아카이브 요약
이 페이지의 역할
재주좋은치과의원의 네이버 블로그 원문을 보존한 아카이브 페이지입니다. 앞니이야기 카테고리의 잘못된 앞니 레진 뼈까지 녹인다? 레진 재치료 과정 글을 통해 병원의 한국어 정보 제공 방식과 진료 관련 안내 톤을 확인할 수 있습니다.
원문 검증
필요하면 원문 블로그와 병원 프로필로 바로 이동해 문맥을 다시 확인할 수 있습니다.
출처 아카이브 열기아카이브된 블로그 글
재주좋은치과의원 · 앞니 레진 비니어 장인, 소현수 원장입니다.
잘못된 앞니 레진 뼈까지 녹인다? 레진 재치료 과정 진료실에서 환자분들의 입안을 가만히 들여다보고 있으면 그분이 살아오신 세월이 한 편의 기록처럼 느껴질 때가 참 많아요. 저는 이걸 종종 "환자의 입안에 치과 치료의 역사가 담겨 있다"라고 표현하곤 하는데요. ...
게시일
2026년 1월 12일
원문 기준으로 확인된 발행일입니다.
카테고리
앞니이야기
원문 블로그 카테고리를 정리해 함께 표시합니다.
이미지 수
18
현재 아카이브에 연결된 이미지 수입니다.
아카이브 요약
재주좋은치과의원의 네이버 블로그 원문을 보존한 아카이브 페이지입니다. 앞니이야기 카테고리의 잘못된 앞니 레진 뼈까지 녹인다? 레진 재치료 과정 글을 통해 병원의 한국어 정보 제공 방식과 진료 관련 안내 톤을 확인할 수 있습니다.
원문 검증
필요하면 원문 블로그와 병원 프로필로 바로 이동해 문맥을 다시 확인할 수 있습니다.
출처 아카이브 열기잘못된 앞니 레진 뼈까지 녹인다?
레진 재치료 과정
진료실에서 환자분들의 입안을 가만히 들여다보고 있으면 그분이 살아오신 세월이 한 편의 기록처럼 느껴질 때가 참 많아요.
저는 이걸 종종 "환자의 입안에 치과 치료의 역사가 담겨 있다"라고 표현하곤 하는데요.

예전에 유행했던 아말감부터 지금은 거의 안 쓰는 은니, 오랜 세월에 구멍이 난 금니 그리고 초기 형태의 레진 치료까지... 그 시절에는 최선이었을 치료들이 세월의 흔적과 함께 고스란히 남아있기 때문이에요.
요즘은 40대에서 60대 이상의 환자분들도 저희 블로그를 꼼꼼히 읽어보시고 멀리서도 찾아주시는데요.
구강 내를 보면 참 안타까운 순간이 많아요.
예전에 받은 치료가 지금의 기준으로는 오히려 독이 되어 소중한 잇몸을 망가뜨리고 있는 경우가 있거든요.
오늘은 그중에서도 특히 주의해야 할 잘못된 앞니 레진 치료의 위험성과 그 해결 과정을 들려드리려 합니다.
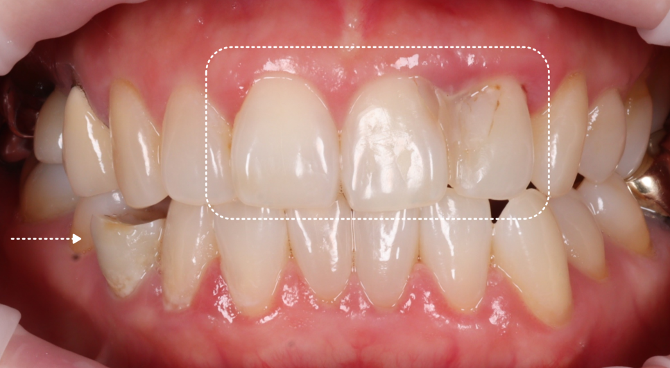
이번에 내원하신 환자분은 50대 여성으로, 불과 12일 전에 다른 치과에서 앞니 레진 치료를 받으셨다고 해요.
그런데 거울을 볼 때마다 색상이 너무 이질적이고 뭔가 내 치아 같지 않고 치료한 티가 나서 도저히 웃을 수가 없다는 고민으로 찾아오셨죠.
하지만 정밀 검진을 통해 발견한 진짜 문제는 단순히 심미적인 부분만이 아니었습니다.

촬영일 : 251230
앞니 사이 공간을 레진으로
꽉 메워둔 상태였어요.
치아 사이는 반드시 치실이 매끄럽게 통과할 수 있는 미세한 틈이 있어야 음식물 찌꺼기가 빠지고 잇몸이 건강하게 유지돼요.
그런데 이걸 꽉 막아버리니 그 안에서 세균이 번식하며 이미 뼈(치조골)가 흡수되는 치주염이 진행되고 있었죠.

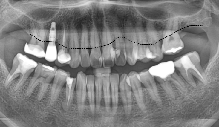
그리고 오른쪽 아래 작은 어금니는 신경치료가 된 상태였고, 크라운이 되지 않은 상태였습니다.

엑스레이에서 현재 환자분 뼈 상태를 그려봤는데요.
앞니 쪽에서 뼈 흡수가 많이 되어 라인이 위로 올라가는 것을 볼 수 있었고, 만져봤을 때 경미한 흔들림도 있었죠..
환자분께 현재 상태의 심각성을 말씀드렸어요.
"지금은 색이랑 형태보다 잇몸 뼈가 흡수되는 게 더 문제입니다. 레진이 분리가 되어서 사이가 닦여야 하는데 붙어있어 관리가 되지 않는 형태예요."라고요.
그동안 잇몸이 부었다 가라앉았고, 피가 났다고 말씀해 주셨어요.


| 소원장의 치료 계획 |


촬영일 : 251230
① 우선 잇몸을 짓누르고 있던 기존의 레진 덩어리를 모두 조심스럽게 제거하기로 했습니다.
② 그리고 염증 때문에 퉁퉁 부어오른 잇몸을 레이저로 깔끔하게 다듬는 치은 절제술을 병행하기로 했죠. 이렇게 해야 치료 후에 양치질과 치실로 깨끗하게 관리할 수 있는 '길'이 만들어지거든요.
③ 마지막으로 주변 치아와 완벽하게 어우러지는 색상의 심미 레진 비니어로 디자인하고 어금니 부위는 레진으로 코어를 만든 후 강도가 높고 정교한 지르코니아 크라운으로 보강하여 치아의 기능을 회복시키기로 했어요.
기존 레진을 제거하려고 혹시 떨어질까 싶어 기구로 살짝 만져봤는데 예상대로 바로 떨어나가졌습니다.
이런 형태가 사실.. 탈락이 굉장히 잘 되거든요^^;
그동안 꽉 막힌 레진 때문에 잇몸이 얼마나 답답하고 불편하셨을지 제 마음도 참 좋지 않았습니다.
잇몸이 숨을 쉬지 못해 질식하고 있는 것과 다름없었으니까요.


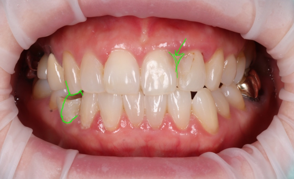
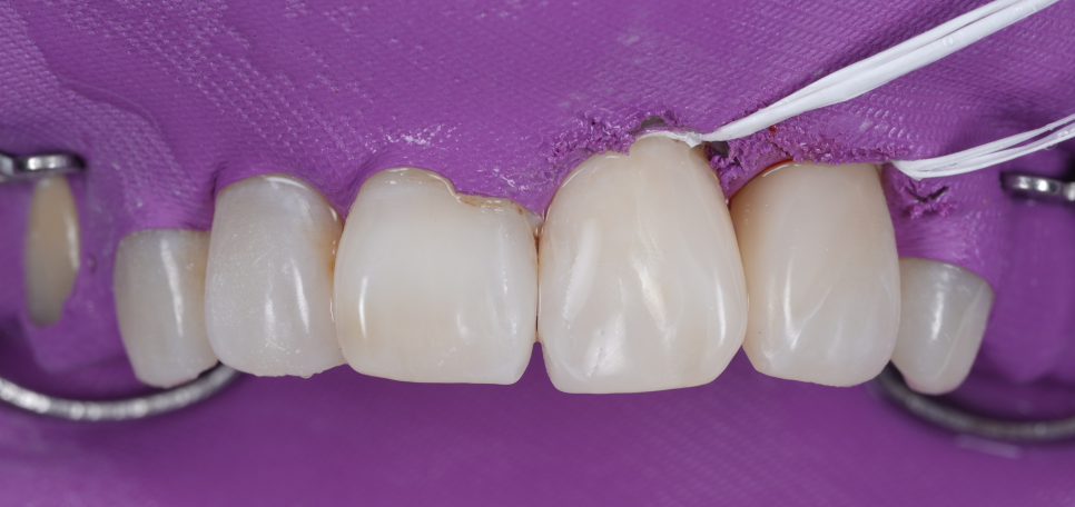
촬영일 : 251230
불완전한 경계 부분으로 충치도 새로 생겨 큐레이로 계속 확인하면서 충치를 제거해 줬습니다.
그 후 레진 빌드업 단계에 들어갔는데요.


촬영일 : 251230
한 번에 두껍게 메우는 것이 아니라
아주 얇은 층을 여러 번 쌓아 올려야
자연스러운 빛 반사와 단단한 내구성을
얻을 수 있어요.


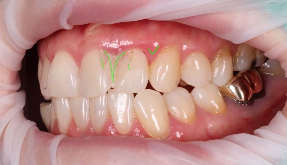
촬영일 : 251230
치아와 레진 사이에 아주 작은 턱이라도 생기지 않도록 매끄럽게 다듬는 데 많은 공을 들였습니다ㅎㅎ
그래야 나중에 환자분이 양치질을 할 때, 치실을 사용할 때 잘 닦여서 세균이 머물 자리가 생기지 않기 때문이죠.
모든 과정을 마치고 환자분께서 "원장님, 이제야 정말 제 치아 같아요. 마음 놓고 크게 웃을 수 있겠어요!"라며 기뻐하시더라고요ㅎㅎ

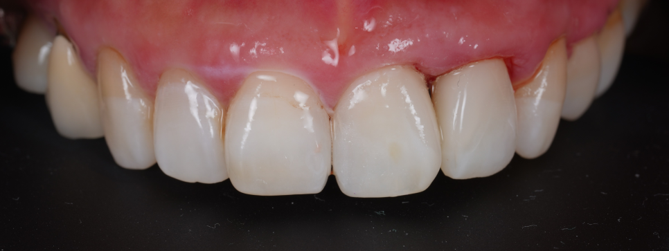
촬영일 : 251230
저 또한 환자분이 겪으셨던 마음고생을 잘 알기에 큰 보람을 느꼈던 순간이었습니다.
주변 치아와 구분이 안 갈 정도로 자연스러운 투명감을 되찾았고 무엇보다 이제는 치실이 부드럽게 통과하며 잇몸을 깨끗하게 관리할 수 있게 되었죠^^
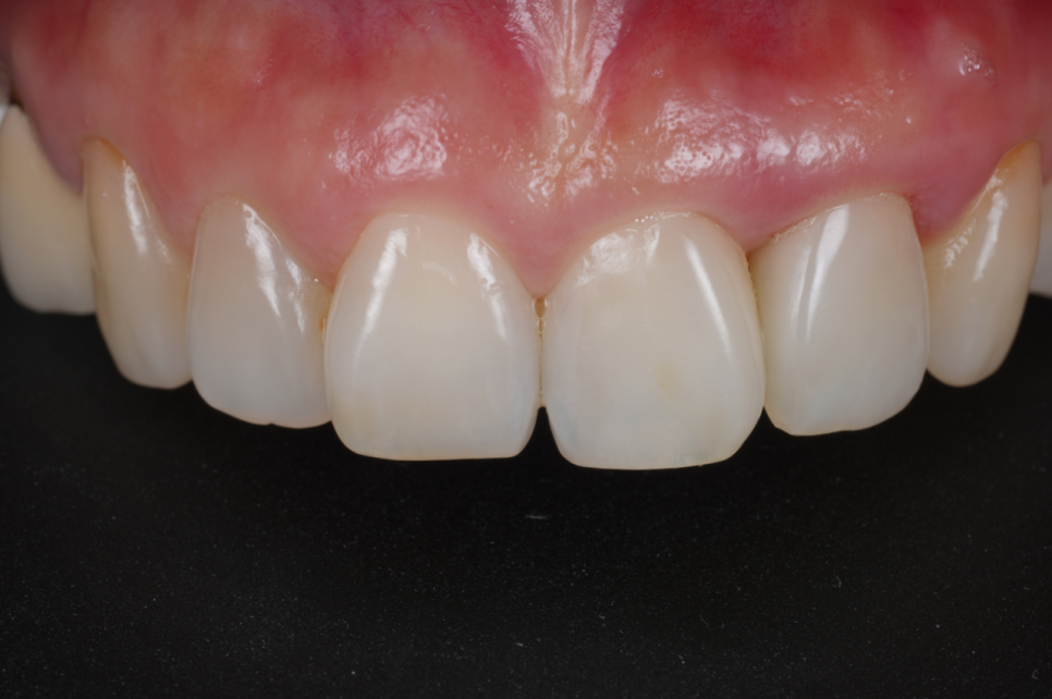
1주 뒤, 경과체크를 했습니다.

260107
잇몸이 아주 잘 아물었습니다.
잇몸 라인이 건강하게 정리되니 웃을 때 치아도 훨씬 황금비율에 가까워졌는데요.
또한 왼쪽 아래 어금니도 지르코니아로 씌워 심미와 기능 모두 회복하셨습니다.

251230/260107
중년층 환자분들은
치주염에 취약한 시기라
잘못된 앞니, 어금니 치료가 입안에 있으면
수명은 짧아질 수밖에 없어요.
진료받은 부위가 자주 붓거나 치실이 잘 들어가지 않아 답답하신가요?
그렇다면 컨디션 탓으로 돌리지 마시고 오늘 소개해 드린 이분처럼 내 입안의 오래된 역사를 점검하고 바로잡아야 할 신호로 받아들이셔야 합니다.
잘못된 앞니, 어금니 치료는 걷어내고 앞으로 10년, 20년 더 튼튼하게 쓰실 수 있도록 도와드리겠습니다.
재주좋은치과 대표원장 소현수였습니다. 감사합니다.
👇🏻 빠른 예약 👇🏻
👇함께 읽어보면 좋은 글들! 👇
