아카이브 요약
이 페이지의 역할
재주좋은치과의원의 네이버 블로그 원문을 보존한 아카이브 페이지입니다. 앞니이야기 카테고리의 왜소치레진 20년 전에 했던 치아 재치료 후 반대쪽까지 글을 통해 병원의 한국어 정보 제공 방식과 진료 관련 안내 톤을 확인할 수 있습니다.
원문 검증
필요하면 원문 블로그와 병원 프로필로 바로 이동해 문맥을 다시 확인할 수 있습니다.
출처 아카이브 열기아카이브된 블로그 글
재주좋은치과의원 · 앞니 레진 비니어 장인, 소현수 원장입니다.
왜소치레진 20년 전에 했던 치아 재치료 후 반대쪽까지 왜소치는 보통 양측에 발생하는 경우가 많습니다. 그런데 종종 여러 가지 이유로 우선 하나만 치료해 보겠다고 하시는 분들이 계시더라고요. 그런데 비교 대상이 생기면 그때부터는 그것만 눈에 들어오죠. ...
게시일
2026년 2월 26일
원문 기준으로 확인된 발행일입니다.
카테고리
앞니이야기
원문 블로그 카테고리를 정리해 함께 표시합니다.
이미지 수
19
현재 아카이브에 연결된 이미지 수입니다.
아카이브 요약
재주좋은치과의원의 네이버 블로그 원문을 보존한 아카이브 페이지입니다. 앞니이야기 카테고리의 왜소치레진 20년 전에 했던 치아 재치료 후 반대쪽까지 글을 통해 병원의 한국어 정보 제공 방식과 진료 관련 안내 톤을 확인할 수 있습니다.
원문 검증
필요하면 원문 블로그와 병원 프로필로 바로 이동해 문맥을 다시 확인할 수 있습니다.
출처 아카이브 열기왜소치레진 20년 전에 했던
치아 재치료 후 반대쪽까지
왜소치는 보통 양측에 발생하는 경우가 많습니다.
그런데 종종 여러 가지 이유로 우선 하나만 치료해 보겠다고 하시는 분들이 계시더라고요.
그런데 비교 대상이 생기면 그때부터는 그것만 눈에 들어오죠.
그래서 결국은 2개 모두를 치료하시는 분들이 많습니다ㅎㅎ
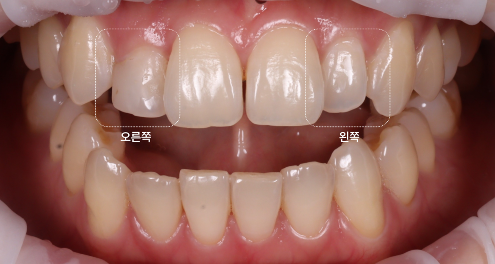
이번 환자분도 그랬는데요. 오른쪽 왜소치 레진 재치료를 먼저 하셨고 결과가 마음에 드셔서 '왼쪽 왜소치도 치료할게요'라고 하셨죠.
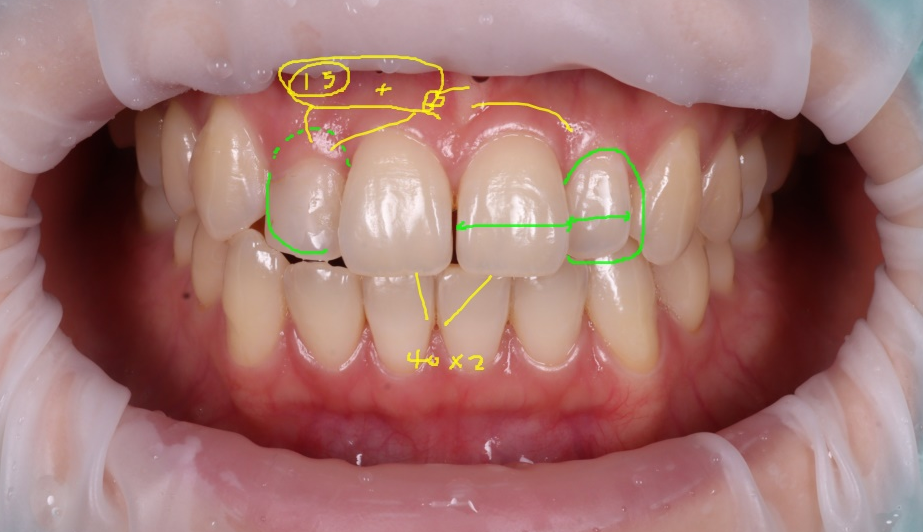
20년 된 레진 속 숨겨진 위협, 단순 변색이 아닌 '2차 충치'의 신호
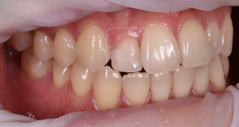
기존에 오른쪽 왜소치에 오래된 레진이 있었어요. 환자분은 '20년 정도 됐다'라고 말씀을 하시더라고요.

260207
검진해 보니 레진이 부분적으로 파절되어 있었고, 그 아래로 2차 우식도 의심되는 상태였어요.
시간이 오래 지나면 경계가 약해지고 미세한 틈이 생길 수 있죠.

260207
그리고 단순 재치료만의 문제가 아니라 양쪽 모두 원래 왜소치이며, 안쪽으로 살짝 들어가 있는 형태였어요.



260207
또, 환자분은 교정하시고 유지 장치를 하고 계셨음에도 불구하고 앞니가 약간 벌어져있었는데요.

260207
여쭤보니 혀 내밀기 습관이 있어서 그렇다고 하시네요.
벌어진 앞니는 치료를 원하지 않는다고 하셔서 왜소치만 치료하기로 했습니다.
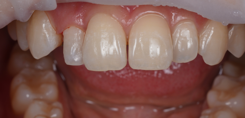
오른쪽은 잇몸까지 왼쪽은 최소 개입으로 '필요한 만큼만'
오른쪽은 ‘재치료 + 비율 조정’이 핵심, 왼쪽은 왜소치레진으로 대칭을 맞추는 것이 목표였어요.

260207
다만 중요한 건 '양쪽을 무조건 같은 방식으로'가 아니에요.

260207
저는 앞니 치료에서 항상 이렇게 생각해요.
같은 앞니라도 각자 상황이 다르면 방법도 달라야 한다.
‘대칭’이 목적이지, ‘복사 붙여넣기’가 목적이 아니다.

2602007
그래서 오른쪽은 기존 레진을 제거하고 내부를 정리한 다음 잇몸 라인까지 함께 잡아주기 위해 잇몸성형을 병행하기로 했고요.
왼쪽은 환자분이 '반대편은 원장님이 말하기 전엔 인지도 못했다'라고 하셔서 오른쪽만 진행하기로 했어요.
재치료는 ‘새로 하는 것’보다 더 섬세해야 해요.
오른쪽은 먼저 기존 레진/재료를 제거했어요. 이 과정에서 중요한 건 '빨리 떼고 빨리 채우기'가 아니라 경계가 깨끗해질 때까지 정리하는 거예요.


260207
2차 우식 제거 후에는 내부 상태를 다시 확인하고 필요한 부분은 정리해서 깨끗한 바탕을 만든 뒤 다음 단계로 넘어갑니다.

260207
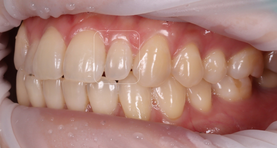
그리고 잇몸성형을 진행했어요. 잇몸성형은 '잇몸을 예쁘게'가 아니라 앞니 치료에서는 사실상 치아의 길이와 비율을 잡는 작업이에요.

260207 / 260207
왜소치나 작은 앞니는 치아 폭만 넓히면 오히려 더 어색해질 때가 있어요. 그때 잇몸 라인이 정리되어 있으면 치아가 길이-폭의 균형을 가지면서 훨씬 자연스럽게 보여요.
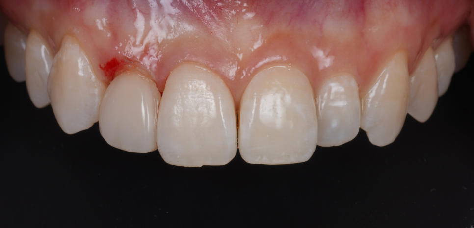
2주 뒤, 반대쪽도 하시겠다는 전화
2주 경과 체크를 위해 예약하고 귀가하셨는데요. 예약일 전에 전화를 하셨습니다.

260207
저 2주 뒤에 예약인데
그때 반대쪽도 치료하려고요.
치료 후, 계속 거울을 보는데
비대칭이니 거슬려서요~
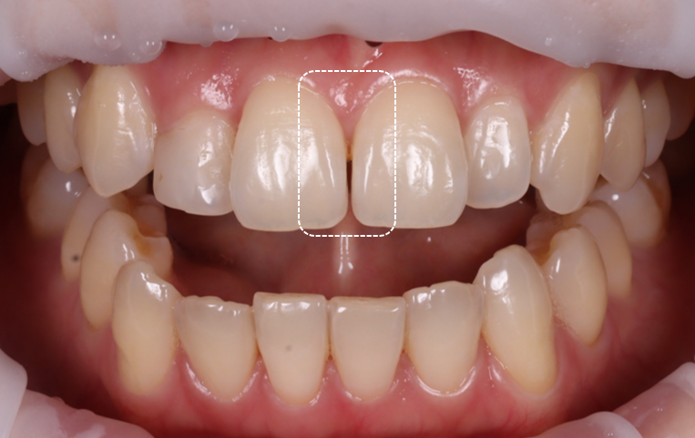
왼쪽 왜소치레진은 잇몸성형 없이 진행하기로 했고 치료는 레진만으로 했어요.

260221
여기서 포인트는 왼쪽을 '오른쪽처럼 똑같이' 만드는 게 아니라 왼쪽이 원래 그 치아였던 것처럼 자연스럽게 만드는 거예요.
왜소치레진은 '키워서 맞춘다'는 느낌보다 '주변 치아와 어울리게 정돈한다'는 느낌으로 접근하는 게 대부분 더 자연스럽고 아름다워요^^
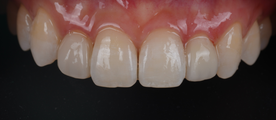
미세한 색감과 높이까지 조정하는 곳이 진짜예요.
치료가 끝났다고 해서 끝이 아니에요. 앞니는 미세한 차이에 사람이 더 민감하거든요.

260221
레진의 장점이 여기서 나와요. 크라운처럼 한 번에 고정된 결과가 아니라 미세 조정과 폴리싱으로 완성도를 끌어올릴 수 있어요.

260207 / 260221
그래서 저는 왜소치레진을 '한 번에 끝내는 과정'이라기보다 '완성도를 같이 맞춰가는 치료'라고 생각해요.

저는 앞니를 치료할 때 무조건 크게 바꾸는 걸 목표로 하지 않아요. 오히려 필요한 만큼만 정확하게 그리고 자연치 보존을 최우선으로 생각합니다.
과하게 키우지 않고 딱 필요한 만큼만 다듬어 웃을 때 편해지는 결과를 만드는 것, 그게 제가 앞니 치료에서 중요하게 보는 방향이에요😄
지금까지 재주좋은치과 소현수 원장이었습니다. 감사합니다.
👇🏻 빠른 예약 👇🏻
👇함께 읽어보면 좋은 글들! 👇
