아카이브 요약
이 페이지의 역할
재주좋은치과의원의 네이버 블로그 원문을 보존한 아카이브 페이지입니다. 어금니이야기 카테고리의 교대역 치과 보철 아래 2차 충치를 다시 레진으로 글을 통해 병원의 한국어 정보 제공 방식과 진료 관련 안내 톤을 확인할 수 있습니다.
원문 검증
필요하면 원문 블로그와 병원 프로필로 바로 이동해 문맥을 다시 확인할 수 있습니다.
출처 아카이브 열기아카이브된 블로그 글
재주좋은치과의원 · 앞니 레진 비니어 장인, 소현수 원장입니다.
교대역 치과 보철 아래 2차 충치를 다시 레진으로 치아가 심하게 썩으면 “이거는 이제 신경치료해야 하나요?”라고 많이 물어보세요. 하지만 저의 대답은 늘 같습니다. 가능하다면 신경치료는 미루고 보존적으로 치료해야 한다는 것이 저의 철학이에요. ...
게시일
2025년 9월 18일
원문 기준으로 확인된 발행일입니다.
카테고리
어금니이야기
원문 블로그 카테고리를 정리해 함께 표시합니다.
이미지 수
29
현재 아카이브에 연결된 이미지 수입니다.
아카이브 요약
재주좋은치과의원의 네이버 블로그 원문을 보존한 아카이브 페이지입니다. 어금니이야기 카테고리의 교대역 치과 보철 아래 2차 충치를 다시 레진으로 글을 통해 병원의 한국어 정보 제공 방식과 진료 관련 안내 톤을 확인할 수 있습니다.
원문 검증
필요하면 원문 블로그와 병원 프로필로 바로 이동해 문맥을 다시 확인할 수 있습니다.
출처 아카이브 열기교대역 치과 보철 아래 2차 충치를
다시 레진으로
치아가 심하게 썩으면
“이거는 이제 신경치료해야 하나요?”라고
많이 물어보세요.
하지만 저의 대답은 늘 같습니다.
가능하다면 신경치료는 미루고
보존적으로 치료해야 한다는 것이
저의 철학이에요.
오늘은 기존 세라믹 인레이 아래
이차 충치가 심하게 진행된 환자분을
레진으로 보존해 드린 사례를 소개하려고 해요.
'어? 인레이가 레진보다
더 큰 치료 아닌가?'
라는 생각이 드셨죠?

네.. 맞아요.
하지만 저희 재주좋은치과에서는
가능한 일이랍니다..!!
어떻게 그게 가능할 수 있었는지 설명드릴게요.
끝까지 집중해서 읽어주세요👍
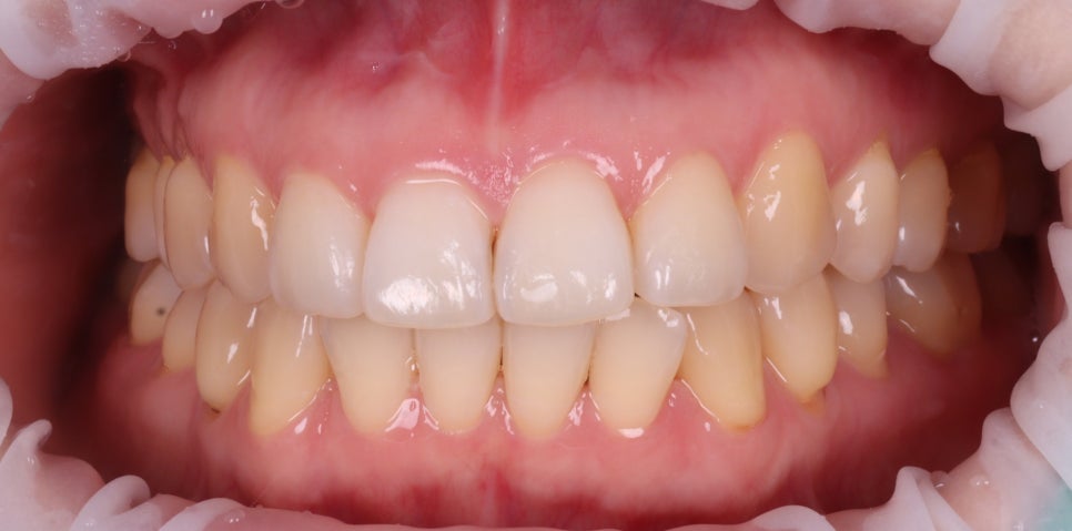
곳곳에 숨어 있는 충치들
교대역 치과
겉으로 보기에는 어쩌면..
'구강 관리가 정말 잘 되고 있구나!'
라는 생각이 들 정도로 충치도 없어 보이고
건강한 상태처럼 보였어요.



촬영일 : 250821
어금니 쪽 검진을 진행했는데
곳곳에 크고 작은 충치들이
눈에 띄었어요.
저는 눈에 딱 보이는데
혹시 어딘지 아시겠나요?
교대치과
환자분들은 육안으로는
식별을 어려워하시기에
충치를 명확하게 확인할 수 있는
큐레이 진단 장치를 이용해
살펴보기로 했죠🙂
👇🏻큐레이에 관해 자세히 보실 수 있어요👇🏻
더 자세하게 살펴볼게요!
교대치과
정중앙 앞니에도 충치가 발견되었어요.


촬영일 : 250821
왼쪽이 큐레이 전, 오른쪽이 후인데요.
후 사진에서 붉게 표시되는 곳에 썩거나
세균 활동이 발견되는 곳이에요.
즉, 치료가 필요한 곳이라 할 수 있죠.




촬영일 : 250821




촬영일 : 250821
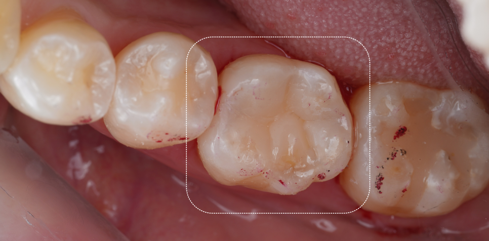
문제는 여기서 끝이 아니었어요.
한쪽이 아니라 왼쪽 그리고 오른쪽
어금니에서도 썩은 곳이 발견되었으며
썩은 곳이 또! 썩는 이차우식까지
발견된 상태였답니다..




촬영일 : 250821
심한 통증과 불편함까지 느껴질 만큼
이차우식이 생긴 곳은 깊게 진행되어 있었는데요.




촬영일 : 250821
우선 위 진단 결과를 토대로
순차적인 충치치료 계획을 세워보기로 했어요.
2번이나 썩은 곳 살릴 수 있을까?
교대치과
저는 늘 치료를 시작하기 전,
환자분의 치아를 보면서 스스로에게 물어요.
'이 분이 내 가족이라고 해도
같은 진단을 내릴까?
혹시라도 보존적으로
치료할 방법은 없을까?'
교대역 치과
이번 경우에도 마찬가지였어요.

촬영일 : 250821
사실 교과서적으로 보자면..
보철로 다시 씌우는 치료를 하는 것이
전혀 이상하지 않아요.
하지만 저는 레진을 활용해
치아를 보강하고 보존할 수 있을지
먼저 고려했어요.
자연치아를 보존하는 것이
무엇보다 환자에게 큰 자산이 된다는
철학 때문이죠ㅎㅎ
다른 곳들도 치료를 진행하기로 했는데요.
심하게 썩은 이차 충치 부위는 레진을 사용해
치아 보존을 도와드리기로 방향을 잡았답니다.
오늘은 이 내용을 중심으로 설명드릴게요😊
보철 아래 생긴 2차 충치를 레진으로 해결
교대치과
먼저 기존 인레이와 충치를 제거하면서
철저히 감염된 부위를 정리했어요.
이 과정에서 방습은 무엇보다 중요했기 때문에
러버댐을 사용해 주변 환경을 완전히 차단했죠.


촬영일 : 250915
이렇게 해야 레진 접착이 제대로 이루어지고
다시 이차 충치가 생기는 가능성을 줄일 수 있어요.
썩은 부위를 모두 제거한 뒤,
치아 내부를 단순히 비워놓지 않고
레진 빌드업으로 튼튼하게 코어를 쌓아 올렸어요.
이렇게 해야 약해진 치질을 보강할 수 있고
씹는 힘에도 오래 버틸 수 있거든요.

촬영일 : 250915
특히 심하게 썩은 어금니의 경우
정밀한 형태 재현과 강도 확보가 관건이었기
때문에 치료 과정에 더욱 세심함을 기울였습니다.
레진은 항상 자연스럽게..!
교대치과
완성된 치아는 단순히
“구멍을 메운 치아”가 아니었어요.
원래 치아와 유사한 형태와
기능을 되찾았고, 환자분은 뽑지 않고
보존할 수 있었다는 점에 크게 안도하시더라고요.

촬영일 : 250915
저 역시 치아를 살려낸 순간,
큰 보람을 느꼈습니다ㅎㅎ
이번 치료는 환자분의 어금니를
다시 보철하지 않고,
레진으로 지켜낸 것이 핵심이었어요.

더 큰 치료로 이어가지 않고 레진을 통해
자연치아의 수명을 연장시켜드린 거라
레진을 사랑하는 저에겐
더더욱 의미가 있는 치료였죠^^
치과 치료에서 중요한 건
단순히 썩은 부위를 메우는 게 아니에요.

촬영일 : 250915 / 250915
“이 치아를 어떻게 하면 더 오래 쓰실 수 있을까”
라는 고민이 늘 바탕이 되어야 합니다.
저는 충치가 심해도
자연치아를 살릴 수 있는 방법을 끝까지 찾아드려요.
치아는 한 번 뽑히면 다시는 돌아오지 않으니까요.
오늘 사례처럼, 뽑을 것 같았던 어금니가
레진으로 다시 제 기능을 찾는 순간
환자분의 미소만큼이나 저도 행복해진답니다🍀
긴 글 읽어주셔서 감사합니다.
소현수 원장이었습니다.
👇🏻 빠른 예약 👇🏻
👇함께 읽어보면 좋은 글들! 👇
증상이 일시적으로 나타날 수 있으며
드물게는 추가적인 치료가 필요할 수도 있습니다.
치료 기간 : 250821 - 250915