아카이브 요약
이 페이지의 역할
재주좋은치과의원의 네이버 블로그 원문을 보존한 아카이브 페이지입니다. 어금니이야기 카테고리의 강남역치과 치료 부위 2차 충치 레진 재치료 사례 글을 통해 병원의 한국어 정보 제공 방식과 진료 관련 안내 톤을 확인할 수 있습니다.
원문 검증
필요하면 원문 블로그와 병원 프로필로 바로 이동해 문맥을 다시 확인할 수 있습니다.
출처 아카이브 열기아카이브된 블로그 글
재주좋은치과의원 · 앞니 레진 비니어 장인, 소현수 원장입니다.
제 케이스도 블로그에 올라가나요? 강남역치과 진료 중 환자분께서 저희 선생님에게 물어보셨다고 해요. 혹시 불편하신 건 아닐까 여쭤봤더니... "원장님 블로그에 올라가고 싶어요!"라며 대답을 해주셨는데요. 바로 오늘 올라갑니다!ㅎㅎ ...
게시일
2025년 10월 31일
원문 기준으로 확인된 발행일입니다.
카테고리
어금니이야기
원문 블로그 카테고리를 정리해 함께 표시합니다.
이미지 수
13
현재 아카이브에 연결된 이미지 수입니다.
아카이브 요약
재주좋은치과의원의 네이버 블로그 원문을 보존한 아카이브 페이지입니다. 어금니이야기 카테고리의 강남역치과 치료 부위 2차 충치 레진 재치료 사례 글을 통해 병원의 한국어 정보 제공 방식과 진료 관련 안내 톤을 확인할 수 있습니다.
원문 검증
필요하면 원문 블로그와 병원 프로필로 바로 이동해 문맥을 다시 확인할 수 있습니다.
출처 아카이브 열기제 케이스도 블로그에 올라가나요?
강남역치과
진료 중 환자분께서 저희 선생님에게 물어보셨다고 해요.

혹시 불편하신 건 아닐까 여쭤봤더니... "원장님 블로그에 올라가고 싶어요!"라며 대답을 해주셨는데요.
바로 오늘 올라갑니다!ㅎㅎ

오늘 소개해 드릴 분은 40세 남성분으로 3년 전에 다른 치과에서 레진으로 치료했던 곳이 한 달 전쯤 깨지면서 떨어졌다고 하셨어요.
결과적으로 크라운 없이, 레진으로 다시 복원해 자연 치질을 그대로 지켜드릴 수 있었는데요. 조금 더 자세히 말씀드릴게요!
치료를 받았던 곳에 또다시 충치가 생긴 이유
강남역치과
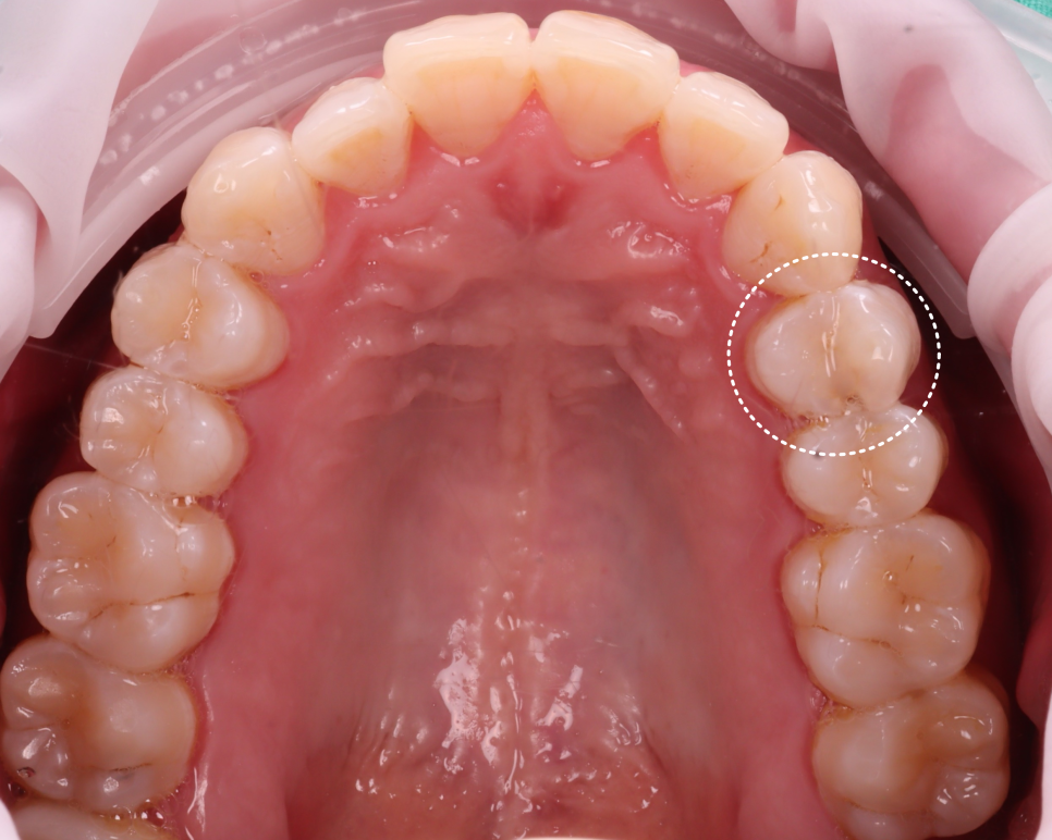
내원 당시 치아는 겉보기엔 멀쩡했지만 기존 레진이 떨어져 그 아래로 세균이 침투한 흔적이 있었어요.


촬영일 : 251020
이를 2차 충치라고 부르는데 적절히 치료되지 못한 경우에 접착이 깨지고 그 틈으로 세균이 침투해서 다시 충치가 생길 수 있어요.


촬영일 : 251020
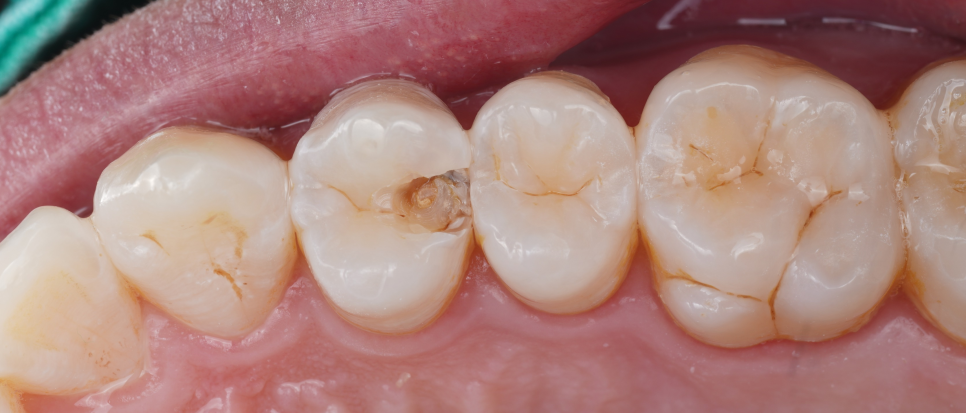
생각보다 파절 부위가 커서 걱정이 됐는데요.
기존 재료를 제거한 뒤 확인해 보니 다행히 신경까지는 진행되지 않아서 크라운으로 덮지 않고 레진으로 충분히 복원 가능한 상태라 판단이 들었어요.
저는 항상 “이 치아를 어떻게 하면 덜 깎고 살릴 수 있을까”를 먼저 생각해요. 이번에도 그 철학 그대로 접근했죠😄
최소삭제로 자연치를 보존하는 계획
강남역치과
레진의 큰 장점은 ‘최소삭제’예요.
강남역치과
필요한 부분만 아주 조심스럽게 제거하고 치아 본래의 구조를 최대한 보존할 수 있죠.

촬영일 : 251020
반면 인레이나 크라운은 충치가 있든 없든 치아 전체를 덮어야 하니 자연치가 많이 깎일 수밖에 없는데요.
한 번 삭제된 치아는 복원되지 않기 때문에 저는 항상 ‘지킬 수 있다면 지키자’는 마음으로 치료하고 있어요😊
그래서 이번에도 굳이 크라운으로 가지 않고 레진 빌드업으로 다시 살려보기로 결정했죠.
이 재료보다 삭제량이 적은 치료는 없기 때문에 저는 레진을 정말.. 정말 애정한답니다🫰
레진 수복은 방습이 생명
강남역치과
레진은 수분에 약한 재료예요.
침이 조금이라도 닿으면 접착이 약해지는데요. 치아를 보존할 수 있는 좋은 재료지만 아주 예민(?)해서 잘 다루지 못하면 금방 떨어져 버리죠.

그래서 러버댐으로
완전 방습을 시행했어요.
강남역치과
번거롭기도 하고 진료 시간도 길어져서 번거롭게 생각하시는 분들도 있지만 저는 레진 수복에 있어 제일 중요한 원칙으로 생각하고 있어요.


촬영일 : 251020
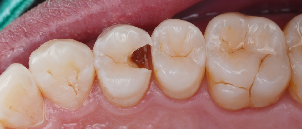
충치 부위를 깨끗하게 제거한 뒤 Se-bond를 사용해 접착층을 형성하고 여러 층으로 쌓아 올렸어요.
각 층마다 빛을 이용해 단단하게 굳힌 뒤 자연치와 같은 질감과 색을 만들어냈죠^^
레진을 올려둔 곳을 못 알아보게끔
강남역치과
이번 치료는 단순히 떨어진 곳을 다시 붙인 게 아니라 치아를 지켜낸 치료였어요.

촬영일 : 251020
신경치료도, 크라운도 하지 않고 치아의 형태와 기능을 그대로 유지할 수 있었죠.
요즘 치과 치료를 ‘교체’로
생각하는 분들이 많더라고요.
강남역치과
"아프면 빼고 임플란트 심지 뭐~" 이렇게 대수롭지 않게 생각하는 분들도 많아서 참 속상한데요.
한 번 깎인 치아는 다시 재생되지 않기에 저는 항상 '어떻게 남아 있는 치아를 지키면서 복원할까?' 생각하며 진료하는데요.

촬영일 : 251020
그래서 이번 케이스처럼 신경치료 없이 최소삭제로 자연치 보존을 도와드리면 참으로 뿌듯하고 성취감을 느낍니다ㅎㅎ
살릴 수 있는 치아는
끝까지 살린다.

이번 케이스처럼 크라운으로 씌우는 대신 자연치 그대로 복원하는 게 가능할 때는 언제나 그 길을 선택해요.
치아를 살리고 싶으신 분들은 아래 버튼을 누르시면 간단하고 빠르게 예약이 가능합니다😊
지금까지 소현수 원장이었습니다. 감사합니다.
👇🏻 빠른 예약 👇🏻
👇함께 읽어보면 좋은 글들! 👇
치료 기간 : 251020 - 251020