아카이브 요약
이 페이지의 역할
재주좋은치과의원의 네이버 블로그 원문을 보존한 아카이브 페이지입니다. 앞니이야기 카테고리의 앞니 크라운 브릿지 재치료 시 이럴 땐 따로 제작해야 돼요 글을 통해 병원의 한국어 정보 제공 방식과 진료 관련 안내 톤을 확인할 수 있습니다.
원문 검증
필요하면 원문 블로그와 병원 프로필로 바로 이동해 문맥을 다시 확인할 수 있습니다.
출처 아카이브 열기아카이브된 블로그 글
재주좋은치과의원 · 앞니 레진 비니어 장인, 소현수 원장입니다.
앞니 크라운 브릿지 재치료 시 이럴 땐 따로 제작해야 돼요 앞니 보철 재치료 상담을 하다 보면, 과거에 여러 치아를 하나로 길게 연결해 제작한 브릿지 형태를 자주 보게 됩니다. 겉으로는 단단하고 안정적으로 보이지만, 시간이 지나면서 잇몸이 붓거나 피가 나고, 냄새가 나거나 심미적...
게시일
2026년 2월 21일
원문 기준으로 확인된 발행일입니다.
카테고리
앞니이야기
원문 블로그 카테고리를 정리해 함께 표시합니다.
이미지 수
10
현재 아카이브에 연결된 이미지 수입니다.
아카이브 요약
재주좋은치과의원의 네이버 블로그 원문을 보존한 아카이브 페이지입니다. 앞니이야기 카테고리의 앞니 크라운 브릿지 재치료 시 이럴 땐 따로 제작해야 돼요 글을 통해 병원의 한국어 정보 제공 방식과 진료 관련 안내 톤을 확인할 수 있습니다.
원문 검증
필요하면 원문 블로그와 병원 프로필로 바로 이동해 문맥을 다시 확인할 수 있습니다.
출처 아카이브 열기앞니 크라운 브릿지 재치료 시
이럴 땐 따로 제작해야 돼요
앞니 보철 재치료 상담을 하다 보면, 과거에 여러 치아를 하나로 길게 연결해 제작한 브릿지 형태를 자주 보게 됩니다.
겉으로는 단단하고 안정적으로 보이지만, 시간이 지나면서 잇몸이 붓거나 피가 나고, 냄새가 나거나 심미적으로 답답해 보인다는 이유로 재보철을 원하시는 경우가 종종 있습니다.

앞니는 기능적인 역할뿐 아니라 표정과 인상에 직접적인 영향을 주는 부위죠.
따라서 단순히 '붙어 있으니 튼튼하다'는 기준이 아니라, 치주 건강과 심미, 그리고 장기적인 유지관리까지 고려한 설계가 필요해요.
그래서 저는 가급적이면 앞니 크라운 브릿지 재치료를 할 때는 치아를 모두 하나로 묶지 않고, 개별로 제작해 드리고 있습니다.
묶었을 때와 개별로 제작했을 때, 어떤 차이가 있는지 하나씩 자세하게 설명드릴게요.
여러 개 치료 = 브릿지, 이 공식은 틀릴 수 있어요.
앞니 크라운 브릿지 재치료
앞니 여러 개를 치료해야 한다는 건 대개 이런 경우예요.

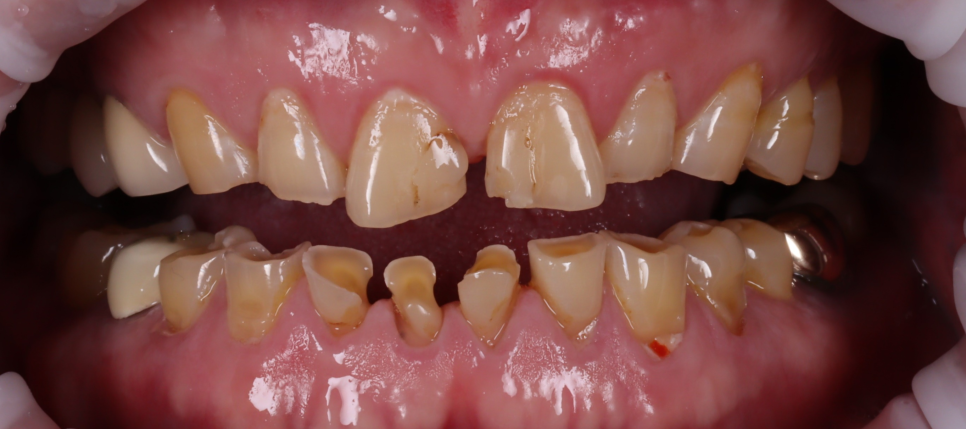
치아 마모 및 파절 / 251013
오래된 보철물 색 차이, 마모와 파절이 복합적으로 존재, 잇몸 라인 불균형, 치관(머리 부분) 길이 차이, 투명도 소실..
단 이건 ‘여러 개가 필요하다’는 의미지 ‘전체를 하나로 연결해야 한다’는 의미는 아니에요.

브릿지는 원래 치아가 빠졌을 때 구조적으로 연결이 필요한 경우에 하는 방법이에요.
치아가 각각 독립적으로 건강을 유지하고 있다면 굳이 한 덩어리로 묶을 이유는 없어요.
묶어서 제작할 때 이런 문제가 있어요.
앞니 크라운 브릿지 재치료

크라운으로 각각 따로 치료하면 정교하게
잇몸 라인을 맞출 수 있어요.
여러 개를 한 번에 치료할 때 중요하게 고려해야 하는 건 잇몸이에요.
잇몸은 치아마다 두께와 높이가 모두 다르고, 형성되는 곡선 또한 완전히 동일하지 않아요.
여러 개를 한 번에 연결하면 잇몸의 자연스러운 형태를 조정하기가 어렵습니다.

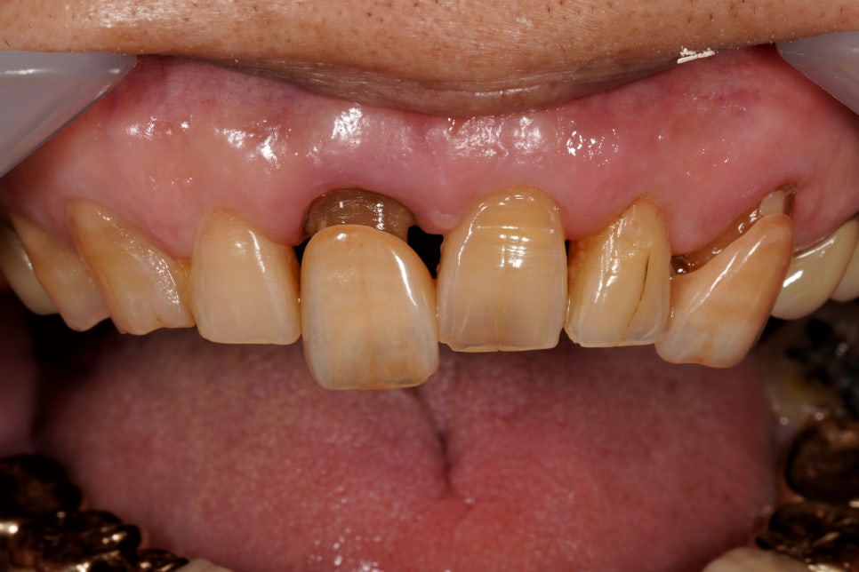
251013 / 251029
특히 잇몸이 많이 보이는 분들은 연결 보철의 경계가 살짝만 어색해도 바로 티가 나요.
반대로 각 치아를 독립적으로 설계하면 잇몸 라인을 치아마다 섬세하게 맞출 수 있어요. 앞니 심미에서 색은 조정 가능하지만 잇몸은 속일 수 없거든요ㅎㅎ
또한 관리가 어려워 염증이 생기기 쉬워 음식물이 쉽게 끼고, 세균이 정체되면서 잇몸이 붓는 현상이 반복되면서 장기적으로는 치조골 흡수까지 진행될 위험도 있어요.
솔직히 말씀드리면 여러 개를 다 한 번에 같은 톤으로 만들면 색 맞추기는 편해요ㅎㅎ
자연치와 완벽하게 그라데이션을 맞추는 것보다 전체를 통일하는 게 제작은 수월하죠.

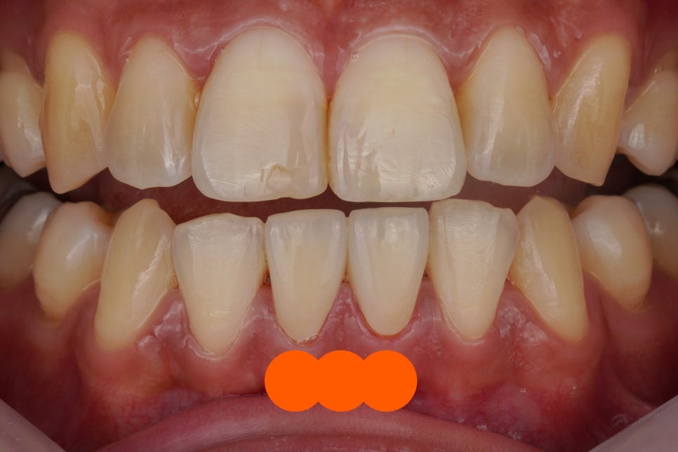
이중 크라운을 씌운 곳은 어디일까요?ㅎㅎ
자연치는 단일 색이 아니라, 끝부분은 유리처럼 맑고 투명하며, 잇몸 쪽으로 갈수록 노란빛이 돌아요.
손톱보다 작은 치아 하나 안에서도 6가지 이상의 미세한 색상이 겹겹이 층을 이루며 그라데이션을 만들어냅니다.
이걸 여러 개 동시에 표현하려면 더 정교한 설계가 필요해요. 그래서 저는 여러 개를 해야 할수록 오히려 개별 설계를 더 중요하게 생각해요.

여러 개를 연결해두면 하나에 문제가 생겼을 때 깨짐, 탈락, 변색이 생기면 부분 수리가 어렵습니다.
하나로 연결되어 있기 때문에 중간에 보철을 절단하거나 심한 경우 전체를 제거해야 할 수도 있어요.
각각 독립적으로 치료해두면 문제가 생겨도 그 치아만 치료할 수 있는데요.
한 곳에만 문제가 생겼다고 하면 그 치아만 보철을 떼어내서 치치료가 가능하기 때문에 비용적으로나 기간면으로나 훨씬 유리한 선택이 됩니다.
하나로 묶는 게 더 적합한 경우도 있어요.
앞니 크라운 브릿지 재치료
그렇다고 브릿지로 묶는 것을 하지 않는 것이 무조건 좋은가?라고 물으신다면 그건 아니에요.

상실된 치아가 있는 경우, 임플란트를 할 수 없거나 잇몸 뼈의 상태가 너무 좋지 않아 임플란트 식립 자체가 부담스러운 상황이라면 옆 치아들의 도움을 받는 '브릿지'가 훌륭한 대안이 됩니다.
또, 외상으로 인해 정출(윗니가 내려오거나, 아랫니가 위로 솟구치는 현상)이 생길 가능성이 높을 때도 브릿지로 제작하는 경우가 있어요.
위와 같은 특수한 경우를 제외하곤 각각 크라운을 제작하는 것이 더 훨씬 적합하다고 생각합니다.
헷갈릴 만한 내용 정리해 드릴게요.

그래서 나는 어떤 방식으로 제작하는 것이 더 적합할까? 헷갈리실 수 있어요.
크라운 개별 제작과 브릿지로 연결했을 때의 특징들을 표로 정리해 봤는데요.
| 크라운 개별 제작 | VS | 브릿지로 연결 |
|---|---|---|
| 관리가 쉽고 염증 확률 ↓ | 잇몸 | 관리가 어려워잇몸이 붓고 염증 확률↑ |
| 개별 제작으로 더 자연스럽게,자연치처럼 제작 가능 | 심미 | 하나로 묶어야 하기 때문에잇몸 라인 등 디테일한 부분이어색할 수 있음 |
| 문제 생긴 곳만 수리 가능 | 수리 | 연결된 부분 제거 후 수리 |
| - | 앞니가빠졌을 때 | 브릿지가 적합 |
정리해서 말씀드리면, 치아가 빠졌을 때나 외상 치아가 있을 때를 제외하곤 크라운으로 개별 제작하는 것이 심미적으로 장기적으로 훨씬 좋은 방법이라 할 수 있어요ㅎㅎ
앞니 브릿지 재치료는 이전의 실패를 반복하지 않는 것이 핵심입니다.
저는 색상을 맞추는 것을 넘어, 치아 하나하나의 독립적인 기능을 살리고 잇몸 건강을 되찾는 치료를 지향합니다.
원칙을 지키는 치료가 가장 빠른 길이라는 믿음으로, 오늘도 진료실에서 정성을 다하겠습니다.

나에게 어떤 방식이 더 적합할지 고민되신다면, 주저 말고 상담을 요청해 주세요. 환자분의 상황에 가장 알맞은 최선의 답을 찾아드리겠습니다.
지금까지 재주좋은치과 소현수 원장이었습니다. 감사합니다.
👇🏻 빠른 예약 👇🏻
👇함께 읽어보면 좋은 글들! 👇