아카이브 요약
이 페이지의 역할
재주좋은치과의원의 네이버 블로그 원문을 보존한 아카이브 페이지입니다. 앞니이야기 카테고리의 신논현치과 외국인 까만 앞니 크라운 교체 사례 글을 통해 병원의 한국어 정보 제공 방식과 진료 관련 안내 톤을 확인할 수 있습니다.
원문 검증
필요하면 원문 블로그와 병원 프로필로 바로 이동해 문맥을 다시 확인할 수 있습니다.
출처 아카이브 열기아카이브된 블로그 글
재주좋은치과의원 · 앞니 레진 비니어 장인, 소현수 원장입니다.
잇빨에 욤쯩이 잇써요!!! 신논현치과 환자분께서 얼마 전 친구의 소개로 찾아와 주신 30대 여성 외국인분의 첫 말씀이었어요. 염증이라고 하셔서 '잇몸이 부은 건가?' 생각하고 봤더니 오래된 PFM 보철이 바깥으로 드러나 검게 보였는데 그것을 염증으로 착각하신 거였더라고요ㅎㅎ ...
게시일
2025년 11월 8일
원문 기준으로 확인된 발행일입니다.
카테고리
앞니이야기
원문 블로그 카테고리를 정리해 함께 표시합니다.
이미지 수
22
현재 아카이브에 연결된 이미지 수입니다.
아카이브 요약
재주좋은치과의원의 네이버 블로그 원문을 보존한 아카이브 페이지입니다. 앞니이야기 카테고리의 신논현치과 외국인 까만 앞니 크라운 교체 사례 글을 통해 병원의 한국어 정보 제공 방식과 진료 관련 안내 톤을 확인할 수 있습니다.
원문 검증
필요하면 원문 블로그와 병원 프로필로 바로 이동해 문맥을 다시 확인할 수 있습니다.
출처 아카이브 열기잇빨에 욤쯩이 잇써요!!!
신논현치과
환자분께서 얼마 전 친구의 소개로 찾아와 주신 30대 여성 외국인분의 첫 말씀이었어요.
염증이라고 하셔서 '잇몸이 부은 건가?' 생각하고 봤더니 오래된 PFM 보철이 바깥으로 드러나 검게 보였는데 그것을 염증으로 착각하신 거였더라고요ㅎㅎ

촬영 : 251015
환자분은 친구의 소개로 내원하셨는데요.
그 친구분 역시 얼마 전 저희에게서 진료를 받으셨던 분이라 “앞니를 잘하는 곳이 있다"라며 추천해 주셨다고 하더군요.
언어가 달라도 '좋은 진료는 통한다'라는 걸 새삼 느꼈죠ㅎㅎ
아름다운 미소의 중요성은 전 세계 어디에서나 중요하다는 것을 다시 한번 느낄 수 있었어요.

블로그 보시고 먼걸음해 주신 분들께
감사 인사를 전합니다🙏🏻
발견한 문제점 5가지
신논현치과
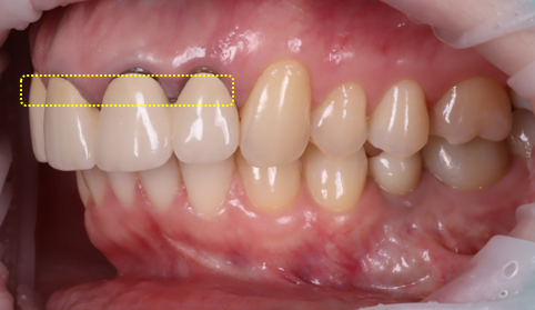
| 1) 잇몸이 검게 보임 |

촬영 : 251015
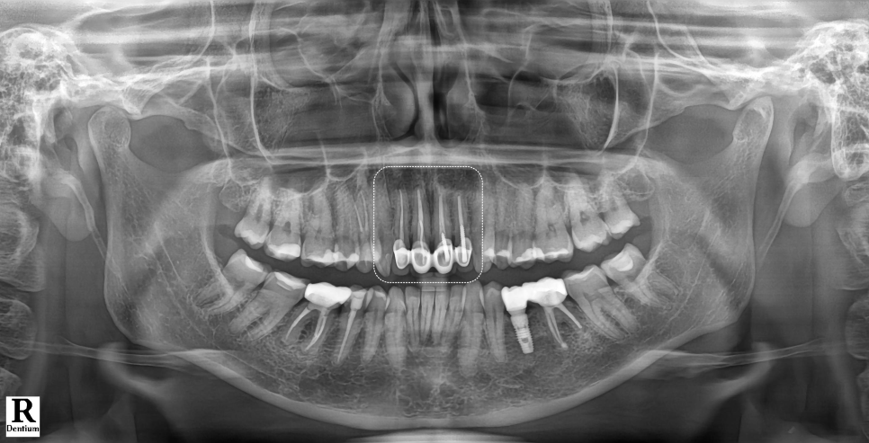
환자분의 앞니는 PFM이라는 재료로 씌워져 있었는데요.
PFM은 Pocelain Fused Metal의 약자로, 메탈 위에 포세린(흰색 도자기)을 얹어서 제작한 보철이에요.

보시는 것처럼, 가장 안에 위치한 메탈이 시간이 지나면서 잇몸이 서서히 퇴축되며 경계부가 드러나 검게 보이게 돼요.
| 2) 브릿지(Bridge)로 제작 |

촬영 : 251015
앞니 4개는 모두 브릿지로 한 덩어리로 연결되어 있었어요.

촬영 : 251015
겉보기엔 단단해 보이지만 실제로는 잇몸이 답답하게 눌리고 치아 사이 위생 관리도 어려운 구조라 가급적이면 하나씩 제작하는 싱글 크라운(Single Crown) 형태가 좋습니다.
( * 저 역시도 아주 가끔 브릿지 형태로 묶어서 제작할 때도 있는데 그런 경우는 잇몸이 정말 안 좋거나 치아가 짧아서 탈락할 가능성이 있는 경우 등 제한적으로만 사용합니다.)
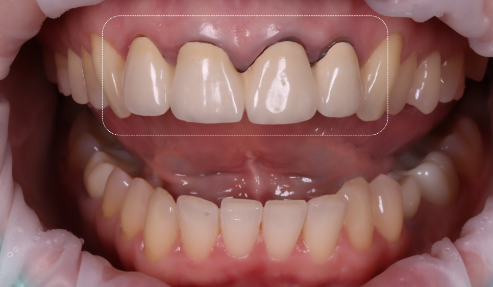
| 3) 보철 색상이 비심미적 |
PFM이 불투명해 자연치아와의 색상이 어우러지지 않고 이질감을 주고 있었습니다.
딱 봐도 '치아를 씌운 것 같은 느낌'을 주고 있었죠.


촬영 : 251015
또, 네모 박스 부분이 유독 더 노란빛이 도는데 그 점이 마음에 들지 않는다고 하셨어요.
| 4) 넙데데해 보이는 형태 |

촬영 : 251015
앞니의 뒤 라인이 너무 넙데데하게 생긴 것이 마음에 들지 않는다고 하시더라고요.
제가 봤을 때, 앞니의 중앙이 볼륨이 없어 납작하고, 말씀하신 것처럼 끝의 라인이 바로 옆 치아와 이어져 넙데데하고 치아가 커 보이기까지 하더라고요.
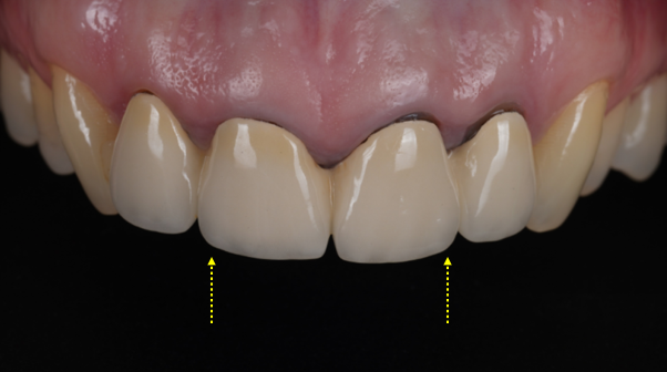
| 5) 얼굴과 치아 축의 틀어짐 |

이렇게 봤을 때 잘 모르실 수도 있는데요.

이렇게 선을 그어보면 틀어진 축을 볼 수 있습니다.
심미와 기능을 살려주는 계획
신논현치과
치료 계획은 이렇게 세웠습니다.


기존 브릿지 제거 후 치관확장술(잇몸 절제)로 치아 길이 보완한 뒤 4개의 치아는 투명도가 높고 금속이 비치지 않는 지르코니아 크라운을 개별 제작하기로 했어요.

지르코니아 VS PFM
지르코니아는 메탈이 없어 시간이 지나도 검게 보이는 것이 없어 아주 심미적이에요.

또, 투명도가 높아서 치아와 식별이 어려울 정도로 색상을 심미적으로 구현할 수 있죠^^
치관 확장을 하는 이유는?
잇몸 라인을 늘려 ① 푸르스름한 경계라인 숨기기, ② 심미적으로 조화롭게 보이기 위해 이런 이유로 진행하기로 했습니다.
그리고 이분은 치관(머리 부분) 파절과 충치도 있었기 때문에 이점을 고려했을 때 꼭 필요한 과정이었어요.

언어가 완벽히 통하지 않아도 사진과 실물 거울을 함께 활용해 형태와 색감을 설명드리며 좋은 결과를 위해 하나씩 맞춰나갔죠ㅎㅎ
치아 보존을 위한 조심스러운 접근
신논현치과
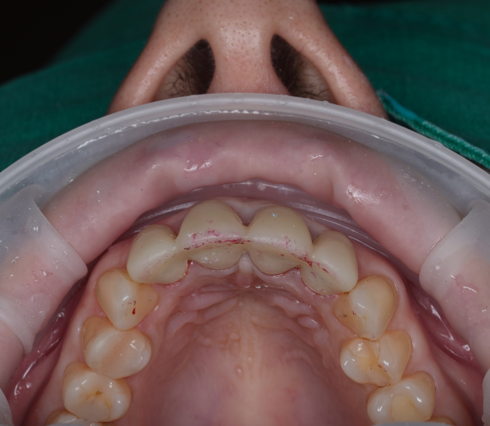
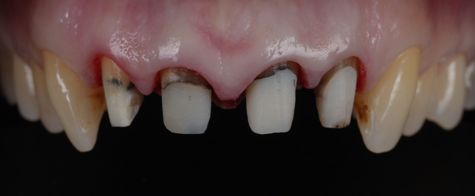
기존 보철 제거는 예상보다 까다로웠어요.

촬영 : 251022
금속이 두껍고 접착력이 강했는데요. 그럼에도 불구하고 치아 손상을 최소화하며 분리했죠.

촬영 : 251022
이후 보철 제작을 위해 모양을 다듬고, 치관확장술로 잇몸 선을 정리하고 길이를 확보했어요.
이어 쉐이드 가이드를 이용해 색상을 의논했는데요.

촬영 : 251022
환자분은 가장 밝은 A1으로 원하신다고 하더라고요. 주변 치아가 약간 어두워서 색상 차이가 느껴질 수 있다고 설명드렸고 동의하셨어요.
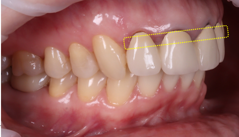
자연스러운 색감과 형태로 완성된 미소
신논현치과

촬영 : 251030
최종적으로 완성된 지르코니아 크라운은 빛이 통과하면서 자연스러운 투명감이 느껴졌어요.
경계 부위가 검게 변해 있던 기존 모습이 생각나지 않을 정도로 큰 변화를 느낄 수 있었는데요.
환자분께서 거울을 보며 활짝 웃으셨던 순간이 아직도 기억납니다ㅎㅎ 개별 크라운으로 제작되어 치실 사용이 가능하여 사용법도 알려드렸습니다.
또한 잇몸 선도 시간이 지나며 점점 안정되기 때문에 시간이 지나면서 더 자연스러워질 거라고 설명을 드렸죠ㅎㅎ

틀어진 치아 축도 얼굴 앞면을 바라보도록 제작했죠.

촬영 : 251015 / 251030
환자분께서 보철이 마음에 들지 많이 걱정하셨는데 아주 만족하셔서 정말 뿌듯했던 케이스였습니다^^
세계 어디서든 통하는 공통언어,
바로 자신감 있는 미소입니다.
신논현치과
브릿지 대신 각각의 치아를 숨 쉴 수 있게 하는 설계, 심미와 기능을 모두 잡는 크라운 디자인 이건 단지 미용이 아니라 자신감을 회복하는 과정입니다.
오늘도 저를 찾아와 주신 환자분들께서 모두 환하게 웃을 수 있도록 진심을 다해 미소를 만들어 가겠습니다😊
지금까지 재주좋은치과 소현수 원장이었습니다. 감사합니다.
👇🏻 빠른 예약 👇🏻
👇함께 읽어보면 좋은 글들! 👇
치료 기간 : 251015 - 251030