아카이브 요약
이 페이지의 역할
재주좋은치과의원의 네이버 블로그 원문을 보존한 아카이브 페이지입니다. 앞니이야기 카테고리의 강남역치과 왜소치 레진 비니어로 삭제없이 가지런히 글을 통해 병원의 한국어 정보 제공 방식과 진료 관련 안내 톤을 확인할 수 있습니다.
원문 검증
필요하면 원문 블로그와 병원 프로필로 바로 이동해 문맥을 다시 확인할 수 있습니다.
출처 아카이브 열기아카이브된 블로그 글
재주좋은치과의원 · 앞니 레진 비니어 장인, 소현수 원장입니다.
앞니 옆 작은 앞니는 크기가 작은 ‘왜소치’가 제일 자주 발생하는 곳이에요. 크기가 작으면 양옆 공간이 비어 보이기도 하고 웃을 때 시원한 느낌이 덜할 수 있죠. 어떤 분들은 치아만 키우면 되지 않냐고 쉽게 생각하시지만 실제로는 위치와 모양, 잇몸 라인까지 고려해야 자연스러운 결과가 나와요....
게시일
2025년 9월 17일
원문 기준으로 확인된 발행일입니다.
카테고리
앞니이야기
원문 블로그 카테고리를 정리해 함께 표시합니다.
이미지 수
10
현재 아카이브에 연결된 이미지 수입니다.
아카이브 요약
재주좋은치과의원의 네이버 블로그 원문을 보존한 아카이브 페이지입니다. 앞니이야기 카테고리의 강남역치과 왜소치 레진 비니어로 삭제없이 가지런히 글을 통해 병원의 한국어 정보 제공 방식과 진료 관련 안내 톤을 확인할 수 있습니다.
원문 검증
필요하면 원문 블로그와 병원 프로필로 바로 이동해 문맥을 다시 확인할 수 있습니다.
출처 아카이브 열기앞니 옆 작은 앞니는 크기가 작은
‘왜소치’가 제일 자주 발생하는 곳이에요.
크기가 작으면 양옆 공간이 비어 보이기도 하고
웃을 때 시원한 느낌이 덜할 수 있죠.
어떤 분들은 치아만 키우면 되지 않냐고
쉽게 생각하시지만 실제로는 위치와 모양,
잇몸 라인까지 고려해야 자연스러운 결과가 나와요.
최근 30대 초반 남성분도 비슷한 고민을 갖고
강남역치과를 찾아주셨는데요.
“작은 치아 때문에 웃을 때 어색하다"라는 게
주된 고민이셨어요.

촬영일 : 250827
특히 이분의 경우는 왜소치가
앞으로 튀어나온 게 아니라
오히려 치열 안쪽으로 살짝 들어가 있어서
단순히 크게 만들기만 하면
더 부자연스러워질 수 있는 상황이었어요.
안으로 오목하게 들어간 왜소치
강남역치과
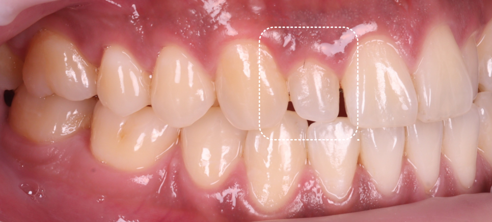
진단을 해보니 충치나 큰 손상은 없었지만
문제는 위치와 잇몸 라인이었어요.

촬영일 : 250827
치아가 안쪽으로 들어가 있어
웃을 때 어둡게 보이는 공간이 드러났고
그로 인해 치아 전체 배열이 삐뚤빼뚤해 보이는
착시가 생기고 있었죠.
또한 잇몸 높이가 비대칭이라
그대로 수복하면 치아 길이가
불균형하게 보이고 있었죠.
많은 분들이 치료 시 이 부분 놓치고 계시는데요.
사실 레진 수복에 있어 잇몸 라인과
치아 위치를 살펴보는 게 정말 중요해요.
이 부분에 대해서는 계획 부분에서
좀 더 자세히 설명해 드릴게요^^
형태를 고려한 잇몸성형 계획
강남역치과
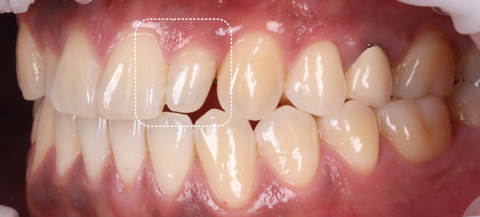
왜소치를 치료할 때 위치가 정말 중요한데요.
앞으로 툭! 튀어나와 있는 형태는
돌출된 만큼 삭제가 필요할 수 있어요.


촬영일 : 250827
그러나 이 환자분처럼 오히려 뒤쪽으로
오목하게 들어가 있는 경우에는
잇몸 성형을 더해주면 좀 더 자연스럽게
치료가 가능하답니다😊
강남역치과
그래서 아래와 같이 계획을 세웠어요.

➡️ step 1.
치은 성형으로 숨어 있는
치아 길이를 드러내 잇몸 라인을 맞춘다.
➡️step 2.
러버댐을 씌워 습기를 완전히 차단하고
에어플로우 파우더 스케일링으로
치면세균막을 정리해 접착 환경을 좋게 만든다.
➡️ step 3.
레진을 이용해 치아를 살짝 앞으로 빼내듯
디자인하되 옆에서 보면 부드럽게 이어지고
앞에서 보면 커 보이지 않게 착시를 활용한다.
➡️ step 4.
레진 색은 단일색이 아니라
여러 톤을 겹쳐서 자연치 특유의
투명감과 빛 반사를 재현한다.
자연치아와 잘 어울리는 형태로 개선
강남역치과
치료 도중 환자분께 이렇게 말씀드렸어요.
“오늘은 작은 치아 발굴 작업이에요.
숨어 있던 길이를 꺼내서
세상 밖으로 소개해 드릴 거예요.”
환자분이 긴장된 얼굴로 웃으시더니
금세 분위기가 편해지더라고요ㅎㅎ

러버댐을 설치해 완벽히 격리한 후
치료 시작 전에 미리 레진 색을 정했어요.
치아는 건조되면 실제보다 훨씬 하얗게 보여서
그 상태에서 색을 맞추면 실패하기 쉽거든요.

그래서 항상 치료 전에
색상 매칭을 하는 게 중요해요^^
이후 레진을 여러 겹으로 쌓아 올렸습니다.

단순히 빈 공간을 막는 게 아니라
자연스러운 그림자와 광택까지
따라가며 만들었어요.
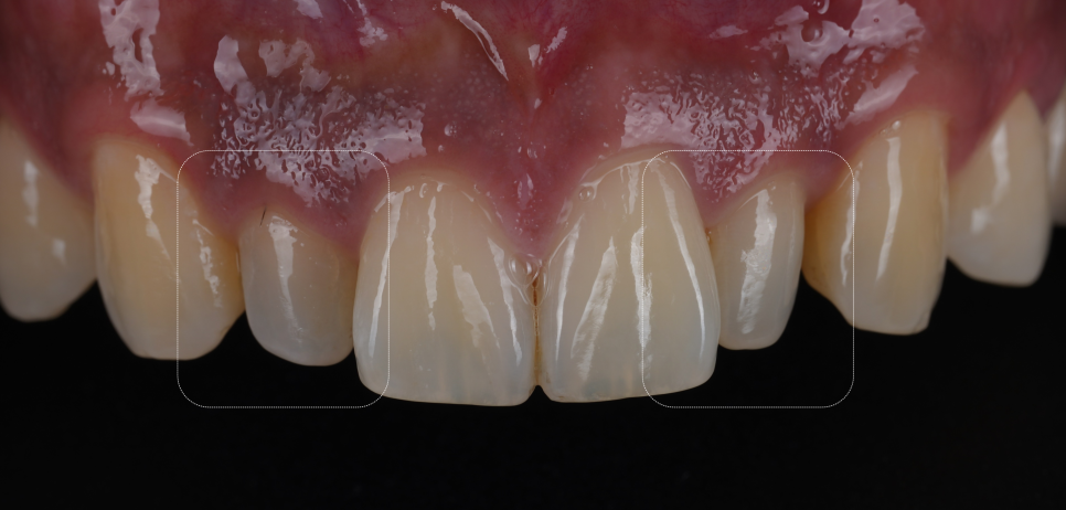
완성 후 거울을 보신 환자분은
“치아가 커진 것도 아닌데 웃을 때
훨씬 자연스럽다”라며 만족해하셨는데요.

촬영일 : 250827
공간은 막혔지만 치아가 뚱뚱해 보이지 않았고
잇몸 라인까지 맞춰져서
가지런한 치열로 바뀌었어요.
치아를 삭제하지 않고 꼭 필요한 부분만
다듬어 만든 결과라 더 의미 있었죠😊
왜소치 치료는 단순히 치아 크기를
키우는 작업이 아니에요.
강남역치과

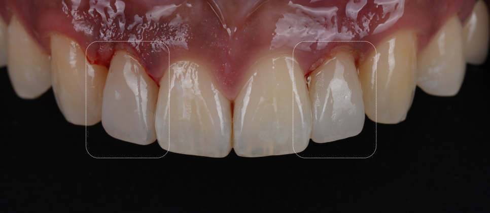
촬영일 : 250827 / 250827
위치, 잇몸, 빛의 흐름까지 고려해야만
‘내 치아 같은 자연스러움’을 만들 수 있어요.
저는 늘 이렇게 생각해요.
치과 치료는 뭔가를 더하는 것 같지만
사실은 덜 건드리고 더 살려내는 것이
진짜 기술이라고요.
저는 앞으로도 치아를 보존하면서
환자분이 웃을 때 자연스럽고 환한
미소를 지으실 수 있도록 도와드리겠습니다^^
감사합니다. 소현수 원장이었습니다.
👇🏻 빠른 예약 👇🏻
👇함께 읽어보면 좋은 글들! 👇
증상이 일시적으로 나타날 수 있으며
드물게는 추가적인 치료가 필요할 수도 있습니다.
치료 기간 : 250827 / 250827