아카이브 요약
이 페이지의 역할
재주좋은치과의원의 네이버 블로그 원문을 보존한 아카이브 페이지입니다. 턱관절이야기 카테고리의 이갈이 장치 보톡스랑 함께 하면 훨씬 좋은 이유 글을 통해 병원의 한국어 정보 제공 방식과 진료 관련 안내 톤을 확인할 수 있습니다.
원문 검증
필요하면 원문 블로그와 병원 프로필로 바로 이동해 문맥을 다시 확인할 수 있습니다.
출처 아카이브 열기아카이브된 블로그 글
재주좋은치과의원 · Naver Blog
원장님 이갈이 장치 끼면 이제 이 안 갈게 되는 거죠? 제가 보톡스를 치료를 워낙 많이 하다 보니 자연스레 이갈이 환자분들을 많이 보게 됩니다. 동시에 위와 같은 질문을 정말 많이 받는데요. 이갈이 장치는 이를 안 갈게 만드는 장치가 아니에요. 이갈이 장치의 핵심 목적...
게시일
2026년 2월 11일
원문 기준으로 확인된 발행일입니다.
카테고리
턱관절이야기
원문 블로그 카테고리를 정리해 함께 표시합니다.
이미지 수
12
현재 아카이브에 연결된 이미지 수입니다.
아카이브 요약
재주좋은치과의원의 네이버 블로그 원문을 보존한 아카이브 페이지입니다. 턱관절이야기 카테고리의 이갈이 장치 보톡스랑 함께 하면 훨씬 좋은 이유 글을 통해 병원의 한국어 정보 제공 방식과 진료 관련 안내 톤을 확인할 수 있습니다.
원문 검증
필요하면 원문 블로그와 병원 프로필로 바로 이동해 문맥을 다시 확인할 수 있습니다.
출처 아카이브 열기원장님 이갈이 장치 끼면
이제 이 안 갈게 되는 거죠?
제가 보톡스를 치료를 워낙 많이 하다 보니 자연스레 이갈이 환자분들을 많이 보게 됩니다. 동시에 위와 같은 질문을 정말 많이 받는데요.
이갈이 장치는 이를 안 갈게 만드는 장치가 아니에요.
이갈이 장치의 핵심 목적은 치아 보호예요. 이를 갈더라도 치아끼리 직접 부딪히지 않게, 닳아서 균열이 깊어지지 않게 막아주는 거예요.

방치했다간 여러 문제들로 이어질 수 있어요.
오늘도 이갈이 환자를 두 분이나 보면서 많은 오해를 하고 계셔서 이런 오해들을 풀어드리면 좋을 것 같다는 생각으로 컴퓨터 앞에 앉았습니다ㅎㅎ
이갈이 장치의 종류부터 병행 치료 시 기대할 수 있는시너지 효과, 그리고 이갈이를 방치하면 어떤 문제가 생기는지 자세히 설명드릴게요.
치아를 위한 방탄조끼 : 하드타입 이갈이 장치의 진짜 역할
이갈이 장치 종류에는 말랑한 소프트 타입, 단단한 하드 타입 보통 2가지가 있는데요.

저는 기본적으로
두꺼운 하드 타입을 권해드려요.
왜냐하면 이갈이 힘은 생각보다 훨씬 강해요. 깨어 있을 때보다 자는 동안 긴장이 풀리면서 훨씬 큰 힘이 반복적으로 가해지거든요.
얇은 장치는 처음엔 편하지만 큰 힘을 지속적으로 받게 되면 쉽게 찢어져요.
어느 정도 두께가 있어야 힘을 넓게 분산시키면서 교합을 안정시키고 근육의 과활성도를 어느 정도 낮출 수 있어요.

또, 약간의 두께가 있어야 턱이 가장 안정된 위치에 놓이게 됩니다.
턱관절은 입을 아주 살짝 벌리고 있을 때 근육의 긴장도가 가장 낮아지는데, 적절한 두께의 하드타입 장치가 이 '안정적인 틈'을 인위적으로 만들어주는 것이죠.
창과 방패의 조합 : 이갈이 보톡스와의 상호보완 관계
이에 무리가 덜 가게 하는 치료는 사실 따로 있어요.

근육의 힘을 줄이는
보톡스에요.
제가 질문 하나 드릴게요.
여러분이 추성훈과 팔씨름을 한다면 누가 이길까요?
거의 98%의 확률로 추성훈이 이길겁니다ㅎㅎ
추성훈의 팔 근육은 어마 무시하죠? 저렇게 강한 근육을 가졌으니 힘도 센거죠ㅎㅎ
우리는 매일 밥을 먹으며 씹는 근육(교근)과 관자놀이 쪽에서 턱을 위로 올려주는 근육(측두근)이 운동을 합니다.

매일 운동을 하면 근육이 커져 힘이 세지는 것처럼, 매일 밥을 먹으며 교근과 측두근이 더 두꺼워지고 강해집니다.
그래서 보톡스를 통해 교근과 측두근의 근육의 힘과 긴장도를 낮춰 치아에 전달되는 힘을 줄여야 해요.

보톡스 사용량 전국 2위입니다ㅎㅎ 안심하고 맡겨주세요~
이에 저는 이갈이 환자분들께 보톡스를 함께 설명드려요. 이갈이 장치는 치아를 보호하고 보톡스는 근육의 힘을 낮춰주는 역할을 갖고 있거든요.
간혹 이게 좋냐, 저게 좋냐 여쭤보는 분들이 계신데ㅎㅎ 둘은 경쟁이 아니에요. 상호보완 관계라 둘 다 하는 게 가장 이상적인 방법이에요.
아시는 분들은 이미 알고 계시겠지만 저는 환자분들의 자연치아 보존을 중시하고 있는데요. 그래서 어떤 치료든 치아를 오래, 건강하게 쓰셨으면 좋겠는 마음이 들더라고요.

그래서 이를 가는 분들에게도 가능하면 보호 + 힘 조절을 함께 가는 전략을 권해요. 단기 처방이 아니라 장기적인 전략으로 보고 있거든요.
이갈이를 방치 : 전악 수복이라는 끔찍한 결말
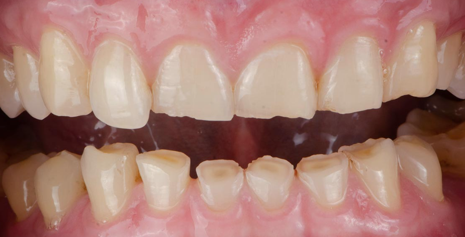
처음엔 그냥 턱이 뻐근하다는 증상이 나타날 수 있어요. 그러나 그대로 두었을 경우에는 이 시림이 나타나고 치아 목 부분이 심하게 패이기 시작해요. 이게 바로 '치경부 마모증'이에요.

치경부는 치아와 잇몸 사이를 뜻하는데요. 보통 치아의 '목 부분'으로 부르고 있어요. 씹는 힘을 오래, 지속적으로 받다 보면 이 부분이 쐐기 형태로 패여나가는 문제가 생길 수 있는데요.
심미적으로도 좋지 않고, 무엇보다 이가 정말 많이 시려요. 문제는 여기서 끝이 아니에요. 이를 가는 습관이 계속 진행되면 음식을 씹는 교합면까지 닳게 될 수 있어요.

이렇게 되면 어떤 문제가 생길까요?
치아가 점점 짧아지게 돼요. 씹는 면이 닳게 되면서 전체 길이도 줄어들게 되는 거죠. 장기적으로는 이를 앙 물었을 때 높이인 교합고경이 무너질 수 있는데요.

옛날 시골 할머니, 할아버지들을 보시면 입이 움푹 패이고 하관이 짧아져 있는 모습을 많이 보셨을 거예요. 네.. 오래 방치하다간 얼굴 하관이 짧아져 안모에 변화가 생기고 턱관절에 부담까지 갈 수 있어요.

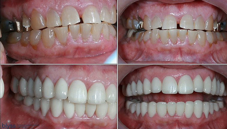
그리고 그다음 단계가 뭔지 아세요? ‘전악 수복’이에요. 치아 28개를 전부 크라운으로 치료해야 하는 상황까지 이어질 수 있답니다.
저는 저를 믿고 찾아주신 환자분들이 그 단계까지 가는 걸 최대한 막고 싶어요. 그래서 이갈이 장치와 보톡스를 사용해 정확하고 신속하게 치료를 도와드리고 있죠^^
아침에 일어났을 때 턱이 뻐근하다면, 치아가 점점 시려진다면, 치아가 짧아지는 느낌이 든다면 몸이 이미 신호를 보내고 있는 거예요.

출처 : blyssdental
치료는 문제가 커진 뒤가 아니라 문제가 커지기 전에 시작하는 게 현명한 방법이니 비슷한 증상을 갖고 계시다면 늦지 않게 진료를 받아보시길 바랍니다.
지금까지 재주좋은치과 소현수 원장이었습니다. 감사합니다!
👇🏻 빠른 예약 👇🏻
👇함께 읽어보면 좋은 글들! 👇