아카이브 요약
이 페이지의 역할
재주좋은치과의원의 네이버 블로그 원문을 보존한 아카이브 페이지입니다. 어금니이야기 카테고리의 인레이치료 하방 2차 충치 레진 빌드업 사례 글을 통해 병원의 한국어 정보 제공 방식과 진료 관련 안내 톤을 확인할 수 있습니다.
원문 검증
필요하면 원문 블로그와 병원 프로필로 바로 이동해 문맥을 다시 확인할 수 있습니다.
출처 아카이브 열기아카이브된 블로그 글
재주좋은치과의원 · Naver Blog
A 치과에서는 신경치료하라고 했고, B 치과에서는 레진 치료하라고 하더라고요. 그래서 레진 했는데 괜찮은 게 맞는 건지 확인받고 싶어서 왔어요~ 제게 찾아오시는 분들 중에는 간혹 이렇게 여러 군데에서 진단을 받거나 치료받고 나서 마지막으로 확인받기 위해 오시는 경우가 종종 있습니다. (마지...
게시일
2025년 12월 18일
원문 기준으로 확인된 발행일입니다.
카테고리
어금니이야기
원문 블로그 카테고리를 정리해 함께 표시합니다.
이미지 수
19
현재 아카이브에 연결된 이미지 수입니다.
아카이브 요약
재주좋은치과의원의 네이버 블로그 원문을 보존한 아카이브 페이지입니다. 어금니이야기 카테고리의 인레이치료 하방 2차 충치 레진 빌드업 사례 글을 통해 병원의 한국어 정보 제공 방식과 진료 관련 안내 톤을 확인할 수 있습니다.
원문 검증
필요하면 원문 블로그와 병원 프로필로 바로 이동해 문맥을 다시 확인할 수 있습니다.
출처 아카이브 열기A 치과에서는 신경치료하라고 했고,
B 치과에서는 레진 치료하라고 하더라고요.
그래서 레진 했는데
괜찮은 게 맞는 건지
확인받고 싶어서 왔어요~
제게 찾아오시는 분들 중에는 간혹 이렇게 여러 군데에서 진단을 받거나 치료받고 나서 마지막으로 확인받기 위해 오시는 경우가 종종 있습니다.
(마지막으로 오시는 거니.. 의미 부여해도 되겠죠?ㅎㅎ)
치료가 끝났는데 이상하게 마음이 놓이지 않았다고 하시더라고요. 그래서 결국 “확인만이라도 받아보자”는 마음으로 찾아오셨죠.
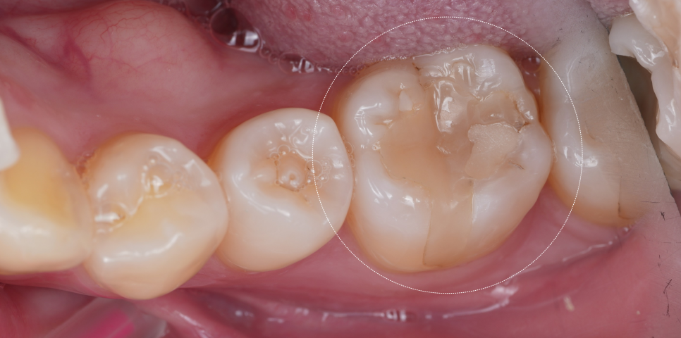
레진만 덧댄 상태였습니다.
확인해 보니 왜 찜찜하게 느끼셨는지.. 바로 알겠더라고요.
기존 인레이치료 하방으로 틈이 생겼고, 그 틈을 따라 2차 충치가 진행되었다고 합니다.
그래서 B 치과에서 치료를 권했는데.. 해당 부분만 레진으로 덧댄 상태였어요.

촬영일 : 251124
이런 경우, 기존 인레이를
모두 제거하는 것은 원칙입니다.
마치 문틀이 틀어진 걸 알고도 문은 그대로 둔 채 옆 틈만 실리콘으로 메워놓은 것과 비슷해요.
당장은 바람이 덜 들어오는 것 같아 보여도 근본적인 문제는 그대로 남아 있는 거죠.


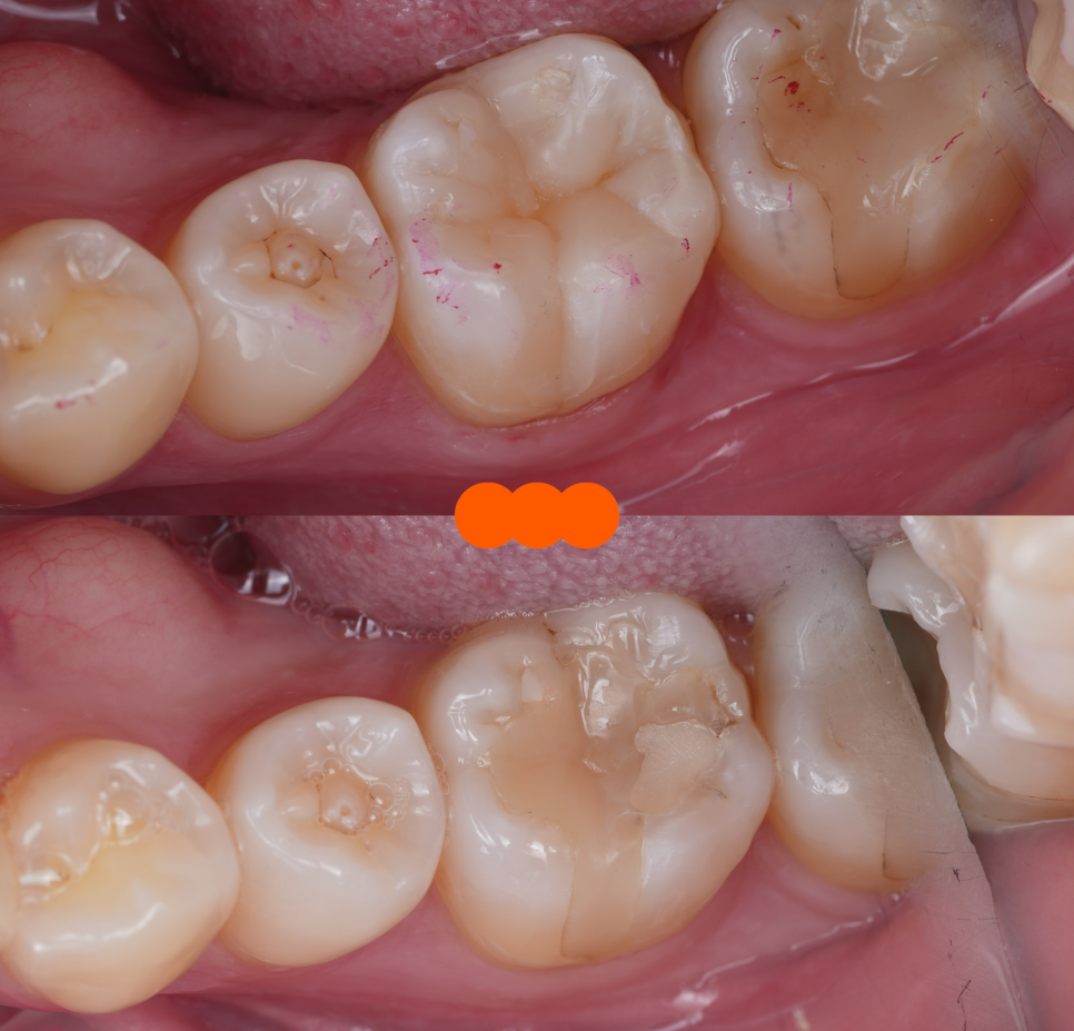
촬영 : 251124
치아 가운데 하얗게 덧댄 것... 보이시죠?
심지어 레진으로 때운 곳도 온전치 않아 보이더라고요..^^;

큐레이를 통해 확인해 봐도 인레이치료 한 경계를 따라 붉은빛으로 문제가 있다는 것을 보여주네요.
큐레이는 특정 파장의 푸른 가시광선을 치아에 비추면 세균이 많은 부위에 붉은 형광빛을 띠어요.

(*여담이지만 큐레이를 만드는 아이오 바이오 회사에서 치과의사 선생님들을 대상으로 다음 달 말에 강의를 합니다 ㅎㅎ)

인레이 제거 후 레진빌드업으로

“인레이치료 후 다시 레진으로 가능한가요?”라고 많이 물어보시는데요.
충분히 가능합니다.
레진은 '접착'이 기본 원리이기 때문에 접착할 면이 남아있다면 가능해요.
구체적으로 말씀드리자면, 치아의 벽면이 남아있고 씹을 때 힘을 지탱할 수 있을 만큼의 치질이 남았다면 가능합니다.
레진 빌드업은 ‘다시 만드는 과정’에 가까워요.
먼저, 인레이를 제거했습니다.

겉으로는 멀쩡해 보이죠? 큐레이로 한 번 확인해 볼게요.




촬영일 : 251201
아직도 충치가 남아있는 걸 확인할 수 있죠?
충치를 조심스레 제거하지 않으면 건강한 부분까지 삭제할 수 있어서 아주 조금씩 제거를 하고, 중간중간 큐레이로 반드시 확인하는 과정을 거칩니다.
그래서 종종 환자분께서는 "타 치과보다 레진 치료시간이 훨씬 긴 것 같아요."라는 말씀을 하시기도 합니다^^;
(충치만을 정확히 제거하고 건강한 치질은 보존하고자 하는 제 진료 원칙상, 진료 시간이 다소 길어질 수 있는 점 미리 양해 부탁드립니다.🙏🏻)
충치를 모두 제거한 뒤, 큐레이로 또 확인해 봤습니다.


촬영일 : 251201
이제 붉은빛이 거의 사라졌죠? 아주 조금 남은 부위도 깨끗하게 제거했습니다.
다음으로는 표면처리를 하여 기계적으로 고정될 수 있게 만든 다음, 접착제를 이용하여 레진이 잘 붙을 수 있도록 했어요.
마지막으로 레진으로 치아 형태를 하나하나 만들어갔어요.
해당 치아와 닿는 위쪽 어금니와 해당 치아의 반대쪽 어금니의 형태를 참고하여 실제 환자분의 치아의 형태를 그대로 재현하도록 했습니다.
한 번에 쭉 채워 넣는 방식이 아니라
조금씩 채워 넣으면서
쌓아가는 과정입니다.


촬영일 : 251201
힘이 한쪽으로 몰리지 않게, 씹을 때 특정 부위만 아프지 않게 교합 조정을 했습니다.
어금니는 하루에도 식사를 하며, 수천 번씩 일을 하는 치아라서 이 과정을 꼼꼼하게 해야 추후 다시 문제가 생기지 않거든요.
심미적으로도 “여기 치료했지~”라는 느낌이 안 들도록 심혈을 기울였어요.
어금니 레진은 씹는 힘을 견딜 수 있는지가 중요해요.
씹는 힘을 고려해 충분히 조정을 한 후에야 모든 과정을 마칠 수 있었는데요.

촬영일 : 251201
기존 인레이치료를 제거하고 재치료 후 환자분께서 하신 말이 아직 기억에 남아요.
“이번에는 불안한 마음이 안 생기고 안심되네요.” 그 말 한마디가 이 과정의 결과를 보여준다고 생각해요.
겉으로 보이는 모양보다 씹을 때의 안정감, 앞으로 오래 쓸 수 있다는 확신이 진짜 완성이라고 믿거든요.

촬영일 : 251124 - 251201
어금니 치료는 잘 안 보여서 환자분들은 어떻게 치료됐는지 알기가 쉽지 않아요.
이미 한 인레이치료를 다시 제거하는 건 환자분 입장에서도 부담이고 치과의사 입장에서도 쉬운 선택은 아니죠.
그래도 문제가 될 걸 알면서 덮어두는 건 결국 더 크고 복잡한 과정으로 돌아오게 돼요.
인레이치료 혹은 진료를 받았는데도 계속 신경 쓰인다면 예민해서가 아니라 치아가 보내는 신호일 수 있어요.
겉으로 보기엔 멀쩡해 보여도 안쪽까지 제대로 치료해야 한 번 치료한 치아를 오랫동안 사용할 수 있습니다.
지금까지 그래왔던 것처럼 앞으로도, 겉으로 보이는 결과를 넘어 눈에 보이지 않는 부위까지도 철저히 확인하는 원칙을 지켜가겠습니다.
지금까지 재주좋은치과 대표원장 소현수였습니다. 감사합니다.
👇🏻 빠른 예약 👇🏻
👇함께 읽어보면 좋은 글들! 👇
