아카이브 요약
이 페이지의 역할
재주좋은치과의원의 네이버 블로그 원문을 보존한 아카이브 페이지입니다. 앞니이야기 카테고리의 왜소치 레진으로 삭제 없이 예쁘게 글을 통해 병원의 한국어 정보 제공 방식과 진료 관련 안내 톤을 확인할 수 있습니다.
원문 검증
필요하면 원문 블로그와 병원 프로필로 바로 이동해 문맥을 다시 확인할 수 있습니다.
출처 아카이브 열기아카이브된 블로그 글
재주좋은치과의원 · 앞니 레진 비니어 장인, 소현수 원장입니다.
왜소치 레진으로 삭제 없이 예쁘게 이제 겨울방학이 시작되면서 본격적으로 앞니 치료를 위해 상담하러 오시는 분들이 늘어나고 있네요ㅎㅎ 앞니 상담을 하다 보면 왜소치 환자분들을 많이 보게 되는데요. 연구 결과에 따르면, 왜소치는 전체 인구에서 1-3% 내외로 보고 되고 있어서...
게시일
2025년 12월 27일
원문 기준으로 확인된 발행일입니다.
카테고리
앞니이야기
원문 블로그 카테고리를 정리해 함께 표시합니다.
이미지 수
14
현재 아카이브에 연결된 이미지 수입니다.
아카이브 요약
재주좋은치과의원의 네이버 블로그 원문을 보존한 아카이브 페이지입니다. 앞니이야기 카테고리의 왜소치 레진으로 삭제 없이 예쁘게 글을 통해 병원의 한국어 정보 제공 방식과 진료 관련 안내 톤을 확인할 수 있습니다.
원문 검증
필요하면 원문 블로그와 병원 프로필로 바로 이동해 문맥을 다시 확인할 수 있습니다.
출처 아카이브 열기이제 겨울방학이 시작되면서 본격적으로 앞니 치료를 위해 상담하러 오시는 분들이 늘어나고 있네요ㅎㅎ
앞니 상담을 하다 보면 왜소치 환자분들을 많이 보게 되는데요.
연구 결과에 따르면, 왜소치는 전체 인구에서 1-3% 내외로 보고 되고 있어서 굉장히 적은 케이스인데 저희 치과에서 많이 볼 수 있다는 것이 참 뿌듯하네요^^
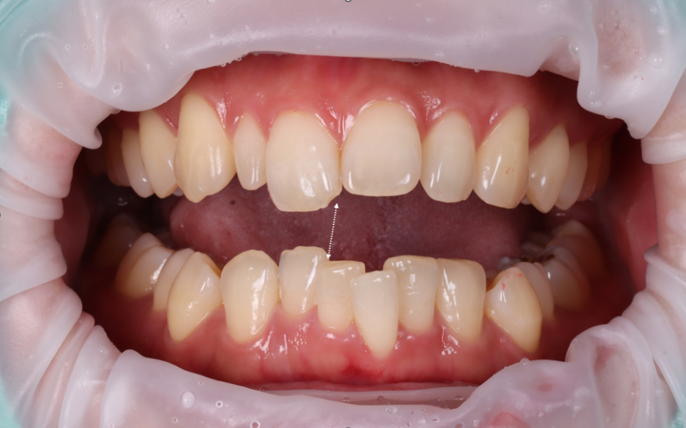
이번 환자분은 30대 여성으로 두 번째 앞니 한쪽만 왜소치였고, 더불어 가운데 앞니에 파절도 있었어요.

파절은 부정교합으로 인해 생긴 거라.. 사실 근본적인 해결을 위해서는 교정을 권해드렸는데요.
치료 기간이 길고, 경제적인 부담과 현재 생활 여건을 고려했을 때 빠르게 해결을 원하셨습니다.
'레진으로 간단하게 해결하고 싶다.'라고 말씀해 주셔서 왜소치와 앞니 파절 모두 삭제 없이 레진으로 해결해 드린 사례를 보여드릴게요.
작은 치아 하나가 전체 인상을 바꾸고 있었어요.

검진을 해보니 오른쪽 위 두 번째 앞니(측절치)는 전형적인 왜소치였고 반대편 두 번째 앞니는 크기와 형태가 정상이었어요.
문제는 치아가 ‘작다’는 사실 자체보다 양쪽의 균형이 깨져 있다는 점이었어요.
사람 얼굴이 그렇듯 치아도 좌우가 비슷해야 자연스러운데 한쪽만 유독 작으면 다른 곳들이 더 크게 보이거나 배열이 불규칙해 보일 수 있죠.

촬영일 : 251120
파절된 오른쪽 위 큰 앞니는 삐뚠 아래 앞니가 다물 때마다 부딪히는 형태였어요.

촬영일 : 251120
그래서 많은 힘을 받다 보니 치아의 끄트머리가 깨질 수밖에 없는 상황이었어요.


촬영일 : 251120
또, 2개 치아 모두 입천장 쪽으로 기운 형태였어요.
그 점도 감안해 바깥쪽으로 풍융하게 보이게 만들어 전체적으로 가지런하게 보일 수 있도록 계획했습니다.

촬영일 : 251120
왼쪽/오른쪽 첫 번째 앞니만 놓고 봤을 때, 잇몸 라인이 비대칭이어서 잇몸 성형도 같이 하는 것을 권해드렸는데요.
파절된 앞니는 2가지 대안을 드렸습니다.
| 치료 방법 |
|---|
| 파절된 앞니 레진 + 아래 앞니 교합 조정 |
| 2. 파절된 앞니 치아성형 + 잇몸 성형 |
환자분께서 앞니 파절된 치아는 왜소치 먼저 치료해 보고 결정하겠다고 하셨는데, 왜소치 레진 후 파절된 치아도 치료해달라고 하셨어요ㅎㅎ
깎지 않고도 바꿀 수 있는 방법부터 고민했어요.
앞니 치료에서 제가 먼저 고민하는 건 항상 이거예요.
'보존적으로 할 수 있는 방법은 뭘까?'인데요.
치아는 한 번 깎으면 그 이후 선택지가 확 줄어들어요.

치아를 손대지 않고
치료할 수 있는
레진으로 결정했어요.
왜소치 레진
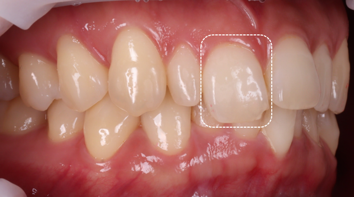
왜소치는 반대쪽 측절치와 최대한 비슷한 크기와 형태를 기준으로 직접 왜소치 레진 비니어로 크기를 만들어주고,
깨진 앞니는 깨진 부분만 채우는 방식이 아니라 표면을 레진으로 비니어링 하듯 정리해서 전체 라인이 자연스럽게 이어지도록 계획했어요.


촬영일 : 251120
크게 바꾸는 치료가 아니라 조금씩, 필요한 만큼만 바꾸는 과정이었어요.
환자분께도 “원래 이 치아였던 것처럼 자연스럽게 보이게 해드릴 거예요.”라고 설명드렸죠^^
‘때운다’는 느낌이 들면 실패예요.
왜소치 레진은 보통 간단하다고 생각하시는데, 보기보다 훨씬 손이 많이 가는 치료예요^^;
한 번에 크게 올리면 모양은 금방 나오지만 금방 떨어질 수 있으며, 빛이 비치면 티가 날 가능성이 높아요.

그래서 왜소치 레진을
아주 조금씩 쌓아가면서
반대편 치아와 계속 비교하면서
형태를 맞춰요.
폭, 길이, 옆면의 곡선 그리고 인접 치아와 닿는 느낌까지 하나하나 확인하면서 형태를 잡아갔어요.
표면을 레진으로 정리하면서 앞니들이 한 줄로 가지런해 보이도록 평면을 맞춰주는 데 신경을 많이 썼어요.
시간은 조금 더 걸렸지만 이 과정이 없으면 결과는 절대 자연스럽게 나오지 않는답니다ㅎㅎ
왜소치 레진으로 삭제 없이 자연스럽게 치료를 마쳤어요.

촬영일 : 251120
왜소치 레진이 끝난 뒤, 환자분이 거울을 보면서 바로 말씀하셨어요.
정말~ 감쪽같네요.
처음에는 깨진 앞니는 안 해도 되지 않겠냐고 고민하시던 분이 2주 뒤 오셔서 파절된 앞니 치료를 결정하셨어요ㅎㅎ
말씀드린 계획 중 첫 번째 방법으로 결정하셔서 앞니 레진 치료 후 아랫니 교합조정까지 해드렸어요.

촬영일 : 251120
이런 경우를 보면 앞니 치료는 한 부분만 보는 게 아니라 항상 전체를 같이 봐야 한다는 생각이 더 확고해져요.

촬영일 : 251120 / 251120
모든 앞니 치료가
크라운이나 라미네이트처럼
크게 깎는 치료일 필요는 없어요.
경우에 따라서는 치아를 삭제하지 않으면서 레진 치료로 형태를 개선할 수 있는 선택지도 충분히 있습니다.
저는 한 분 한 분 치료할 때마다 충분한 시간을 들여 세심하게 계획하고, 가능한 한 최소 삭제와 자연스러운 결과를 목표로 진료하고 있습니다.
앞니 치료를 고민하고 계시다면 현재 치아 상태에 맞는 치료 방법에 대해 편하게 상담받아보시기 바랍니다.
지금까지 재주좋은치과 소현수 원장이었습니다. 감사합니다.
👇🏻 빠른 예약 👇🏻
👇함께 읽어보면 좋은 글들! 👇
치료 기간 : 251120 - 251120