아카이브 요약
이 페이지의 역할
재주좋은치과의원의 네이버 블로그 원문을 보존한 아카이브 페이지입니다. 앞니이야기 카테고리의 서울치과 앞니 레진 전 이걸 먼저 확인해야 돼요 글을 통해 병원의 한국어 정보 제공 방식과 진료 관련 안내 톤을 확인할 수 있습니다.
원문 검증
필요하면 원문 블로그와 병원 프로필로 바로 이동해 문맥을 다시 확인할 수 있습니다.
출처 아카이브 열기아카이브된 블로그 글
재주좋은치과의원 · 앞니 레진 비니어 장인, 소현수 원장입니다.
앞니 사이에 공간이 있으면 거울을 볼 때마다, 사진을 찍을 때마다 벌어진 틈만 눈에 들어와요. 서울치과 심지어 발음할 때 공기가 새는 듯한 불편감도 있죠. 그래서 많은 분들이 “그냥 메워주세요”라고 말씀하시는데, 저는 항상 이렇게 답해요. “그...
게시일
2025년 9월 13일
원문 기준으로 확인된 발행일입니다.
카테고리
앞니이야기
원문 블로그 카테고리를 정리해 함께 표시합니다.
이미지 수
11
현재 아카이브에 연결된 이미지 수입니다.
아카이브 요약
재주좋은치과의원의 네이버 블로그 원문을 보존한 아카이브 페이지입니다. 앞니이야기 카테고리의 서울치과 앞니 레진 전 이걸 먼저 확인해야 돼요 글을 통해 병원의 한국어 정보 제공 방식과 진료 관련 안내 톤을 확인할 수 있습니다.
원문 검증
필요하면 원문 블로그와 병원 프로필로 바로 이동해 문맥을 다시 확인할 수 있습니다.
출처 아카이브 열기앞니 사이에 공간이 있으면
거울을 볼 때마다,
사진을 찍을 때마다
벌어진 틈만 눈에 들어와요.
서울치과
심지어 발음할 때 공기가 새는 듯한 불편감도 있죠.
그래서 많은 분들이 “그냥 메워주세요”라고
말씀하시는데, 저는 항상 이렇게 답해요.

“그냥 막는 게 다가 아니에요.
어떻게 메워야 자연스럽고
오래 갈지를 먼저 고민해야 해요.”
치아 형태가 답을 알려줍니다.
서울치과

촬영일 : 250821
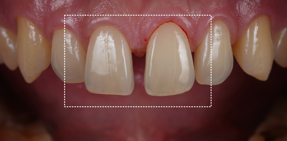
이번에 내원하신 환자분의 앞니는
폭이 좁아 길쭉해 보이는 형태였어요.

촬영일 : 250821
이런 경우는 공간을 메워도
치아 비율이 안정적으로 보이게 돼요.
하지만, 반대로 옆으로 넓적한 치아라면
같은 공간을 메우는 순간 치아가
크고 뚱뚱해 보일 수 있어요.
그럴 땐 교정이 권장되기도 합니다.

촬영일 : 250821
즉, 중요한 건 “얼마나 벌어졌는지”보다
“어떤 모양의 치아인지”보고
계획을 세워야 한다는 거예요.
이 계획이 치료의 방향을 정해줍니다.
때우는 게 아니라 디자인하는 일
서울치과

앞니 레진 치료에서 제가 세우는 계획은
단순해 보이지만 굉장히 디테일해요.
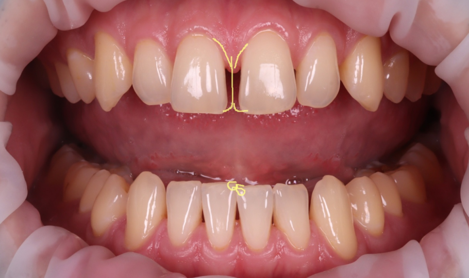
첫째, 정중선이 흐트러지지 않도록 배열을 맞출 것.
둘째, 치아가 커 보이지 않도록 착시를 활용할 것.
셋째, 잇몸과의 조화를 고려할 것.

촬영일 : 250821
접촉점을 어디에 두느냐에 따라
잇몸 사이에 까만 그림자가 생기기도 하고
미소의 전체 인상이 달라지기도 하거든요.
결국 치료는 디자인이에요.
이 세세한 부분까지 설계해야
자연스러운 결과가 나옵니다.

우선 벌어진 앞니를 레진으로
채워 넣기로 했고 양옆 작은 앞니와
송곳니는 치료 가능성이 있지만
우선 보류하기로 했어요.
아래쪽 치아는 교합 보정 가능성이 있기 때문에
미리 환자분에게 설명을 드렸죠😊
레진은 탄탄한 기초가 생명!
서울치과
치료는 늘 철저한 방습부터 시작해요.
러버댐으로 침이 닿지 않게 하고,
치아 사이에는 작은 필름과 쐐기를 넣어
공간을 확보합니다.
그래야 접착력이 오래 유지돼요.
레진의 기초라고 할 수 있죠.
👇🏻러버댐에 집착할 수 밖에 없는 이유👇🏻
그다음 레진을 여러 겹 쌓아 올립니다.
안쪽엔 조금 깊은 색,
겉에는 맑은 투명층을 올려서
자연치의 빛 번짐을 따라가요.
앞니 끝은 살짝 투명해야 자연스럽고
표면엔 치아 고유의 결과 광택을 재현해야
“플라스틱 느낌”이 사라집니다.

환자분께 중간 과정을 보여드리니
“어, 이거 제 치아 같아요” 하시더라고요.
그 순간이 사실 제게도 큰 힌트예요ㅎㅎ
“이제는 웃을 때 앞니부터 봐요!”
서울치과
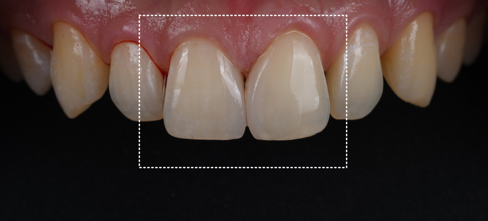
치료가 끝난 뒤 발음, 교합,
웃을 때 입술 라인까지 모두 확인했어요.

촬영일 : 250821
앞니는 단순히 공간을 메우는 부위가 아니라
말할 때와 웃을 때의 중심이니까요.
환자분은 거울을 한참 보시다가
웃으며 말씀하셨어요.
“예전엔 늘 가리고 웃었는데
이제 손 내리고 더 크게 웃어야 겠어요.”
이 한마디에 긴 진료 시간이
단숨에 보상받는 기분이었어요.
빈틈을 메우는 게 아니라 미소를 디자인하는 일
서울치과
저는 앞니 사이 공간 치료를
단순히 “때운다”라고 생각하지 않아요.
미소의 균형을 회복하고
자연스러움을 디자인하는 작업이라고 생각해요.

촬영일 : 250821 / 250821
레진은 결국 재료의 문제가 아니라
손끝과 눈, 그리고 철학의 문제예요.
치아를 덜 건드리고 접착 원칙을 지키며
빛의 흐름까지 복원하는 것.
그게 제가 고집하는 방식입니다.
모든 경우가 레진으로 해결되진 않아요.
어떤 경우엔 교정이 답이 될 수도 있지요.

하지만 중요한 건, 환자분의 상황에 맞는
보존적인 방법을 정직하게 설명드리고
그 과정 속에서 자연스러움을
찾아드리는 일이라 생각해요.
“빈틈을 없앴더니 웃음이 편해졌어요.”
그 말 한마디가 오늘도
제가 진료실에 있는 이유랍니다😄
긴 글 읽어주셔서 감사합니다.
소현수 원장이었습니다.
👇🏻 빠른 예약 👇🏻
👇함께 읽어보면 좋은 글들! 👇
증상이 일시적으로 나타날 수 있으며
드물게는 추가적인 치료가 필요할 수도 있습니다.
치료 기간 : 250821 - 250821