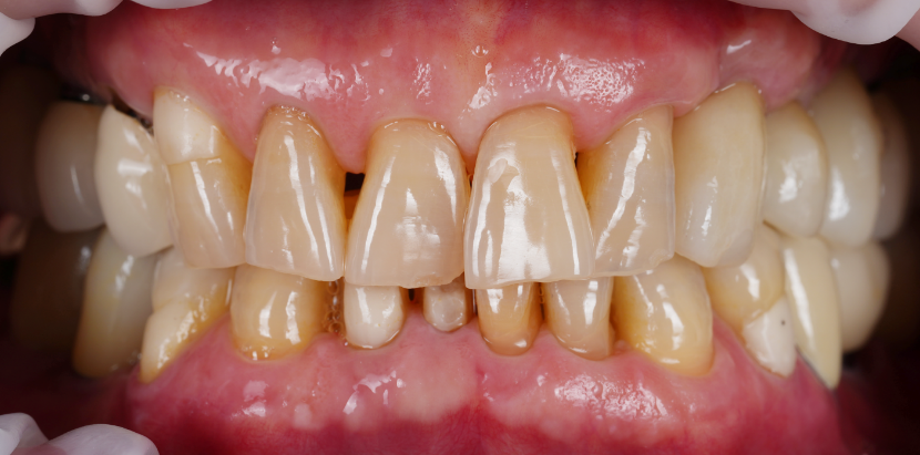
치료 기간 : 241029 / 250621
환자분도 만족스러워하셨고
함께 내원하셨던 사모님께서도
“이제 사진 찍을 때 당당하게 웃어도 되겠네요."
라며 만족해하셨는데요.
치료는 단지 치아 하나 심는 게 아니라
그분의 자신감과 표정까지 회복시키는 일이기도
하다는 걸 다시금 느낄 수 있었죠.
임플란트는 결국 ‘뼈 위의 건축’입니다.
선릉역치과
앞니 임플란트가 흔들릴 때
‘보철이 문제인가요? 다시 붙이면 되나요?’라고들
많이 물으시지만 진짜 원인은
그 아래 숨어있는 경우가 많습니다.
임플란트 혹은 치아가 건강하려면
기반이 되는 잇몸,
뼈부터 건강해야 한다.
선릉역치과

이런 기준을 가지고 순차적으로 접근해야
앞으로 수년간, 아니 수십 년간도
편하게 쓰실 수 있는 보철이 완성됩니다.
임플란트가 빠졌을 때, 단순히 다시 붙일 것인가
아니면 기초부터 다시 살필 것인가.
그 차이가 앞으로 10년, 20년을 결정짓습니다.

“잇몸이 무너지면,
치아는 절대 혼자 서 있지 못합니다.”
선릉역치과
보이는 것보다 보이지 않는 근본을 먼저 보는 것,
그게 제가 추구하는 바입니다.
소현수 원장이었습니다. 감사합니다.
외과적인 수술에 따른 부작용(부종, 통증 등)과
합병증이 있을 수 있습니다.
치료 기간 : 241029 - 250621