아카이브 요약
이 페이지의 역할
재주좋은치과의원의 네이버 블로그 원문을 보존한 아카이브 페이지입니다. 앞니이야기 카테고리의 서초치과 5년간 14개 치과 돌다 본원에서 정착한 이유는? 글을 통해 병원의 한국어 정보 제공 방식과 진료 관련 안내 톤을 확인할 수 있습니다.
원문 검증
필요하면 원문 블로그와 병원 프로필로 바로 이동해 문맥을 다시 확인할 수 있습니다.
출처 아카이브 열기아카이브된 블로그 글
재주좋은치과의원 · 앞니 레진 비니어 장인, 소현수 원장입니다.
감사하게도 저희 치과에는 꾸준히 치과의사 선생님들의 소개로 타 지역에서 오시는 분들이 참 많은데요. 오늘은 5년 동안 14개의 치과를 다녔지만 원하는 진단을 받지 못해 치료를 포기해야 하나 생각하시던 분의 스토리를 들려드리려고 합니다. 사진부터 보여드릴게요. 촬영일 : 2...
게시일
2025년 10월 15일
원문 기준으로 확인된 발행일입니다.
카테고리
앞니이야기
원문 블로그 카테고리를 정리해 함께 표시합니다.
이미지 수
14
현재 아카이브에 연결된 이미지 수입니다.
아카이브 요약
재주좋은치과의원의 네이버 블로그 원문을 보존한 아카이브 페이지입니다. 앞니이야기 카테고리의 서초치과 5년간 14개 치과 돌다 본원에서 정착한 이유는? 글을 통해 병원의 한국어 정보 제공 방식과 진료 관련 안내 톤을 확인할 수 있습니다.
원문 검증
필요하면 원문 블로그와 병원 프로필로 바로 이동해 문맥을 다시 확인할 수 있습니다.
출처 아카이브 열기감사하게도 저희 치과에는
꾸준히 치과의사 선생님들의 소개로
타 지역에서 오시는 분들이
참 많은데요.
오늘은 5년 동안 14개의 치과를
다녔지만 원하는 진단을 받지 못해
치료를 포기해야 하나 생각하시던 분의
스토리를 들려드리려고 합니다.
사진부터 보여드릴게요.


촬영일 : 250905
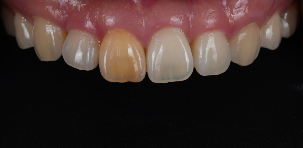
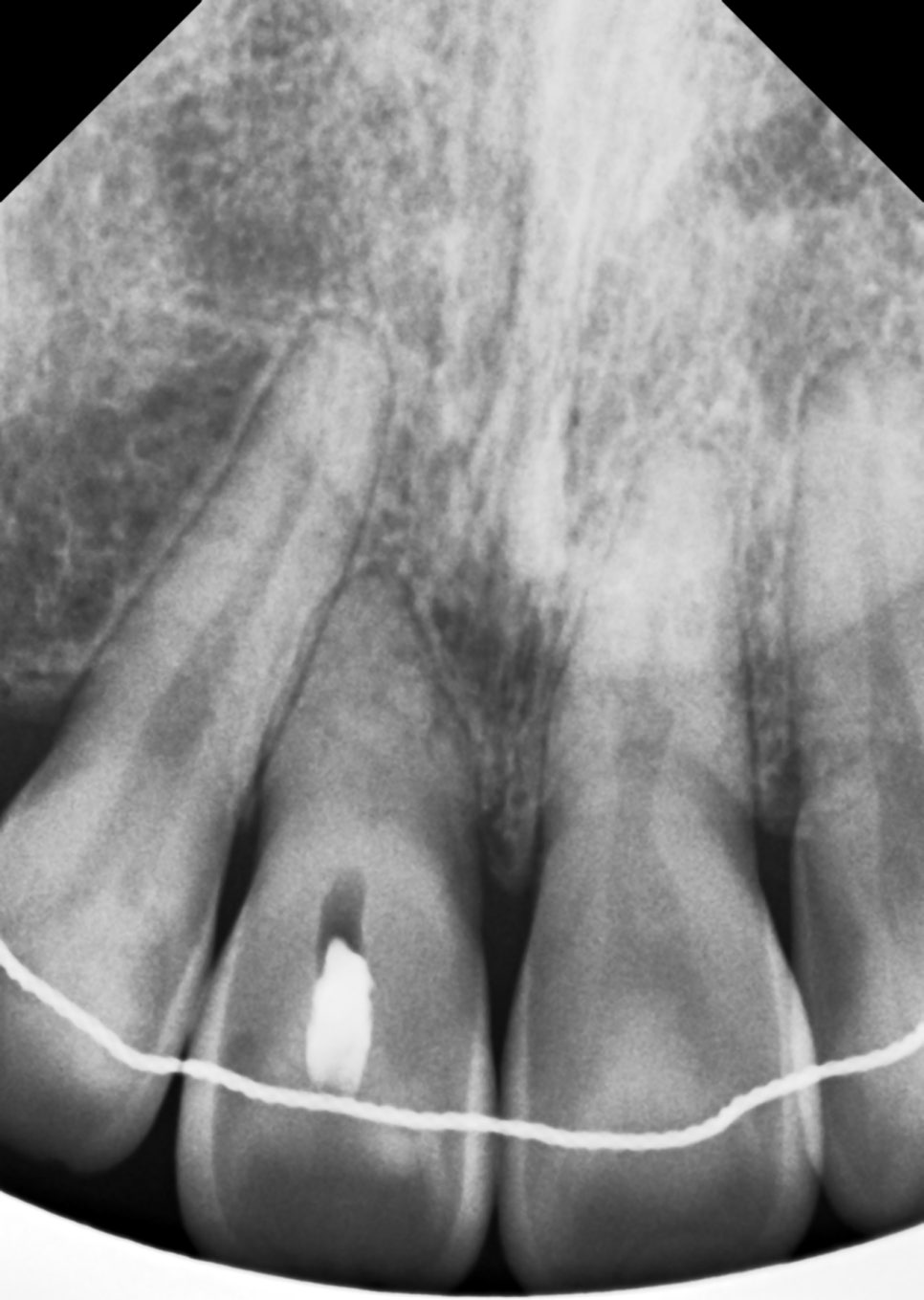
오래전, 외상으로 인해
신경이 죽으면서 앞니가 심하게
변색되었는데요.
타치과에서는
이렇게 진단받으셨다고 합니다.
미백
현재 뿌리가 짧고
신경치료가 완전한 상태가
아니라서 추천X
시술 후 교정 후 유지 장치
연결 불가
균형을 위해 3개의 치아를
깎아서 만들어야 하는데
나머지 치아들이 아까움
뿌리가 짧고
양옆 치아 뿌리의 간섭으로
어려움
➡️ 결론 : 레진 페이징
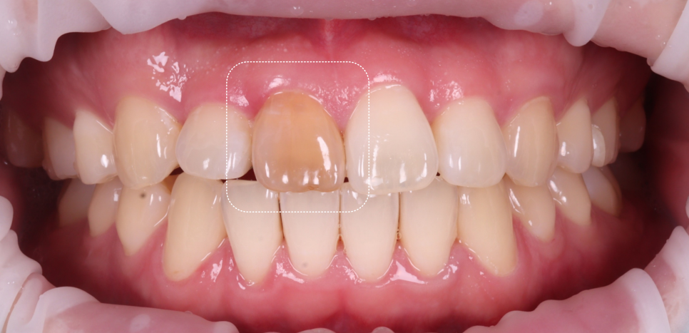
저희 치과에 오시기 직전에 방문한
치과에서 레진 페이싱이라는 결론을 얻고
원장님께서 저희 치과를
추천해주셨다고 합니다.
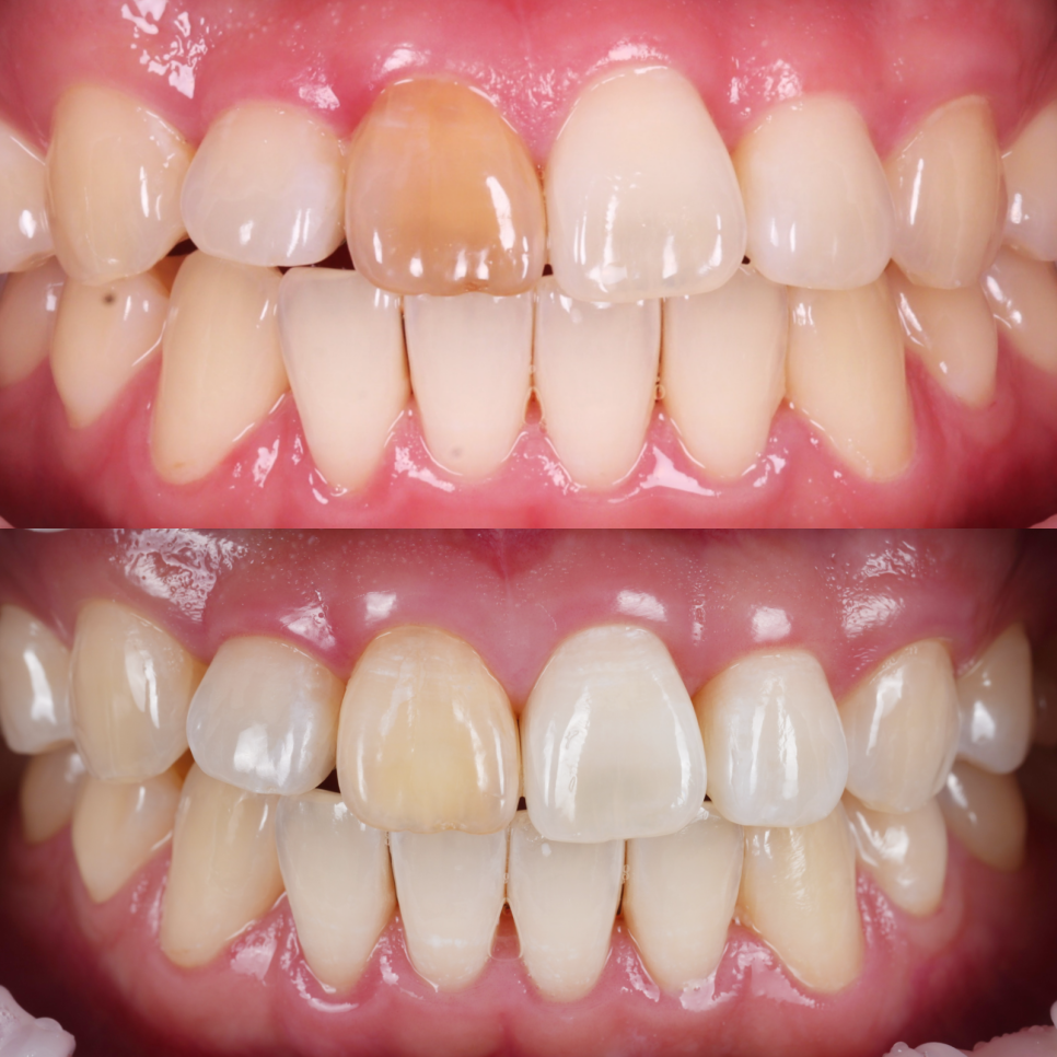
실활치 미백 가능하다고 판단했습니다.
서초치과

확인해 보니 교정 후
해당 치아의 뿌리가 많이 흡수된
양상이 보였어요.
그렇지만 당장 빼기에는
너무 아까웠죠...
저도 최종적으로 레진 비니어를 통해
치료하기로 계획했지만,
그 전에 실활치 미백을 통해 바탕색을
미리 밝게 만들어야 한다고 진단했습니다.
물론, 일반적인 케이스에 비해
색상이 완벽하게 돌아오지
않을 수 있지만
색상이 지금보단 밝아질 수 있다고
판단했어요.


촬영일 : 250905
덮는 게 아니라 근본부터 바꿔야 해요.
서초치과
환자분은 처음에 이렇게 물어보셨어요.
“그냥 레진으로 가리면 안 돼요?”
저는 웃으면서 설명드렸습니다.
“검은 벽에 하얀 페인트를
덧칠한다고 생각해 보세요.
처음엔 괜찮아 보여도 시간이 지나면
얼룩이 비쳐요.
먼저 벽 자체를 하얗게 만들고
그 위에 페인트를 해야 오래가죠.
치아도 마찬가지예요.”
그래서 치료는 두 단계로 잡았어요.

촬영일 : 250905
실활치 미백으로 치아 내부 색을 밝히고
그 위에 레진을 접착해 자연스러운
심미와 강도를 회복하는 것.
이 과정은 환자분께 단순히
예쁘게 보이는 것만이 아니라
오랫동안 치아를 건강하게
유지할 수 있도록 해드리는 방법이기도 해요.
디테일은 작은 차이에서 시작돼요.
서초치과
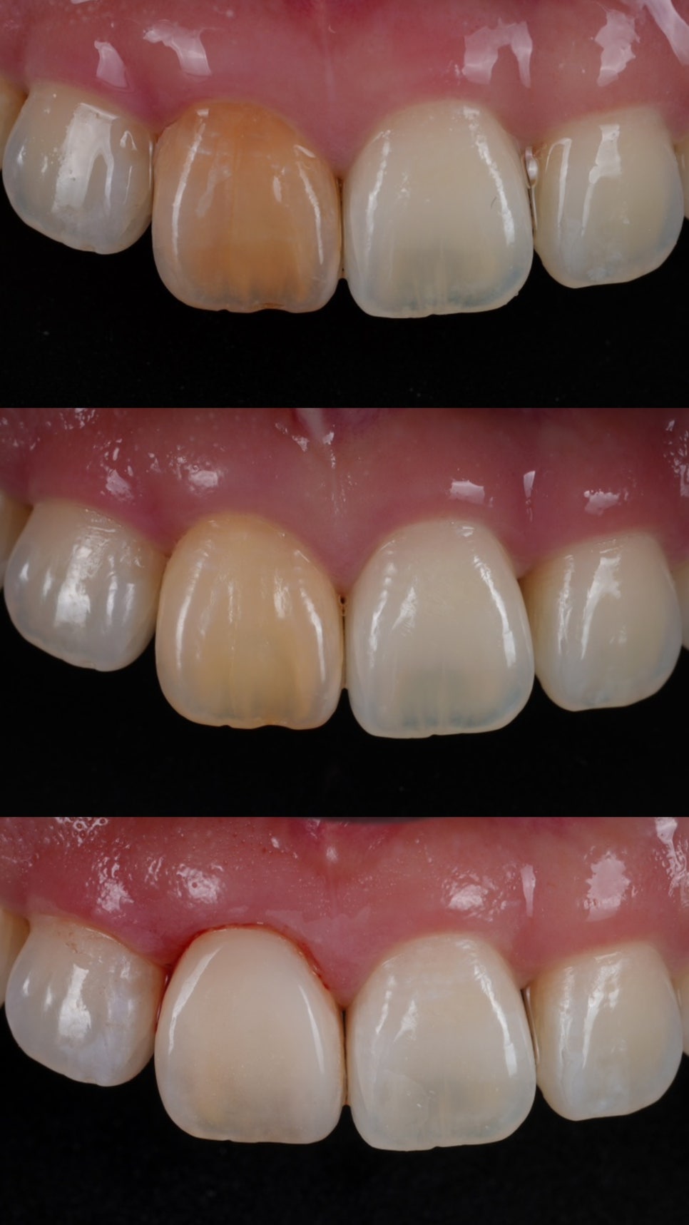
실활치 미백을 진행했어요.

촬영일 : 250905
아주 오래 전에 타치과에서
신경치료를 실패한
경험이 있으셨습니다.
오래된 약재를 제거하고
깨끗하게 비운 신경관을 밀폐한 후
치아 내부에 미백 약제를 넣었어요.
변색 원인이 된 내부 성분을 분해하고
점차 밝은색으로 회복되도록 유도했어요.

촬영일 : 250905
마치 치아 속에 꺼져 있던 조명을
하나 켜주는 과정이라고
보시면 이해하기 쉬워요.
서초치과

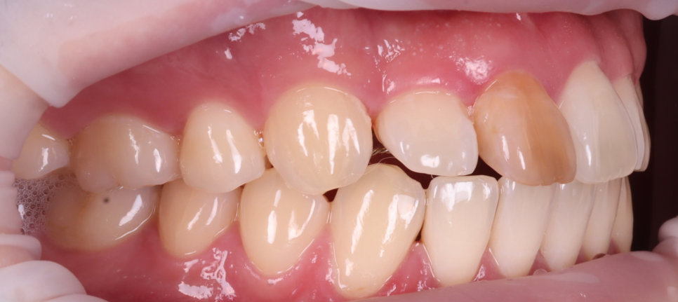
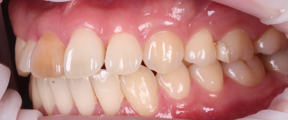
실활치 미백 전, 후 / 촬영일 : 250905 / 250926
최대한 밝게 만들어 놓은 상태에서
더이상 치아가 반응하지 않아
레진 비니어링(페이싱)을 하기로 했어요.
이때 중요한 것은 방습과 색 조화인데요.
저는 철저하게 러버댐을 장착해
침이나 습기로부터 차단했고
치아의 원래 색과 투명감을 재현하기 위해
여러 가지 색조의 레진을 겹겹이 적층했어요.
법랑질 특유의 투명감, 상아질의 따뜻한 톤,
그리고 빛이 닿을 때 생기는 halo 효과까지
하나하나 구현했죠.

환자분은 레진이라는 재료를 올렸을 뿐인데
마치 본래 치아가 되돌아온 것처럼
자연스럽게 보였어요.
이런 차이가 바로 ‘디테일의 힘’이라고 생각해요.
무뚝뚝하던 환자분의 장문 리뷰
서초치과
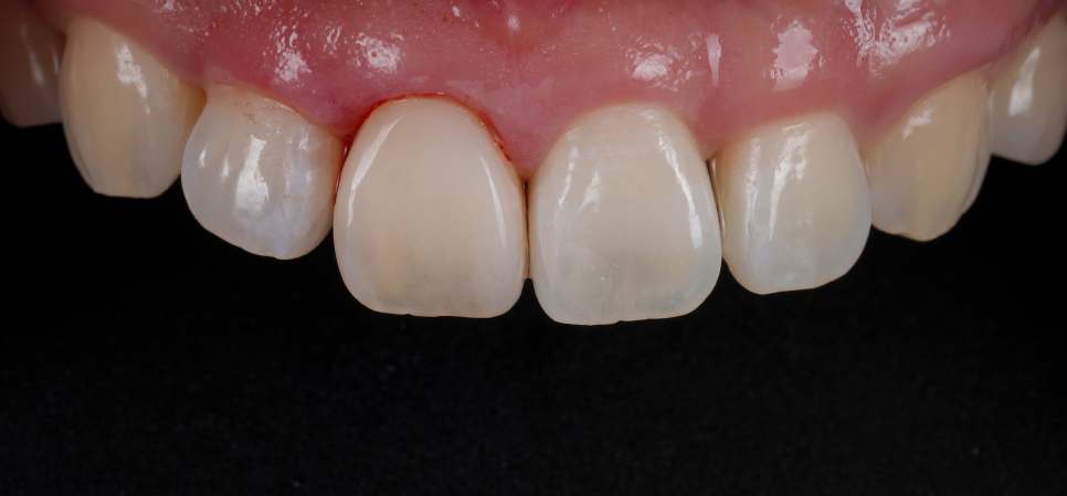
치료가 끝난 뒤 환자분은 거울을 들고
한참이나 치아를 들여다보셨어요.

촬영일 : 251001
처음엔 아무 말씀이 없으셔서
“혹시 마음에 안 드셨나?” 하고
직원들도 긴장했는데 갑자기
표정이 확 밝아지면서 말씀하셨어요.
선생님, 진짜 너무 감사합니다.
5년 동안 못 고친 걸 드디어 해결했네요.

촬영일 : 250905 / 250926 / 251001
그리고 며칠 뒤, 놀랍게도 환자분이
길고 정성스러운 리뷰를 남겨주셨어요.
진료 내내 무뚝뚝하시던 분이
아주 장문의 글로
5년간 14곳의 치과를 다녀왔고,
근심을 해결했다는 내용으로
적어주셨는데요.
제게 정말 큰 보람이 됐어요ㅎㅎ
본질을 해결하는 치료 철학
서초치과

촬영일 : 250905 / 251001
저는 늘 이렇게 생각해요.
치과 치료는 단순히 겉모습을 가리는 것이 아니라
본질적인 문제를 해결하는 과정이어야 한다고요.
실활치 미백 역시 단순히 하얗게 만드는 게 아니라
죽은 치아가 가진 본래의 색을 되살려주는
근본적인 방법이에요.
여기에 레진 수복으로 심미와 기능을 더하면
비로소 환자분이 자유롭게 웃을 수 있는
결과가 나오는 거죠.
이번 환자분처럼 오랫동안 마음속에
짐이 되어 있던 치아 고민도
올바른 방법을 선택하면 충분히 해결할 수 있어요.
그리고 그 과정에서 저는 언제나
“덮는 게 아니라 본질을 살린다"라는
철학을 지키려 해요.

무뚝뚝하던 환자분이 활짝 웃으며
남겨주신 따뜻한 리뷰.
그 순간이야말로 치과의사로서
제일 큰 보람이 아닐까요?
소현수 원장이었습니다. 감사합니다.
👇🏻 빠른 예약 👇🏻
👇함께 읽어보면 좋은 글들! 👇
증상이 일시적으로 나타날 수 있으며
드물게는 추가적인 치료가 필요할 수도 있습니다.
치료 기간 : 250905 - 251001