아카이브 요약
이 페이지의 역할
재주좋은치과의원의 네이버 블로그 원문을 보존한 아카이브 페이지입니다. 앞니이야기 카테고리의 왜소치 라미네이트보다 레진 비니어를 더 추천드리는 이유 글을 통해 병원의 한국어 정보 제공 방식과 진료 관련 안내 톤을 확인할 수 있습니다.
원문 검증
필요하면 원문 블로그와 병원 프로필로 바로 이동해 문맥을 다시 확인할 수 있습니다.
출처 아카이브 열기아카이브된 블로그 글
재주좋은치과의원 · 앞니 레진 비니어 장인, 소현수 원장입니다.
왜소치 라미네이트보다 레진 비니어를 더 추천드리는 이유 요즘 방학이다 보니 앞니 컴플렉스를 해결하기 위해 상담하러 오시는 분들이 상당히 많습니다. 다양한 고민을 가지신 분들 중, 오늘은 왜소치에 대한 이야기를 해보려 합니다. 교정 치료 후 '왜소치...
게시일
2026년 2월 10일
원문 기준으로 확인된 발행일입니다.
카테고리
앞니이야기
원문 블로그 카테고리를 정리해 함께 표시합니다.
이미지 수
14
현재 아카이브에 연결된 이미지 수입니다.
아카이브 요약
재주좋은치과의원의 네이버 블로그 원문을 보존한 아카이브 페이지입니다. 앞니이야기 카테고리의 왜소치 라미네이트보다 레진 비니어를 더 추천드리는 이유 글을 통해 병원의 한국어 정보 제공 방식과 진료 관련 안내 톤을 확인할 수 있습니다.
원문 검증
필요하면 원문 블로그와 병원 프로필로 바로 이동해 문맥을 다시 확인할 수 있습니다.
출처 아카이브 열기왜소치 라미네이트보다
레진 비니어를 더 추천드리는 이유

요즘 방학이다 보니 앞니 컴플렉스를 해결하기 위해
상담하러 오시는 분들이 상당히 많습니다.
다양한 고민을 가지신 분들 중,
오늘은 왜소치에 대한 이야기를 해보려 합니다.
교정 치료 후 '왜소치' 때문에 스트레스를 받다가
마지막 단계에서 큰 고민에 빠진 분들을
종종 뵙게 됩니다.
치열이 가지런해지면 이전에는
눈에 안 띄던 디테일들이 드러나거든요.
앞니 몇 개가 유난히 작고 항아리처럼
벌어져 보이거나 비율이 살짝 어긋나 보이는 경우요.
그래서 이런 고민을 하시는데요.
라미네이트를 할까?
아니면 씌워야 하나?
저희 치과에 교정 마무리를 앞두고
상담하러 오시는 분들도 꽤 많습니다.
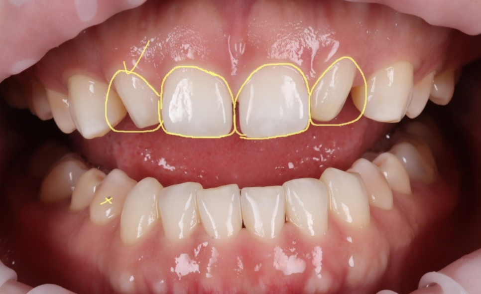
👇🏻 교정 마무리를 앞두고 왜소치 레진으로
마무리해드린 케이스 👇🏻
교정은 작은 크기를 키워주지 못해요.

251203
왜소치는 치아의 위치 문제가 아니라
치아의 크기와 형태 문제예요.
교정은 위치를 바꾸는 치료라서 작은 치아를
키워주지는 못해요.

251203
그래서 끝난 뒤에도 왜소치는 그대로 남게 돼요.
이때 많은 분들이 듣는 말이 이거예요.
“앞니 6~8개 라미네이트 하세요.”
솔직히 말하면 이 말에는
치과 의사 입장에서의 편의성이 섞여 있어요.

251203 / 251203
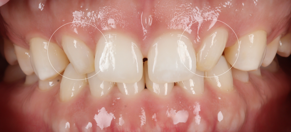
위 사진처럼 왜소치가
작은 앞니 양쪽으로 있는 경우,
그 두 개를 옆 자연치와 똑같이 맞추는 건
굉장히 어렵거든요.
반면 앞니 여러 개를 라미네이트로 덮으면
불투명한 단일 색상으로 통일할 수 있고
색 맞추기도 훨씬 쉬워져요.
치료는 편해지죠.
그런데 여기서 한 번쯤은
멈춰서 생각해 봐야 해요.
교정 후 라미네이트를 해야 한다면..
굳이 교정을 왜 했을까요?

251120
조금 직설적으로 말해볼게요.
앞니 6~8개를 라미네이트로 덮을 거라면
치아 배열이 완벽하지 않아도 겉모습은
얼마든지 만들 수 있어요.
즉, 교정을 하지 않았어도
비슷한 결과가 나올 수 있다는 뜻이에요.
그래서 저는 교정을 이미 한 분에게
전체 라미네이트를 권하는 건
교정의 장점을 스스로 줄이는 선택일 수 있다고
생각해요.
교정의 가치는 단순히 치아를 가지런히 하거나
더 하얗게 만드는 데 있지 않습니다.
자연치의 위치와 비율을 바로잡아,
불필요한 삭제를 최소화할 수 있는 상태를
만드는 것, 그 자체가 핵심입니다.

251120 / 251120
이미 그 단계까지 만들어 놓았다면,
다음 선택은 치아를 덮는 치료가 아니라
삭제 없이도 레진 수복으로 가능해야 한다고
저는 생각합니다.
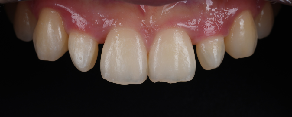
그래서 왜소치 레진으로 끝내는 게
더 적합한 선택이라 생각해요.
교정을 한 뒤라면 치아의 위치와 각도는
이미 잘 잡혀 있어요.

250827
이때 크기가 작은 곳만 왜소치 레진으로
옆 자연치와 어울리게 보완하는 게
제일 적합한 마무리라고 생각해요.
치아를 보존하는 측면에서도 그렇고요^^
색도, 그라데이션도, 투명층도 옆 치아를
기준으로 하나하나 맞춰가야 해서
치과의사 입장에서는 솔직히 더 어렵고
시간이 많이 걸려요ㅎㅎ

250827
그래도 치아를 거의 깎지 않으면서
만들어놓은 자연스러운 배열을
끝까지 살릴 수 있는 방법이거든요.

250827 / 250827
그래서 저는 “교정 후에는 라미네이트보다
왜소치 레진을 먼저 고민해 보세요”라고
말씀드려요.
이미 몇 년간 공들여 잘 해놓은 교정을
굳이 다시 덮어버릴 필요는 없으니까요.
이런 이유 때문에 더 복잡하고 치아를 깎는 치료는 하지 않아도 된다고 생각해요.
상담을 하다 보면
“이건 라미네이트로 해야 깔끔해요”
라는 말을 너무 쉽게 듣고 오시는 분들이 많아요.

250718
그 말이 틀린 건 아니에요. 라미네이트는
결과를 예측하기 쉽고 치과의사 입장에서도 완성도를 빠르게 맞출 수 있는 방법이니까요.
하지만 중요한 질문은 그다음이에요.
그 방법이 이 치아에 어울리느냐예요.
이미 치아 위치, 치열의 흐름,
웃을 때 보이는 라인이 잘 만들어진 상태라면
그 위에 불투명한 보철을 씌우는 게
과연 좋은 선택일까요?

250718
모든 치아를 같은 색,
같은 질감으로 맞추는 게 아니라
이미 있는 자연치에 맞춰 따라가게 만드는
왜소치 레진 치료,
그게 가능한 경우라면 굳이 더 큰 치료를
선택할 이유는 없다고 생각해요^^

250718
다만 교정 후 배열이나 치아 모양이
전체적으로 마음에 들지 않는 경우에는
왜소치 레진보다 라미네이트와 같은 다른 치료가
더 적합할 수도 있어요.
중요한 건 내 고민이 무엇인지
의료진과 꼼꼼한 상담을 거친 후에
현재 내 상태에 맞는 치료를 하는 거예요.

치료의 편의성을 생각했다면
저도 라미네이트를 권했을지 모릅니다.
하지만 제가 생각하는 치과의사의 소명은
환자분이 공들여 지켜온 자연치의 가치를
끝까지 지켜드리는 것입니다.
공들여 교정한 치아를 굳이 삭제하여
씌울 필요는 없습니다.

조금 더 시간이 걸리고 제 손이 더 많이 가더라도,
여러분의 원래 치아가 가진
그 투명함과 생명력을 레진으로
살려드릴 수 있습니다.
치료의 결과보다 치료의 과정이
환자에게 상처가 되지 않기를 바라는 마음으로,
오늘도 저는 조금 더 어려운 길인
'레진'을 선택합니다.
내 치아도 삭제 없이 레진으로 가능한지
궁금한 분들은 편하게 문의 주세요^^
지금까지 재주좋은치과 소현수 원장이었습니다.
긴 글 읽어주셔서 감사합니다!
👇🏻 빠른 예약 👇🏻
👇함께 읽어보면 좋은 글들! 👇