예전에 앞니 사이를 때웠는데
웃을 때마다 거기에
뭔가 낀 것 같이 보여요..
그리고 앞니만 토끼 이빨같이
너무 튀어나왔어요.
앞니사이충치
해당 환자분은 타치과에서 앞니 사이 충치를 레진으로 이미 치료하셨는데요.

이분은 이미 저희 치과에서 스케일링을 받기 위해 내원하셨다가 턱관절 치료도 받고 잇몸 치료도 꾸준히 해오던 분이에요.
어느 날, 치료받으시다가 앞니에 대한 고민을 조심스럽게 꺼내시더라고요ㅎㅎ
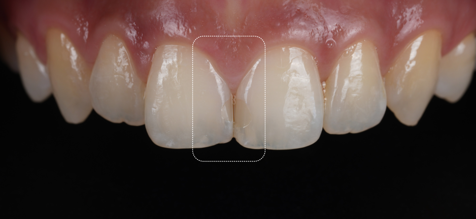
이 사이가 어둡게 보이던 진짜 이유
앞니사이충치
앞니를 자세히 보니 시간이 지나면서 레진 색이 주변 치아보다 살짝 어두워졌고, 치아 사이 경계가 매끄럽지 않아서 살짝 어둡게 보이는 상태였어요.

촬영일 : 251127
이런 경우에는 위에 레진을 더 얹는다고 해결되지 않아요. 오히려 더 두꺼워지고 더 티가 날 수 있어요.
그래서 기존 레진은 전부 제거하고 이 사이를 깨끗하게 정리하는 것부터 시작해야 해요.
항상 “얼마나 채우느냐”보다 “어디까지 정리하느냐”가 훨씬 중요해요.
한 가지가 더 눈에 들어왔어요.
앞니 하나가 살짝 뒤로 들어가 있어서 단차가 있더라고요.
이 단차 때문에 토끼 이빨처럼 튀어나와 보인다.라고 느끼시는 것이었습니다.

촬영일 : 251127
그래서 이번 치료는 앞면을 레진으로 얇게 보완해서 전체가 한 평면처럼 보이도록 디자인을 같이 잡았어요.
크기를 키우는 게 아니라 오히려 시각적으로 작고 고르게 보이게 만드는 방향으로 계획을 세웠습니다.
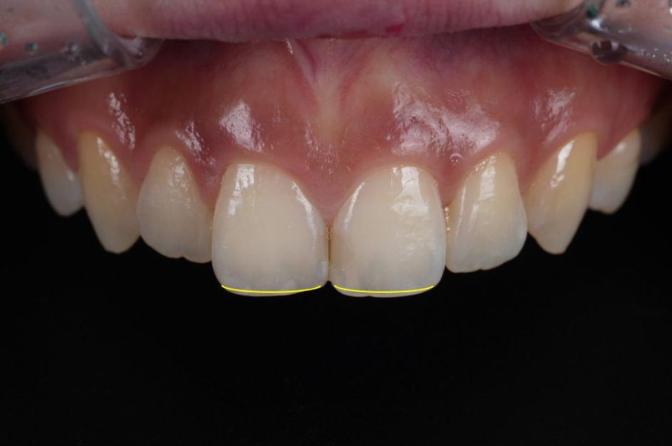
앞니 길이가 다른 부분은, 성형이 필요해요.

치아의 끝이 양쪽이 길이가 달라 더 가지런하지 않다고 느껴지셨을 거예요.
길이가 다르다고 말씀드렸더니 오히려 환자분은 '그건 몰랐다.'라고 하시더라고요.
가지런한 모양을 위해 길이를 맞춰드리기로 했습니다.
앞니 사이, 너무 완벽하면 오히려 부자연스러워요.
앞니사이충치
앞니 진료에서 많이 받는 요청이 있어요. “완전히 꽉 막아주세요.”
그런데 이 사이를 너무 완벽하게 막아버리면 치아가 부해 보이거나 치실이 안 들어가서 관리가 오히려 안되어 잇몸 건강을 해칠 수 있어요.

촬영일 : 251127
이번 치료에서는 웃을 때 어둡게 보이던
단차는 없애되, 치아 사이에는
아주 약간의 여유를 남기기로 했어요.
앞니사이충치
이 정도 여유는 시간이 지나면서 잇몸이 자연스럽게 차오르기도 하고 무엇보다 티가 덜 나며, 잇몸 건강도 챙길 수 있어요.
치료는 이렇게 진행했어요.
앞니사이충치
먼저 기존에 있던 레진과 충치를 조심스레 제거했어요.
이때 중요한 건 치아는 건드리지 않고 레진만 정확히 없애는 거예요.

이후 앞니 두 개의 모양과 각도를 계속 비교하면서 봤어요. 앞에서 볼 때, 옆에서 볼 때, 말할 때 입술에 가려지는 위치까지요.
앞니 하나가 살짝 뒤로 들어가 있어서 그 부분을 레진으로 앞면만 보완해 줬어요.
많이 올리면 튀어나와 보이고 적게 올리면 단차가 그대로 남아요. 그래서 정말 “살짝”이 중요해요ㅎㅎ
앞니 사이를 메울 때도 한 번에 채우지 않고 조금씩 나눠서 형태를 잡았어요.
그래야 치아가 둔해 보이지 않고 빛이 자연스럽게 반사돼요.

마취는 하지 않았고 중간중간 “이 느낌 괜찮은지” 환자분께 계속해서 확인받았어요.
앞니 치료는 의사가 혼자 완성하는 게 아니라 환자랑 같이 만들어가는 작업이에요.
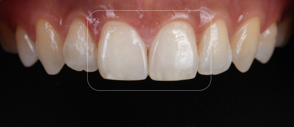
마무리는 거울 앞 표정이에요.
앞니사이충치
저는 모든 과정이 끝나면 항상 거울을 먼저 드려요.
이번에도 환자분이 거울을 보자마자 바로 웃으시더라고요ㅎㅎ 그리고 한 박자 쉬고 말씀하셨어요.
“이제 웃을 때 신경 안 써도 되겠어요. 이렇게 예쁘게 되는 줄 알았으면 더 빨리 말씀드릴 걸 그랬어요~”

촬영일 : 251127
앞니 치료는 의사가 만족하는 순간보다 환자가 웃는 순간이 더 중요해요.
그래서 높이는 괜찮은지, 말할 때 걸리는 느낌은 없는지, 조금이라도 어색한 부분은 없는지까지 끝까지 확인하고 미세 조정을 한 뒤 마무리했어요^^
앞니사이충치는 크기가 작아 보여도
사람 인상을 꽤 크게 바꿔요.

촬영일 : 251127 / 251127
이번 치료는 '한 끗 차이'로 인상이 달라질 수 있다는 것을 보여드리는 사례였습니다.


내년 1월과 2월, 치과의사분들을 대상으로 강의를 하게 되었습니다.
✅레진 치료를 하더라도 치아 삭제를 줄이는 방법
✅깊은 충치를 치료하지만 신경 치료를 피하는 방법
✅신경 치료 후 크라운을 하지 않고 레진으로 마무리하는 방법
쉽게 말씀드리자면, 치아 삭제를 줄이고 보존하는 방법을 주제로 제가 치료했던 사례들을 공유하는 시간이 될 것 같습니다ㅎㅎ
제 진료 철학을 지키며 지내왔던 시간을 인정받는 것 같아 기쁘면서도 감사합니다🙏🏻🥹
앞으로도 많은 분들의 치아를 보존하여 앞니는 예쁘면서 가지런하게, 어금니는 편안하게 잘 씹을 수 있도록 지켜드리겠습니다.
지금까지 재주좋은치과 소현수 원장이었습니다. 감사합니다.
👇🏻 빠른 예약 👇🏻
👇함께 읽어보면 좋은 글들! 👇
- 개인에 따라 변색, 탈락 등의 증상이 일시적으로 나타날 수 있으며 드물게는 추가적인 치료가 필요할 수도 있습니다.
치료 기간 : 251127 - 251127